Skip to main content

Antiapoptotic and antioxidant capacity of phytochemicals from Roselle (Hibiscus sabdariffa) and their potential effects on monosodium glutamate-induced testicular damage in rat

Abstract

Monosodium glutamate (MSG), common flavor enhancer and feed additive, causes male reproductive dysfunction. However, Roselle tea, popular Hibiscus sabdariffa (HS) beverage, has a controversial effectiveness on male fertility. Therefore, the current study aimed to investigate either the adverse effect of aqueous HS extract (HSE) on the testicle or its potential ameliorative role including some stress markers, biochemical and immunohistochemical expressions in rats subjected to MSG. Here, the animals were divided into four groups that were given distilled water, HSE, MSG, and HSE + MSG respectively via gavage. After 6 weeks from the beginning of experiment, blood samples were collected for hormonal analysis. Additionally, testicular specimens were excised and processed for oxidative/antioxidant parameters determination, histological examination, and immunohistochemical evaluation of Bax and PCNA positive spermatogenic cells. Preliminary phytochemical analyses as well as antioxidant capacity of the HSE were tested. Our results revealed a strong inhibitory activity of the HSE phytochemical constituents against DPPH radical. MSG group revealed a significant decrease of testosterone, LH, FSH, and antioxidant parameters with elevated MDA compared with control and HSE groups. Additionally, an alteration of the testicular histo-architecture was observed among MSG group along with increased Bax and decreased PCNA positive cells. Meanwhile, the HSE showed a potent protective effect against testicular damage as well as oxidative stress induced by MSG. On the whole, our findings provide evidence that HSE can ameliorate MSG-induced testicular toxicity via induction of cell proliferation along with reduction of oxidative stress and cellular apoptosis in adult rat that attributed to the antioxidant and antiapoptotic effects of its phytochemical constituents.

This is a preview of subscription content, access via your institution.

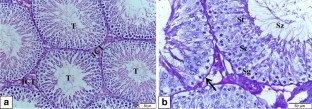
Fig. 1
Fig. 2
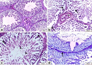
Fig. 3
Fig. 4
Fig. 5
Fig. 6
Fig. 7

Data availability

Not applicable.

Abbreviations

MSG:

Monosodium glutamate

HS:

Hibiscus sabdariffa

HSE:

Hibiscus sabdariffa extract

PCNA:

Proliferating cell nuclear antigen

LH:

Luteinizing hormone

FSH:

Follicle stimulating hormone

MDA:

Malondialdehyde

SOD:

Superoxide dismutase

CAT:

Catalase

GSH:

Glutathione

PS:

Proportional score

IS:

Intensity score

TS:

Total score

ROS:

Reactive oxygen species

DPPH:

1,1-Diphenyl-1-picrylhydrazyl

References

  • Abdellatief SA, Galal AAA, Farouk SM, Abdel-Daim MM (2017) Ameliorative effect of parsley oil on cisplatin-induced hepato-cardiotoxicity: a biochemical, histopathological, and immunohistochemical study. Biomed Pharmacother 86:482–491

    CAS  Google Scholar 

  • Aebi H (1984) Catalase in vitro. Methods Enzymol 105:121–126

    CAS  Google Scholar 

  • Ajay M, Chai HJ, Mustafa AM, Gilani AH, Mustafa MR (2007) Mechanisms of the anti-hypertensive effect of Hibiscus sabdariffa L. calyces. J Ethnopharmacol 109:388–393

    CAS  Google Scholar 

  • Ajiboye TO, Salawu NA, Yakubu MT, Oladiji AT, Akanji MA, Okogun JI (2011) Antioxidant and drug detoxification potentials of Hibiscus sabdariffa anthocyanin extract. Drug Chem Toxicol 34(2):109–115

    CAS  Google Scholar 

  • Akindahunsi AA, Olaleye MT (2003) Toxicological investigation of aqueous-methanolic extract of the calyces of Hibiscus sabdariffa L. J Ethnopharmacol 89(1):161–164

    CAS  Google Scholar 

  • Alalwani AD (2014) Monosodium glutamate induced testicular lesions in rats (histological study). Middle East Fertil Soc J 19:274–280

    Google Scholar 

  • AlBasher G, Abdel-Daim MM, Almeer R, Ibrahim KA, Hamza RZ, Bungau S, Aleya L (2020) Synergistic antioxidant effects of resveratrol and curcumin against fipronil-triggered oxidative damage in male albino rats. Environ Sci Pollut Res 27:6505–6514

    CAS  Google Scholar 

  • Amin A, Hamza AA (2006) Effects of Roselle and Ginger on cisplatin induced reproductive toxicity in rats. Asian J Androl 8:607–612

