Skip to main content

Idiopathic interstitial pneumonias: do HRCT criteria established by ATS/ERS/JRS/ALAT in 2011 predict disease progression and prognosis?

Abstract

Purpose

The objective of the study was to determine whether HRCT criteria for Usual Interstitial Pneumonia (UIP), possible UIP or no-UIP pattern recommended by ATS/ERS/JRS/ALAT guidelines 2011 are able to predict progression and prognosis of the disease in a group of patients with fibrotic idiopathic interstitial pneumonia (IIP).

Materials and methods

This was a retrospective study conducted with the approval of the ethics committee. Two radiologists at baseline HRCT distributed 70 patients with fibrotic IIP into three groups on the basis of the 2011 guidelines: UIP pattern (group 1), possible UIP pattern (group 2), inconsistent with UIP pattern (group 3). The different abnormalities (honeycombing, reticulation, ground-glass and traction bronchiectasis), fibrotic score (reticulation + honeycombing) and overall CT score were visually scored at baseline and during the follow-up (total HRCT 178). The mortality rate of the three groups was compared. The baseline abnormalities were then correlated with the mortality rate in the UIP group.

Results

The inter-observer agreement in the classification of the abnormalities in the three groups was almost perfect (k = 0.92). After consensus, 44 patients were classified into group 1, 13 into group 2 and 13 into group 3. During a mean follow-up of 1386 days, overall CT score, fibrotic score, honeycombing and traction bronchiectasis showed a significant progression in group 1. The mortality rate was significantly higher in group 1 (18 deaths) versus group 2 and 3 (1 death each). In group 1, baseline honeycombing rate higher than 25 %, fibrotic score higher than 30, overall CT score greater than 45 and traction bronchiectasis in more than 4 lobes defined the worst prognosis.

Conclusion

HRCT classification based on 2011 guidelines showed high accuracy in stratifying fibrotic changes because in our study UIP, possible UIP and inconsistent with UIP pattern seem to be correlated with different disease progression and mortality rate.

This is a preview of subscription content, access via your institution.

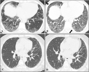
Fig. 1
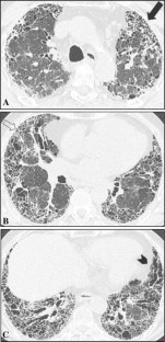
Fig. 2
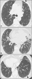
Fig. 3
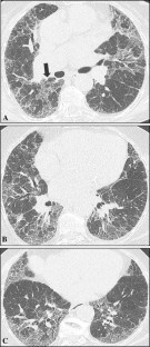
Fig. 4
Fig. 5
Fig. 6
Fig. 7

References

  1. American Thoracic Society; European Respiratory Society (2000) Idiopathic pulmonary fibrosis: diagnosis and treatment: international consensus statement. Am J Respir Crit Care Med 161:646–664

    Article  Google Scholar 

  2. American Thoracic Society; European Respiratory Society (2002) American Thoracic Society/European Respiratory Society international multidisciplinary consensus classification of idiopathic interstitial pneumonias. Am J Respir Crit Care Med 165:277–304

    Article  Google Scholar 

  3. Travis WD, Costabel U, Hansell DM, King TE Jr, Lynch DA, Nicholson AG, Ryerson CJ, Ryu JH, Selman M, Wells AU, Behr J, Bouros D, Brown KK, Colby TV, Collard HR, Cordeiro CR, Cottin V, Crestani B, Drent M, Dudden RF, Egan J, Flaherty K, Hogaboam C, Inoue Y, Johkoh T, Kim DS, Kitaichi M, Loyd J, Martinez FJ, Myers J, Protzko S, Raghu G, Richeldi L, Sverzellati N, Swigris J, Valeyre D, ATS/ERS Committee on Idiopathic Interstitial Pneumonias (2013) An official American Thoracic Society/European Respiratory Society statement: Update of the international multidisciplinary classification of the idiopathic interstitial pneumonias. Am J Respir Crit Care Med 188:733–748

