Skip to main content

Exploration of acute toxicity, analgesic, anti-inflammatory, and anti-pyretic activities of the black tunicate, Phallusia nigra (Savigny, 1816) using mice model

Abstract

Among marine animals, ascidians represent the most highly evolved group for marine natural products having rich source of bioactive secondary metabolites with promising potential biomedical applications. In this study, an analgesic, anti-inflammatory, and anti-pyretic activities of Phallusia nigra were performed. The acute toxicity (LD50) was calculated, and the intraperitoneal route was estimated to be 235.09, 252.90, and 295.59 mg/kg with 95% confidence limits for methanolic extract (ME), acetonitrile extract (ANE), and acetone extract (AE) respectively. Histopathological observations revealed the toxic effects of different crude extracts of P. nigra, which were more analogous on the organs such as the lungs, liver, and kidneys of the test animals. Analgesic response of acetonitrile fraction II (ANF2) was higher than all the crude extracts as well as the fractions tested, and it was very low in acetone fraction I (AF1). In addition to that, different extracts and their fractions obtained from P. nigra was potential to reduce the edema induced by carrageenan (500 μg/paw) in a duration dependent manner. Our study again proves that compounds isolated from lower forms (ascidians) showed tremendous effects in mice without any deleterious effect generally provoked during chemical drug treatments.

This is a preview of subscription content, access via your institution.

Fig. 1
Fig. 2
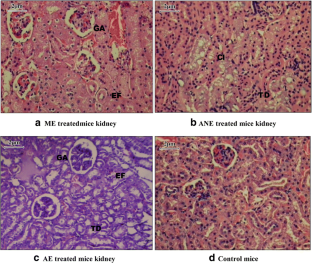
Fig. 3
Fig. 4
Fig. 5
Fig. 6
Fig. 7
Fig. 8

Availability of data and materials

The datasets used and/or analyzed during the current study are available from the corresponding author on reasonable request.

References

  • Adhikari A, Bhattacharya S, Sur TK, Bandyopadhyay SK (2015) Antiinflammatory activities of Indian fresh water edible mollusca. IOSR J Pharm Biol Sci 10:61–66

    Google Scholar 

  • Aggarwal BB (2004) Nuclear factor-κB: the enemy within. Cancer Cell 6:203–208

    CAS  Google Scholar 

  • Ahmad TB (2017) In vitro and in vivo anti-inflammatory activity of extracts from a marine mollusk. PhD thesis, Southern Cross University, Lismore, NSW

  • Arias JI, Aller MA, Arias J (2005) The use of inflammation by tumor cells. Cancer 104:223–228

    Google Scholar 

  • Bazan HA, Bhattacharjee S, Burgos C, Recio J, Abet V, Pahng AR, Jun B, Heap J, Ledet AJ, Gordon WC, Edwards S, Paul D, Alvarez-Builla J, Bazan NG (2020) A novel pipeline of 2-(benzenesulfonamide)-N-(4-hydroxyphenyl) acetamide analgesics that lack hepatotoxicity and retain antipyresis. Eur J Med Chem 202:112600–112619

    CAS  Google Scholar 

  • Blunt JW, Copp BR, Keyzer RA, Munro MH, Prinsep MR (2014) Marine natural products. Nat Prod Rep 31:160–258

    CAS  Google Scholar 

  • Blunt JW, Copp BR, Keyzer RA, Munro MH, Prinsep MR (2016) Marine natural products. Nat Prod Rep 33:382–431

    CAS  Google Scholar 

  • Chakraborty A, Devi RKB, Rita S, Sharatchandra K, Singh TI (2004) Preliminary studies on antiinflammatory and analgesic activities of Spilanthes acmella in experimental animal models. Ind J Pharmacol 36:148–150

    Google Scholar 

  • Chandrashekaran NV, Dai H, Roos KL (2002) COX-3, a cyclooxygenase-1 variant inhibited by acetaminophen and other analgesic/antipyretic drugs: cloning structure and expression. Proc Natl Acad Sci 99:13926–13931

    Google Scholar 

  • Correa MC, Maria DA, Moura-da Silva AM, Pizzocaro KF, Ruiz IR (2002) Inhibition of melanoma cells tumerogenicity by the snake venome toxin Jarurhagiu. Toxicon 40:739–748

