Skip to main content

Automatic detection and classification of leukocytes using convolutional neural networks

Abstract

The detection and classification of white blood cells (WBCs, also known as Leukocytes) is a hot issue because of its important applications in disease diagnosis. Nowadays the morphological analysis of blood cells is operated manually by skilled operators, which results in some drawbacks such as slowness of the analysis, a non-standard accuracy, and the dependence on the operator’s skills. Although there have been many papers studying the detection of WBCs or classification of WBCs independently, few papers consider them together. This paper proposes an automatic detection and classification system for WBCs from peripheral blood images. It firstly proposes an algorithm to detect WBCs from the microscope images based on the simple relation of colors RB and morphological operation. Then a granularity feature (pairwise rotation invariant co-occurrence local binary pattern, PRICoLBP feature) and SVM are applied to classify eosinophil and basophil from other WBCs firstly. Lastly, convolution neural networks are used to extract features in high level from WBCs automatically, and a random forest is applied to these features to recognize the other three kinds of WBCs: neutrophil, monocyte and lymphocyte. Some detection experiments on Cellavison database and ALL-IDB database show that our proposed detection method has better effect almost than iterative threshold method with less cost time, and some classification experiments show that our proposed classification method has better accuracy almost than some other methods.

This is a preview of subscription content, access via your institution.

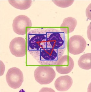
Fig. 1
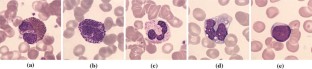
Fig. 2
Fig. 3
Fig. 4
Fig. 5
Fig. 6
Fig. 7
Fig. 8

References

  1. Ding Y, John NW, Smith L, Sun JA, Smith M (2015) Combination of 3D skin surface texture features and 2D ABCD features for improved melanoma diagnosis. Med Biol Eng Comput 53(10):961–974

    Article  PubMed  Google Scholar 

  2. Ross NE, Pritchard CJ, Rubin DM, Duse AGY, Ding NW, John L, Smith JA, Sun MS (2006) Automated image processing method for the diagnosis and classification of malaria on thin blood smears. Med Biol Eng Comput 44(5):427–436

    Article  PubMed  Google Scholar 

  3. Acharya UR, Mookiah MRK, Sree SV, Afonso D, Sanches J, Shafique S, Nicolaides A, Pedro LM, Fernandes JFE, Suri JS (2013) Atherosclerotic plaque tissue characterization in 2D ultrasound longitudinal carotid scans for automated classification: a paradigm for stroke risk assessment. Med Biol Eng Comput 51(5):513–523

    Article  PubMed  Google Scholar 

  4. Su MC, Cheng CY, Wang PC (2014) A neural-network-based approach to white blood cell classification. Sci World J 1:1–9

    Google Scholar 

  5. Gu G, Cui D, Li X (2012) Segmentation of overlapping Leucocyte images with phase detection and spiral interpolation. Comput Methods Biomech Biomed Eng 15(4):425–433

    Article  Google Scholar 

  6. Sheikh H, Zhu B, Tzanakou EM (1996) Blood cell identification using neural networks. In: Proceedings of the IEEE 22nd annual northeast bioengineering xonference, pp 119–120

  7. Yampri P, Pintavirooj C, Daochai S, Teartulakarn S (2006) White blood cell classification based on the combination of eigen cell and parametric feature detection. In: Proceedings of the 1st IEEE conference on industrial electronics and applications (ICIEA 06), pp 1–4

  8. Lin QM, Deng YY (2002) An accurate segmentation method for white blood cell images. IEEE Int Symp Biomed Imaging 2002:245–248

    Google Scholar 

  9. Shirazi SH, Umar AI, Naz S, Razzak MI (2016) Efficient Leukocyte segmentation and recognition in peripheral blood image. Technol Health Care 24(3):335–347

    Article  PubMed  Google Scholar 

  10. Li Y, Zhu R, Mi L, Cao YH, Yao D (2016) Segmentation of white blood cell from acute Lymphoblastic Leukemia images using dual-threshold method. Comput Math Methods Med. doi:10.1155/2016/9514707

    Google Scholar 

  11. Bikhet SF, Darwish AM, Tolba HA, Shaheen SI (2000) Segmentation and classification of white blood cells. Proc IEEE Int Conf Acoust Speech Signal Process 4:2259–2261

    Google Scholar 

  12. Nilufar S, Ray N, Zhang H (2008) Automatic blood cell classification based on joint histogrambased feature and Bhattacharya Kernel. In: Proceedings of the 42nd Asilomar conference on signals, systems and computers (ASILOMAR 08), pp 1915–1918

