Skip to main content

Malathion-induced hepatotoxicity in male Wistar rats: biochemical and histopathological studies

Abstract

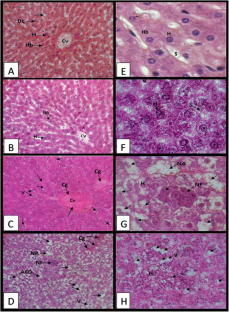
The increasing use of organophosphorus pesticides in the environment constitutes an ecotoxicological hazard especially for humans and non-target animals. Hereby, we analyzed the toxic effects of malathion on the histological structure of liver and biochemical parameters in male rats. Three groups received daily different amounts of malathion: 1/1000, 1/100, and 1/10 LD50 for 30 days. The weights of treated rat’s liver have increased. Analyzed tissues showed centrilobular and sinusoidal congestion, hepatocyte hypertrophy, cellular vacuolization, anucleated hepatocytes, depletion of organelles affecting the majority of cells, and presence of necrotic foci into the hepatic parenchyma. Histological sections of the liver showed important hepatocyte glycogen storage. We conclude that malathion stimulates the filing of glycogen in a dose-dependent manner. Biochemical parameters showed that alanine transaminase (ALT), aspartate transaminase (AST), gamma glutamyl transpeptidase (GGT), lactate dehydrogenase (LDH), and alkaline phosphatase (ALP) levels increased in the treated groups when the level of total protein decreased in intoxicated groups.

This is a preview of subscription content, access via your institution.

Fig. 1
Fig. 2

References

  • Abdollahi M, Chan TS, Subrahmanyam V, O’Brien PJ (2003a) Effects of phosphodiesterase 3, 4, 5 inhibitors on hepatocyte cAMP levels, glycogenolysis, gluconeogenesis and susceptibility to a mitochondrial toxin. Mol Cell Biochem 252:205–211

    CAS  Article  Google Scholar 

  • Abdollahi M, Soleimani F, Kangarlou S (2003b) A review on blood glucose variations and affecting parameters. Mid East Pharm 11:6–10

    Google Scholar 

  • Abdollahi M, Donyavi M, Pournourmohammadi S, Saadat M (2004) Hyperglycemia associated with increased hepatic glycogen phosphorylase and phosphoenolpyruvate carboxykinase in rats following subchronic exposure to malathion. Comp Biochem Physiol C 137:343–347

    Google Scholar 

  • Akhgari M, Abdollahi M, Kebryaeezadeh A, Hosseini R, Sabzevari O (2003) Biochemical evidence for free radical-induced lipid peroxidation as a mechanism for subchronic toxicity of malathion in blood and liver of rats. Hum Exp Toxicol 22:205–211

    CAS  Article  Google Scholar 

  • Asztalos B, Nemcsok AJ, Benedeczky IR, Szabo A (1988) Comparison of effects of paraquat and methidation on enzyme activity and tissue necrosis of Carp, following exposure to the pesticides singly or in combination. Environ Pollut 55:123–135

    CAS  Article  Google Scholar 

  • Banerjee BD (2001) Pesticide-induced oxidative stress: perspectives and trends. Rev Environ Health 16:1–40

    CAS  Article  Google Scholar 

  • Banerjee BD, Seth V, Bhattacharya A, Pasha ST, Chakraborty AK (1999) Biochemical effects of some pesticides on lipid peroxidation and free-radical scavengers. Toxicol Lett 107:33–47

    CAS  Article  Google Scholar 

  • Basiri S, Esmaily H, Vosough-Ghanbari S, Mohammadirad A, Yasa N, Abdollahi M (2007) Improvement by Satureja khuzestanica essential oil of malathion-induced red blood cells acetylcholinesterase inhibition and altered hepatic mitochondrial glycogen phosphorylase and phosphoenolpyruvate carboxykinase activities. Pestic Biochem Physiol 89:124–129

    CAS  Article  Google Scholar 

  • Bloch-Shilderman E, Levy A (2007) Transient and reversible nephrotoxicity of sarin in rats. J Appl Toxicol 27:189–194