    Article  PubMed  Google Scholar 

  4. Flaherty KR, Toews GB, Travis WD, Colby TV, Kazerooni EA, Gross BH, Jain A, Strawderman RL, Paine R, Flint A, Lynch JP III, Martinez FJ (2002) Clinical significance of histological classification of idiopathic interstitial pneumonia. Eur Respir J 19:275–283

    CAS  Article  PubMed  Google Scholar 

  5. Bjoraker JA, Ryu JH, Edwin MK, Myers JL, Tazelaar HD, Schroeder DR, Offord KP (1998) Prognostic significance of histopathologic subsets in idiopathic pulmonary fibrosis. Am J Respir Crit Care Med 157:199–203

    CAS  Article  PubMed  Google Scholar 

  6. Hansell DM (2013) Classification of diffuse lung diseases: why and how. Radiology 268:628–640

    Article  PubMed  Google Scholar 

  7. Peikert T, Daniels CE, Beebe TJ, Meyer KC, Ryu JH, Interstitial Lung Diseases Network of the American College of Chest Physicians (2008) Assessment of current practice in the diagnosis and therapy of idiopathic pulmonary fibrosis. Respir Med 102(9):1342–1348

    CAS  Article  PubMed  Google Scholar 

  8. Diette GB, Scatarige JC, Haponik EF, Merriman B, Fisherman EK (2005) Do high-resolution CT findings of usual interstitial pneumonitis obviate lung biopsy? Views of pulmonologists. Respiration 72:134–141

    Article  PubMed  Google Scholar 

  9. Utz JP, Ryu JH, Douglas WW, Tazelaar HD, Myers JL, Allen MS, Schroeder DR (2001) High short term mortality following lung biopsy for usual interstitial pneumonia. Eur Respir J 17:175–179

    CAS  Article  PubMed  Google Scholar 

  10. Yuksel M, Ozyurtkan MO, Bostanci K, Ahiskali R, Kodalli N (2006) Acute exacerbation of interstitial fibrosis after pulmonary resection. Ann Thorac Surg 82:336–338

    Article  PubMed  Google Scholar 

  11. Collard HR, King TE Jr, Bartelson BB, Vourlekis JS, Schwarz MI, Brown KK (2003) Changes in clinical and physiologic variables predict survival in idiopathic pulmonary fibrosis. Am J Respir Crit Care Med 168:538–542

    Article  PubMed  Google Scholar 

  12. Flaherty KR, Mumford JA, Murray S, Kazerooni EA, Gross BH, Colby TV, Travis WD, Flint A, Toews GB, Lynch JP III, Martinez FJ (2003) Prognostic implication of physiologic and radiographic changes in idiopathic interstitial pneumonia. Am J Respir Crit Care Med 168:543–548

    Article  PubMed  Google Scholar 

  13. Flaherty KR, Thwaite EL, Kazerooni EA, Gross BH, Toews GB, Colby TV, Travis WD, Mumford JA, Murray S, Flint A, Lynch JP III, Martinez FJ (2003) Radiological versus histological diagnosis in UIP and NSIP: survival implications. Thorax 53:143–148

    Article  Google Scholar 

  14. Mura M, Porretta MA, Bargagli E, Sergiacomi G, Zompatori M, Sverzellati N, Taglieri A, Mezzasalma F, Rottoli P, Saltini C, Rogliani P (2012) Predicting survival in newly diagnosed idiopathic pulmonary fibrosis: a 3-year prospective study. Eur Respir J 40(1):101–109

