Skip to main content

What is the possible therapeutic effect of Ginkgo biloba on gastric ulcer induced by ammonia in albino rats?

Abstract

Gastric ulcer is a worldwide disease. Helicobacter pylori is one of the most common chronic bacterial infections that induce chronic inflammation in the gastric mucosa, mediated by an array of pro-and inflammatory cytokines. The aim of this study was to investigate the possible therapeutic effects of Ginkgo biloba extract on gastric ulcer induced by ammonium hydroxide in rats and the potential underlying mechanisms. The study was done on 32 adult male Wistar albino rats, divided equally into 4 groups: normal control, gastric ulcer–induced group using 1 ml of 1% NH4OH orally, ulcer control group; rats received 1% carboxymethyl cellulose daily for 14 days after induction of ulcer and treated rats received orally 200 mg/kg Ginkgo biloba once daily for 14 days after induction of ulcer. The study revealed administration of ammonia showed multiple gastric lesions; edema, hyperemia, hemorrhage, and ulcers with a significant increase in ulcer score, myeloperoxidase (MPO), and interleukin-1β (IL-1β) and a significant decrease in reduced glutathione (GSH), mucus amount, and gastric pH. After the administration of Ginkgo biloba, there was an improvement in gastric lesions, with a significant reduction of ulcer score, MPO, and IL-1β and a significant increase in GSH, mucus content, and gastric pH. Moreover, collagen types I and IV were gradually increased in the treated group.

This is a preview of subscription content, access via your institution.

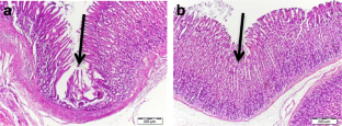
Fig. 1
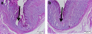
Fig. 2
Fig. 3
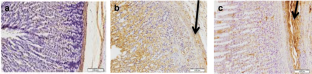
Fig. 4
Fig. 5
Fig. 6
Fig. 7
Fig. 8

References

  • Abdel-Salam OM, Baiuomy AR, El-Batran S, Arbid MS (2004) Evaluation of the anti-inflammatory, anti-nociceptive and gastric effects of Ginkgo biloba in the rat. Pharmacol Res 49(2):133–142

    Google Scholar 

  • Abdulla MA, AL-Bayaty FH, Younis LT, Abu Hassan MI (2010) Anti-ulcer activity of Centellaasiatica leaf extract against ethanol – induced gastric mucosal injury in rats. J Med Plant Res 4(13):1253–1259

    Google Scholar 

  • Ali A, Al Swayeh OA (2003) Honey potentiates the gastric protection effects of sucralfate against ammonia-induced gastric lesions in rats. Saudi J Gastroenterol 9(3):117–123

    Google Scholar 

  • Ali AM, Al-Alous L, Sae-Iem HA (2006) Licorice: a possible anti-inflammatory and anti-ulcer drug. AAPS PharmSciTech 6:74–82

    Google Scholar 

  • Alphin RS, Ward J (1967) Action of hexapyronium bromide on gastric acid secretion in dogs and ulceration in rats. Arch Int Pharmacodyn Ther 168:82–100

    CAS  Google Scholar 

  • Bancroft JD, Stevens A (1999) Theory and practice of histological techniques, foreword by David R. Turner ,4th edition: 104, 1856 , 190–2

  • Baron JH (1977) Effect of carbenoxolone sodium on human gastric acid secretion. Gut 18:721–722

    CAS  Google Scholar 

  • Blaser MJ (2006) Who are we ? Indigenous microbes and the ecology of human diseases. EMBO Rep 7:956–960

    CAS  Google Scholar 

  • Boadu AA, Asase A (2017) Documentation of herbal medicines used for treatment and management of human diseases by some communities in southern Ghana. Evid Based Complement Alternat Med:3043061, 12 pages. https://doi.org/10.1155/2017/3043061

  • Brzozowski T, Konturek SJ, Sliwowski Z, Pytko-Polonezyk J, Szlachcic A, Drozdowicz D (1996) Role of Capsaicin –sensitive sensory nerves in gastroprotection against acid-independent and acid-dependent ulcerogens. Digestion 57(6):424–432

