Skip to main content

The protective effects of hesperidin and curcumin on 5-fluorouracil–induced nephrotoxicity in mice

Abstract

Nephrotoxicity is a very important complication of 5-fluorouracil (5-FU)–treated cancer patients. Increased oxidative stress, kidney damage, and apoptosis play an important role in the pathogenesis of nephrotoxicity caused by 5-FU. In this study, protective effects of two natural compounds, hesperidin and curcumin, on experimentally induced kidney damage in mice with 5-FU were determined. Application of 5-FU resulted in severe histopathological changes and severe renal failure with increased serum urea and creatinine levels. Also, 5-FU–induced kidney damage, increased levels of malondialdehyde (MDA), decreased superoxide dismutase (SOD), catalase (CAT), glutathione reductase (GR) activity, and glutathione (GSH) level have been demonstrated. Also, where 5-FU is in the concentration of caspase-3 and 8-OHdG immune-positive cells and therefore causes apoptosis and DNA damage in kidney tissue cells. However, especially high doses of hesperidin and curcumin treatment significantly improved 5-FU–induced oxidative stress/lipid peroxidation, apoptosis/DNA damage, and renal dysfunction. Based on these data, our results suggest that hesperidin and curcumin may be used as new and promising agents against 5-FU–induced nephrotoxicity.

This is a preview of subscription content, access via your institution.

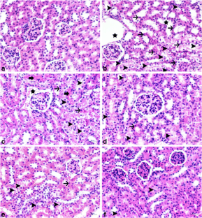
Fig. 1
Fig. 2
Fig. 3
Fig. 4
Fig. 5

References

  • Abdel-Daim MM, Abdou RH (2015) Protective effects of diallyl sulfide and curcumin separately against thallium-induced toxicity in rats. Cell J 17:379–388

    Google Scholar 

  • Abdel-Diam MM, Samak DH, El-Sayed YS, Aleya L, Alarifi S, Alkahtani S (2019) Curcumin and quercetin synergistically attenuate subacute diazinon-induced inflammation and oxidative neurohepatic damage, and acetylcholinesterase inhibition in albino rats. Environ Sci Pollut Res Int 26:3659–3665

    CAS  Article  Google Scholar 

  • Aebi H (1983) Catalase. In: Bergmeyer HU (ed) Methods in enzymatic analysis. Academic Press, New York, pp 276–286

    Google Scholar 

  • Ahmad ST, Arjumand W, Nafees S, Seth A, Ali N, Rashid S, Sultana S (2012) Hesperidin alleviates acetaminophen induced toxicity in Wistar rats by abrogation of oxidative stress, apoptosis and inflammation. Toxicol Lett 208:149–161

    CAS  Article  Google Scholar 

  • Ammon HPT, Wahl MA (1991) Pharmacology of Curcuma longa. Planta Med 57:1–7

    CAS  Article  Google Scholar 

  • Bosetti C, Rossi M, McLaughlin JK, Negri E, Talamini R, Lagiou P, Montella M, Ramazzotti V, Franceschi S, LaVecchia C (2007) Flavonoids and the risk of renal cell carcinoma. Cancer Epidemiol Biomark Prev 16:98–101

    CAS  Article  Google Scholar 

  • Cadet J (2016) Oxidative degradation pathways of cellular DNA: product formation and mechanistic insights. Free Radic Biol Med 75:S2

    Article  Google Scholar 

  • Cadet J, Douki T, Gasparutto D, Ravanat JL (2003) Oxidative damage to DNA: formation, measurement and biochemical features. Mutat Res Fund Mol M 531:5–23

    CAS  Article  Google Scholar 

  • Carlberg I, Mannervik B (1975) Glutathione reductase levels in rat brain. J Biol Chem 250:5475–5480

    CAS  Article  Google Scholar 

  • Chanet A, Milenkovic D, Manach C, Mazur A, Morand C (2012) Citrus flavanones: what is their role in cardiovascular protection? J Agric Food Chem 60:8809–8822

    CAS  Article  Google Scholar 

  • Chang CT, Ho TY, Lin H, Liang JA, Huang HC, Li CC, Lo HY, Wu SL, Huang YF, Hsiang CY (2012) 5-Fluorouracil induced intestinal mucositis via nuclear factor-kB activation by transcriptomic analysis and in vivo bioluminescence imaging. PLoS One 7:e31808

