Skip to main content

The inductive effects of Centella asiatica on rat spermatogenic cell apoptosis in vivo

Abstract

Centella asiatica (L.) Urban has been traditionally used for the treatment of various disease and as a food for thousands of years in various parts of the world including eastern Asia, China and India. The goal of this study was to investigate the effects of Centella asiatica aqueous leaf extract on the induction of spermatogenic cell apoptosis in male rats. After lethal dose (LD50) assessment of plant extract, rats were divided in five groups. The experimental groups received orally 10, 50, 80 and 100 mg/kg aqueous leaf extract daily for 60 days and the control group received just water. After 60 days, body and testis weight were measured and blood samples were taken from the heart. To evaluate apoptosis and histological changes, tissue samples obtained from rat testes were stained by TUNEL assay and hematoxylin and eosin stain. Results showed that the sperm count, motility, and viability and the number of spermatogenic cells in the seminiferous tubules were significantly decreased compared with the control group. The number of apoptotic germ cells per seminiferous tubule cross-section was significantly increased in the experimental group (18.11 ± 3.5) compared with the control group (8.7 ± 0.81) (P < 0.05). Serum testosterone, follicle-stimulating hormone, and luteinizing hormone levels also showed significant decreases in the experimental groups (P < 0.05). There was also a significant decrease in testis weight in experimental groups compared with the control group (P < 0.05). It is concluded that Centella asiatica has toxicological effects on the reproductive system in male rats and, therefore, it is suggested that leaf extracts of Centella asiatica possess antifertility effects in the male rat.

This is a preview of subscription content, access via your institution.

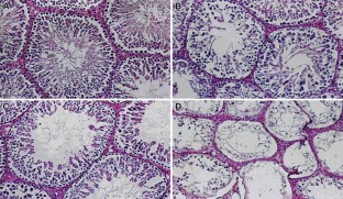
Fig. 1
Fig. 2

References

  1. Carlsen E, Giwercman A, Keiding N, Skakkebaek NE (1992) Evidence for decreasing quality of semen during past 50 years. Br Med J 305:609–613

    Article  CAS  Google Scholar 

  2. Amann RP, Berndtson WE (1986) Assessment of procedures for screening agents for effects on male reproduction: effects of dibromochloropropane (DBCP) on the rat. Fundam Appl Toxicol 7:244–255

    PubMed  Article  CAS  Google Scholar 

  3. D’Cruz SC, Vaithinathan S, Jubendradass R, Mathur PP (2010) Effects of plants and plant products on the testis. Asian J Androl 12(4):468–479

    PubMed  Article  Google Scholar 

  4. Zheng CJ, Qin LP (2007) Chemical components of Centella asiatica and their bioactivities. Chin Integr Med 5(3):348–351

    Article  CAS  Google Scholar 

  5. Kartnig T (1988) Clinical applications of Centella asiatica (L.). Herbs Spices Med Plants 3:145–173

    Google Scholar 

  6. Nalini K, Aroor AR, Karanth KS (1992) Effect of Centella asiatica fresh leaf aqueous extract on learning and memory and biogenic amine turnover in albino rats. Fitoterapia 63(3):232–237

    Google Scholar 

  7. Veerendra Kumar MH, Gupta YK (2002) Effect of different extracts of Centella asiatica on cognition and markers of oxidative stress in rats. J Ethnopharmacol 79:253–260

    Google Scholar 

  8. Vaidya ADB, Devasagayam TPA (2007) Current status of herbal drugs in India: an overview. J Clin Biochem Nutr 41:1–11

    PubMed  Article  Google Scholar 

  9. Brinkhaus B, Lindner M, Schuppan D, Hahn EG (2000) Chemical, pharmacological and clinical profile of the East Asian medical plant Centella asiatica. Phytomedicine 7(5):427–448

    PubMed  Article  CAS  Google Scholar 

  10. Bonfill M, Mangas S, Cusido RM, Osuna L, Pinol MT, Palazon J (2006) Indentification of friterpenoid compounds of Centella asiatica by thin layer chromatography and mass spectrometry. Biomed Chromatogr A 742:127–130

    Google Scholar 

  11. Inamdar PK, Yeole RD, Ghogare AB, De Souza NJ (1996) Determination of biologically active constituents in Centella asiatica. J Chromatogr A 742:127–130

    Article  CAS  Google Scholar 

  12. Matsuda H, Morikawa T, Ueda H, Yoshikawa M (2001) Medicinal foodstuffs. XXVI. Saponin constituents of gotu kola (2): structures of new ursane- and oleanane-type triterpene oligoglycosides, centellasaponins B, C, and D, from Centella asiatica cultivated in Sri Lanka. Chem Pharm Bull 4:1368–1371

