Skip to main content

Subacute toxicity of titanium dioxide (TiO2) nanoparticles in male rats: emotional behavior and pathophysiological examination

Abstract

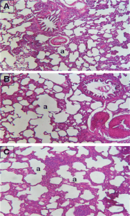
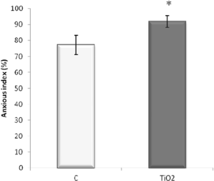
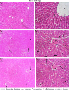
Titanium dioxide nanoparticles (TiO2 NPs) have a wide range of applications in many fields (paint, industry, medicine, additives in food colorants, and nutritional products). Over the past decade research, TiO2 NPs have been focused on the potential toxic effects of these useful materials. In the present study, we investigated the effects of subacute exposure to TiO2 NPs on emotional behavior in adult Wistar rats, the biochemical parameters, and the histology of organs. Animals were injected intraperitoneally (ip) with TiO2 NPs (20 mg/kg body weight) every 2 days for 20 days. The elevated plus-maze test showed that subacute TiO2 NPs treatment increased significantly the anxious index (AI) compared to control group. The toxicological parameters were assessed 24 h and 14 days after the last injection of TiO2 NPs. Subacute exposure to nanoparticles increased the AST/ALT enzyme ratio and LDH activity. However, the blood cell count remained unchanged, except the platelet count increase. Histological examination showed a little inflammation overall. Moreover, our results provide strong evidence that the TiO2 NPs can induce the liver pathological changes of rats. The intraperitoneal injection of TiO2 NPs increased the accumulation of titanium in the liver, lung, and the brain. The results suggest that TiO2 NPs could alter the neurobehavioral performance of adult Wistar rats and promotes alterations in hepatic tissues.

This is a preview of subscription content, access via your institution.

Fig. 1
Fig. 2
Fig. 3
Fig. 4
Fig. 5
Fig. 6
Fig. 7
Fig. 8

References

  • Abe S, Koyama C, Uo M et al (2009) Time-dependence and visualization of TiO2 and Pt particle biodistribution in mice. J Nanosci Nanotechnol 9(8):4988–4991

    Article  CAS  Google Scholar 

  • Adachi K, Yamada N, Yoshida Y, Yamamoto O (2013) Subchronic exposure of titanium dioxide nanoparticles to hairless rat skin. Exp Dermatol 22:278–283

    Article  CAS  Google Scholar 

  • Allen NS, Edge M, Sandoval G et al (2005) Photocatalytic coatings for environmental applications. Photochem Photobiol 81(2):279–290

    Article  CAS  Google Scholar 

  • Amlouk A, El Mir L, Kraiem S et al (2006) Elaboration and characterization of TiO2 nanoparticles incorporated in SiO2 host matrix. J Phys Chem Solids 67:1464–1468

    Article  CAS  Google Scholar 

  • Bermudez E, Mangum JB, Wong BA et al (2004) Pulmonary responses of mice, rats, and hamsters to subchronic inhalation of ultrafine titanium dioxide particles. Toxicol Sci 77:347–357

    Article  CAS  Google Scholar 

  • Chen J, Dong X, Zhao J et al (2009) In vivo acute toxicity of titanium dioxide nanoparticles to mice after intraperitioneal injection. J Appl Toxicol 29:330–337

    Article  CAS  Google Scholar 

  • Cui Y, Chen X, Zhou Z, Lei Y et al (2014) Prenatal exposure to nanoparticulate titanium dioxide enhances depressive-like behaviors in adult rats. Chemosphere 96:99–104

    Article  CAS  Google Scholar 

  • Esterkin CR, Negro AC, Alfano OM et al (2005) Air pollution remediation in a fixed bed photocatalytic reactor coated with TiO2. Aiche J 51:2298–2310

    Article  CAS  Google Scholar 

  • Fabian E, Landsiedel R, Ma-Hock L et al (2008) Tissue distribution and toxicity of intravenously administered titanium dioxide nanoparticles in rats. Arch Toxicol 82:151–157

    Article  CAS  Google Scholar 

  • Grassian VH, O’Shaughnessy PT, Adamcakova-Dodd A et al (2007) Inhalation exposure study of titanium dioxide nanoparticles with a primary particle size of 2 to 5 nm. Environ Health Perspect 115:397–402

    Article  CAS  Google Scholar 

  • Hu R, Gong X, Duan Y et al (2010) Neurotoxicological effects and the impairment of spatial recognition memory in mice caused by exposure to TiO2 nanoparticles. Biomaterials 31:8043–8050

    Article  CAS  Google Scholar 

  • Hundelshausen PV, Weber C (2007) Platelets as immune cells: bridging inflammation and cardiovascular disease. Circ Res 100:27–40

    Article  Google Scholar 

  • Kim EM, Palmer P, Howard V et al (2013) Effect of intracerebroventricular injection of TiO2 nanoparticles on complex behavior in the rat. J Nanosci Nanotechnol 13(12):8325–8330

    Article  CAS  Google Scholar 

  • Li N, Duan Y, Hong M et al (2010) Spleen injury and apoptotic pathway in mice caused by titanium dioxide nanoparticules. Toxicol Lett 165:161–168

    Article  Google Scholar 

  • Ma L, Zhao J, Wang J et al (2009) The acute liver injury in mice caused by nano-anatase TiO2. Nanoscale Res Lett 4:1275–1285

    Article  CAS  Google Scholar 

  • Ma L, Liu J, Li N et al (2010) Oxidative stress in the brain of mice caused by translocated nanoparticulate TiO2 delivered to the abdominal cavity. Biomaterials 31:99–105

