Skip to main content

Aged garlic extract rescues ethephon-induced kidney damage by modulating oxidative stress, apoptosis, inflammation, and histopathological changes in rats

Abstract

Ethephon is an organophosphorus plant growth regulator used to accelerate the ripening process and decrease the duration of cultivation. Here, the potential protective role of aged garlic extract (AGE) was investigated against ethephon-mediated nephrotoxicity. Four experimental groups were established (n = 15), including control, AGE (250 mg/kg), ethephon (200 mg/kg), and AGE + ethephon. In the current work, kidney function parameters (urea, creatinine, and KIM-1) along with oxidative stress biomarkers, nuclear factor erythroid 2-related factor 2 (Nrf2), heme oxygenase-1, glutathione, and its related enzymes, superoxide dismutase, catalase, malondialdehyde, and nitric oxide, were determined. The expression of inflammatory mediators namely tumor necrosis factor alpha, interleukin 1 beta, nuclear factor kappa B, and apoptotic markers (caspase 3, Bax, and Bcl2) were determined in the renal tissue. Additionally, the histopathological alterations in response to treatments were examined. Ethephon exposure increased the levels of kidney function markers along with relative kidney weight coupled with histological changes in the kidney tissue. Additionally, ethephon increased the levels of the tested pro-oxidant markers and decreased the antioxidant indices, resulting in oxidative damage to renal tissues. An elevation in the pro-inflammatory mediators was also recorded following ethephon intoxication. Furthermore, renal cell loss was observed through histological examinations and biochemical measurements upon ethephon administration. On the other hand, AGE significantly ameliorated the molecular, biochemical, and structural changes elicited by ethephon. These findings suggest that AGE may be used to decrease or prevent the side effects of ethephon exposure in kidneys, through the activation of Nrf2 and inhibition of inflammation and apoptotic response.

This is a preview of subscription content, access via your institution.

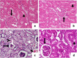
Fig. 1
Fig. 2
Fig. 3
Fig. 4
Fig. 5
Fig. 6
Fig. 7
Fig. 8
Fig. 9

Data availability

Available upon request.

References

  • Abd Eldaim MA, Tousson E, El Sayed IET, Awd WM (2019) Ameliorative effects of Saussurea lappa root aqueous extract against Ethephon-induced reproductive toxicity in male rats. Environ Toxicol 34:150–159

    CAS  Google Scholar 

  • Abdel-Daim MM, Khalil SR, Awad A, Abu Zeid EH, El-Aziz RA, El-Serehy HA (2020) Ethanolic extract of Moringa oleifera leaves influences NF-κB signaling pathway to restore kidney tissue from cobalt-mediated oxidative injury and inflammation in rats. Nutrients 12:1031

    CAS  Google Scholar 

  • Abdelsattar MH (2013) Garlic oil as an effective protective agent against syclosporine-induced nephrotoxicity in rats. Int J Med Aromatic Plants 3:85–92

    Google Scholar 

  • Abou-Zeid SM, Allam T, El-Bahrawy A, Mohamed M (2018) Ameliorating effects of green tea on ethephon-induced immunotoxicity and oxidative stress in mice. Int J Pharm Sci Scient Res 4:1–1

    Google Scholar 

  • Adaki S, Adaki R, Shah K, Karagir A (2014) Garlic: review of literature. Indian J Cancer 51:577–581

    Google Scholar 

  • Aebi H (1984) Catalase in vitro. Methods Enzymol 105:121–126

    CAS  Google Scholar 

  • Albrakati A (2020) Neuroprotective effect of physical exercise on neuronal apoptosis induced by tramadol in cerebral cortex of rats. Biointerface Res Appl Chem 10:7209–7222

    CAS  Google Scholar 

  • Al-Brakati A (2020) Protective effect of aged garlic extracts against hepatotoxicity induced by ethephon in Wistar albino rat. Environ Sci Pollut Res Int 27:6139–6147

    CAS  Google Scholar 

  • Al-Brakati AY, Kassab RB, Lokman MS, Elmahallawy EK, Amin HK, Abdel Moneim AE (2019) Role of thymoquinone and ebselen in the prevention of sodium arsenite-induced nephrotoxicity in female rats. Hum Exp Toxicol 38:482–493

