Skip to main content

Ethylene–vinyl alcohol copolymer as embolic agent for treatment of type II endoleak: our experience

Abstract

Aim

To evaluate safety, technical and clinical success of embolization of type II endoleak (T2 EL) using ethylene-vinyl alcohol copolymer as embolic agent alone or in combination with others materials.

Materials and Methods

From March 2007 to March 2015, 104 patients presented T2 EL during follow-up. A total of 21 patients met the criteria for treatment. T2 EL was treated with TAE (n = 18), DPSI (n = 10) or laparoscopic ligature of the inferior mesenteric artery (n = 1). DPSI was considered in case TAE was unsuccessful (8/18 patients). Ethylene–vinyl alcohol copolymer was used as embolic agent in 12 patients: alone in 5 cases, in association with glue and with glue and thrombin in 3 and 2 cases, respectively, during TAE. Onyx was injected in two cases of embolization performed with DPSI: in one case alone and in the other in combination with thrombin and glue.

Results

Technical success rate was 100%. Immediate clinical success was 91.7%; in one patient CEUS revealed persistent T2 EL, decreased if compared with that before the procedure. Secondary clinical success was 91.7%; until today, in one patient T2EL is persistent, nevertheless, the sac diameter remained stable. No major or minor complications were registered.

Conclusions

Onyx could be an ideal embolic agent for endovascular and percutaneous embolization of T2 EL.

This is a preview of subscription content, access via your institution.

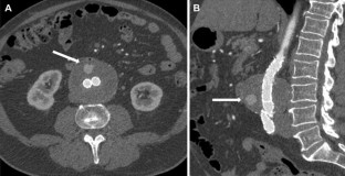
Fig. 1
Fig. 2
Fig. 3

References

  1. O’Connor PJ, Lookstein RA (2015) Predictive factors for the developments of type 2 endoleak following endovascular aneurysm repair. Semin Interv Radiol 32(3):272–277

    Article  Google Scholar 

  2. Gelfand DV, White GH, Wilson SE (2006) Clinical significance of type II endoleak after endovascular repair of abdominal aorticaneurysm. Ann Vasc Surg 20:69–74

    Article  PubMed  Google Scholar 

  3. Wisselink W, Cuesta MA, Berends FJ, van den Berg FG, Rauwerda JA (2000) Retroperitoneal endoscopic ligation of lumbar and inferior mesenteric arteries as a treatment of persistent endoleak after endoluminal aortic aneurysm repair. J Vasc Surg 31:1240–1244

    CAS  Article  PubMed  Google Scholar 

  4. Baum RA, Stavropoulos SW, Fairman RM et al (2003) Endoleaks after endovascular repair of abdominal aorti caneurysms. J Vasc Interv Radiol 14:1111–1117

    Article  PubMed  Google Scholar 

  5. Rand T, Uberoi R, Cil B, Munneke G, Tsetis D (2013) Quality improvement guidelines for imaging detection and treatment of endoleaks following endovascular aneurysm repair (EVAR). Cardiovasc Interv Radiol 36:35–45

    CAS  Article  Google Scholar 

  6. Guimaraes M, Wooster M (2011) Onyx (ethylene–vinyl alcohol copolymer) in peripheral applications. Semin Interv Radiol 28:350–356

    Article  Google Scholar 

  7. Ierardi AM, Tsetis D, Ioannou C et al (2015) Ultra-low profile polymer-filled stent graft for abdominal aortic aneurysm treatment: a two-year follow-up. Radiol Med 120(6):542–548

    Article  PubMed  Google Scholar 

  8. Cerini P, Guzzardi G, Divenuto I et al (2016) Are abdominal aortic aneurysms with hostile neck really unsuitable for EVAR? Our experience. Radiol Med 121:528–535

    Article  PubMed  Google Scholar 

  9. Park YS, Do YS, Park HS, Park KB, Kim DI (2015) Experience of direct percutaneous sac injection in type II endoleak using cone beam computed tomography. Ann Surg Treat Res 88(4):232–235

    Article  PubMed  PubMed Central  Google Scholar 

  10. Molyneux AJ, Coley S (2000) Embolizationof spinal cord arteriovenous malformations with ethylene-vinylalcohol copolymer dissolved in dimethylsulfoxide (Onyx liquid embolic system). J Neurosurg 93:304–308

    CAS  PubMed  Google Scholar 

  11. Cantasdemir M, Gulsen F, Solak S, Gulsen GY, Kantarci F, Numan F (2012) The use of Onyx for embolization of peripheral vascular malformations in pediatric patients. Pediatr Surg Int 28:477–487

    Article  PubMed  Google Scholar 

  12. Murayama Y, Vinuela F, Ulhoa A, Akiba Y, Duckwiler GR, Gobin YP et al (1998) Non adhesive liquid embolic agent for cerebral arteriovenous malformations: preliminary histopathological studies in swine rete mirabile. Neurosurgery 43:1164–1175

    CAS  Article  PubMed  Google Scholar 

  13. Duffner F, Ritz R, Bornemann A, Freudenstein D, Wiendl H, Siekmann R (2002) Combined therapy of cerebral arteriovenous malformations: histological differences between a non-adhesive liquid embolic agent and n-butyl 2-cyanoacrylate (NBCA). Clin Neuropathol 21:13–17

    CAS  PubMed  Google Scholar 

  14. Vanninen RL, Manninen I (2007) Onyx, a new liquid embolic material for peripheral interventions: preliminary experience in aneurysm, pseudoaneurysm, and pulmonary arteriovenous malformation embolization. Cardiovasc Interv Radiol 30:196–200

    Article  Google Scholar 

Download references

Acknowledgements

Our acknowledgements are for our department chair, who provided general support.

Author information

Affiliations

Authors

Corresponding author

Correspondence to Gianpaolo Carrafiello.

Ethics declarations

Conflict of interest

Authors declare to have no conflict of interest.

Funding

This research received no specific grant from any funding agency in the public, commercial, or not-for-profit sectors.

Ethical approval

All procedures performed in studies involving human participants were in accordance with the ethical standards of the institutional and/or national research committee and with the 1964 Helsinki declaration and its later amendments or comparable ethical standards.

Informed consent

Additional informed consent was obtained from all individual participants for whom identifying information is included in this article.

Rights and permissions

Reprints and Permissions

About this article

Verify currency and authenticity via CrossMark

Cite this article

Ierardi, A.M., Micieli, C., Angileri, S.A. et al. Ethylene–vinyl alcohol copolymer as embolic agent for treatment of type II endoleak: our experience. Radiol med 122, 154–159 (2017). https://doi.org/10.1007/s11547-016-0703-9

Download citation

  • Received:

  • Accepted:

  • Published:

  • Issue Date:

  • DOI: https://doi.org/10.1007/s11547-016-0703-9

Keywords

  • Ethylene-vinyl alcohol copolymer
  • Onyx
  • Type II endoleak
  • Embolization