    CAS  Google Scholar 

  • Azevedo J, Fernandes I, Faria A, Oliveira J, Fernandes A, de Freitas V, Mateus N (2010) Antioxidant properties of anthocyanidins, anthocyanidin-3-glucosides and respective portisins. Food Chem 119:518–523

    CAS  Google Scholar 

  • Badr El-Din S, Abd-El Aty OA (2012) Biochemical and immunocytochemical studies of the testicular changes after treatment with duloxetine hydrochloride and the possible protective effects of omega 3 in adult rat model of depression. AAMJ 10(3):264–299

    Google Scholar 

  • Bakhtiari E, Hosseini A, Mousavi SH (2015) Protective effect of Hibiscus sabdariffa against serum/glucose deprivation-induced PC12 cells injury. Avicenna J Phytomed 5(3):231–237

    CAS  Google Scholar 

  • Bancroft JD, Gamble M (2008) Theory and practice of histological techniques, sixth edn. Churchill Livingstone, London

    Google Scholar 

  • Beheshti R, Bandariyan E, Hemati M (2018) Effects of Hibiscus sabdariffa aqueous extract on spermatogenesis and sperm parameters of mice. Herbal Med J 3(3):109–119

    Google Scholar 

  • Beutler E, Duron O, Kelly BM (1963) Improved method for the determination of blood glutathione. J Lab Clin Med 61:882–888

    CAS  Google Scholar 

  • Chang CJ, Lee RN, Wang DC (2004) Effect of Hibiscus sabdariffa on cholesterol and lipid levels in man. J Sci Food and Agriculture 22(4): 64-69

  • Costa-Rocha I, Bonnlaender B, Sievers H, Pischel I, Heinrich M (2014) Hibiscus sabdariffa L.-a phytochemical and pharmacological review. Food Chem 165:424–443

    Google Scholar 

  • D’Andrea MR, Lawrence D, Nagele RG, Wang CY, Damiano BP (2008) PCNA indexing as a preclinical immunohistochemical biomarker for testicular toxicity. Biotech Histochem 83(5):211–220

    Google Scholar 

  • Das R, Ghosh S (2010) Long-term effects of monosodium glutamate on spermatogenesis following neonatal exposure in albino mice–a histological study. Nepal Med Coll J 12:149–153

    CAS  Google Scholar 

  • Egbuonu AC, Obidoa O, Ezeokonkwo CA, Ezeanyika LU, Ejikeme PM (2009) Hepatotoxic effects of low dose oral administration of monosodium glutamate in male albino rats. Afr J Biotechnol 8:3031–3035

    CAS  Google Scholar 

  • Elsabagh RA, Amin RA, Amin A (2014) Health risks of some meat additives on male rats. World J Dairy Food Sci 9(2):285–298

    Google Scholar 

  • El-Wakf AM, Hassan HA, El-Said FG, El-Said A (2009) The association between nitrite contamination of drinking water and changes in methemoglobin level other hematological parameters in young and adult male rats. J Egypt Soc Toxicol 49:91–96

    Google Scholar 

  • Eshwarappa RSB, Iyer RS, Subbaramaiah SR, Richard SA, Dhanajaya BL (2014) Antioxidant activity of Syzigium cumini leaf gall extracts. Bioimpacts 4(2):101–107

    Google Scholar 

  • Eweka OA (2007) Histological studies of the effects of monosodium glutamate on the kidney of adult Wistar rats. Internet J Health 6(2):1–6

    Google Scholar 

  • Fabio R, Seiva F, Gustavo L, Chuffa A, Braga CP, Paulo J, Amorim A, Fernandes AAH (2012) Quercetin ameliorates glucose and lipid metabolism and improves antioxidant status in postnatally monosodium glutamate-induced metabolic alterations. Food Chem Toxicol 50:3556–3561

    Google Scholar 

  • Fadairo EA, Birma GJ, Obi FO, Opajobi AO, Onyesom I (2008) Protective role of whole and anthocyanin-free aqueous extracts of Hibiscus sabdariffa L. on cadmium-induced prostate, testicular and nephro toxicity markers in male Wistar rats. Biomed Pharmacol J 1(2):281–288

    Google Scholar 

  • Franc LR, Suescun MO, Miranda JR, Giovambattista A, Perello M, Spinedi E, Calandra RS (2006) Testis structure and function in a nongenetic hyperadipose rat model prepubertal and adult ages. Endocinology 147:1556–1563

