











References
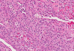
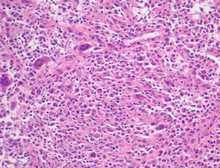
Li CF, Wang J, Huang W, Hou C, Chou S, Eng JH, Lin C, Yu S, Huang H (2008) Malignant diffuse-type tenosynovial giant cell tumors: a series of 7 cases comparing with 24 benign lesions with review of the literature. Am J Surg Pathol 32:587–599
Cassier JA, Blay JY et al (2012) Efficacy of imatinib mesylate for the treatment of locally advanced and/or metastatic tenosynovial giant cell tumor/pigmented villonodular synovitis. Cancer 118(6):1649–1655
Somerhausen N, Fletcher C (2000) Diffuse-type giant cell tumor clinicopathologic and immunohistochemical analysis of 50 cases with extraarticular disease. Am J Surg Path 24(4):479–492
Ravi V, Wang W, Lewis VO (2011) Treatment of tenosynovial giant cell tumor and pigmented villondular synovitis. Curr Opin Oncol 23:361–366
Chin KR, Barr SJ, Winalski C et al (2002) Treatment of advanced primary and recurrent diffuse pigmented villonodular synovitis of the knee. J Bone Joint Surg Am 84-A:2192–2202
Cheng H, Clarkson PW, Gao D, Pacheco M, Wang Y, Nielson TO (2010) Therapeutic antibodies targeting CSF1 impede macrophage recruitment in a xenograft model of tenosynovial giant cell tumor. Sarcoma. doi:10.1155/2010/174528
Khandwala HM, McCutcheon IE, Flyvbjerg A, Friend KE (2000) The effects of insulin-like growth factors on tumorigenesis and neoplastic growth. Endocr Rev 21(3):215–244
Giustina A, Mazziotti G, Canalis E (2006) Growth hormone, insulin-like growth factors, and the skeleton. Endocr Rev 29(5):535–559
Myers MG Jr, Sun XJ, Cheatham B, Jachna BR, Glasheem EM, Backer JM, White MF (1993) IRS-1 is a common element in insulin and insulin-like growth factor-1 signaling to the phosphatidylinositol 3′-kinase. Endocrinology 132:1421–1430
Raile K, Höflich A, Kessler U et al (1994) Human osteosarcoma (U-2 OS) cells express both insulin-like growth factor-I (IGF-I) receptors and insulin-like growth factor-II/mannose-6-phosphate (IGF-II/M6P) receptors and synthesize IGF-II: autocrine growth stimulation by IGF-II via the IGF-I receptor. J Cell Physiol 159(3):531–541
Burrow S, Andrulis IL, Pollak M, Bell RS (1998) Expression of insulin-like growth factor receptor, IGF-1, and IGF-2 in primary and metastatic osteosarcoma. J Surg Onc 69:21–27
Steigen SE, Schaeffer DF, West RB, Nielsen TO (2009) Expression of insulin-like growth factor 2 in mesenchymal neoplasms. Modern Path 22:914–921
Pollack MN, Polychronakos C, Richard M (1990) Insulin-like growth factor-I: a potent mitogen for human osteogenic sarcoma. J Natl Cancer Inst 82:301–305
Wang Y, Lipari P, Wang X et al (2010) A fully human insulin-like growth factor-I receptor antibody SCH 717454 (Robatumumab) has antitumor activity as a single agent and in combination with cytotoxics in pediatric tumor xenografts. Mol Cancer Ther 9:410
Tolcher AW, Sarantopoulos J, Patnaik A et al (2009) Phase I, pharmacokinetic and pharmacodynamic study of AMG 479, a fully human monoclo nal antibody to insulin-like growth factor receptor 1. J Clin Oncol 27(34):5800–5807
Olmos D, Postel-Vinay S, Molife LR et al (2010) Safety, pharmacokinetics, and preliminary activity of the anti-IGF-1R antibody figitumumab (CP-751,871) in patients with sarcoma and Ewing’s sarcoma: a phase I expansion cohort study. Lancet Oncol 11(2):129–135
Papp AS, Patel S, Crowley J et al (2010) Activity of R1507, a monoclonal antibody to the insulin-like growth factor-1 receptor (IGF1R), in patients (pts) with recurrent or refractory Ewing’s sarcoma family of tumors (ESFT): results of a phase II SARC study. J Clin Oncol 28:15s
Mita MM, Tolcher AW (2007) The role of mTOR inhibitors for treatment of sarcomas. Curr Onc Rep 9:316–322
Dumez H (2008) A phase I–II study of everoilmus (RAD001) in combination with imatinib in patients with imatinib resistant gastrointestinal stromal tumors (GIST). J Clin Oncol 21(10):1990–1998
Chawla SP, Blay J, Ray-Coquard IL, Cesne AL, Staddon AP, et al. (2011) Results of the phase III, placebo-controlled trial (SUCCEED) evaluating the mTOR inhibitor ridaforolimus (R) as maintenance therapy in advanced sarcoma patients (pts) following clinical benefit from prior standard cytotoxic chemotherapy (CT). J Clin Oncol 29 (suppl; abstr 10005)
O’Reilly KE, Rojo F, She QB, Solit D, Mills GB, Smith D et al (2006) mTOR inhibition induces upstream receptor tyrosine kinase signaling and activates Akt. Cancer Res 66:1500–1508
Quek R, Wang Q, Morgan JA et al (2011) Combination mTOR and IGF-1R inhibition: phase I trial of everolimus and figitumumab in patients with advanced sarcomas and other solid tumors. Clin Cancer Res 17:871–879
Conflict of interest
The authors declare that they have no conflict of interest.
Author information
Authors and Affiliations
Corresponding author
Rights and permissions
About this article
Cite this article
Sikaria, S., Heim-Hall, J., Diaz, E.H. et al. Partial response of a rare malignant metastatic diffuse tenosynovial giant cell tumor with benign histologic features, treated with SCH 717–454, an insulin growth factor receptor inhibitor, in combination with everolimus, an MTOR inhibitor. Targ Oncol 9, 73–79 (2014). https://doi.org/10.1007/s11523-013-0267-8
Received:
Accepted:
Published:
Issue Date:
DOI: https://doi.org/10.1007/s11523-013-0267-8