Skip to main content

Arterial embolizations with microvascular plug in extracranial and intracranial districts: technical results

Abstract

Purpose

A new detachable microvascular plug (MVP, Reverse Medical®, Irvine, CA, USA) has been recently developed; three models are available according to the size (MVP3–MVP5–MVP7). MVP3 and MVP5 are released through a 0.027″ microcatheter, MVP7 through a 4 Fr catheter. This series aims to describe an initial single-center experience examining intraprocedural safety and technical success of MVP.

Materials and methods

Ten patients (mean age 55.1 years) have been treated for arterial embolization using MVP; eight extracranial and two intracranial arterial embolizations have been performed. The embolizations were because of: four bleedings, three aneurysms, two pseudoaneurysms, and one presurgical nephrectomy.

Results

MVP3 was used in five cases, MVP5 in four cases, and MVP 7 once. In all cases, the MVP was successfully released in < 1 min. In six patients, the MVP was the sole embolizing agent employed, while in four subjects, it was positioned complementary after coils. The technical and clinical success was obtained in 100%; hemorrhages were interrupted and aneurysms and pseudoaneurysms did not show recanalization at follow-up.

Conclusions

MVP seems to be a safe embolizing device that interventional radiologists should consider when facing arterial embolization of both body and neuroarterial districts; the main advantage is related to MVP3 and MVP5 models that can be adopted for distal embolization thanks to the precise release through 0.027″ microcatheter.

This is a preview of subscription content, access via your institution.

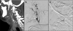
Fig. 1
Fig. 2
Fig. 3
Fig. 4
Fig. 5
Fig. 6
Fig. 7

References

  1. Pellerin O, Maleux G, Déan C (2014) Microvascular plug: a new embolic material for hepatic arterial skeletonization. Cardiovasc Interv Radiol 37(6):1597–1601. https://doi.org/10.1007/s00270-014-0889-y

    Article  Google Scholar 

  2. Wang W, Li H, Tam MD et al (2012) The AMPLATZER vascular plug: a review of the device and its clinical application. Cardiovasc Interv Radiol 35:725–740

    Article  Google Scholar 

  3. Boatta E, Jahn C, Canuet M et al (2017) Pulmonary arteriovenous malformations embolized using a micro vascular plug system: technical note on a preliminary experience. Cardiovasc Interv Radiol 40:296–301. https://doi.org/10.1007/s00270-016-1493-0

    Article  Google Scholar 

  4. Conrad MB, Ishaque BM, Surman AM (2015) intraprocedural safety and technical success of the MVP micro vascular plug for embolization of pulmonary arteriovenous malformations. J Vasc Interv Radiol 26:1735–1739

    Article  PubMed  Google Scholar 

  5. Hao F, Powell D, Weintraub J, Sheynzon V (2016) Pediatric gastroduodenal embolization with a microvascular plug. Cardiovasc Interv Radiol 39:788–790. https://doi.org/10.1007/s00270-015-1263-4

    Article  Google Scholar 

  6. Kleine JF, Prothmann S, Boeckh-Behrens T (2015) Occlusion of small arteries in the neuroendovascular and head and neck territory-initial experiences with a microvascular plug. J Vasc Interv Radiol 26(3):426–431. https://doi.org/10.1016/jvir.2014.12.014

    Article  PubMed  Google Scholar 

  7. Beaty NB, Jindal G, Gandhi D (2014) Micro vascular plug (MVP)-assisted vessel occlusion in neurovascular pathologies: technical results and initial clinical experience. J NeuroInterv Surg. https://doi.org/10.1136/neurintsurg-2014-011306

    PubMed  Google Scholar 

  8. See AP, Kochis MA, Orbach DB (2017) Segmental upper mid-basilar artery sacrifice in a child using a micro vascular plug device for treatment of a basilar arterio-venous fistula compressing the brainstem. J Neurointerv Surg. neurintsurg-2017-012982.rep

  9. Shwe Y, Paramasivam S, Ortega-Gutierrez S et al (2014) High-flow carotid cavernous fistula and the use of a microvascular plug system: initial experience. Interv Neurol 3:78–84. https://doi.org/10.1159/000369477

    Article  PubMed Central  Google Scholar 

  10. Joo W, Mercier P, Kheradmand S et al (2017) Vein of Galen malformation treated with the micro vascular plug system: case report. J Neurosurg Pediatr 19(6):729–733. https://doi.org/10.3171/2016.12.PEDS16305

    Article  PubMed  Google Scholar 

  11. Boudjemline Y (2017) Covidien micro vascular plug in congenital heart diseases and vascular anomalies: a new kid on the block for premature babies and older patients. Catheter Cardiovasc Interv 89(1):114–119. https://doi.org/10.1002/ccd.26622

    Article  PubMed  Google Scholar 

  12. Wang-Giuffre EW, Breinholt JP (2017) Novel use of the medtronic micro vascular plug for PDA closure in preterm infants. Catheter Cardiovasc Interv 89(6):1059–1065. https://doi.org/10.1002/ccd.26855

    Article  PubMed  Google Scholar 

  13. Sathanandam S, Justino H, Waller BR et al (2017) Initial clinical experience with the Medtronic Micro Vascular Plug™ in transcatheter occlusion of PDAs in extremely premature infants. Catheter Cardiovasc Interv 89(6):1051–1058. https://doi.org/10.1002/ccd.26878

    Article  PubMed  Google Scholar 

  14. Sathanandam S, Justino H, Waller BR et al (2017) The Medtronic Micro Vascular Plug™ for vascular embolization in children with congenital heart diseases. J Interv Cardiol 30(2):177–184. https://doi.org/10.1111/joic.12369

    Article  PubMed  Google Scholar 

Download references

Author information

Affiliations

Authors

Corresponding author

Correspondence to Francesco Giurazza.

Ethics declarations

Conflict of interest

The authors declare that they have no conflict of interest.

Research involving human participants

All procedures performed in studies involving human participants were in accordance with the ethical standards of the institutional and national research committee and with the 1964 Helsinki declaration and its later amendments or comparable ethical standards.

Informed consent

Informed consent was obtained from all individual patients included in the study.

Rights and permissions

Reprints and Permissions

About this article

Verify currency and authenticity via CrossMark

Cite this article

Giurazza, F., Corvino, F., Cavaglià, E. et al. Arterial embolizations with microvascular plug in extracranial and intracranial districts: technical results. Radiol med 123, 236–243 (2018). https://doi.org/10.1007/s11547-017-0831-x

Download citation

  • Received:

  • Accepted:

  • Published:

  • Issue Date:

  • DOI: https://doi.org/10.1007/s11547-017-0831-x

Keywords

  • Microvascular plug (MVP)
  • Arterial
  • Embolization
  • Microcatheter