    CAS  Google Scholar 

  • Coussens LM, Werb Z (2002) Inflammation and cancer. Nature 420:860–867

    CAS  Google Scholar 

  • Delighta MI, Meenakshi VK, Paripooranaselvi M, Gomathy S (2015) Evaluation of Anti–Inflammatory Activity of Microcosmus Exasperatus. EJPMR 2(4):682–692

    Google Scholar 

  • Diab KA, Fahmy MA, Hassan EM, Hassan ZM, Omara EA, Abdel-Samiel NS (2020) Inhibitory activity of black mulberry (Morus nigra) extract against testicular, liver and kidney toxicity induced by paracetamol in mice. Mol Biol Rep:1–17

  • Elisabetsky E, Amador TA, Albuquerque RR, Nunes DS, Ado CC (1995) Analgesic activity of Psychotria colorata (Willd. ex R. and S.). Muell. Arg. Alkaloids. J Ethnopharmacol 48:77–83

    CAS  Google Scholar 

  • Fernandes ES, Passos GF, Medeiros R, Cunha FM, Ferreira J, Campos MM, Pianowski LF, Calixto JB (2007) Anti-inflammatory effects of compounds alpha-humulene and (-)-trans-caryophyllene isolated from the essential oil of Cordia verbenacea. Eur J Pharmacol 569:228–236

    CAS  Google Scholar 

  • Gab-Alla AFA (2008) Distribution of the sea squirt Ecteinascidia thurstoni Herdman, 1890 (Ascidiacea: Perophoridae) along Suez Canal and Egyptian Red Sea coasts Institute of Oceanology PAS, Sopot, Poland. Oceanologia 50(2):239–253

    Google Scholar 

  • Goodbody I (1962) The biology of Ascidia nigra (Savigny). Survival and mortality in an adult population. Biol Bull 122:40–51

    Google Scholar 

  • Gopalakrishnan S, Meenakshi VK, Shanmuga PD (2011) Antipyretic and Analgesic activity of Phallusia nigra Savigny, 1816. Ann Biol Res 2(4):192–196

    Google Scholar 

  • Gouiffes D, Juge M, Grimaud N, Welin L, Sauviat MP, Barbin Y, Laurent D, Roussakits C, Henichart JP, Verbist JF (1988) Bistramide A, a new toxin from the urochordata Lissoclinum bistratum sluiter: isolation and preliminary characterization. Toxirae 26:1129–1136

    CAS  Google Scholar 

  • Gray WD, Osterberg AC, Scute JT (1970) Measurement of the analgesic efficacy and potency of pentazocine by the D’Amour and Smith method. J Pharmacol Exp Ther 172:154–162

    CAS  Google Scholar 

  • Guyton AC, Hall JE (1998) Textbook of Medical Physiology, 9th edn. W.B. Saunders Company, Philadelphia, pp 920–922

    Google Scholar 

  • Javed F, Jabeen Q, Aslam N, Awan AM (2020) Pharmacological evaluation of analgesic, anti-inflammatory and antipyretic activities of ethanolic extract of Indigofera argentea Burm. f. J Ethnopharmacol 250: 112966-112974.

  • Jaya Seeli AA (2004) A study on some aspects of biology of scallops in gulf of mannar, southeast coast of India. Ph.D. Thesis, Manonmanium Sundaranar University

  • Kott P (1985) The Australian Ascidiacea. Part 1, Phlebobranchia and Stolidobranchia. Mem Queensland Mus 23:1–440

    Google Scholar 

  • Lambert G, Karney RC, Rhee WY, Carman MR (2016) Wild and cultured edible tunicates: a review. Manag Biol Invasions 7(1):59–66

    Google Scholar 

  • Lee CC, Hsieh HJ, Hsieh CH, Hwang DF (2014) Antioxidative and anticancer activities of various ethanolic extract fractions from crownof-thorns starfish (Acanthaster planci). Environ Toxicol Pharmacol 38:761–773

    CAS  Google Scholar 

  • Lemaire P (2011) Evolutionary crossroads in developmental biology: the tunicates. Development 138:2143–2152