    Google Scholar 

  • Gaya I, Mohammad O, Suleiman A, Maje M, Adekunle A (2009) Toxicological and lactogenic studies on the seeds of Hibiscus sabdariffa Linn (Malvaceae) extract on serum prolactin levels of albino wistar rats. Internet J Endocrinol 5(2):1–6

    Google Scholar 

  • Gheller AC, Kerkhoff J, Júnior GV, de Campos KE, Sugui MM (2017) Antimutagenic effect of Hibiscus sabdariffa L. aqueous extract on rats treated with monosodium glutamate. Sci World J 2017:9392532

    Google Scholar 

  • Guardiola S, Mach N (2014) Therapeutic potential of Hibiscus sabdariffa: a review of the scientific evidence. Endocrinol Nutr 61(5):247–295

    Google Scholar 

  • Hajihasani MM, Soheili V, Zirak MR, Sahebkar AH, Shakeri A (2020) Natural products as safeguards against monosodium glutamate-induced toxicity. Iran J Basic Med Sci 23:416–430

    Google Scholar 

  • Hamzaa RZ, AL-Harbi MS (2014) Monosodium glutamate induced testicular toxicity and the possible ameliorative role of vitamin E or selenium in male rats. Toxicol Rep 1:1037–1045

    Google Scholar 

  • Hopkins AL, Lamm MG, Funk JK, Ritenbaugh C (2013) Hibiscus sabdariffa L. in the treatment of hypertension and hyperlipidemia: a comprehensive review of animal and human studies. Fitoterapia 85:84–94

    CAS  Google Scholar 

  • Igwebuike U, Ochiogu I, Ihedinihu B, Ikokide J, Idika I (2011) The effects of oral administration of monosodium glutamate (MSG) on the testicular morphology and cauda eipididymal sperm reserves of young and adult male rats. Vet Arch 81:525–534

    CAS  Google Scholar 

  • Jin Z, El-Deiry WS (2005) Overview of cell death Signalling pathways: review. Cancer Biol Ther 4:139–163

    CAS  Google Scholar 

  • Jubaidi FF, Mathialagan RD, Mat noor M, Taib IS, Budin SB (2019) Monosodium glutamate daily oral supplementation: study of its effects on male reproductive system on rat model. Syst Biol Reprod Med 65(1):1–11

    Google Scholar 

  • Kannan K, Jain SK (2000) Oxidative stress and apoptosis. Pathophysiol 7(27):153–163

    CAS  Google Scholar 

  • Karaboduk H, Uzunhisarcikli M, Kalender Y (2015) Protective effects of sodium selenite and vitamin E on mercuric chloride-induced cardiotoxicity in male rats. Braz Arch Biol Technol 58:229–238

    CAS  Google Scholar 

  • Lin WW, Lamb DJ, Wheeler TM, Lipshultz L, Kim ED (1997) In situ end-labeling of human testicular tissue demonstrates increased apoptosis in conditions of abnormal spermatogenesis. Fertil Steril 68:1065–1069

    CAS  Google Scholar 

  • Mahmoud YI (2012) Effect of extract of Hibiscus on the ultrastructure of the testis in adult mice. Acta Histochem 114:342–348

    Google Scholar 

  • Mclachlan RI, Wreford NG, O’Donnell L, De Kretser DM, Robertson DM (1996) The endocrine regulation of spermatogenesis: independent roles for testosterone and FSH. J Endocrinol 148:1–9

    CAS  Google Scholar 

  • Mohamed WA, Abd-Elhakim YM, Farouk SM (2016) Protective effects of ethanolic extract of rosemary against lead-induced hepato-renal damage in rabbits. Exp Toxicol Pathol 68(8):451–456

    CAS  Google Scholar 

  • Mojiminiyi FBO, Adegunloye BJ, Egbeniyi YA, Okolo RU (2000) An investigation of the diuretic effect of an aqueous extract of the petals of Hibiscus Sabdariffa. Afr J Med Med Sci 2(1):75–80

    Google Scholar 

  • Nishikimi M, Roa N, Yogi K (1972) Measurement of superoxide dismutase. Biochem Biophys Res Common 46:849–854

    CAS  Google Scholar 

  • Ochani PC, D’Mello P (2009) Antioxidant and antihyperlipidemic activity of Hibiscus sabdariffa Linn. Leaves and calyces extracts in rats. Indian J Exp Biol 47(4):276–282

    Google Scholar 

  • Ohkawa H, Ohishi N, Yagi K (1979) Assay for lipid peroxides in animal tissues by thiobarbituric acid reaction. Anal Biochem 95:351–358