    Article  PubMed  Google Scholar 

  15. Raghu G, Collard HR, Egan JJ, Martinez FJ, Behr J, Brown KK, Colby TV, Cordier JF, Flaherty KR, Lasky JA, Lynch DA, Ryu JH, Swigris JJ, Wells AU, Ancochea J, Bouros D, Carvalho C, Costabel U, Ebina M, Hansell DM, Johkoh T, Kim DS, King TE Jr, Kondoh Y, MyersJ Müller NL, Nicholson AG, Richeldi L, Selman M, Dudden RF, Griss BS, Protzko SL, Schünemann HJ, ATS/ERS/JRS/ALAT Committee on Idiopathic Pulmonary Fibrosis (2011) An officialATS/ERS/JRS/ALAT statement: idiopathic pulmonary fibrosis: evidence-based guidelines for diagnosis and management. Am J Respir Crit Care Med 183:788–824

    Article  PubMed  Google Scholar 

  16. Raghu G, Lynch D, Godwin JD, Webb R, Colby TV, Leslie KO, Behr J, Brown KK, Egan JJ, Flaherty KR, Martinez FJ, Wells AU, Shao L, Zhou H, Pedersen PS, Sood R, Montgomery AB, O’Riordan TG (2014) Diagnosis of idiopathic pulmonary fibrosis with high-resolution CT in patients with little or no radiological evidence of honeycombing: secondary analysis of a randomised, controlled trial. Lancet Respir Med 2:277–284

    Article  PubMed  Google Scholar 

  17. Shin KM, Lee KS, Chung MP, Bae YA, Kim TS, Chung MJ (2008) Prognostic determinants among clinical, thin-section CT, and histopathologic findings for fibrotic idiopathic interstitial pneumonias: tertiary hospital study. Radiology 249(1):328–337

    Article  PubMed  Google Scholar 

  18. Schmidt SL, Sundaram B, Flaherty KR (2009) Diagnosing fibrotic lung disease: when is high resolution computed tomography sufficient to make a diagnosis of idiopathic pulmonary fibrosis? Respirology 14(7):934–939

    Article  PubMed  Google Scholar 

  19. Lee HY, Lee KS, Jeong YJ, Hwang JH, Kim HJ, Chung MP, Han J (2012) High-resolution CT findings in fibrotic idiopathic interstitial pneumonias with little honeycombing: serial changes and prognostic implications. AJR Am J Roentgenol 199(5):982–989

    Article  PubMed  Google Scholar 

  20. Altman DG (1991) Practical Statistics for Medical Research. Chapman & Hall, London

    Google Scholar 

  21. Armitage P, Berry G (1994) Statistical methods in Medical Research, 3rd edn. Blackwell, Oxford

    Google Scholar 

  22. Siegel S (1956) Nonparametric statistics for the behavioral sciences. McGraw-Hill, New York

    Google Scholar 

  23. Dwyer JH, Feinleib M (1992) Introduction to statistical models for longitudinal observation. In: Dwyer JH, Feinleib M, Lippert P, Hoffmeister H (eds) Statistical. Models for Longitudinal Studies of Health. Oxford University Press, New York, pp 3–48

    Google Scholar 

  24. Cox DR, Oakes D (1984) Analysis of Survival Data. Chapman & Hall, London

    Google Scholar 

  25. Galvin JR, Frazier AA, Franks TJ (2010) Collaborative radiologic and histopathologic assessment of fibrotic lung disease. Radiology 255(3):692–706

    Article  PubMed  Google Scholar 

  26. Sverzellati N, Calabrò E, Chetta A, Concari G, Larici AR, Mereu M, Cobelli R, De Filippo M, Zompatori M (2007) Visual score and quantitative CT indices in pulmonary fibrosis: relationship with physiologic impairment. Radiol Med 112(8):1160–1172 Epub 2007 Dec 13

    CAS  Article  PubMed  Google Scholar 

  27. Edey AJ, Devaraj AA, Barker RP, Nicholson AG, Wells AU, Hansell DM (2011) Fibrotic idiopathic interstitial pneumonias: HRCT findings that predict mortality. Eur Radiol 21(8):1586–1593