    Article  Google Scholar 

  13. Coldren CD, Hashim P, Ali JM, Oh SK, Sinskey AJ, Rha G (2003) Gene expressing changes in the human fibroblast induced by Centella asiatica triterpenoids. Planta Med 69:725–732

    PubMed  Article  CAS  Google Scholar 

  14. Babu TD, Kutten G, Padikkala J (1995) Cytotoxic and anti-tumour properties of certain taxa of Umbelliferae with special reference to Centella asiatica (L.) Urban. J Ethnopharmacol 48:53–57

    PubMed  Article  CAS  Google Scholar 

  15. Lue YH, Sinha Hikim AP, Swerdloff RS, Im P, Khay ST, Bui T, Leung A, Wang C (1999) Single exposure to heat induces stage-specific germ cell apoptosis in rats: role of intratesticular testosterone on stage specificity. Endocrinology 140:1709–1717

    PubMed  Article  CAS  Google Scholar 

  16. Sampson JH, Raman A, Karlsen G, Navsaria H, Leigh IM (2001) In vitro keratinocyte antiproliferant effect of Centella asiatica extract and triterpenoid saponins. Phytomedicine 8:230–235

    PubMed  Article  CAS  Google Scholar 

  17. Shetty BS, Udupa SL, Udupa AL, Somayaji SN (2006) Effect of Centella asiatica L (Umbelliferae) on normal and dexamethasone-suppressed wound healing in Wistar Albino rats. Int J Low Extrem Wounds 5(3):137–143

    PubMed  Article  Google Scholar 

  18. Mutayabarwa CK, Sayi JG, Dande M (2003) Hypoglycaemic activity of Centella asiatica (L) Urb. East Cent Afr J Pharm Sci 6:30–35

    Google Scholar 

  19. Antony B, Santhakumari G, Merina B, Sheeba V, Mukkadan J (2006) Hepatoprotective effect of Centella asiatica (L) in carbon tetrachloride-induced liver injury in rats. Indian J Pharm Sci 68:772–776

    Article  Google Scholar 

  20. Cheng CL, Guo JS, Luk J, Koo MW (2004) The healing effects of Centella extract and asiaticoside on acetic acid induced gastric ulcers in rats. Life Sci 74:2237–2249

    PubMed  Article  CAS  Google Scholar 

  21. Ullah MO, Sultana S, Haque A, Tasmin S (2009) Antimicrobial, cytotoxic and antioxidant activity of Centella asiatica. Eur J Sci Res 30:260–264

    Google Scholar 

  22. Somchit MN, Sulaiman MR, Zuraini A, Samsuddin L, Somchit N, Israf DA, Moin S (2004) Antinociceptive and antiinflammatory effects of Centella asiatica. Indian J Pharmacol 36:377–380

    Google Scholar 

  23. Hussin M, Abdul-Hamid A, Mohamad S, Saari N, Ismail M, Bejo MH (2007) Protective effect of Centella asiatica extract and powder on oxidative stress in rats. Food Chem 100:535–541

    Article  CAS  Google Scholar 

  24. Wijeweera P, Arnason JT, Koszycki D, Merali Z (2006) Evaluation of anxiolytic properties of Gotukola—(Centella asiatica) extracts and asiaticoside in rat behavioral models. Phytomedicine 13:668–676

    PubMed  Article  CAS  Google Scholar 

  25. Mruk DD, Cheng CY (2004) Sertoli-sertoli and sertoli-germ cell interactions and their significance in germ cell movement in the seminiferous epithelium during spermatogenesis. Endocr Rev 25(5):747–806

    PubMed  Article  CAS  Google Scholar 

  26. Roosen-Runge EC (1962) The process of spermatogenesis in mammals. Biol Rev Camb Philos Soc 37:343–377

    PubMed  Article  CAS  Google Scholar 

  27. Canadian council on Animal Care guidelines on the care and use of form animals in research, teaching and testing (2009) CCAC, Ottawa, pp 12–15

  28. Miller LC, Tainter ML (1944) Estimation of ED50 and its error by means of log probit graph. Proc Soc Exp Biol Med 57:261–264

    CAS  Google Scholar 

  29. Erhardt W, Hebestedt A, Aschenbrenner G, Pichotka B, Blümel G (1984) A comparative study with various anesthetics in mice (pentobarbitone, ketamine-xylazine, carfentanyl-etomidate). Res Exp Med 184:3