    CAS  Google Scholar 

  • Litchfield JT, Wilcoxon F (1949) A simplified method of evaluation dose-effect experiments. J Pharmacol Exp Ther 96:99–113

    CAS  Google Scholar 

  • McNamara CE, Larsen L, Perry Harper NB, Berridge JL, Chia MV, Kelly EW, Webb M (2005) Anti-inflammatory sesquiterpene-quinones from the New Zealand sponge Dysidea cf. cristagalli. J Nat Prod 68:1431–1433

    CAS  Google Scholar 

  • Nam N (2006) Naturally occurring NF-κB inhibitors. Mini-Rev Med Chem 6:945–951

    CAS  Google Scholar 

  • Nikhil D, Sunil M, Bhagyashree M, Jeffrey PR (2020) Evaluation of analgesic, anti-inflammatory, and antipyretic activity of piperine: an experimental study. Pharmacogn Res 12:176–180

    Google Scholar 

  • Padmakumar K, Ramaswamy S, Ayyakkannu K (1994) Analgesic activity of marine plants. In: Devadasan K, Mukundan MK, Antony PD, Nair PGV, Perigreen PA, Joseph J (eds) Nutrients and bioactive substances in aquatic organism. Society of Fisheries Technologists, Cochin, pp 25–30

    Google Scholar 

  • Pal S, Sen T, Chaudhuri AK (1999) Neuropsychopharmacological profile of the methanolic fraction of Bryophyllum pinnatumleaf extract. J Pharm Pharmacol 51:313–318

    CAS  Google Scholar 

  • Pearce AN, Chia EW, Berridge MV, Clark GR, Harper JL, Larsen L, Maas EW, Page MJ, Perry NB, Webb VL, Copp BR (2007) Anti-inflammatory thiazine alkaloids isolated from the New Zealand ascidian Aplidium sp. Inhibitors of the neutrophil respiratory burst in a model of gouty arthritis. J Nat Prod 70:111–113

    CAS  Google Scholar 

  • Pennati R, Rothbächer U (2015) Bioadhesion in ascidians: a developmental and functional genomics perspective. Interface Focus 5:20140061

    Google Scholar 

  • Rafieian-Kopaei M, Sewell RDE (1994) Newer antidepressants: analgesic and relative monoamine reuptake inhibitory potency. J Pharm Pharmacol 46:1088–1097

    Google Scholar 

  • Rajesh RP, Murugan A (2013) Central nervous system depressant, anti-inflammatory, Aanalgesic and antipyretic activities of the ascidian Eudistoma virde. Pharmacologia 4(1):65–69

    CAS  Google Scholar 

  • Saminathan R, Babuji S, Sethupathy S, Viswanathan P, Balasubramanian T, Gopalakrishanakone P (2006) Clinicotoxicological characterization of the acute effects of the venom of the marine snail, Conus loroisii. Acta Trop 97:75–87

    CAS  Google Scholar 

  • Sharma VC, Kaushik A, Dey YN, Srivastava B, Wanjari M, Jaiswal B (2020) Analgesic, anti-inflammatory and antipyretic activities of ethanolic extract of stem bark of Anogeissus latifolia Roxb. Clin Phytosci 6:22–29

    Google Scholar 

  • Sharmin F, Ishikazi S, Nagashima Y (2017) Molecular identification, micronutrient content, antifungal and hemolytic activity of starfish Asterias amurensis collected from Kobe coast, Japan. Afr J Biotechnol 16(4):163–170

    CAS  Google Scholar 

  • Shenkar N, Swalla BJ (2011) Global diversity of Ascidiacea. PLoS One 6(6):1–12

    Google Scholar 

  • Shiomi K, Takamiya M, Yamanaka H, Kikuchi T (1987) Purification of a lethal factor in the skin secretion from the oriental catfish Plotosus lineatus. Nippon Suisan Gakkaishi 53:1275–1280

    CAS  Google Scholar 

  • Sobeh M, Rezq S, Cheurfa M, Abdelfattah MAO, Rashied RMH, El-Shazly AM, Yasri A, Wink M, Mohmoud MF (2020) Thymus algeriensis and Thymus fontanesii–: Chemical composition, in vivo antiinflammatory, pain killing and antipyretic activities: a comprehensive comparison. Biomolecules 10:1–19