    CAS  Article  Google Scholar 

  • Bulsu S, Chakravarty I (1987) Effect of subacute administration of three organophosphorus pesticides on the hepatic phosphatases under various nutritional conditions. Environ Res 44:126–135

    Article  Google Scholar 

  • Büyükokuroglu ME, Cemek M, Tosun M, Yürümez Y, Bas O, Yavuz Y (2008) Dantrolene may prevent organophosphate-induced oxidative stress and muscle injury. Pestic Biochem Physiol 92:156–163

    Article  Google Scholar 

  • Chargui I, Haouem S, Haouas Z, Zaouali M, Bencheikh H (2009) Toxic responses to deltamethrin low doses on gonads, sex hormones and lipoperoxidation in male rats following subcutaneous treatments. J Toxicol Sci 34:663–670

    Article  Google Scholar 

  • Chargui I, Falcioni ML, Ben Cheikh H, Gabbianelli R (2010) Erythrocyte antioxidants enzymes imbalance following subcutaneous pyrethroid treatments in rats of different sex. Environ Toxicol Pharmacol 30:116–120

    CAS  Article  Google Scholar 

  • Deckers-Passau L, Maisin J, De De Duve C (1957) The influence of azo dyes on lysosomal enzymes in rat liver. Acta Unio Int Contra Cancrum 13:822–835

    CAS  Google Scholar 

  • Desai SN, Desai PV (2008) Changes in renal clearance and renal tubular function in albino mice under the influence of Dichlorvos. Pestic Biochem Physiol 91:160–169

    CAS  Article  Google Scholar 

  • Dressel TD, Goodale RL, Arneson MA, Borner JW (1979) Pancreatitis as a complication of anticholinesterase insecticide intoxication. Ann Surg 189:199–204

    CAS  Article  Google Scholar 

  • Durak D, Uzun FG, Kalender S, Ogutcu A, Uzunhisarcikli M, Kalender Y (2009) Malathion-induced oxidative stress in human erythrocytes and the protective effect of vitamins C and E in vitro. Environ Toxicol 24:235–242

    CAS  Article  Google Scholar 

  • El-Demerdash FM, Yousef MI, Al-Salhen KS (2003) Protective effects of isoXavone on some biochemical parameters affected by cypermethrin in male rabbits. J Environ Sci Health 189:365–378

    Article  Google Scholar 

  • El-Demerdash FM, Yousef MI, Kedwany FS, Baghdadi HH (2004) Role of α-tochopherol and β-carotene in ameliorating the fenvalerate-induced changes in oxidative stress, hematobiochemical parameters and semen quality of male rats. J Environ Sci Health B 39:443–459

    CAS  Article  Google Scholar 

  • El-Toukhy MA, Girgis RS (1993) In vivo and in vitro studies on the effect of Larvin and cypermethrin on adenosine triphosphatase activity of male rats. J Environ Sci Health B 28:599–619

    CAS  Article  Google Scholar 

  • Fetoui H, Garoui M, Zeghal N (2009) Lambda-cyhalothrin-induced biochemical and histopathological changes in the liver of rats: ameliorative effect of ascorbic acid. Exp Toxicol Pathol 61:189–96

    CAS  Article  Google Scholar 

  • Fortunato JJ, Feier G, Vital AM, Petronilho FC, Dal-Pizzol F, Quevodo J (2006) Malathion-induced oxidative stress in rat brain regions. Neurochem Res 31:671–678

    CAS  Article  Google Scholar 

  • Franco JL, Posser T, Mattos JJ, Trevisan R, Brocardo PS, Rodrigues ALS, Leal RB, Farina M, Marques MRF, Bainy ACD, Dafre AL (2009) Zinc reverses malathion-induced impairment in antioxidant defenses. Toxicol Lett 187:137–143

    CAS  Article  Google Scholar 

  • Garcia SJ, Abu-Qare AW, Meeker-O’Connell WA, Borton AJ, Abou-Donia MB (2003) Methyl parathion: a review of health effects. J Toxicol Environ Health B Crit Rev 6:185–210