    CAS  Google Scholar 

  • Alkreathy HM, Damanhouri ZA, Ahmed N, Slevin M, Osman A-MM (2012) Mechanisms of cardioprotective effect of aged garlic extract against doxorubicin-induced cardiotoxicity. Integr Cancer Ther 11:364–370

    Google Scholar 

  • Amor S, Gonzalez-Hedstrom D, Martin-Carro B, Inarejos-Garcia AM, Almodovar P, Prodanov M, Garcia-Villalon AL, Granado M (2019) Beneficial effects of an aged black garlic extract in the metabolic and vascular alterations induced by a high fat/sucrose diet in male rats. Nutrients 11

  • Ashraf Al-Brakati AJAA, Daabo HMA, Baty RS, Salem FEH, Habotta OA, Elmahallawy EK, Abdel-Mohsen DM, Taha H, Akabawy AMA, Kassab RB, Abdel Moneim AE, Amin HK (2020) Neuromodulatory effects of green coffee bean extract against brain damage in male albino rats with experimentally induced diabetes. Metab Brain Dis 2020. https://doi.org/10.1007/s11011-020-00583

  • Awad A, Khalil SR, Hendam BM, Abd El-Aziz RM, Metwally MM, Imam TS (2020) Protective potency of Astragalus polysaccharides against tilmicosin-induced cardiac injury via targeting oxidative stress and cell apoptosis-encoding pathways in rat. Environ Sci Pollut Res:1–15

  • Bahr HI, Hamad R, Ismail SA (2019) The impact of Lactobacillus acidophilus on hepatic and colonic fibrosis induced by ethephon in a rat model. Iran J Basic Med Sci 22:956–962

    Google Scholar 

  • Bancroft JD, Gamble M (2008) Theory and practice of histological techniques. Elsevier health sciences

  • Bhadoria P, Nagar M, Bahrioke V, Bhadoria AS (2015) Effect of ethephon on the liver in albino rats: a histomorphometric study. Biom J 38:421–427

    Google Scholar 

  • Bhadoria P, Nagar M, Bharihoke V, Bhadoria AS (2018a) Ethephon, an organophosphorous, a fruit and vegetable ripener: has potential hepatotoxic effects? J Family Med Prim Care 7:179–183

    Google Scholar 

  • Bhadoria P, Nagar M, Bharihoke V, Bhadoria AS (2018b) Ethephon, an organophosphorous, a fruit and vegetable ripener: has potential hepatotoxic effects? J Family Med Prim Care 7:179–183

    Google Scholar 

  • Cemil B, Gokce EC, Kahveci R, Gokce A, Aksoy N, Sargon MF, Erdogan B, Kosem B (2016) Aged garlic extract attenuates neuronal injury in a rat model of spinal cord ischemia/reperfusion injury. J Med Food 19:601–606

    CAS  Google Scholar 

  • Craig EA, Yan Z, Zhao QJ (2015) The relationship between chemical-induced kidney weight increases and kidney histopathology in rats. J Appl Toxicol 35:729–736

    CAS  Google Scholar 

  • De Vega L, Fernandez RP, Mateo MC, Bustamante JB, Herrero AM, Munguira EB (2002) Glutathione determination and a study of the activity of glutathione-peroxidase, glutathione-transferase, and glutathione-reductase in renal transplants. Ren Fail 24:421–432

    Google Scholar 

  • Ellman GL (1959) Tissue sulfhydryl groups. Arch Biochem Biophys 82:70–77

    CAS  Google Scholar 

  • El-Okazy AM (2008) The effects of combination of gibberellic acid-3 (ga3) and ethephon (2-chloroethyl phosphonic acid)(plant growth regulators) on some physiological parameters in mice. J Egypt Public Health Assoc 83:67–86

    Google Scholar 

  • Franco JL, Posser T, Mattos JJ, Trevisan R, Brocardo PS, Rodrigues ALS, Leal RB, Farina M, Marques MR, Bainy AC (2009) Zinc reverses malathion-induced impairment in antioxidant defenses. Toxicol Lett 187:137–143

    CAS  Google Scholar 

  • Green LC, Wagner DA, Glogowski J, Skipper PL, Wishnok JS, Tannenbaum SR (1982) Analysis of nitrate, nitrite, and [15 N]nitrate in biological fluids. Anal Biochem 126:131–138