    Article  Google Scholar 

  30. Mishra SH, Padashetty SA (2007) Effect of terpenoidal fraction of Echinops echinatus roots on reproductive parameters of male rats. J Nat Med 61(4):452–457

    Article  Google Scholar 

  31. Raji Y, Udoh US, Mewoyeka OO, Onoye FC, Bolarinwa AF (2003) Implication of reproductive endocrine malfunction in male antifertility efficacy of Azadirachta indica extract in rats. J Med Med Sci 32:159–165

    CAS  Google Scholar 

  32. World Health Organization (1999) Laboratory manual for the examination of human semen and sperm cervical mucus interation, 4th edn. Cambridge University Press, Cambridge, pp 3–104

  33. Huang HF, Pogach LM, Nathan E, Giglio W, Seebode JJ (1991) Synergistic effects of follicle-stimulating hormone and testosterone on the maintenance of spermiogenesis in hypophysectomized rats: relationship with the androgen-binding protein status. Endocrinology 28(6):3152–3161

    Article  Google Scholar 

  34. Russell LD, Ettlin RA, Sinha Hikim AP, Clegg ED (1990) Histological and histopathological evaluation of the testis. Cache River Press, Clearwater

    Google Scholar 

  35. Sinha Hikim AP, Rajavashisth TB, Sinha Hikim I, Lue YH, Bonavera JJ, Leung A, Wang C, Swerdloff RS (1997) Significance of apoptosis in the temporal and stage-specific loss of germ cells in the adult rat after gonadotropin deprivation. Biol Reprod 57:1193–1201

    PubMed  Article  CAS  Google Scholar 

  36. Sinha Hikim AP, Lue YH, Swerdloff RS (1997) Separation of germ cell apoptosis from toxin induced cell death by necrosis using in situ end-labeling histochemistry after glutaraldehyde fixation. Tissue Cell 29:487–493

    Article  Google Scholar 

  37. Lue YH, Sinha Hikim AP, Wang C, Bonavera JJ, Baravarian S, Leung A, Swerdloff RS (1997) Early effect of vasectomy on testicular structure and on germ cell and macrophage apoptosis. J Androl 18:166–173

    PubMed  CAS  Google Scholar 

  38. D’Cruz SC, Vaithinathan S, Jubendradass R, Mathur PP (2010) Effects of plants and plant products on the testis. Asian J Androl 12:468–479

    Google Scholar 

  39. Bataineh H, Nusier M (2005) Effect of cholesterol diet on reproductive functions in male albino rats. Saudi Med J 26:398–404

    PubMed  Google Scholar 

  40. Bataineh H, Al-Hamood MH, Elbetieha AM (1998) Assessment of aggression, sexual behavior and fertility in adult male rat following long-term ingestion of four industrial metal salts. Hum Exp Toxicol 17:570–576

    PubMed  Article  CAS  Google Scholar 

  41. Agrawal S, Chauhan S, Mathur R (1986) Antifertility effects of embelin in male rats. Andrologia 18:125–131

    PubMed  Article  CAS  Google Scholar 

  42. Dym M, Raj HG, Lin YC, Chemes HE, Kotite NJ, Nayfeh SN, French FS (1979) Is FSH required for maintenance of spermatogenesis in adult rats? J Reprod Fertil 26:175–181

    CAS  Google Scholar 

  43. Mahanem MN, Norazalia MA (2004) Kesan In Vivo Ekstrak Daun Centella asiatica ke atas Histologi Testis dan Kualiti Sperma Mencit (In vivo effects of Centella asiatica leaf extract on the histology of testis and sperm quality in mice). Sains Malaysiana 33(2):97–103

    Google Scholar 

  44. Zitzmann M (2008) Effects of testosterone replacement and its pharmacogenetics on physical performance and metabolism. Asian J Androl 10(3):364–372

    PubMed  Article  CAS  Google Scholar 

  45. Gupta RS, Kumar P, Dixit VP, Dobhal MP (2000) Antifertility studies of the root extract of the Barleria prionitis Linn. in male albino rats with special reference to testicular cell population dynamics. J Ethnopharmacol 70(2):111–117

    PubMed  Article  CAS  Google Scholar 

  46. Choi SM, Lee BM (2004) An alternative mode of action of endocrine-disrupting chemicals and chemoprevention. J Toxicol Environ Health B Crit Rev 7(6):451–463

    PubMed  Article  CAS  Google Scholar 

  47. Huang HFS, Linsenmeyer TA, Li MT, Giglio W, Anesetti R, von Hagen J et al (1995) Acute effects of spinal cord injury on the pituitary-testicular hormone axis and Sertoli cell functions: a time course study. J Androl 16:148–157