    CAS  Article  Google Scholar 

  • Gauna HF, Domenechi C, Orias R (1982) Effect of parathion on renal water electrolytes excretion in dog. Pestic Biochem Physiol 18:271–279

    CAS  Article  Google Scholar 

  • Ghafour-Rashidi Z, Dermenaki-Farahani E, Aliahmadi A, Esmaily H, Mohammadirad A, Ostad SN, Abdollahi M (2007) Protection by cAMP and cGMP phosphodiesterase inhibitors of diazinon-induced hyperglycemia and oxidative/nitrosative stress in rat Langerhans islets cells: molecular evidence for involvement of noncholinergic mechanisms. Pestic Biochem Physiol 87:261–270

    CAS  Article  Google Scholar 

  • Gokalp O, Buyukvanli B, Cicek E, Ozer MK, Koyu A, Altuntas I, Koylu H (2005) The effects of diazinon on pancreatic damage and ameliorating role of vitamin E and vitamin C. Pestic Biochem Physiol 81:123–128

    CAS  Article  Google Scholar 

  • Gokcimen A, Gulle K, Demirin H, Bayram D, Kocak A, Altuntas I (2007) Effects of diazinon at different doses on rat liver and pancreas tissues. Pestic Biochem Physiol 87:103–108

    CAS  Article  Google Scholar 

  • Gokel Y, Gulalp B, Acikalin A (2002) Parotitis due to organophosphate intoxication. J Toxicol Clin Toxicol 40:563–565

    Article  Google Scholar 

  • Gultekin F (2000) The effect of organophosphate insecticide chlorpyrifos-ethyl on lipid peroxidation and antioxidant enzymes (in vitro). Arch Toxicol 74:533–538

    CAS  Article  Google Scholar 

  • Gupta PK (1974) Malathion induced biochemical changes in rats. Acta Pharmacol Toxicol 35:191–194

    CAS  Article  Google Scholar 

  • Halliwell B, Gutteridge JMC (1999) The chemistry of free radicals and related reactive species In Free radicals in biology and medicine, 3rd ed Oxford Science Publications, Oxford, pp 36–104

  • Handy RD, Abd-El Samei HA, Bayomy MFF, Mahran AM, Abdeen AM, El-Elaimy EA (2002) Chronic diazinon exposure: pathologies of spleen, thymus, blood cells, and lymph nodes are modulated by dietary protein or lipid in the mouse. Toxicology 172:13–34

    CAS  Article  Google Scholar 

  • Hazarika A, Sarkar SN, Hajare S, Kataria M, Malik JK (2003) Influence of malathion pretreatment on the toxicity of anilofos in male rats: a biochemical interaction study. Toxicology 185:1–8

    CAS  Article  Google Scholar 

  • IARC (1983) Monograph on the evaluation of carcinogenic risk of chemicals to man miscellaneous pesticides, International Agency for Research on Cancer, Lyon France, volume 30

  • Jeong SH, Kim BY, Kang HG, Ku HO, Cho JH (2006) Effect of chlorpyrifosmethyl on steroid and throid hormones in rat F0- and F1-generations. Toxicology 220:189–202

    CAS  Article  Google Scholar 

  • John S, Kale M, Rathore N, Bhatnagar D (2001) Protective effect of vitamin E in dimethoate and malathion induced oxidative stress in rat erythrocytes. J Nutr Biochem 12:500–504

    CAS  Article  Google Scholar 

  • JohnsonVJ RAM, Lee K, Blakley BR (2002) Increased T-lymphocyte dependent antibody production in female SJL/J mice following exposure to commercial grade malathion. Toxicology 170:119–129

    Article  Google Scholar 

  • Joshi AKR, Rajini PS (2009) Reversible hyperglycemia in rats following acute exposure to acephate, an organophosphorus insecticide: role of gluconeogenesis. Toxicology 257:40–45

    CAS  Article  Google Scholar 

  • Kalender S, Ogutcu A, Uzunhisarcikli M, Açikgoz F, Durak D, Ulusoy Y, Kalender Y (2005) Diazinon-induced hepatotoxicity and protective effect of vitamin E on some biochemical indices and ultrastructural changes. Toxicology 211:197–206