    CAS  Article  Google Scholar 

  • Chibber S, Farhan M, Hassan I, Naseem I (2011) White light-mediated Cu (II)-5FU interaction augments the chemotherapeutic potential of 5-FU: an in vitro study. Tumour Biol 32:881–892

    CAS  Article  Google Scholar 

  • David T, Peter HC, Gregory T, Catherine B, Saurabh S (2011) In vivo effects of immunomodulators in a murine model of fluorouracil-induced mucositis. Curr. Therapeutic Res 72:262–272

    Article  CAS  Google Scholar 

  • Elhelaly AE, AlBasher G, Alfarraj S, Almeer R, Bahbah EI, Fouda MMA, Bungău SG, Aleya L, Abdel-Daim MM (2019) Protective effects of hesperidin and diosmin against acrylamide-induced liver, kidney, and brain oxidative damage in rats. Environ Sci Pollut Res 26:35151–35162

    CAS  Article  Google Scholar 

  • El-Sayyad IH, Hassan A (2013) Effects of adriamycin, cisplatin, and 5-fluorouracil on the testes of albino rats. Br J Med Health Sci 1:45–62 49

    Google Scholar 

  • Farombi EO, Abarikwu SO, Adedara IA, Oyeyemi MO (2007) Kolaviron and curcumin ameliorate di-n-Butylphthalate-induced testicular toxicity in rats. Basic Clin Pharmacol Toxicol 100:43–48

    CAS  Article  Google Scholar 

  • Gelen V, Şengül E (2018) Hematoprotective effect of naringin on 5-FU toxicity in rats. Chem Res J 3:127–130

    CAS  Google Scholar 

  • Gelen V, Şengül E (2020) Antioxidant, antiinflammatory and antiapoptotic effects of naringin on cardiac damage induced by cisplatin. Indian J Tradit Knowl 19:459–465

    Google Scholar 

  • Gelen V, Şengül E, Gedikli S, Atila G, Uslu H, Makav M (2017a) The protective effect of rutin and quercetin on 5-FU-induced hepatotoxicity in rats. Asian Pac J Trop Biomed 7:647–653

    Article  Google Scholar 

  • Gelen V, Şengül E, Gedikli S, Gür C, Özkanlar S (2017b) Therapeutic effect of quercetin on renal function and tissue damage in the obesity induced rats. Biomed Pharmacother 89:524–528

    CAS  Article  Google Scholar 

  • Gelen V, Şengül E, Yıldırım S, Atila G (2018) The protective effects of naringin against 5-fluorouracil-induced hepatotoxicity and nephrotoxicity in rats. Iran J Basic Med Sci 21:404–410

    Google Scholar 

  • Gelen V, Gelen S.U, Celebi F, Cinar A, Yildirim S, Eser G (2019) The protective effect of Lactobacillus rhamnosus, Lactobacillus fermentum and Lactobacillus brevis against cisplatin-induced hepatic damage in rats. Fresenius Environ Bull 28:7583–7592.

  • Hussein M, Othman S (2011) Structure activity relationship of antioxidative property of hesperidin. International Journal of Pharmaceutical Research and Development 3:19–29

    Google Scholar 

  • Inano H, Onoda M, Inafuku N, Kubota M, Kamada Y, Osawa T, Kobayashi H, Wakabayashi K (2000) Potent preventive action of curcumin on radiation-induced initiation of mammary tumorigenesis in rats. Carcinogenesis 21:1835–1841

    CAS  Article  Google Scholar 

  • Ince S, Arslan Acaroz D, Neuwirth O, Demirel HH, Denk B, Kucukkurt I, Turkmen R (2014) Protective effect of polydatin, a natural precursor of resveratrol, against cisplatin induced toxicity in rats. Food Chem Toxicol 72:147–153

    CAS  Article  Google Scholar 

  • Khan R, Sultana S (2011) Farnesol attenuates 1,2-dimethylhydrazine induced oxidative stress, inflammation and apoptotic responses in the colon of Wistar rats. Chem Biol Interact 192:193–200

    CAS  Article  Google Scholar 

  • Kinhult S, Albertsson M, Eskilsson J, Cwikiel M (2003) Effects of probucol on endothelial damage by 5-fluorouracil. Acta Oncol 42:304–308

    CAS  Article  Google Scholar 

  • Klinkhammer BM, Djudjaj S, Kunter U, Palsson R, Edvardsson VO, Wiech T, Thorsteinsdottir M, Hardarson S, Foresto-Neto O, Mulay SR, Moeller MJ, Jahnen-Dechent W, Floege J, Anders HJ, Boor P (2020) Cellular and molecular mechanisms of kidney injury in 2,8-dihydroxyadenine nephropathy. J Am Soc Nephrol 31:799–816