    PubMed  CAS  Google Scholar 

  48. Yunianto I, Das S, Mat Noor M (2010) Antispermatogenic and antifertility effect of Pegaga (Centella asiatica L) on the testis of male Sprague-Dawley rats. Clin Ter 161(3):235–239

    PubMed  CAS  Google Scholar 

  49. Seed J, Chapin RE, Clegg ED, Dostal LA, Foote RH, Hurtt ME, Klinefelter GR, Makris SL, Perreault SD, Schrader S, Seyler D, Sprando R, Treinen KA, Veeramachaneni DN, Wise LD (1996) Methods for assessing sperm motility, morphology, and counts in the rat, rabbit, and dog: a consensus report. ILSI Risk Science Institute Expert Working Group on Sperm Evaluation. Reprod Toxicol 10(3):237–244

    PubMed  Article  CAS  Google Scholar 

  50. Huynh PN, Hikim AP, Wang C, Stefonovic K, Lue YH, Leung A, Atienza V, Baravarian S, Reutrakul V, Swerdloff RS (2000) Long-term effects of triptolide on spermatogenesis, epididymal sperm function, and fertility in male rats. J Androl 21(5):689–699

    PubMed  CAS  Google Scholar 

  51. Lemasters GK, Selevan SG (1993) Toxic exposures and reproduction: a view of epidemiology and surveillance. In: Scialli AR, Zinaman MJ (eds) Reproductive toxicology and infertility. McGraw Hill, USA, pp 307–321

  52. Working PK, Chellman GJ (1993) The testis, spermatogenesis and the excurrent duct system. In: Scialli AR, Zinaman MJ (eds) Reproductive toxicology and infertility. ISBN, McGraw Hill, USA, pp 55–76

  53. Parveen S, Das S, Kundra cP, Pereira BMJ (2003) A comprehensive evaluation of the reproduction toxicity of Quassia amara in male rats. Reprod Toxicol 45(1):45–50

    Article  Google Scholar 

  54. Moline JM, Golden AL, Bar-Chama N, Smith E, Rauch ME, Chapin RE et al (2000) Exposure to hazardous substances and male reproductive health: a research framework. Environ Health Perspect 108:803–813

    PubMed  Article  CAS  Google Scholar 

  55. Richburg JH (2000) The relevance of spontaneous-and chemically-induced alterations in testicular germ cell apoptosis to toxicology. Toxicol Lett 112–113:79–86

    PubMed  Article  Google Scholar 

  56. Bhat GK, Sea TL, Olatinwo MO, Simorangkir D, Ford GD, Ford BD, Mann DR (2006) Influence of a leptin deficiency on testicular morphology, germ cell apoptosis, and expression levels of apoptosis related genes in the mouse. J Androl 27(2):302–310

    PubMed  Article  CAS  Google Scholar 

  57. Lampiao F, Agarwal A, du Plessis SS (2009) The role of insulin and leptin in male reproduction. Arch Med Sci 5(1A):S48–S54

    CAS  Google Scholar 

Download references

Acknowledgments

This study was financially supported by grant No. 775-11 from the Academic Center for Education, Culture and Research (ACECR), Iran. The authors had no conflict of interest in doing the research. The authors wish to express their gratitude to Dr M. Ghazi Khansari from Tehran University of Medical Sciences and Dr M. Ghaffari Novin from Shahid Beheshti University of Medical Sciences for their technical help. Thanks are also due to Dr S.M. Rezayat from Department of Pharmacology, Tehran University of Medical Sciences and Dr A.H. Jamshidi from Department of Food and Drug, Ministry of Health and Medical Education for the generous extract supply, and too Dr H. Zeraati for his assistance in the statistical analysis. We are very grateful for Mr K. Saliminejad helping in the Art Works.

Author information

Affiliations

Authors

Corresponding author

Correspondence to Mahnaz Heidari.

Rights and permissions

Reprints and Permissions

About this article

Cite this article

Heidari, M., Heidari-Vala, H., Sadeghi, M.R. et al. The inductive effects of Centella asiatica on rat spermatogenic cell apoptosis in vivo. J Nat Med 66, 271–278 (2012). https://doi.org/10.1007/s11418-011-0578-y

Download citation

  • Received:

  • Accepted:

  • Published:

  • Issue Date:

  • DOI: https://doi.org/10.1007/s11418-011-0578-y

Keywords

  • Centella asiatica
  • Apoptosis
  • Spermatogenic
  • Rat
  • Testosterone