Skip to main content

Aquatic beetles Cercyon unipunctatus as bioindicators of pollution in Lake Edku and Mariut, Egypt

Abstract

The lakes of the North Delta give a rich and imperative territory for marine fish and its regeneration, and have dependably been major areas of fish creation in Egypt, 75% of the production was collected from them. As of late, many difficulties are confronting these lakes and prompt the exhaustion of fish production from them. The aim of the present study is to evaluate different inorganic pollutants in Coleopterons aquatic insect (Cercyon unipunctatus) taken from both Lake Edku and Mariut and also, to estimate their effect on oxidative stress markers and chromosomal aberrations. The average concentrations of heavy metals differ in the two locations. The concentration of (Pb, Cd, Fe, Co, Cu, Zn, and Mn) was significantly higher in water samples of Lake Mariut than those of Lake Edku. Also, the present work, showed the physical and chemical characters of the two lakes water. In the current study, the obtained results showed that there was a significant increase in (Pb, Cd, Fe, Co, Cu, Zn, and Mn) concentrations in C. unipunctatus tissues which were collected from Lake Mariut. The biochemical parameters of oxidative stress have been affected by the pollution in Lake Mariut water. Significant increases in the activity level of aspartate aminotransferase, alanine aminotransferase, and malondialdehyde concentration were recorded, while there were significant decreases in (total protein content, GSH content, and GPx activity). The result of chromosomal aberration test showed that there were different types of aberrations as binucleate cell, lagging chromosome, and abnormal distribution of chromosomes. The obtained data showed that C. unipunctatus highly affected by environmental stressors in water. So we suggest that these beetles could be a suitable monitor for ecotoxicological studies.

This is a preview of subscription content, access via your institution.

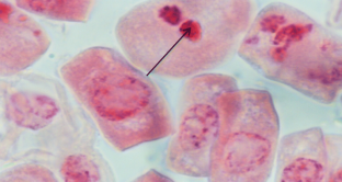
Fig. 1
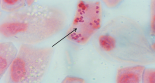
Fig. 2
Fig. 3
Fig. 4

References

  • Abu El-Saad AM, Kheirallah, D.A. and El-Samad, L.M. (2017): Biochemical and histological biomarkers in the midgut of Apis mellifera from polluted environment at Beheira Governorate, Egypt Environ Sci Pollut Res; 24, 3181–3193

  • Ali SM, Sabae SZ, Fayez M, Monib M, Hegazi NA (2011) The influence of agro-industrial effluents on River Nile pollution. J Advanc Res (2):85–95

  • Ansari RA, Rahman S (2011) In vivo cytogenetic and oxidative stress-inducing effects of cypermethrin in freshwater fish, Channa punctata Bloch. Ecotoxicol Environ Saf 74(1):150–156

    Article  CAS  Google Scholar 

  • American Public Health Association (APHA). (1975): Standard methods for the examination of water and waste water. 14th ed. New York, Washington: APHA:1193

  • Arafa, M. and Ali, A. (2008): Effect of some heavy metals pollution in Lake Mariout on Oreochromis niloticus fish. J. Egypt. Com. Path. Clinic. Path.; 21(2), 191-201

  • Ayangbenro, A.S. and Babalola, O.O. (2017): A new strategy for heavy metal polluted environments: a review of microbial biosorbents. Int. J. Environ. Res. Public health, 14(1), 94

  • Augustyniak M, Migula P (2000) Body burden with metals and detoxifying abilities of the grasshopper Chorthippus brunneus (Thunberg) from industrially polluted areas. Trace Metals Environ 4:423–454

    Article  Google Scholar 

  • Beutler E, Duron O, Kelly MB (1963) Improved method for the determination of blood glutathione. J Lab Clin Med 61:882

    CAS  Google Scholar 

  • Bizhannia AR, Etebari K, Sorati R (2005) The effects of juvenile hormone analogue, admiral, application on protein metabolism of silkworm larvae. Iran J Entomol Soc 25:43–56

    Google Scholar 

  • Blasco J, Puppo J (2005) Effect of heavy metals (Cu, Cd and Pb) on aspartate alanine aminotransferase in Ruditapes philippinarum (Mollusca: Bivalvia). Comp Biochem Physiol Part D Genomics Proteomics C; Pharmacol Toxicol Endocrinol 122(22):253–263

    Google Scholar 

  • Cadenas E (2004) Mitochondrial free radical production and cell signaling. Mol Aspects Med 25(1):17–26

    Article  CAS  Google Scholar 

  • Chapman, D.V. (1996): "Water quality assessments: a guide to the use of biota, sediments, and water in environmental monitoring. 2nd ed. Cambridge: Great Britain at the University Press: 1-268