    CAS  Google Scholar 

  • Chi-Chang H, Yi-Ming C, Dean-Chuan W, Chien-Chao C, Wan-Teng L, Chich-Yang H (2014) Cytoprotective effect of American Ginseng in a rat ethanol gastric ulcer model. Molecules 19:316–326

    Google Scholar 

  • Czyzewska J, Guzinska-Ustymowicz K, Pryezyniez A, Kemona A, Bandurski R (2009) Immunohistochemical evaluation of Ki-67, PCNA and MCM2 proteins proliferation index (PI) in advanced gastric cancer. Folia Histochem Cytobiol 47(2):289–296

    Google Scholar 

  • Darnele MF, Luisa MS, Daniel AG, Daniela AC, Adamara MN, Marcello I (2014) Gastroprotective and ulcer healing properties in rats. PLoS One 9(1):847–862

    Google Scholar 

  • Dong MH, Kaunitz JD (2006) Gastro duodenal mucosal defense. Curr Opin Gastroenterol 22:599–560

    Google Scholar 

  • Dursun H, Albayrak F, Bilici M, Koc F, Alp H, Candar T (2009) Gastroprotective and antioxidant effects of opipramol on indomethacin –induced ulcers in rats. YakugakuZasshi 129(7):861–869

    CAS  Google Scholar 

  • Emma L, McConil, Abdulw-Basit, Sudaxshina M (2008) Measurements of rat and mouse gastrointestinal pH, fluid and lymphoid tissue, and implication for vivo experiments. J Pharm Pharmacol 60(1):63–70

    Google Scholar 

  • Fouda M (2014) Cytoprotective effects of standardized Ginkgo biloba extract ( Egb 761), Aniseed, Quercetin and Trans-Anethole on ethanol – induced ulcers in rats. Austin J Pharmacol Ther 2(5):1031

    Google Scholar 

  • Hongxiang L, Xiaoyuan SU, Fan YU, Lijia XU, Peigenxia O (2018) In slico investigation of the pharmacological mechanisms of beneficial effects of Ginkgo biloba on Alzheimer’s disease. Nutrients 10(5):589

    Google Scholar 

  • In-Sik S, Woo-Young, Hyeun-Kyoo, Sin-Woo, Mee-Young (2013) Banhabaekchulchumma-tang, a traditional herbal formula attenuates absolute ethanol-induced gastric injury by enhancing the antioxidant status. BMC Complement Alten Med 13:170

    Google Scholar 

  • Jain D (2016) Secondary metabolites for antiulcer activity. Nat Prod Res 30(6):640–656

    CAS  Google Scholar 

  • Jonathan RW, Jody AW, Karen R (2015) Differential inflammatory response to Helicobacter pylori infection: etiology and clinical outcomes. J Inflamm Res 8:137–147

    Google Scholar 

  • Kim N, Park YS, Cho SI, Lee HS, Choe G, Kim IW (2008) Prevalence and risk factors of atrophic gastritis. Helicobacter 13(4):245–255

    Google Scholar 

  • Kitagwa H, Takeda F, Kohei H (1986) A simple method for estimation of gastric mucus and effects of antiulcerogenic agents on the decrease in mucus during water – immersion stress in rats. Arzneimittelforschung 36(8):1240–1244

    Google Scholar 

  • Kitajima T, Okuhira M, Tani K, Nakano T, Hiramatsu A, Mizuno T, Inoue K (1993) Cell proliferation kinetics in acetic acid –induced gastric ulcer evaluated by immunohistochemical staining of proliferating cell nuclear antigen. J Clin Gatsroenterol 17:116–120

    Google Scholar 

  • Kustersa JG, VanVliet AH, Kuipers EJ (2006) Pathogenesis of Helicobacter pylori infection. Clin Microbiol Rev 19(3):449–450

    Google Scholar 

  • Luo C, Chen H, Wang Y, Lin G, Lin C, Tan L, Su Z, Lai X (2018) Protective effect of Coptisine free base on indomethacin –induced gastric ulcer in rats; characterization of potential molecular mechanisms. Life Sci 193:47–56