    Google Scholar 

  • Soliman AM, Fahmy SR (2013) In vitro antioxidant, analgesic and cytotoxic activities of Sepia officinalis ink and Coelatura aegyptiaca extracts. Afr J Pharm Pharmacol:1512–1522

  • Spampinato S, Speroni E, Govani P, Pistacchio E, Romagnoli C, Murani G, Ferri G (1994) Effect of omega conotoxin and verapamil on antinociceptive, behavioural and thermoregulatory responses to opioids in the rat. Eur J Pharmacol 254:229–238

    CAS  Google Scholar 

  • Teotino UM, Friz LP, Gandini A, Bella DD (1963) Thio derivatives of 2, 3- dihydro-4H-1,3-benzoazin-4-one synthesis and pharmacological properties. J Med Chem 6:248–250

    CAS  Google Scholar 

  • Treede RD (2018) The international association for the study of pain definition of pain: As valid in 2018 as in 1979, but in need of regularly updated footnotes. Pain Rep 3:e643

    Google Scholar 

  • Tsuchiya M, Sakakibara A, Yamamoto M (2005) A tachykinin NK1 receptor antagonist attenuates the 4_-phorbol-12-myristate-13-acetate-induced nociceptive behaviour in the rat. Eur J Pharmacol 507:29–34

    CAS  Google Scholar 

  • Tu AT (1988) Toxin related diseases. Antivenom 1-351

  • Zhan A, Briski E, Bock DG, Ghabooli S, MacIsaac HJ (2015) Ascidians as models for studying invasion success. Mar Biol 162:2449–2470

    Google Scholar 

Download references

Acknowledgments

The authors were thankful to the authorities of Annamalai University for providing facilities and the Ministry of Earth Sciences (OASTC), New Delhi for financial assistance. Authors were indebted to Dr. Subodh Guptha, Principal Scientist, Central Institute of Fisheries Education (CIFE), Mumbai for providing all the necessary facilities related to animal model. Authors were also grateful to Dr. A.K. Khaja Nazeemudeen, Secretary and Correspondent, Dr. S. Ismail Mohideen, Principal and Dr. Mohamed Shamsudin, Former Head, Dr. I. Joseph A. Jerald, Head i/c, P.G. and Research Department of Zoology, Jamal Mohamed College (Autonomous), Tiruchirappalli for their constant support and guidance.

Funding

This study received financial assistance from the Ministry of Earth Sciences (OASTC), New Delhi.

Author information

Affiliations

Authors

Contributions

MHS designed and performed the work. SP helped to interpret results. AG finalized and approved the manuscript.

Corresponding author

Correspondence to Mohamed Hussain Syed.

Ethics declarations

Ethical approval

For animal (mice) studies, the ethical committee approval number is mentioned in the manuscript as (License no. FGB/CPCSEA/2001-2002/13.10.2010). According to Indian ethical committee regulations, there is no need of ethical approval for invertebrate animals (Tunicate) used for laboratory test.

Consent to participate

Not applicable

Consent to publish

Not applicable

Conflict of interest

The authors declare that they have no conflict of interest.

Additional information

Publisher’s note

Springer Nature remains neutral with regard to jurisdictional claims in published maps and institutional affiliations.

Responsible editor: Mohamed M. Abdel-Daim

Rights and permissions

Reprints and Permissions

About this article

Verify currency and authenticity via CrossMark

Cite this article

Syed, M.H., Gnanakkan, A. & Pitchiah, S. Exploration of acute toxicity, analgesic, anti-inflammatory, and anti-pyretic activities of the black tunicate, Phallusia nigra (Savigny, 1816) using mice model. Environ Sci Pollut Res 28, 5809–5821 (2021). https://doi.org/10.1007/s11356-020-10938-2

Download citation

  • Received:

  • Accepted:

  • Published:

  • Issue Date:

  • DOI: https://doi.org/10.1007/s11356-020-10938-2

Keywords

  • Ascidians
  • Analgesic
  • Acute toxicity
  • Anti-inflammatory
  • Anti-pyretic
  • Albino mice