  • Cheung C, Zheng G (2001) Relationships between tissue concentrations of polycyclic aromatic hydrocarbons and antioxidative responses of marine mussels, Perna viridis. Aquat Toxicol 52(3):189–203

    Article  CAS  Google Scholar 

  • Cirillo T, Cocchieri RA (2012) Cadmium accumulation and antioxidant responses in Sparus aurata exposed to waterborne cadmium. Arch Environ Contam Toxicol 62(1):118–126

    Article  CAS  Google Scholar 

  • Dar SA, Yousuf AR, Balkhi MH, Ganai FA, Ali MN (2014) Oxidative stress in the freshwater cyprinid crucian carp (Carassius carassius L.) upon chronic exposure to endosulfan. Toxicol Environ Chem 96(6):906–916

    Article  CAS  Google Scholar 

  • Dar A, Yousuf AR, Balkhi MH (2016) An introduction about Genotoxicology methods as tools for monitoring aquatic ecosystem: present status and future perspectives. Fish Aquac J 7:158

    Google Scholar 

  • Depledge M, Fossi M (1994) The role of biomarkers in environmental assessment. Invert Ecotoxicol 3:161–172

    Article  CAS  Google Scholar 

  • El-Bestawy E, Mansy A (2000) Biodegradation of selected chlorinated pesticides contaminating Lake Mariut ecosystem. Pak J Biol Sci 3:1673–1680

    Article  Google Scholar 

  • El-Said GF, Draz SE, El-Sadawy MM, Moneer AA (2014) Sedimentology, geochemistry, pollution status and ecological risk assessment of some heavy metals in surficial sediments of an Egyptian lagoon connecting to the Mediterranean Sea. J Environ Sci Health A Tox Hazard Subst Environ Eng 49(9):1029–1044

    Article  CAS  Google Scholar 

  • El-Rayis, O. and El-Sabrouti, M. (1994): Some hydrochemical observation from Lake Mariut prior to diversion of sewage of eastern districts of Alexandria. Proc. 1st. Arab. Conf. Mar. Environ. Protec.(AMTA): 205-219

  • El-Samad LM, EL-Hassan M, Osman W, Ali A, Shonouda ML (2015) The ground beetle, Blaps Polycresta (Coleoptera: Tenebrionidae) as bioindicators of heavy metals soil pollution.J. Adv Biol 7:1153–1160

    Google Scholar 

  • EL-Tawila MM, Amr HM, Ramadan MHM (2005) Assessment of pollution levels in fish and water of main basin, lake Mariut. JEPHAss 80(1):2

    Google Scholar 

  • Evans HJ (1962) Chromosome aberrations induced by ionizing radiations. Int Rev Cyto 13:221–321

    Article  CAS  Google Scholar 

  • Frias-Espericueta M, Harfush-Melendez M (1999) Acute toxicity of ammonia to juvenile shrimp Penaeus vannamei Boone. Bull Environ Contaminat Toxicol 62(5):646–652

    Article  CAS  Google Scholar 

  • Gaur N, Flora G, Yadav M (2014) A review with recent advancements on bioremediation – based abolition of heavy metals. Environ Sci Process Imp 16:180–193

    Article  CAS  Google Scholar 

  • Geoffroy L, Frankart C, Eullaffroy P (2004) Comparison of different physiological parameter responses in Lemna minor and Scenedemus obliquus exposed to herbicide flumioxazin. Environ Pollut 131:233–241

    Article  CAS  Google Scholar 

  • Hamza W (1999) Differentiation in phytoplankton communities of Lake Mariut: a consequence of human impact. Bull Fac Sci Alex Univ 39(1–2):159–168

    CAS  Google Scholar 

  • Hansen M (1987) The Hydrophiloidea (Coleoptera) of Fennoscandia and Denmark. Fauna Entomologica Scandinavica 18:1–253

    Article  Google Scholar 

  • Hansen M (1991) The hydrophiloid beetles. Phylogeny, classification, and a revision of the genera (Coleoptera: Hydrophiloidea). Biologiske Skrifter 40:1–367

    Google Scholar 

  • Hansen, M. (1999): World catalogue of insects. Hydrophiloidea (Coleoptera). Aps. Stenstrup, Apollo books, Copenhagen. 2 ; 416

  • Hebauer F (2001) The genus Notionotus Spangler, 1972 in the Old World (Coleoptera: Hydrophilidae). Acta Coleopterol 17(4):9–14