    CAS  Google Scholar 

  • Mahdavi J, Sonden B, Hurtig M, Oflat FO, Forsberg L, Roche N (2002) Helicobacter pylori Sab A adhesin in persistent infection and chronic inflammation. Science 297(5581):573–578

    CAS  Google Scholar 

  • Malfertheiner P, Chan FKL, Mccoll KEL (2009) Peptic ulcer disease. Lancet 374:1449–1461

    CAS  Google Scholar 

  • Mallika J, Vijaimohan K, kannan K. (2010) Cissusquadrangularis L extract attenuates chronic ulcer by possible involvement of polyamine and proliferating cell nuclear antigen. Pharmacogn Mag 6(23):225–233

    Google Scholar 

  • Mobarok A (2003) Prevention of ammonia – induced gastric lesions in rats by natural honey. J Nutr Environ Med 13(4):239–246

    Google Scholar 

  • Mohanta TK, Tamboli Y, Zubaidha PK (2014) Phytochemical and medicinal importance of Ginkgo biloba L. Nat Prod Res 28(10):746–752

    CAS  Google Scholar 

  • Nahla S, Maryam H, Suzita M, Mohammed F, Nawac A et al (2017) The gastroprotective effects of Cibotiumbarometz hair on ethanol-induced gastric ulcer in Sprague-Dawley rats. BMC Vet Res R.13:27

    Google Scholar 

  • Naito Y, Yoshikawa T, Boku Y, Fujii N, Yoshida N, Kondo M (2008) Protective role of intracellular glutathione against nitric oxide –induced necrosis in rat gastric mucosal cells. Aliment Pharmacol Ther 14(1):145–152

    Google Scholar 

  • Naumann M, Crabtree JE (2004) Helicobacter pylori – induced epithelial cell signaling in gastric carcinogenesis. Trends Microbiol 12:29–36

    CAS  Google Scholar 

  • Okamoto M, Watanabe T (2004) Molecular and clinical basis for the regeneration of human gastrointestinal epithelial. J Gastroenterol 39(1):1–6

    Google Scholar 

  • Oluwole FS, Ayo JA, Omolaso BO, Emikpe BO, Adesanwo JK (2008) Methanolic extract of Tetracerapotatoria, an antiulcer agent increase gastric mucus secretion and endogenous antioxidants. Nigerian J Physio Sci 23(1–2):79–83

    CAS  Google Scholar 

  • Owens CWJ, Belcher RV (1965) A colorimetric micromethod for determination of glutathione. Biochem J 49:705–711

    Google Scholar 

  • Pereira IT, Burci LM, De Silva LM, Baggio CH, Heller M (2013) Antinuclear effect of bark extract of Tabebuia avellanedae: activation of cell proliferation in gastric mucosa during the healing process. Phytother Res 27(7):1067–1073

    Google Scholar 

  • Potrich FB, Allemand A, Da Silva LM (2010) Antiulcerogenic activity of hydroalcoholic extract of Achillea millefolium L: involvement of the antioxidant system. J Ethnoppharmacol 130(1):85–92

    Google Scholar 

  • Sabiu S, Garuba T, Sunmonu TO, Sulyman AO, Ismail NO (2016) Indomethacin induced gastric ulceration in rats: ameliorative roles of Spondiasmombin and Licus exasperate. PharmaBiol 54(1):180–186

    CAS  Google Scholar 

  • Sakat S, Preeti T, ArchanaJ (2012) Cytoprotective effect of Oxalis corniculata (whole plant) on experimentally induced gastric ulceration in Wistar rats. Indian J Pharm Sci 74(1):48–53

    CAS  Google Scholar 

  • Selmi S, Rtibi K, Grami D, Sebai H, Marzouki L (2017) Protective effect of orange (Citrussinensis L) peel aqueous extract and hesperidin on oxidative stress and peptic ulcer induced by alcohol in rat. Lipids Health Dis 16(1):152