    CAS  Google Scholar 

  • Okereke CN, Iroka FC, Chukwuma MO (2015) Phytochemical analysis and medicinal uses of Hibiscus sabdariffa. Int J Herbal Med 2(6):16–19

    Google Scholar 

  • Olusanya VO, Rasaq NO, Ojemekele O (2018) Ameliorative effects of aqueous extracts of ginger and garlic on Hibiscus sabdariffa-induced testicular damage in male Wistar rats. Egypt Pharmaceut J 17:21–26

    Google Scholar 

  • Omotuyi IO, Ologundudu A, Onwubiko VO, Wogu MD (2011) Hibiscus sabdariffa Linn anthocyanins alter circulating reproductive hormones in rabbits. J Diabetes Endocrinol 1(3):36–45

    Google Scholar 

  • Onakewhor J, Oforofuo I, Singh S (1998) Chronic administration of monosodium glutamate induces oligozoospermia and glycogen accumulation in Wistar rat testes. Afr J Reprod Health 2(2):190–197

    Google Scholar 

  • Orisakwe OE, Husaini DC, Afonne OJ (2004) Testicular effects of sub-chronic administration of Hibiscus sabdariffa calyx aqueous extract in rats. J Reprod Toxicol 2:295–298

    Google Scholar 

  • Osawa T (1994) Novel natural antioxidants for utilization in food and biological system. In: Uritani I, Garcia VV, Mendoza EM (eds) Post-harvest biochemistry of plant food-materials in the tropics. Japan Scientific Societies Press, Tokyo, pp 241–251

    Google Scholar 

  • Owulade MO, Eghianruwa KI, Daramola FO (2004) Effects of aqueous extracts of Hibiscus sabdariffa calyces and Ocimum gratisimum leaves in intestinal transits in rats. J Biomed Res 7:31–33

    Google Scholar 

  • Pacôme OA, Bernard DN, Sékou D, Joseph DA, David NJ, Mongomaké K, Hilaire KT (2014) Phytochemical and antioxidant activity of Roselle (Hibiscus sabdariffa L.) petal extracts. RJPBCS 5(2):1453–1465

    Google Scholar 

  • Patel S (2014) Hibiscus sabdariffa: an ideal yet under-exploited candidate for nutraceutical applications. Biomed Prev Nutr 4(1):23–27

    Google Scholar 

  • Petrie A, Watson P (1999) Statistics for veterinary and animal science. Blackwell Science, London, pp 93–102

    Google Scholar 

  • Rajesh KD, Vasantha S, Rajesh NV, Panneerselvam A (2014) Qualitative and quantitative phytochemical analysis in four pteridophytes. Int J Pharm Sci Rev Res 27(2):408–412

    Google Scholar 

  • Ramzan F, Qureshi IZ (2011) Intraperitoneal kisspeptin-10 administration induces dose-dependent degenerative changes in maturing rat testes. Life Sci 88(5–6):246–256

    CAS  Google Scholar 

  • Rose MP (1998) Follicle stimulating hormone international standards and reference preparations for the calibration of immunoassays and bioassays. Clin Chim Acta 273:103–117

    CAS  Google Scholar 

  • Saeed IA, Ali L, Jabeen A, Khasawneh M, Rizvi TA, Ashraf SS (2013) Estrogenic activities of ten medicinal herbs from the Middle East. J Chromatogr Sci 51:33–39

    CAS  Google Scholar 

  • Sakr SA, Badawy GM (2013) Protective effect of curcumin on monosodium glutamate-induced reproductive toxicity in male albino rats. Global J Pharmacol 7(4):416–422

    CAS  Google Scholar 

  • Samuels A (1999) The toxicity/safety of MSG: a study in suppression of information. Account Res 6:259–310

    Google Scholar 

  • Sarhan NR (2018) The ameliorating effect of sodium selenite on the histological changes and expression of Caspase-3 in the testis of monosodium glutamate-treated rats: light and electron microscopic study. J Microsc Ultrastruct 6(2):105–115

    Google Scholar 

  • Shivji KK, Kenny MK, Wood RD (1992) Proliferating cell nuclear antigen is required for DNA excision repair. Cell 69(2):367–374

    CAS  Google Scholar 

  • Sinha Hikim AP, Lue Y, Yamamoto CM, Vera Y, Rodriguez S, Yen PH, Soeng K, Wang C, Swerdloff RS (2003) Key apoptotic pathways for heat-induced programmed germ cell death in the testis. Endocrinology 144:3167–3175

    Google Scholar 

  • Sirag N, Ahmed EM, Algaili AM, Mohamed H, Tajeldeen IM (2013) Effect of Hibiscus sabdariffa calyx extract on reproductive hormones in normal rats. Afr J Pharm Pharmacol 7(32):2295–2298