    Google Scholar 

  • Kheirellah, D.A. (2006): Impact of pollution on the water bug Sphaerodema urinator (Dufour, 1833) inhibiting lakes Mariut and Edku. Ph.D. Thesis, Faculty of Science, Alexandria University, Egypt

  • Kushwaha B, Srivastava SK, Singh B, Nagpure NS, Ponniah AG (2000) Evaluation of comet assay and micronuclei test as genotoxic assays in Channa punctatus. Natl Acad Sci Lett 23(11–12):177–179

    CAS  Google Scholar 

  • Lee RF, Steinert S (2003) Use of the single cell gel electrophoresis/comet assay for detecting DNA damage in aquatic (marine and freshwater) animals. Mutat Res 544(1):43–64

    Article  CAS  Google Scholar 

  • Li W, Kong AN (2009) Molecular mechanisms of Nrf2-mediated antioxidant response. Mol Carcinog 48(2):91–104

    Article  CAS  Google Scholar 

  • Loring DH, Rantala RT (1992) Manual for the geochemical analyses of marine sediments and suspended particulate matter. Earth Sci Rev 32:235–283

    Article  CAS  Google Scholar 

  • Lowry OH, Rosebrough NJ, Farr AL, Randall RJ (1951) Protein measurement with the Folin phenol reagent. J Biol Chem 193:265–275

    CAS  Google Scholar 

  • Magdy TK, Safwat HS, Abd El-Halim AS, Gamal M, Montaser MH (2008) Physico-chemical environment of Lake Edku. Egypt Egypt J Aquat Biol Fish 12(2):119–132

    Article  Google Scholar 

  • Mahler BJ, Van Metre PC (2006) Trends in metals in urban and reference lake sediments across the United States, 1970 to 2001. Environ Toxicol Chem 25(7):1698–1709

    Article  CAS  Google Scholar 

  • Mazon A, Monteiro E (2002) Hematological and physiological changes induced by short-term exposure to copper in the freshwater fish, Prochilodus scrofa. Braz J Biol 62(4A):621–631

    Article  CAS  Google Scholar 

  • McCarthy JF, Shugart LR (1990) Biological markers of environmental and ecological contamination. Risk Anal 12(3):353–360

    Google Scholar 

  • Mehanna SF (2009) Growth, mortality and spawning stock biomass of striped red mullet Mullus surmuletus, in the Egyptian Mediterranean waters. Med Mar Sci 10(2):5–17

    Article  Google Scholar 

  • Meister A (1995) Glutathione metabolism. Meth Enzymol 251:3–7

    Article  CAS  Google Scholar 

  • Migula P, Laszczyca P (2004) Antioxidative defense enzymes in beetles from a metal pollution gradient. Biologia-Bratislava 59(5):645–654

    CAS  Google Scholar 

  • Mohamed AG, El Safty AM, and Siha MS (2003) Current Situation of Water Pollution and Its Effect on Aquatic Life in Egypt. Egypt. J Occup Med 37(1):95–119

  • Nagel R, Isberner K (1998) Testing of chemicals with fish - a critical evaluation of tests with special regard to zebrafish. In: Braunbeck T, Hinton DE, Streit B (eds) Fish Ecotoxicology. Birkhauser Verlag Basel, Switzerland, pp 337–352

    Chapter  Google Scholar 

  • Nummelin M, Lodenius M (2007) Predatory insects as bioindicators of heavy metal pollution. Environ Pollut 145(1):339–347

    Article  CAS  Google Scholar 

  • Ohe T, Watanabe T, Wakabayashi K (2004) Mutagensin surfacewaters: a review. Mutat Res 567:109–149

    Article  CAS  Google Scholar 

  • Ohkawa K, Ohishi W, Yagi KA (1979) Assay for lipid peroxides in animal tissues by thiobarbituric acid reaction. Biochem 95:351–358

    CAS  Google Scholar 

  • Paglia DE, Valentine WN (1967) Studies on the quantitative and qualitative characterization of erythrocytes peroxidase. J Lab Clin Med 70:158–169

    CAS  Google Scholar 

  • Radwan EH (2009) Impact of Marine Pollution on Bivalve Pinctada radiata (Leach 1814). PhD Thesis. Faculty of Sci. Univ. of Alex.