  13. Nazlibilek S, Karacor D, Ercan T, Sazli MH, Kalender O, Ege Y (2014) Automatic segmentation, counting, size determination and classification of white blood cells. Measurement 55:58–65

    Article  Google Scholar 

  14. Wu J, Zeng P, Zhou Y, Olivier C (2007) A novel color image segmentation method and its application to white blood cell image analysis. In: International conference on signal processing proceedings, ICSP, vol 2

  15. Dorini LB, Minetto R, Leite NJ (2013) Semiautomatic white blood cell segmentation based on multiscale analysis. IEEE J Biomed Health Inform 17(1):250–256

    CAS  Article  PubMed  Google Scholar 

  16. Osowski S, Siroic R, Markiewicz T, Siwek K (2009) Application of support vector machine and genetic algorithm for improved blood cell recognition. IEEE Trans Instrum Meas 58(7):2159–2168

    Article  Google Scholar 

  17. Rubeto CD, Dempster A, Khan S, Jarra B (2000) Segmentation of blood images using morphological operators. In: Proceedings of the 15th international conference on pattern recognition, vol 3, p 3401

  18. Rezatofighi SH, Soltanian-Zadeh H (2011) Automatic recognition of five types of white blood cells in peripheral blood. Comput Med Imaging Graph 35(4):333–343

    Article  PubMed  Google Scholar 

  19. Guimaraes LV, Suzim AA, Maeda J (2000) A new automatic circular decomposition algorithm applied to blood cells image. In: IEEE international symposium on bio-informatics and biomedical engineering, pp 277–280

  20. Chassery JM, Garbay C (1984) An iterative segmentation method based on contextual color and shape criterion. IEEE Trans Pattern Anal Mach Intell 6(6):794–800

    CAS  Article  PubMed  Google Scholar 

  21. Ghosh P, Bhattacharjee D, Nasipuri M (2016) Blood smear analyzer for white blood cell counting: a hybrid microscopic image analyzing technique. Appl Soft Comput 46:629–638

    Article  Google Scholar 

  22. Hazlyna N, Mashor MY (2011) Segmentation technique for acute leukemia blood cells images using saturation component and moving l-mean clustering procedures. Int J Electr Electron Eng Technol 1:23–35

    Google Scholar 

  23. Salihah ANA, Mashor MY, Harun NH, Abdullah AA, Rosline H (2010) Improving colour image segmentation on acute myelogenous leukaemia images using contrast enhancement techniques. In: Proceedings of the IEEE EMBS conference on biomedical engineering and sciences (IECBES 10), pp 246–251

  24. Cuevas E, Díaz M, Manzanares M, Zaldivar D, Pérez-Cisneros M (2013) An improved computer vision method for white blood cells detection. Comput Math Methods Med 2013:137392. doi:10.1155/2013/137392

    PubMed  PubMed Central  Google Scholar 

  25. Cuevas E, Oliva D, Díaz M, Zaldivar D, Pérez-Cisneros M, Pajares G (2013) White blood cell segmentation by circle detection using electromagnetism-like optimization. Comput Math Methods Med 2013:395071

    PubMed  PubMed Central  Google Scholar 

  26. Chaira T (2014) Accurate segmentation of Leukocyte in blood cell images using Atanassov’s intuitionistic fuzzy and interval Type II fuzzy set theory. Micron 61:1–8

    Article  PubMed  Google Scholar 

  27. Guo N, Zeng L, Wu Q (2007) A method based on multispectral imaging technique for white blood cell segmentation. Comput Biol Med 37(1):70–76

    Article  PubMed  Google Scholar 

  28. Mohapatra S, Patra D, Satpathy S (2011) Automated leukemia detection in blood microscopic images using statistical texture analysis. In: Proceedings of the 2011 international conference on communication, computing and security, pp 184–187

  29. Sinha N, Ramakrishnan AG (2003) Automation of differential blood count. Proc TENCON Conf Converg Technol Asia Pac Reg 2:547–551

    Google Scholar 

  30. Kuse M, Sharma T, Gupta S (2010) A classification scheme for lymphocyte segmentation in H&E stained histology images. In: Ünay D, Çataltepe Z, Aksoy S (eds) Recognizing patterns in signals, speech, images and videos. Springer, Berlin, pp 235–243

    Chapter  Google Scholar 

  31. Tai WL, Hu RM, Hsiao HCW, Chen RM, Tsai JJP (2011) Blood cell image classification based on Hierarchical SVM. IEEE Int Symp Multimed ISM 2011:129–136