    CAS  Article  Google Scholar 

  • Lamberti M, Porto S, Marra M, Zappavigna S, Grimaldi A, Feola D, Pesce D, Naviglio S, Spina A, Sannolo N, Caraglia M (2012) 5-Fluorouracil induces apoptosis in rat cardiocytes through intracellular oxidative stress. J Exp Clin Cancer Res 19:31–60

    Google Scholar 

  • Lawrence RA, Burk RF (1976) Glutathione peroxidase activity in selenium-deficient rat liver. Biochem Biophys Res Commun 71:952–958

    CAS  Article  Google Scholar 

  • Mercantepe F, Mercantepe T, Topcu A, Yılmaz A, Tumkaya L (2018) Protective effects of amifostine, curcumin, and melatonin against cisplatin-induced acute kidney injury. Naunyn Schmiedeberg's Arch Pharmacol 391:915–931

    CAS  Article  Google Scholar 

  • Middleton E Jr, Kandaswami C, Theoharides TC (2000) The effects of plant flavonoids on mammalian cells: implications for inflammation, heart disease, and cancer. Pharmacol Rev 52:673–751

    CAS  Google Scholar 

  • Miura K, Kinouchi M, Ishida K, Fujibuchi W, Naitoh T, Ogawa H, Ti A, Yazaki N, Watanabe K, Haneda S, Shibata C, Sasaki I (2010) 5-FU metabolism in cancer and orally-administrable 5-FU drugs. Cancers 2:1717–1730

    CAS  Article  Google Scholar 

  • Nada O (2010) A review of propolis antitumour action in vivo and in vitro. J. Api Product ApMed Sci 2:1–20

    Google Scholar 

  • Naidu MU, Ramana GV, Rani PU, Mohan IK, Suman A, Pb R (2004) Chemotherapy-induced and/or radiation therapy-induced oral mucositis complicating the treatment of cancer. Neoplasia 6:423–431

    Article  Google Scholar 

  • Nora E, Ali (2012) Protective effect of captopril against 5-fluorouracil-induced hepato and nephrotoxicity in male albino rats. J Am Sci:8

  • Placer ZA, Cushmanni LL, Johnson BC (1966) Estimation of products of lipid peroxidation (as malondialdehyde) in biochemical systems. Anal Biochem 16:359–364

    CAS  Article  Google Scholar 

  • Ramadori G, Cameron S (2010) Effects of systemic chemotherapy on the liver. Ann Hepatol 9:133–143.

  • Rashid S, Ali N, Nafees S, Ahmad S. Tanveer Arjumand W, Hasan S, Kazim Sultana S (2012) Alleviation of doxorubicin induced nephrotoxicity and hepatotoxicity by chrysin in Wistar rats. Toxicol Mech Methods 23:337–345.

  • Rashid S, Ali N, Nafees S, Ahmad S, Tanveer Hasan S, Kazim Sultana S (2013) Abrogation of 5-flourouracil induced renal toxicity by bee propolis via targeting oxidative stress and inflammation in Wistar rats. J Pharm Res 7:189–194

    CAS  Google Scholar 

  • Sakat MS, Kilic K, Akdemir FNE, Yildirim S, Eser G, Kiziltunc A (2019) The effectiveness of eugenol against cisplatin-induced ototoxicity. Braz J Otorhinolaryngoly 85:766–773

    Article  Google Scholar 

  • Sedlak J, Lindsay RH (1968) Estimation of total protein bound and nonprotein sulfhydryl groups in tissue with Ellman’s reagent. Anal Biochem 25:192–205

    CAS  Article  Google Scholar 

  • Selvaraj P, Pugalendi KV (2012) Efficacy of hesperidin on plasma, heart and liver tissue lipids in rats subjected to isoproterenol-induced cardiotoxicity. Exp Toxicol Pathol 64:449–452

    CAS  Article  Google Scholar 

  • Şengül E, Gelen V, Gedikli S, Özkanlar S, Gür C, Çelebi F, Çınar A (2017) The protective effect of quercetin on cyclophosphamide-induced lung toxicity in rats. Biomed Pharmacother 92:303–307