    Google Scholar 

  • Shain M, Gillessen A, Pohle T, Weber C, Schuppan D, Herbst H (1997) Gastric ulcer healing in the rat: kinetics and localization of do novo procollagen synthesis. Gut 41:187–194

    Google Scholar 

  • Sheehan P, Jones P, Caselli A, Giurini JM, Veves A (2003) Percent change in wound area of diabetic foot ulcers over a 4- week period is a robust predictor of complete healing in a 12 week prospective trial. Diabetes Care 26(6):1879–1882

    Google Scholar 

  • Sheng-Hsuan C, Yu-Chih L, Chao JCJ, Li-Hsueh T, Chun-Chao C, Chia-Chi W (2005) Protective effects of Ginkgo biloba extract on the ethanol-induced gastric ulcer in rats. World J Gastroenterol 11(24):3746–3750

    Google Scholar 

  • Sripanidkulchai K, Teepsawang S, SripanidkulchaiB (2010) Protective effect of Cratoxylumformosum extract against acid/alcohol –induced gastric mucosal damage in rats. J Med Food 1395:1097–1103

    Google Scholar 

  • Stephen JD, Christine VW, Jennifer RB, David CM, John FT (2007) Mechanisms of chronic skin ulceration linking lactate , transforming growth factor –β , vascular endothelial growth factor , collagen remodeling collagen stability and defective angiogenesis. J Invest Dermatol 127(4):958–968

    Google Scholar 

  • Suzuki M, Miura S, Suematsu M, Fukumura D, Kurose I, Suzuki H (1992) Helicobacter pylori –associated ammonia production enhances neutrophil-dependent gastric mucosal cell injury. Am J Phys 263(1):719–725

    Google Scholar 

  • Tarnawski A (2005) Cellular and molecular mechanisms of gastrointestinal ulcer healing. Dig Dis Sci 50(1):24–33

    Google Scholar 

  • Tarnawski AS, Ahluwalia A (2012) Molecular mechanisms of epithelial regeneration and neovascularization during healing of gastric and esophageal ulcers. Curr Med Chem 19(1):16–27

    CAS  Google Scholar 

  • Tasiu IS (2015) Rethinking Ginkgo biloba L. medicinal uses and conservation. Plan Rev 9(18):140–148

    Google Scholar 

  • Tsujii M, Kawano S, Fusamoto H, Kamda T, Sato N (1992) Mechanism of gastric mucosal damage induced by ammonia. Gastroenterology 102(6):1881–1888

    CAS  Google Scholar 

  • Zapata-Colinders JC, Zepeda-Gomez S, Montario-Loza A (2006) The association of Helicobacter pylori infection and nonsteroidal anti-inflammatory drugs in peptic ulcer disease. Can J Gastroenterol 20:272–280

    Google Scholar 

Download references

Author information

Affiliations

Authors

Corresponding author

Correspondence to Aida Ahmed Said Guemei.

Ethics declarations

The study was conducted in accordance with the standards established by the Guide for the Care and Use of Laboratory Animals of the College of Medicine Research Centre at Alexandria University, Egypt (IRB No. 00012098-FWA No. 00018699 expiration date: 04/02/2021, serial number of the research: 0304132).

Additional information

Publisher’s note

Springer Nature remains neutral with regard to jurisdictional claims in published maps and institutional affiliations.

Responsible editor: Philippe Garrigues

Rights and permissions

Reprints and Permissions

About this article

Verify currency and authenticity via CrossMark

Cite this article

El-Medany, A., Guemei, A.A.S., Abdel Twab, R. et al. What is the possible therapeutic effect of Ginkgo biloba on gastric ulcer induced by ammonia in albino rats?. Environ Sci Pollut Res 27, 25082–25092 (2020). https://doi.org/10.1007/s11356-020-08856-4

Download citation

  • Received:

  • Accepted:

  • Published:

  • Issue Date:

  • DOI: https://doi.org/10.1007/s11356-020-08856-4

Keywords

  • Gastric ulcer
  • Helicobacter pylori
  • Ginkgo biloba