    Google Scholar 

  • Siriwoharn T, Wrolstad RE, Finn CE (2004) Influence of cultivar, maturity, and sampling on blackberry (Rubus L. Hybrids) anthocyanins, polyphenolics, and antioxidant properties. J Agric Food Chem 52:8021–8030

    CAS  Google Scholar 

  • Soliman MM, Mahmoud YI (2010) Hibiscus Sabdariffa aqueous extract (Karkadé) affects spermatogenesis in adult albino mice. Egypt J Zool 55:27–42

    Google Scholar 

  • Storto M, Sallese M, Salvatore L, Poulet R, Condorelli DF, Dell’Albani P, Marcello MF, Romeo R, Piomboni P, Barone N, Nicoletti F, De Blasi A (2001) Expression of metabotropic glutamate receptors in the rat and human testis. J Endocrinol 170:71–78

    CAS  Google Scholar 

  • Suleiman I, Kawu MU, Tanko Y, Shitu M (2015) Effect of co-administration of aqueous extract of Hibiscus Sabdariffa Linn (Malvaceae) Calyx and vitamin E on carbamazepine-induced testicular changes in adult Wistar rats. Int J Novel Res Life Sci 2(1):22–33

    Google Scholar 

  • Tietz NW (1995) Clinical guide to laboratory tests, 3rd edn. Saunders, W.B., co., Philadelphia, pp 578–580

    Google Scholar 

  • Tsai PJ, Huang HP (2004) Effect of polymerization on the antioxidant capacity of anthocyanins in Rosella. Food Res Int 37:313–318

    CAS  Google Scholar 

  • Umukoro S, Oluwole GO, Olamijowon HE, Omogbiya AI, Eduviere AT (2015) Effect of monosodium glutamate on behavioral phenotypes, biomarkers of oxidative stress in brain tissues and liver enzymes in mice. World J Neurol 5:339–349

    CAS  Google Scholar 

  • Vermeirsch H, Van den Broeck W, Coryn M, Simoens P (2002) Immunohistochemical detection of androgen receptors in the canine uterusthroughout the estrous cycle. Theriogenology 57:2203–2216

    CAS  Google Scholar 

  • Zhang K, Shang Y, Liao S, Zhang W, Nian H, Liu Y, Chen Q, Han C (2007) Uncoupling protein 2 protects testicular germ cells from hyperthermia-induced apoptosis. Biochem Biophys Res Commun 360:327–332

    CAS  Google Scholar 

  • Zhang M, Hettiarachchy NS, Horax R, Kannan A, Praisoody MDA, Muhundan A, Mallangi CR (2011) Phytochemicals, antioxidant and antimicrobial activity of Hibiscus sabdariffa, Centella asiatica, Moringa oleifera and Murraya koenigii leaves. J Med Plant Res 5:6672–6680

    CAS  Google Scholar 

Download references

Author information

Affiliations

Authors

Contributions

F.A. Gad, S.M. Farouk, and M.A. Emam contributed to the design and implementation of the research, to the analysis and discussion of the results.

Corresponding author

Correspondence to Sameh Mohamed Farouk.

Ethics declarations

Animals were handled and maintained in accordance with the guidelines of National Institutes of Health for the Care and Use of Laboratory Animals, as well as the experiment was approved by Institutional Animal Cares and Use Committee Research Ethics Board (IACUCREB) at Faculty of Veterinary Medicine, Benha University, Egypt (Approval no; BUFVTM 01-04-20).

Consent for publication

Not applicable.

Conflict of interest

The authors declare that they have no conflict of interest.

Additional information

Publisher’s note

Springer Nature remains neutral with regard to jurisdictional claims in published maps and institutional affiliations.

Responsible Editor: Mohamed M. Abdel-Daim

Rights and permissions

Reprints and Permissions

About this article

Verify currency and authenticity via CrossMark

Cite this article

Gad, F.AM., Farouk, S.M. & Emam, M.A. Antiapoptotic and antioxidant capacity of phytochemicals from Roselle (Hibiscus sabdariffa) and their potential effects on monosodium glutamate-induced testicular damage in rat. Environ Sci Pollut Res 28, 2379–2390 (2021). https://doi.org/10.1007/s11356-020-10674-7

Download citation

  • Received:

  • Accepted:

  • Published:

  • Issue Date:

  • DOI: https://doi.org/10.1007/s11356-020-10674-7

Keywords

  • Monosodium glutamate
  • Hibiscus
  • Phytochemical analysis
  • Immunohistochemistry
  • Oxidative damage
  • Testicular injury