    CAS  Google Scholar 

  • Havasi A, Borkan SC (2011) Apoptosis and acute kidney injury. Kidney Int 80:29–40

    CAS  Google Scholar 

  • Hazzaa SM, Abdelaziz SAM, Abd Eldaim MA, Abdel-Daim MM, Elgarawany GE (2020) Neuroprotective potential of allium sativum against monosodium glutamate-induced excitotoxicity: impact on short-term memory, gliosis, and oxidative stress. Nutrients 12

  • Hiramatsu K, Tsuneyoshi T, Ogawa T, Morihara N (2016) Aged garlic extract enhances heme oxygenase-1 and glutamate-cysteine ligase modifier subunit expression via the nuclear factor erythroid 2-related factor 2-antioxidant response element signaling pathway in human endothelial cells. Nutr Res 36:143–149

    CAS  Google Scholar 

  • Hodjat M, Baeeri M, Rezvanfar MA, Rahimifard M, Gholami M, Abdollahi M (2017) On the mechanism of genotoxicity of ethephon on embryonic fibroblast cells. Toxicol Mech Methods 27:173–180

    CAS  Google Scholar 

  • Khalil SR, Mohammed AT, Abd El-fattah AH, Zaglool AW (2018) Intermediate filament protein expression pattern and inflammatory response changes in kidneys of rats receiving doxorubicin chemotherapy and quercetin. Toxicol Lett 288:89–98

    CAS  Google Scholar 

  • Khalil SR, Mohammed WA, Zaglool AW, Elhady WM, Farag MR (2019) Inflammatory and oxidative injury is induced in cardiac and pulmonary tissue following fipronil exposure in Japanese quail: mRNA expression of the genes encoding interleukin 6, nuclear factor kappa B, and tumor necrosis factor-alpha. Environ Pollut 251:564–572

    CAS  Google Scholar 

  • Khalil SR, Abdel-Motal SM, Abd-Elsalam M, Abd El-Hameed NE, Awad A (2020a) Restoring strategy of ethanolic extract of Moringa oleifera leaves against Tilmicosin-induced cardiac injury in rats: targeting cell apoptosis-mediated pathways. Gene 730:144272

    CAS  Google Scholar 

  • Khalil SR, El Bohi KM, Khater S, Abd El-fattah AH, Mahmoud FA, Farag MR (2020b) Moringa oleifera leaves ethanolic extract influences DNA damage signaling pathways to protect liver tissue from cobalt-triggered apoptosis in rats. Ecotoxicol Environ Saf 200:110716

    CAS  Google Scholar 

  • Khalil SR, Salem HF, Metwally MM, Emad RM, Elbohi KM, Ali SA (2020c) Protective effect of Spirulina platensis against physiological, ultrastructural and cell proliferation damage induced by furan in kidney and liver of rat. Ecotoxicol Environ Saf 192:110256

    CAS  Google Scholar 

  • Khreba NA, Abdelsalam M, Wahab AM, Sanad M, Elhelaly R, Adel M, El-Kannishy G (2019) Kidney injury molecule 1 (KIM-1) as an early predictor for acute kidney injury in post-cardiopulmonary bypass (CPB) in open heart surgery patients. Int J Nephrol 2019:6265307

    Google Scholar 

  • Kim MJ, Yoo YC, Kim HJ, Shin SK, Sohn EJ, Min AY, Sung NY, Kim MR (2014) Aged black garlic exerts anti-inflammatory effects by decreasing no and proinflammatory cytokine production with less cytoxicity in LPS-stimulated raw 264.7 macrophages and LPS-induced septicemia mice. J Med Food 17:1057–1063

    Google Scholar 

  • Lee TW, Bae E, Kim JH, Jang HN, Cho HS, Chang S-H, Park DJ (2019a) The aqueous extract of aged black garlic ameliorates colistin-induced acute kidney injury in rats. Ren Fail 41:24–33

    CAS  Google Scholar 

  • Lee TW, Bae E, Kim JH, Jang HN, Cho HS, Chang SH, Park DJ (2019b) The aqueous extract of aged black garlic ameliorates colistin-induced acute kidney injury in rats. Ren Fail 41:24–33

