Skip to main content

Hepatotoxicity of graphene oxide in Wistar rats

Abstract

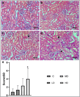
Graphene oxide (GO) has a multitude of applications in areas of nanomedicine, electronics, textile, water purification, and catalysis among others. GO is relatively easier to manufacture and customize as compared with other carbon-based nanomaterials. In the present work, GO was administered intraperitoneally to adult Wistar rats in four incremental doses, i.e., 0.0 mg/kg (control), 0.4 mg/kg (low dose), 2.0 mg/kg (mid-dose), and 10.0 mg/kg (high dose). After 15 repeated doses over a period of 30 days, biochemical assays for alanine transaminase (ALT), aspartate transaminase (AST), alkaline phosphatase (ALP), catalase (CAT), and malondialdehyde (MDA) were carried out. Histopathological and morphometric analyses of liver and kidney were also performed. Results demonstrated dose-dependent toxicity of GO. General behavior and liver indices remained unaffected in the study. Serum levels of ALT, ALP, and AST were altered significantly in high-dose treated animals. Changes were found insignificant in the low- and mid-dose groups. Catalase activity in liver tissue homogenates was decreased in the high-dose group. MDA levels were found elevated in treated rats. Unlike control and low dose, mid- and high-dose treated rats exhibited varying degrees of histopathological changes like inflammation around the central vein and portal veins, vacuolations, hepatocytic injury, and near normal to abnormal hepatic sinusoids. These findings show that GO has considerable toxic potential to mammalian liver and thorough toxicity studies are needed before these nanosheets are used in biomedicine.

This is a preview of subscription content, access via your institution.

Fig. 1
Fig. 2
Fig. 3

References

  • Aebi H (1984) Catalase in vitro. Methods Enzymol 105:121–126

    CAS  Article  Google Scholar 

  • Almeida JPM, Chen AL, Foster A, Drezek R (2011) In vivo biodistribution of nanoparticles. Nanomedicine 6(5):815–835

    CAS  Article  Google Scholar 

  • Amrollahi-Sharifabadi M, Koohi MK, Hablolvarid MH, Hassan J, Seifalian AM (2018) In vivo toxicological evaluation of graphene oxide nanoplatelets for clinical application. Int J Nanomedicine 13:4757–4769

    CAS  Article  Google Scholar 

  • Awasthi KK, John PJ, Awasthi A, Awasthi K (2013) Multi walled carbon nanotubes induced hepatotoxicity in Swiss albino mice. Micron 44:359–364

    CAS  Article  Google Scholar 

  • Bai Y, Zhang Y, Zhang J, Mu Q, Zhang W, Butch ER, Snyder SE, Yan B (2010) Repeated carbon nanotube administrations in male mice cause reversible testis damage without affecting fertility. Nat Nanotechnol 5:683–689

    CAS  Article  Google Scholar 

  • Beitollahi H, Safaei M, Tajik S (2019) Application of graphene and graphene oxide for modification of electrochemical sensors and biosensors: a review. Int J Nano Dimens 10(2):125–140

    CAS  Google Scholar 

  • Coros M, Pogacean F, Magerusan L, Socaci C, Pruneanu S (2019) A brief overview on synthesis and applications of graphene and graphene-based nanomaterials. Front Mater Sci 13(1):23–32

    Article  Google Scholar 

  • Das T, Sharma BK, Katiyar AK, Ahn JH (2018) Graphene-based flexible and wearable electronics. J Semicond 39:011007

    Article  CAS  Google Scholar 

  • Dreyer DR, Park S, Bielawski CW, Ruoff RS (2010) The chemistry of graphene oxide. Chem Soc Rev 39:228–240

    CAS  Article  Google Scholar 

  • Duan G, Zhang Y, Luan B, Weber JK, Zhou RW, Yang Z, Zhao L, Xu J, Luo J, Zhou R (2017) Graphene-induced pore formation on cell membranes. Sci Rep 7:42767

    CAS  Article  Google Scholar 

  • Giannini EG, Testa R, Savarino V (2005) Liver enzyme alteration: a guide for clinicians. CMAJ 172(3):367–379

    Article  Google Scholar 

  • Gowda S, Desai PB, Hull VV, Math AA, Vernekar SN, Kulkarni SS (2009) A review on laboratory liver function tests. Pan Afr Med J 3:17