    CAS  Article  Google Scholar 

  • Kalender Y, Uzunhisarcikli M, Ogutcu A, Acikgoz F, Kalender S (2006) Effects of diazinon on pseudocholinesterase activity and haematological indices in rats: the protective role of vitamin E. Environ Toxicol Pharmacol 22:46–51

    CAS  Article  Google Scholar 

  • Kalender S, Kalender Y, Durak D, Ogutcu A, Uzunhisarcikli M, Cevrimli BS, Yildirim M (2007) Methyl parathion induced nephrotoxicity in male rats and protective role of vitamins C and E. Pestic Biochem Physiol 88:213–218

    CAS  Article  Google Scholar 

  • Kang HG, Jeong SH, Cho JH, Kim DG, Park JM, Cho MH (2004) Chlorpyrifosmethyl shows anti-androgenic activity without estrogenic activity in rats. Toxicology 199:219–230

    CAS  Article  Google Scholar 

  • Khan SM, Sobti RC, Kataria L (2005) Pesticide-induced alteration in mice hepatooxidative status and protective effects of black tea extract. Clin Chim Acta 358:131–138

    CAS  Article  Google Scholar 

  • Lankisch PG, Muller CH, Niederstadt H, Brand A (1990) Painless acute pancreatitis subsequent to anticholinesterase insecticide (parathion) intoxication. Am J Gastroenterol 85:872–875

    CAS  Google Scholar 

  • Lasram MM, Annabi AB, Rezg R, El Elj N, Selmi S, Kamoun A, El-Fazaa S, Gharbi N (2008) Effect of short-time malathion administration on glucose homeostasis in Wistar rat. Pestic Biochem Physiol 92:114–119

    CAS  Article  Google Scholar 

  • Lasram MM, Annabi AB, El Elj N, Selmi S, Kamoun A, El-Fazaa S, Gharbi N (2009) Metabolic disorders of acute exposure to malathion in adult Wistar rats. J Hazard Mater 163:1052–1055

    CAS  Article  Google Scholar 

  • Lox CD, Davis JR (1983) The effects of long-term malathion or diazinon ingestion on the activity of hepatic synthesized clotting factors. Ecotoxicol Environ Saf 7:546–551

    CAS  Article  Google Scholar 

  • Majno G, Joris I (1995) Apoptosis, oncosis, and necrosis. An overview of cell death. Am J Pathol 146:3–15

    CAS  Google Scholar 

  • Mansour SA, Mossa AH, Heikal TM (2008) Cytogenetic and hormonal alteration in rats exposed to recommended “safe doses” of spinosad and malathion insecticides. Int J Agric Biol 10:9–14

    CAS  Google Scholar 

  • Maroni M, Colosio C, Ferioli A (2000) Fait, biological monitoring of pesticide exposure: a review. Introduction. Toxicology 7:1–118

    Google Scholar 

  • Matin MA, Siddiqui RA (1982) Effect of diacetylmonoxime and atropine on malathion-induced changes in blood glucose level and glycogen content of certain brain structures of rats. Biochem Pharmacol 31:1801–1818

    CAS  Article  Google Scholar 

  • Morowati M (1997) Inhalation toxicity studies of thimet (phorate) in male Swiss albino mouse, Mus musculus: I hepatotoxicity. Environ Pollut 99:283–288

    Article  Google Scholar 

  • Muthuviveganandavel V, Muthuraman P, Muthu S, Srikumar K (2008) A study on low dose cypermethrin induced histopathology, lipid peroxidation and marker enzyme changes in male rat. Pestic Biochem Physiol 91:12–16

    CAS  Article  Google Scholar 

  • Ogutcu A, Suludere Z, Kalender Y (2008) Dichlorvos-induced hepatotoxicity in rats and the protective effects of vitamins C and E. Environ Toxicol Pharmacol 26:355–361

    CAS  Article  Google Scholar 

  • Panieri E, Krige JE, Bornman PC, Linton DM (1997) Severe necrotizing pancreatitis caused by organophosphate poisoning. J Clin Gastrenterol 25:463–465