    Article  PubMed  Google Scholar 

  28. Johkoh T, Müller NL, Cartier Y, Kavanagh PV, Hartman TE, Akira M, Ichikado K, Ando M, Nakamura H (1999) Idiopathic interstitial pneumonias: diagnostic accuracy of thin-section CT in 129 patients. Radiology 211(2):555–560

    CAS  Article  PubMed  Google Scholar 

  29. Thomeer M, Demedts M, Behr J, Buhl R, Constabel U et al (2008) Multidisciplinary interobserved agreement in the diagnosis of idiopathic pulmonary fibrosis. Eur Respir J 31:585–591

    CAS  Article  PubMed  Google Scholar 

  30. Sverzellati N, De Filippo M, Bartalena T, Piciucchi S, Zompatori M (2010) High-resolution computed tomography in the diagnosis and follow-up of idiopathic pulmonary fibrosis. Radiol Med 115(4):526–538

    CAS  Article  PubMed  Google Scholar 

  31. Sumikawa H, Johkoh T, Fujimoto K, Arakawa H, Colby TV, Fukuoka J, Taniguchi H, Kondoh Y, Kataoka K, Ogura T, Baba T, Ichikado K, Gyobu T, Yanagawa M, Honda O, Tomiyama N (2014) Pathologically proved nonspecific interstitial pneumonia: CT pattern analysis as compared with usual interstitial pneumonia CT Pattern. Radiology 272(2):549–556

    Article  PubMed  Google Scholar 

  32. Best AC, Meng J, Lynch AM, Bozic CM, Miller D, Grunwald GK, Lynch DA (2008) Idiopathic pulmonary fibrosis: physiologic tests, quantitative CT indexes, and CT visual scores as predictors of mortality. Radiology 246(3):935–940

    Article  PubMed  Google Scholar 

  33. Sumikawa H, Johkoh T, Colby TV, Ichikado K, Suga M, Taniguchi H, Kondoh Y, Ogura T, Arakawa H, Fujimoto K, Inoue A, Mihara N, Honda O, Tomiyama N, Nakamura H, Muller NL (2008) Computed tomography findings in pathological usual interstitial pneumonia. Relation to survival. Am J Respir Crit Care Med 177:433–439

    Article  PubMed  Google Scholar 

  34. Lynch DA, Godwin JD, Safrin S, Starko KM, Hormel P, Brown KK, Raghu G, King TE Jr, Bradford WZ, Schwartz DA, Webb WR (2005) High-resolution computed tomography in idiopathic pulmonary fibrosis. Diagnosis and prognosis. Am J Respir Crit Care Med 172:488–493

    Article  PubMed  Google Scholar 

  35. Misumi S, Lynch DA (2006) Idiopathic pulmonary fibrosis/usual interstitial pneumonia: imaging diagnosis, spectrum of abnormalities, and temporal progression. Proc Am Thorac Soc 3(4):307–314

    Article  PubMed  Google Scholar 

Download references

Conflict of interest

All the authors have no disclosures of possible conflict of interest and/or commercial involvement.

Ethical standards

This article does not contain any studies with human participants or animals performed by any of the authors.

Author information

Affiliations

Authors

Corresponding author

Correspondence to Chiara Romei.

Rights and permissions

Reprints and Permissions

About this article

Verify currency and authenticity via CrossMark

Cite this article

Romei, C., Tavanti, L., Sbragia, P. et al. Idiopathic interstitial pneumonias: do HRCT criteria established by ATS/ERS/JRS/ALAT in 2011 predict disease progression and prognosis?. Radiol med 120, 930–940 (2015). https://doi.org/10.1007/s11547-015-0526-0

Download citation

  • Received:

  • Accepted:

  • Published:

  • Issue Date:

  • DOI: https://doi.org/10.1007/s11547-015-0526-0

Keywords

  • Idiopathic interstitial pneumonia
  • Usual interstitial pneumonia (UIP)
  • Idiopathic pulmonary fibrosis (IPF)
  • Prognosis