    Google Scholar 

  • Gurunathan S, Arsalan Iqbal M, Qasim M, Park CH, Yoo H, Hwang JH, Uhm SJ, Song H, Park C, Do JT, Choi Y, Kim JH, Hong K (2019) Evaluation of graphene oxide induced cellular toxicity and transcriptome analysis in human embryonic kidney cells. Nanomaterials (Basel) 9(7):969

    CAS  Article  Google Scholar 

  • Jarosz A, Skoda M, Dudek I, Szukiewicz D (2016) Oxidative stress and mitochondrial activation as the main mechanisms underlying graphene toxicity against human cancer cells. Oxidative Med Cell Longev 10:1155

    Google Scholar 

  • Kew MC (2000) Serum aminotransferase concentration as evidence of hepatocellular damage. Lancet 355:591–592

    CAS  Article  Google Scholar 

  • Khan M, Tahir MN, Adil SF, Khan HU, Siddiqui MR, Al-warthan AA, Tremel W (2015) Graphene based metal and metal oxide nanocomposites: synthesis, properties and their applications. J Mater Chem A 3:18753–18808

    CAS  Article  Google Scholar 

  • Kim YH, Jo MS, Kim JK, Shin JH, Baek JE, Park HS (2018) Short-term inhalation study of graphene oxide nanoplates. Nanotoxicology 12(3):224–238

    CAS  Article  Google Scholar 

  • Kurantowicz N, Strojny B, Sawosz E, Jaworski S, Kutwin M, Grodzik M, Wierzbicki M, Lipińska L, Mitura K, Chwalibog A (2015) Biodistribution of a high dose of diamond, graphite, and graphene oxide nanoparticles after multiple intraperitoneal injections in rats. Nanoscale Res Lett 10(1):398

    Article  CAS  Google Scholar 

  • Lammel T, Boisseaux P, Fernandez-Cruz ML, Navas JM (2013) Internalization and cytotoxicity of graphene oxide and carboxyl graphene nanoplatelets in the human hepatocellular carcinoma cell line Hep G2. Part Fibre Toxicol 10:27

    CAS  Article  Google Scholar 

  • Li B, Yang J, Huang Q, Zhang Y, Peng C, Zhang Y, He Y, Shi J, Li W, Hu J, Fan C (2013) Biodistribution and pulmonary toxicity of intratracheally instilled graphene oxide in mice. NPG Asia Mater 5:e44. https://doi.org/10.1038/am.2013.7

    CAS  Article  Google Scholar 

  • Li Y, Wang Y, Tu L, Chen D (2016) Sub-acute toxicity study of graphene oxide in the Sprague-Dawley rat. Int J Environ Res Public Health 13(11):1149

    Article  CAS  Google Scholar 

  • Lonkar SP, Abdala AA (2014) Applications of graphene in catalysis. J Thermodyn Catal 5(2):132–137

    Google Scholar 

  • Ma J, Liu R, Wang X, Liu Q, Chen Y, Valle RP, Zuo YY, Xia T, Liu S (2015) Crucial role of lateral size for graphene oxide in activating macrophages and stimulating pro-inflammatory responses in cells and animals. ACS Nano 9(10):10498–10515

    CAS  Article  Google Scholar 

  • Mendonça MCP, Soares ES, Bispo de Jesus M et al (2016) Reduced graphene oxide: nanotoxicological profile in rats. J Nanobiotechnol 14(1):53

    Article  CAS  Google Scholar 

  • Mittal S, Kumar V, Dhiman N, Chauhan LKS, Pasricha R, Pandey AK (2016) Physico-chemical properties based differential toxicity of graphene oxide/reduced graphene oxide in human lung cells mediated through oxidative stress. Sci Rep 6:39548

    CAS  Article  Google Scholar 

  • Mohan VB, Lau KT, Hui D, Bhattacharyya D (2018) Graphene-based materials and their composites: a review on production, applications and product limitations. Compos Part B: Eng 142:200–220

    CAS  Article  Google Scholar 

  • Nirmal NK, Awasthi KK, John PJ (2017a) Effects of hydroxyl-functionalized multi-walled carbon nanotubes on sperm health and testes of Wistar rats. Toxicol Ind Health 33(6):519–529

    CAS  Article  Google Scholar 

  • Nirmal NK, Awasthi KK, John PJ (2017b) Effects of nano-graphene oxide on testis, epididymis and fertility of Wistar rats. Basic Clin Pharmacol Toxicol 121(3):202–210

    CAS  Article  Google Scholar 

  • Ohkawa H, Ohishi N, Yagi K (1979) Assay for lipid peroxides in animal tissues by thiobarbituric acid reaction. Anal Biochem 95(2):351–358