    CAS  Article  Google Scholar 

  • Patil M, Kulkarini RS (1993) Ovarian and hepatic biochemical response to sumaach (a crude form of HCG) in fish, Notopterus notopterus Pallas, under pesticide treatment. Geobios 20:255–259

    Google Scholar 

  • Poet TS, Kousba AA, Dennison SL, Timchalk C (2004) Physiologically based pharmacokinetic/pharmacodynamic model for the organophosphorus pesticide diazinon. Neurotoxicology 25:1013–1030

    CAS  Article  Google Scholar 

  • Pournourmohammadi S, Farzami B, Ostad SN, Azizi E, Abdollahi M (2004) Effects of malathion subchronic exposure on rat skeletal muscle glucose metabolism. Environ Toxicol Pharmacol 19:191–269

    Article  Google Scholar 

  • Pournourmohammadi S, Farzami B, Ostad SN, Azizi E, Abdollahi M (2005) Effects of malathion subchronic exposure on rat skeletal glucose muscle metabolism. Environ Toxicol Pharmacol 19:191–196

    CAS  Article  Google Scholar 

  • Pournourmohammadi S, Ostad SN, Azizi E, Ghahremani MH, Farzami B, Minaie B, Larijani B, Abdollahi M (2007) Induction of insulin resistance by malathion evidence for disturbed islets cells metabolism and mitochondrial dysfunction. Pestic Biochem Physiol 88:346–352

    CAS  Article  Google Scholar 

  • Prasamthi K, Muralidhara Rajini PS (2005) Fenvalerate-induced oxidative damage in rat tissues and its attenuation by dietary sesame oil. Food Chem Toxicol 43:299–306

    CAS  Article  Google Scholar 

  • Rahimi R, Abdollahi M (2007) Areview on the mechanisms involved in hyperglycemia induced by organophosphorus pesticides. Pestic Biochem Physiol 88:115–121

    CAS  Article  Google Scholar 

  • Rezg R, Mornagui B, El-Arbi M, Kamoun A, El-Fazaa S, Gharbi N (2006) Effect of subchronic exposure to malathion on glycogen phosphorylase and hexokinase activities in rat liver using native PAGE. Toxicology 223:9–14

    CAS  Article  Google Scholar 

  • Rezg R, Mornagui B, Kamoun A, El-Fazaa S, Gharbi N (2007) Effect of subchronic exposure to malathion on metabolic parameters in the rat. C R Biol 330:143–7

    CAS  Article  Google Scholar 

  • Rezg R, Mornagui B, El-Fazaa S, Gharbi N (2008a) Caffeic acid attenuates malathion induced metabolic disruption in rat liver, involvement of acetylcholinesterase activity. Toxicology 250:27–31

    CAS  Article  Google Scholar 

  • Rezg R, Mornagui B, El-Fazaa S, Gharbi N (2008b) Biochemical evaluation of hepatic damage in subchronic exposure to malathion in rats: effect on superoxide dismutase and catalase activities using native PAGE. C R Biol 331:655–62

    CAS  Article  Google Scholar 

  • Rosser BG, Gores GJ (1995) Liver cell necrosis: cellular mechanisms and clinical implications. Gastroenterology 108:252–275

    CAS  Article  Google Scholar 

  • Rothman DL, Magnusson I, Cline G, Gerard D, Kahn CR, Shulman RG, Shulman GI (1995) Decreased muscle glucose transport/phosphorylation is an early defect in the pathogenesis of non-insulin-dependent diabetes mellitus. Proc Natl Acad Sci U S A 92:983–987

    CAS  Article  Google Scholar 

  • Sahin E, Gumuslu S, Ozturk O, Abidin I, Yargicoglu P, Agar A (2004) Marked changes in erythrocyte antioxidants and lipidperoxidation levels of rats exposed to acute, repeated and chronic restraint stress. Pharmazie 59:961–964