    CAS  Google Scholar 

  • Lingappan K (2018) NF-kappaB in Oxidative Stress. Curr Opin Toxicol 7:81–86

    Google Scholar 

  • Lowry OH, Rosebrough NJ, Farr AL, Randall RJ (1951) Protein measurement with the Folin phenol reagent. J Biol Chem 193:265–275

    CAS  Google Scholar 

  • Mahajan L, Verma PK, Raina R, Pankaj NK, Sood S, Singh M (2018) Alteration in thiols homeostasis, protein and lipid peroxidation in renal tissue following subacute oral exposure of imidacloprid and arsenic in Wistar rats. Toxicol Rep 5:1114–1119

    CAS  Google Scholar 

  • Martins N, Petropoulos S, Ferreira IC (2016) Chemical composition and bioactive compounds of garlic (Allium sativum L.) as affected by pre- and post-harvest conditions: a review. Food Chem 211:41–50

    CAS  Google Scholar 

  • Mokhtari T, Hussein Osman H-E, El-Meghawry El-Kenawy A, Dashti N (2020a) Ameliorative effect of virgin olive oil against nephrotoxicity following sub-chronic administration of ethephon in male rats. J Tradit Complement Med 10:487–495

  • Mokhtari T, Osman H-EH, El-Kenawy AE-M, Dashti N (2020b) Ameliorative effect of virgin olive oil against nephrotoxicity following sub-chronic administration of ethephon in male rats. J Tradit Complement Med 10:487–495

  • Nasr AY (2014) Protective effect of aged garlic extract against the oxidative stress induced by cisplatin on blood cells parameters and hepatic antioxidant enzymes in rats. Toxicol Rep 1:682–691

    CAS  Google Scholar 

  • Nasr AY, Saleh HA (2014) Aged garlic extract protects against oxidative stress and renal changes in cisplatin-treated adult male rats. Cancer Cell Int 14:92–92

    Google Scholar 

  • Nillert N, Pannangrong W, Welbat JU, Chaijaroonkhanarak W, Sripanidkulchai K, Sripanidkulchai B (2017) Neuroprotective effects of aged garlic extract on cognitive dysfunction and neuroinflammation induced by beta-amyloid in rats. Nutrients 9

  • Nishikimi M, Appaji N, Yagi K (1972) The occurrence of superoxide anion in the reaction of reduced phenazine methosulfate and molecular oxygen. Biochem Biophys Res Commun 46:849–854

    CAS  Google Scholar 

  • Ohkawa H, Ohishi N, Yagi K (1979) Assay for lipid peroxides in animal tissues by thiobarbituric acid reaction. Anal Biochem 95:351–358

    CAS  Google Scholar 

  • Orozco-Ibarra M, Munoz-Sanchez J, Zavala-Medina ME, Pineda B, Magana-Maldonado R, Vazquez-Contreras E, Maldonado PD, Pedraza-Chaverri J, Chanez-Cardenas ME (2016) Aged garlic extract and S-allylcysteine prevent apoptotic cell death in a chemical hypoxia model. Biol Res 49:7

    Google Scholar 

  • Paglia DE, Valentine WN (1967) Studies on the quantitative and qualitative characterization of erythrocyte glutathione peroxidase. J Lab Clin Med 70:158–169

    CAS  Google Scholar 

  • Pathak S, Catanzaro R, Vasan D, Marotta F, Chabria Y, Jothimani G, Verma RS, Murugesan R, Khuda-Bukhsh AR, Banerjee A (2018) Benefits of aged garlic extract in modulating toxicity biomarkers against p-dimethylaminoazobenzene and phenobarbital induced liver damage in Rattus norvegicus. Drug Chem Toxicol:1–14

  • Percival SS (2016) Aged Garlic Extract Modifies Human Immunity. J Nutr 146:433S–436S

    CAS  Google Scholar 

  • Priante G, Gianesello L, Ceol M, Del Prete D, Anglani F (2019) Cell Death in the Kidney. Int J Mol Sci 20:3598

    CAS  Google Scholar 

  • Ryu JH, Park H-J, Jeong Y-Y, Han S, Shin J-H, Lee SJ, Kang MJ, Sung N-J, Kang D (2015) Aged red garlic extract suppresses nitric oxide production in lipopolysaccharide-treated RAW 264.7 macrophages through inhibition of NF-κ B. J Med Food 18:439–445