    CAS  Article  Google Scholar 

  • Ou L, Song B, Liang H, Liu J, Feng X, Deng B, Sun T, Shao L (2016) Toxicity of graphene-family nanoparticles: a general review of the origins and mechanisms. Part Fibre Toxicol 13(1):57

    Article  CAS  Google Scholar 

  • Pang L, Dai C, Bi L, Guo Z, Fan J (2017) Biosafety and antibacterial ability of graphene and graphene oxide in vitro and in vivo. Nanoscale Res Lett 12(1):564

    Article  CAS  Google Scholar 

  • Patlolla AK, Berry A, Tchounwou PB (2011) Study of hepatotoxicity and oxidative stress in male Swiss-Webster mice exposed to functionalized multi-walled carbon nanotubes. Mol Cell Biochem 358(1–2):189–199

    CAS  Article  Google Scholar 

  • Patlolla AK, Rondalph J, Tchounwou PB (2017) Biochemical and histopathological evaluation of graphene oxide in Sprague-Dawley rats. Austin J Environ Toxicol 3(1):1021

    Google Scholar 

  • Phiri J, Gane P, Maloney TC (2017) General overview of graphene: production, properties and application in polymer composites. Mater Sci Eng B 215:9–28

    CAS  Article  Google Scholar 

  • Priyadarsini S, Mohanty S, Mukherjee S, Basu S, Mishra M (2018) Graphene and graphene oxide as nanomaterials for medicine and biology application. J Nanostruct Chem 8:123–137

    CAS  Article  Google Scholar 

  • Saha A, Basiruddin SK, Ray SK, Roy SS, Jana NR (2010) Functionalized graphene and graphene oxide solution via polyacrylate coating. Nanoscale 2:2777–2782

    CAS  Article  Google Scholar 

  • Shen H, Zhang L, Liu M, Zhang Z (2012) Biomedical applications of graphene. Theranostics 2(3):283–294

    CAS  Article  Google Scholar 

  • Singh R, Tripathi C (2018) Electrochemical exfoliation of graphite into graphene for flexible supercapacitor application. Mater Today-Proc 5(1):1125–1130

    CAS  Article  Google Scholar 

  • Wang K, Ruan J, Song H, Zhang J, Wo Y, Guo S, Cui D (2011) Biocompatibility of graphene oxide. Nanoscale Res Lett 6(1):8

    Article  CAS  Google Scholar 

  • Wang Z, Ciacchi LC, Wei G (2017) Recent advances in the synthesis of graphene-based nanomaterials for controlled drug delivery. Appl Sci 7(11):1175–1193

    Article  CAS  Google Scholar 

  • Yang J, Hu PA, Yu G (2019) Perspective of graphene-based electronic devices: graphene synthesis and diverse applications. APL Mater 7(2):020901–020907

    Article  CAS  Google Scholar 

  • Zhang X, Yin J, Peng C, Hu W, Zhu Z, Li W, Fan C, Huang Q (2011) Distribution and biocompatibility studies of graphene oxide in mice after intravenous administration. Carbon 49(3):986–995

    CAS  Article  Google Scholar 

Download references

Funding

We acknowledge Indian Council of Medical Research, New Delhi, for partial financial assistance as Junior Research Fellowship (3/1/3/JRF-2011/HRD 107/81242) to Naresh Kumar Nirmal.

Author information

Affiliations

Authors

Corresponding author

Correspondence to Placheril J. John.

Ethics declarations

Conflict of interest

The authors declare that they have no conflict of interest.

Additional information

Publisher’s note

Springer Nature remains neutral with regard to jurisdictional claims in published maps and institutional affiliations.

Responsible Editor: Mohamed M. Abdel-Daim

Electronic supplementary material

ESM 1

(PDF 655 kb)

Rights and permissions

Reprints and Permissions

About this article

Verify currency and authenticity via CrossMark

Cite this article

Nirmal, N.K., Awasthi, K.K. & John, P.J. Hepatotoxicity of graphene oxide in Wistar rats. Environ Sci Pollut Res 28, 46367–46376 (2021). https://doi.org/10.1007/s11356-020-09953-0

Download citation

  • Received:

  • Accepted:

  • Published:

  • Issue Date:

  • DOI: https://doi.org/10.1007/s11356-020-09953-0

Keywords

  • Nanosheets
  • Graphene oxide
  • Hepatotoxicity
  • Nanotoxicity
  • Toxicity
  • Liver