  • Radwan EH (2016) Determination of total hydrocarbon and its relation to amino acids found in two bivalve edible species from Alexandria and El Ismailia coast, Egypt. J Adv biol 9(5):1834–1844

  • Rawi SM, Bakry FA, Al-Hazmi MA (2011) Biochemical and histopathological effect of crude extracts on Spodoptera littoralis larvae. J Evol Biol Res 3:67–78

    Google Scholar 

  • Riley JP, Taylor D (1968) Chelating resin for concentration of the trace elements from the water and their analytical use in conjunction with atomic absorption spectrometry. Anal Chemis Acta 40:479–485

    Article  CAS  Google Scholar 

  • Saad SS, Massoud MA, Amer RA, Ghorab MA (2017) Assessment of the physico-chemical characteristics and water quality analysis of Mariout Lake, Southern of Alexandria. Egypt J Environ Anal Toxicol 7:1

    Google Scholar 

  • Saeed MD, Mahmoud AM (2014) Determination of some physicochemical parameters and some heavy metals in boreholes from Fagge L.G.A of Kano Metropholis Kano State- Nigeria. World B J Analyt Chem 2(2):42–46

    Article  CAS  Google Scholar 

  • Safari Z, Naderi S, Ghasemi Z (2014) Examine the role of education in reducin environmental pollution. Indian J of Fundament and Appl Life Sci 4(S1):1178–1183

  • Sahara K, Yoshido A, Kawamura N, Ohnuma H, Abe (2003) W-derived BAC probes as a new tool identification of the W chromosome and its aberrations in Bombyx mori. Chromosoma 112:48–55

    Article  CAS  Google Scholar 

  • Seehy MA (1989) Sister chromatid exchanges induced by lannate. Bull High Inst Public Health 4:993–1000

    Google Scholar 

  • Shonouda ML, El Samad LM, Mokhammer EH, Toto N (2016) Use of oxidative stress and genotoxic biomarkers of aquatic beetles Anaceana globulus (Coleoptra: Hydrophilidae) as biomonitor of water pollution. J Entomol 13:122–131

    Article  CAS  Google Scholar 

  • Short AEZ, Heabuer F (2006) World catalogue of Hydrophiloide-additions and corrections, I. (1999-2005) (Coleoptera). Koleopterologische Rundschau 76:315–359

    Google Scholar 

  • Shugart LR (1999) Structural damage to DNA in response to toxicant exposure. In: Forbes VE (ed) Genetics and ecotoxicology. Taylor & Francis, London, pp 151–167

    Google Scholar 

  • Stohs SJ, Bagchi D (2001) Oxidative mechanisms in the toxicity of chromium and cadmium ions. J Environ Pathol Toxicol Oncol 19(3):201–213

    Google Scholar 

  • Tabrez S, Ahmad M (2011) Mutagenicity of industrial wastewaters collected from two different stations in northern India. J Appl Toxicol 31(8):783–789

    Article  CAS  Google Scholar 

  • Tietz NW (1976) Fundamentals of clinical chemistry. Philadelphia: Wound B Saunders Co:924–929

  • United States Environmental Protection Agency (USEPA). (2001): The quality of our nation's water: executive summary of the national water quality inventory: report. Washington, DC, USA: Congress, Office of Water. p. 209

  • Valko M, Leibfritz D (2007) Free radicals and antioxidants in normal physiological functions and human disease. Int J Bioch Cell Biol 39(1):44–84

    Article  CAS  Google Scholar 

  • Warchalowska-Sliwa E, Niklinska M, Gorlich A, Michailova P, Pyza E (2005) Heavy metals accumulation, heat shock protein expression and cytogenetic changes in Tetrix tennicornis (L) (Tetrigidae, Ortheptera) from polluted areas. Environ Poll 133:373–381

    Article  CAS  Google Scholar 

  • Yan B, Wang L, Li Y, Liu N, Wang Q (2007) Effects of cadmium on hepatopancreatic antioxidant enzyme activity in a freshwater crab Sinopotamon yangtsekiense. Acta Zool Sin 53:1121–1128

    CAS  Google Scholar 

Download references

Author information

Affiliations

Authors

Corresponding author

Correspondence to Eman H. Radwan.

Additional information

Responsible editor: Philippe Garrigues

Rights and permissions

Reprints and Permissions

About this article

Verify currency and authenticity via CrossMark

Cite this article

El-Samad, L.M., Radwan, E.H., Mokhamer, E.H.M. et al. Aquatic beetles Cercyon unipunctatus as bioindicators of pollution in Lake Edku and Mariut, Egypt. Environ Sci Pollut Res 26, 6557–6564 (2019). https://doi.org/10.1007/s11356-018-4016-5

Download citation

  • Received:

  • Accepted:

  • Published:

  • Issue Date:

  • DOI: https://doi.org/10.1007/s11356-018-4016-5

Keywords

  • Water pollution
  • Biomarkers
  • Heavy metals
  • Oxidative stress aquatic beetles