    CAS  Google Scholar 

  • Selmi S, Rtibi K, Grami D, Sebai H, Marzouki L (2018) Malathion, an organophosphate insecticide, provokes metabolic, histopathologic and molecular disorders in liver and kidney in prepubertal male mice. Toxicol Rep 5:189–195

    CAS  Google Scholar 

  • Stojiljkovic N, Mihailovic D, Veljkovic S, Stoiljkovic M, Jovanovic I (2008) Glomerular basement membrane alterations induced by gentamicin administration in rats. Exp Toxicol Pathol 60:69–75

    CAS  Google Scholar 

  • Tousson E, El-Atrsh A, Mansour M, Assem A (2019) Histopathological and immunohistochemical studies on the effects of Ethephon on liver and kidney in male rats. 1:1–6

  • Tudor M, Slencu BG, Cuciureanu R, Cuciureanu M, Filip N, Filip C, Solcan C (2018) Potential protective role of selenium in experimental subacute intoxication with ethephon in rats. FARMACIA 66:463–467

    CAS  Google Scholar 

  • Vijaya P, Sharma S (2018) Ameliorating Efficacy of Garlic and Tomato Extract against Cadmium Induced Renal Toxicity in Albino Mice. J Pharm Chem Biol Sci 6:13–22

    CAS  Google Scholar 

  • Wang S, Jin H, Tang Q, Fu J, Ren Z, Peng C, Shang L, Hao W, Wei X (2017) The effect of ethephon on immune system in male offspring of mice. Environ Toxicol Pharmacol 49:119–123

    CAS  Google Scholar 

  • Wlosinska M, Nilsson AC, Hlebowicz J, Malmsjo M, Fakhro M, Lindstedt S (2019) Aged garlic extract preserves cutaneous microcirculation in patients with increased risk for cardiovascular diseases: a double-blinded placebo-controlled study. Int Wound J 16:1487–1493

    Google Scholar 

  • Yesilkaya E, Bideci A, Ozer C, Elmas C, Camurdan O, Giray SG, Boyraz M, Vurucu S, Cinaz P (2009) Plant growth regulator (4-chlorophenoxy acetic acid) increases apoptosis in gonads of rats without changing hormonal levels. Horm Res 72:225–235

    CAS  Google Scholar 

  • Youssef Nasr A, Al Shahat Ibrahim A (2015) Aged garlic extract ameliorates the oxidative stress, histomorphological, and ultrastructural changes of cisplatin-induced nephrotoxicity in adult male rats. Microsc Res Tech 78:452–461

    Google Scholar 

Download references

Funding

This work was supported by Taif University Researchers Supporting Program (project number: TURSP-2020/151), Taif University, Saudi Arabia.

Author information

Affiliations

Authors

Contributions

The author has performed all the research items.

Corresponding author

Correspondence to Ashraf Albrakati.

Ethics declarations

Conflict of interest

The author declares that there is no conflict of interest.

Ethical approval

All experimental protocols, including the use of animals, were approved by the Committee of Research Ethics for Laboratory Animal Care, Taif University (approval no. 40-36-0190).

Consent to Participate

Not applicable.

Consent to Publish

Consented.

Additional information

Publisher’s note

Springer Nature remains neutral with regard to jurisdictional claims in published maps and institutional affiliations.

Responsible Editor: Mohamed M. Abdel-Daim

Rights and permissions

Reprints and Permissions

About this article

Verify currency and authenticity via CrossMark

Cite this article

Albrakati, A. Aged garlic extract rescues ethephon-induced kidney damage by modulating oxidative stress, apoptosis, inflammation, and histopathological changes in rats. Environ Sci Pollut Res 28, 6818–6829 (2021). https://doi.org/10.1007/s11356-020-10997-5

Download citation

  • Received:

  • Accepted:

  • Published:

  • Issue Date:

  • DOI: https://doi.org/10.1007/s11356-020-10997-5

Keywords

  • Ethephon
  • Aged garlic extract
  • Kidney
  • Oxidative stress
  • Inflammation
  • Apoptosis