    Article  CAS  Google Scholar 

  • Sengul E, Gelen SU, Yıldırım S, Çelebi F, Çınar A (2019) Probiotic bacteria attenuates cisplatin-induced nephrotoxicity through modulation of oxidative stress, inflammation and apoptosis in rats. Asian Pac J Trop Biomed 9:116

    CAS  Article  Google Scholar 

  • Sengul E, Gelen V, Gedikli S (2021a) Cardioprotectıve activities of quercetin and rutin in Sprague-Dawley rats treated wıth 5-fluorouracil. J Anim Plant Sci 31:423–443

    CAS  Google Scholar 

  • Sengul E, Gelen V, Yildirim S, Tekin S, Dag Y (2021b) The effects of selenium in acrylamide-induced nephrotoxicity in rats: roles of oxidative stress, inflammation, apoptosis, and DNA damage. Biol Trace Elem Res 199:173–184

    CAS  Article  Google Scholar 

  • Stepniak J, Karbownik-Lewinska M (2016) 17 β-estradiol prevents experimentally-induced oxidative damage to membrane lipids and nuclear DNA in porcine ovary. Syst Biol Reprod Med 62:17–21

    CAS  Article  Google Scholar 

  • Suarez J, Herrera MD, Marhuenda E (1998) In vitro scavenger and antioxidant properties of hesperidin and neohesperidin dihydrochalcone. Phytomedicine 5:469–473

    CAS  Article  Google Scholar 

  • Sun Y, Larry WO, Ying L (1988) A simple method for clinical assay of superoxide dismutase. Clin Chem 34:497–500

    CAS  Article  Google Scholar 

  • Surh YJ, Chun KS, Cha HH (2001) Molecular mechanisms underlying chemopreventive activities of anti-inflammatory phytochemicals: downregulation of COX-2 and iNOS through suppression of NF-kappa B activation. Mutat Res 1:243–268

    Article  Google Scholar 

  • Thant AA, Wu Y, Lee J, Mishra DK, Garcia H, Koeffler HP, Vadgama JV (2008) Role of caspases in 5-FU and selenium-induced growth inhibition of colorectalcancer cells. Anticancer Res 28:3579–3592

    CAS  Google Scholar 

  • Wang X, Morris ME (2007) Effects of the flavonoid chrysin on nitrofurantoin pharmacokinetics in rats: potential involvement of ABCG2. Drug Metab Dispos 35:268–274

    CAS  Article  Google Scholar 

  • Yildirim S, Ozkan C, Huyut Z, Çınar A (2019) Detection of Se, vit. E, vit. A, MDA, 8-OHdG, and CoQ10 levels and histopathological changes in heart tissue in sheep with white muscle disease. Biol Trace Elem Res 188:419–423

    CAS  Article  Google Scholar 

Download references

Availability of data and materials

The authors confirm that the data and materials supporting the findings of this study are available within the article.

Author information

Affiliations

Authors

Contributions

VG, EŞ, ST, AK: experiment design, experiment application, samples collection. VG, EŞ, ES: serum markers and tissue antioxidant estimation, data curation and analysis, final reviewing. SY: histopathological and immunohistochemical investigation. All the authors contributed to the writing and editing, and they read and approved the final manuscript.

Corresponding author

Correspondence to Volkan Gelen.

Ethics declarations

Ethics approval

The study was designed and conducted according to ethical norms approved by the Atatürk University Rectorate Animal Experiments Local Ethics Committee (Erzurum, Turkey) (Protocol No. 2019/16).

Consent for publication

Not applicable

Conflict of interest

The authors declare no competing interests.

Additional information

Publisher’s note

Springer Nature remains neutral with regard to jurisdictional claims in published maps and institutional affiliations.

Responsible Editor: Mohamed M. Abdel-Daim

Rights and permissions

Reprints and Permissions

About this article

Verify currency and authenticity via CrossMark

Cite this article

Gelen, V., Şengül, E., Yıldırım, S. et al. The protective effects of hesperidin and curcumin on 5-fluorouracil–induced nephrotoxicity in mice. Environ Sci Pollut Res 28, 47046–47055 (2021). https://doi.org/10.1007/s11356-021-13969-5

Download citation

  • Received:

  • Accepted:

  • Published:

  • Issue Date:

  • DOI: https://doi.org/10.1007/s11356-021-13969-5

Keywords

  • Nephrotoxicity
  • Apoptosis
  • Curcumin
  • Hesperidin
  • Histopathology
  • Immunohistochemistry
  • Mice