    Article  CAS  Google Scholar 

  • Maaroufi K, Ammari M, Jeljeli M et al (2009) Impairment of emotional behavior and spatial learning in adult Wistar rats by ferrous sulfate. Physiol Behav 96:343–349

    Article  CAS  Google Scholar 

  • Mohammadipour A, Fazel A, Haghir A et al (2014) Maternal exposure to titanium dioxide nanoparticles during pregnancy; impaired memory and decreased hippocampal cell proliferation in rat offspring. Environ Toxicol Pharmacol 37:617–625

    Article  CAS  Google Scholar 

  • Moon C, Park HJ, Choi YH et al (2010) Pulmonary inflammation after intraperitoneal administration of ultrafine titanium dioxide (TiO2) at rest or in lungs primed with lipopolysaccharide. J Toxicol Environ Health A 73:396–409

    Article  CAS  Google Scholar 

  • Oberdorster G, Ferin J, Lehnert BE (1994) Correlation between particle size, in vivo particle persistence, and lung injury. Environ Health Perspect 102(Suppl 5):173–179

    Article  Google Scholar 

  • Patri A, Umbreit T, Zheng J et al (2009) Energy dispersive X-ray analysis of titanium dioxide nanoparticle distribution after intravenous and subcutaneous injection in mice. J Appl Toxicol 29:662–672

    Article  CAS  Google Scholar 

  • Pellow S, Chopin P, File SE et al (1985) Validation of open:closed arm entries in an elevated plus-maze as a measure of anxiety in the rat. J Neurosci Methods 14(3):149–167

    Article  CAS  Google Scholar 

  • Ressler KJ, Nemeroff CB (2000) Role of sertonergic and noradrenergic systems in the pathophysiology of depression and anxiety disorders. Depress Anxiety 12:2–19

    Article  Google Scholar 

  • Takashima I, Fuchimoto H, Kubota Y et al (1978) Hydrothermal alteration of Onuma geothermal area, Akita Prefecture, Northeast Japan. Rep GSJ 259:281–309

    Google Scholar 

  • Tamminga CA (2006) The neurobiological of cognition in schizophrenia. J Clin Psychiatry 67:9–13

    Article  CAS  Google Scholar 

  • Van Ravenzwaay B, Landsiedel R, Fabian E et al (2009) Comparing fate and effects of three particles of different surface properties: nano-TiO2, pigmentary TiO2 and quartz. Toxicol Lett 186:152–159

    Article  Google Scholar 

  • Wang J, Zhou G, Chen C et al (2007) Acute toxicity and biodistribution of different sized titanium dioxide particles in mice after oral administration. Toxicol Lett 168(2):176–185

    Article  CAS  Google Scholar 

  • Wang J, Chen C, Liu Y et al (2008a) Potential neurological lesion after nasal instillation of TiO2 nanoparticles in the anatase and rutile crystal phases. Toxicol Lett 183(1–3):72–80

    Article  CAS  Google Scholar 

  • Wang J, Liu Y, Jiao F et al (2008b) Time-dependent translocation and potential impairment on central nervous system by intranasally instilled TiO2 nanoparticles. Toxicology 254(1–2):82–90

    Article  CAS  Google Scholar 

  • Wang J, Fan Y, Gao Y et al (2009) TiO2 nanoparticles translocation and potential toxicological effect in rats after intraarticular injection. Biomaterials 30(27):4590–4600

    Article  CAS  Google Scholar 

  • Warheit DB, Thomas RW, Kenneth LR et al (2007) Pulmonary toxicity study in rats with three forms of ultrafine-TiO2 particles: differential responses related to surface properties. Toxicology 23:90–104

    Article  Google Scholar 

  • Wu J, Liu W, Xue C et al (2009) Toxicity and penetration of TiO2 nanoparticles in hairless mice and porcine skin after subchronic dermal exposure. Toxicol Lett 191:1–8

    Article  CAS  Google Scholar 

  • Xie G, Wang C, Sun J et al (2011) Tissue distribution and excretion of intravenously administered titanium dioxide nanoparticles. Toxicol Lett 205(1):55–61

    Article  CAS  Google Scholar 

  • Xu J, Shi H, Ruth M et al (2013) Acute toxicity of intravenously administered titanium dioxide nanoparticles in mice. PLoS One 8(8):e70618

    Article  CAS  Google Scholar 

  • Zhao J, Bowman L, Zhang X et al (2009) Titanium dioxide (TiO2) nanoparticles induce JB6 cell apoptosis through activation of the caspase-8/Bid and mitochondrial pathways. J Toxicol Environ Health A 72(19):1141–1149

    Article  CAS  Google Scholar 

Download references

Author information

Affiliations

Authors

Corresponding author

Correspondence to Salem Amara.

Additional information

Responsible editor: Philippe Garrigues

Rights and permissions

Reprints and Permissions

About this article

Verify currency and authenticity via CrossMark

Cite this article

Younes, N.R.B., Amara, S., Mrad, I. et al. Subacute toxicity of titanium dioxide (TiO2) nanoparticles in male rats: emotional behavior and pathophysiological examination. Environ Sci Pollut Res 22, 8728–8737 (2015). https://doi.org/10.1007/s11356-014-4002-5

Download citation

  • Received:

  • Accepted:

  • Published:

  • Issue Date:

  • DOI: https://doi.org/10.1007/s11356-014-4002-5

Keywords

  • TiO2 Nanoparticles
  • Emotional behavior
  • Hematological parameters
  • Biochemical parameters
  • Liver
  • Rats