    CAS  Google Scholar 

  • Saulsbury MD, Heyliger SO, Wang K, Johnson DJ (2009) Chlorpyrifos induces oxidative stress in oligodendrocyte progenitor cells. Toxicology 259:1–9

    CAS  Article  Google Scholar 

  • Schwartz MW, Woods SC, Porte D Jr, Seeley RJ, Baskin DG (2000) Central nervous system control of food intake. Nature 404:661–671

    CAS  Google Scholar 

  • Searle J, Kerr JFR, Bishop CJ (1982) Necrosis and apoptosis: distinct modes of cell death with fundamentally different significance. Pathol Annual 17:229–247

    Google Scholar 

  • Sharma Y, Bashir S, Irshad M, Datta Gupta S, Dogra TD (2005) Effect of acute dimethoate administration on antioxidant status of liver and brain of experimental rats. Toxicology 206:49–57

    CAS  Article  Google Scholar 

  • Srikanth NS, Seth PK (1990) Alterations in xenobiotic metabolizing enzymes in brain and liver of rats coexposed to endosulfan and malathion. J Appl Toxicol 10:157–160

    CAS  Article  Google Scholar 

  • Stajner A, Zikic RV, Ognjanovic B, Pavlovic SZ, Kostic MM, Petrovic VM (1997) Effect of cadmium and selenium on the antioxidant defense system in rat kidneys. Comp Biochem Physiol 2:167–172

    Google Scholar 

  • Thompson CB (1995) Apoptosis in the pathogenesis and treatment of disease. Science 267:1455–1462

    Article  Google Scholar 

  • Undeger U, Institoris L, Siroki O, Nehez M, Desi I (2000) Simultenous geno-and immunotoxicological investigations for early detection organophosphate toxicity in rats. Ecotoxicol Environ Saf 45:43–48

    CAS  Article  Google Scholar 

  • Uzun FG, Kalender S, Durak D, Demir F, Kalender Y (2009) Malathion-induced testicular toxicity in male rats and the protective effect of vitamins C and E. Food Chem Toxicol 47:1903–1908

    CAS  Article  Google Scholar 

  • Verma RS, Srivastava N (2001) Chlorpyrifos induced alterations in levels of thiobarbituric acid reactive substances and glutathione in rat brain. Indian J Exp Biol 39:174–177

    CAS  Google Scholar 

  • Verma RS, Mheta A, Srivastava N (2007) In vivo chlorpyrifos induced oxidative stress: attenuation by antioxidant vitamins. Pestic Biochem Physiol 88:191–196

    CAS  Article  Google Scholar 

  • Yang RSH, Hong HL, Boorman GA (1989) Toxicology of chemical mixtures: experimental approaches underlying concepts and some results. Toxicol Lett 49:183–197

    CAS  Article  Google Scholar 

Download references

Acknowledgments

The authors acknowledge the «Ministère Tunisien de l’Enseignement Supérieur, de la Recherche Scientifique et de la Technologie» for financial support of this study by fundus allocated to 02/UR/08-03. We also would like to thank the staff of the Department of Hematology and Biochemistry of the University-Hospital Fattouma Bourguiba of Monastir (Tunisia) for their help.

Conflict of interest

The authors declare that they have no competing interests.

Author information

Affiliations

Authors

Corresponding author

Correspondence to Sonia Boughattas.

Additional information

Imen Flehi-Slim and Issam Chargui contributed equally to this work.

Responsible editor: Philippe Garrigues

Rights and permissions

Reprints and Permissions

About this article

Verify currency and authenticity via CrossMark

Cite this article

Flehi-Slim, I., Chargui, I., Boughattas, S. et al. Malathion-induced hepatotoxicity in male Wistar rats: biochemical and histopathological studies. Environ Sci Pollut Res 22, 17828–17838 (2015). https://doi.org/10.1007/s11356-015-5014-5

Download citation

  • Received:

  • Accepted:

  • Published:

  • Issue Date:

  • DOI: https://doi.org/10.1007/s11356-015-5014-5

Keywords

  • Malathion
  • Rat
  • Liver
  • Biochemical parameters
  • Histopathology
  • Glycemia
  • Gavage