    Google Scholar 

  32. Hinton GE, Osindero S, Teh YW (2006) A fast learning algorithm for deep belief nets. Neural Comput 18(7):1527–1554

    Article  PubMed  Google Scholar 

  33. LeCun Y, Bengio Y (1995) Convolutional networks for images, speech, and time series. In: Arbib MA (ed) The handbook of brain theory and neural networks. MIT Press, Cambridge, MA, USA, pp 255–258

    Google Scholar 

  34. Krizhevsky A, Sutskever I, Hinton GE (2012) Imagenet classification with deep convolutional neural networks. Adv Neural Inf Process Syst 25(2):1097–1105

    Google Scholar 

  35. Umpon NT, Gader PD (2002) System-level training of neural networks for counting white blood cells. IEEE Trans Syst Man Cybern Part C 32(1):48–53

    Article  Google Scholar 

  36. Long X, Cleveland WL, Yao YL (2005) A new preprocessing approach for cell recognition. IEEE Trans Inf Technol Biomed 9:407–412

    Article  PubMed  Google Scholar 

  37. Nattkemper TW, Ritter HJ, Schubert W (2001) A neural classifier enabling highthroughput topological analysis of lymphocytes in tissue sections. IEEE Trans Inf Technol Biomed 5:138–149

    CAS  Article  PubMed  Google Scholar 

  38. Shitong W, Min W (2006) A new detection algorithm (NDA) based on fuzzy cellular neural networks for white blood cell detection. IEEE Trans Inf Technol Biomed 10:5–10

    Article  PubMed  Google Scholar 

  39. Ravikumar S (2016) Image segmentation and classification of white blood cells with the extreme learning machine and the fast relevance vector machine. Artif Cells Nanomed Biotechnol 44(3):985–989

    CAS  PubMed  Google Scholar 

  40. Bomma R, Venkatesh P, Dlvnsssr AK, Babu AY, Rao SK (2012) PONDR (predicators of natural disorder regions). Int J Comput Technol Electron Eng IJCTEE 2(4):1–10

    Google Scholar 

  41. Domenico TD, Walsh L, Martin AJM, Tosatto SCE (2012) MobiDB: a comprehensive database of intrinsic protein disorder annotations. Bioinformatics 28(15):2080–2081

    Article  PubMed  Google Scholar 

  42. Qi XB, Xiao R, Li CG, Qiao Y, Guo J, Tang XO (2014) Pairwise rotation invariant co-occurrence local binary pattern. IEEE Trans Pattern Anal Mach Intell 36(11):2199–2213

    Article  PubMed  Google Scholar 

  43. Gonzalez RC (2009) Digital image processing. Pearson Education India, New York City, pp 649–657

    Google Scholar 

  44. Ojala T, Pietikäinen M, Mäenpää T (2002) Multiresolution grayscale and rotation invariant texture classification with local binary patterns. IEEE Trans Pattern Anal Mach Intell 24(7):971–987

    Article  Google Scholar 

  45. Vapnik VN (1999) An overview of statistical learning theory. IEEE Trans Neural Netw 10(5):988–999

    CAS  Article  PubMed  Google Scholar 

  46. Breiman L (2001) Random forests. Mach Learn 45(1):5–32

    Article  Google Scholar 

  47. Cellavision Inc (2011). http://www.cellavision.com/

  48. Labati RD, Piuri V, Scotti F (2011) All-IDB: the acute lymphoblastic leukemia image database for image processing. In: 18th IEEE international conference on image processing (ICIP), pp 2045–2048

  49. Bauer E, Kohavi R (1999) An empirical comparison of voting classification algorithms: bagging, boosting, and variants. Mach Learn 36(1–2):105–139

    Article  Google Scholar 

Download references

Acknowledgements

This study was funded by the National Natural Science Foundation of China (61571410, 61672477, and 91330118) and the Zhejiang Provincial Nature Science Foundation of China (LY14A010027).

Author information

Affiliations

Authors

Corresponding author

Correspondence to Feilong Cao.

Ethics declarations

Conflict of interest

The authors declare that they have no conflict of interest.

Human and animal rights

This study did not involve human participants and animals.

Informed consent

The all authors of this paper have consented the submission.

Rights and permissions

Reprints and Permissions

About this article

Verify currency and authenticity via CrossMark

Cite this article

Zhao, J., Zhang, M., Zhou, Z. et al. Automatic detection and classification of leukocytes using convolutional neural networks. Med Biol Eng Comput 55, 1287–1301 (2017). https://doi.org/10.1007/s11517-016-1590-x

Download citation

  • Received:

  • Accepted:

  • Published:

  • Issue Date:

  • DOI: https://doi.org/10.1007/s11517-016-1590-x

Keywords

  • White blood cell
  • Detection
  • Classification
  • Convolutional neural networks
  • Random forest