Abstract
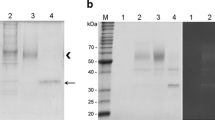
The purpose of this work was the isolation and cultivation of cellulolytic and xylanolytic microorganisms extracted from the gut of the lower termite Reticulitermes santonensis. Microcrystalline cellulose (with and without lignin) and beech wood xylan were used as diets instead of poplar wood in order to select cellulose and hemicellulose-degrading fungi. The strain Sarocladium kiliense (Acremonium kiliense) CTGxxyl was isolated from the termites fed on xylan, while the strain Trichoderma virens CTGxAviL was isolated from the termites fed on cellulose (with and without lignin). Both molds were cultivated in liquid media containing different substrates: agro-residues or purified polymers. S. kiliense produced maximal β-glucosidase, endo-1,4-β-D-glucanase, exo-1,4-β-D-glucanase and endo-1,4-β-D-xylanase activities of 0.103, 3.99, 0.53, and 40.8 IU/ml, respectively. T. virens produced maximal β-xylosidase, endo-1,4-β-D-glucanase, exo-1,4-β-D-glucanase, and endo-1,4-β-D-xylanase activities of 0.38, 1.48, 0.69, and 426 IU/ml. The cellulase and the xylanase of S. kiliense, less common than T. virens, were further investigated. The optimal activity of the xylanase was observed at pH 9–10 at 60 °C. The cellulase showed its maximal activity at pH 10, 70 °C. Zymography identified different xylanases produced by both molds, and some fragment sizes were highlighted: 35, 100, and 170 kDa for S. kiliense and 20, 40, 80, and 170 kDa for T. virens. In both cases, endo-1,4-β-D-xylanase activities were confirmed through mass spectrometry.







Similar content being viewed by others
References
Ahmed S, Bashir A, Saleem H et al (2009) Production and purification of cellulose-degrading enzymes from a filamentous fungus Trichoderma harzianum. Pak J Bot 41:1411–1419
Andrade J, Bispo A, Marbach P et al (2008) Production and Partial Characterization of Cellulases from Trichoderma sp. IS-05 Isolated from Sandy Coastal Plains of Northeast Brazil. Enzyme Res 1:1–7
Anthony T, Chandra Raj K, Rajendran A et al (2003) High molecular weight cellulase-free xylanase from alkali tolerant Aspergillus fumigatus AR1. Enzyme Microb Technol 32:647–654
Austin J, Szalanski A, Scheffrahn R et al (2005) Genetic Evidence for the Synonymy of Two Reticulitermes Species: Reticulitermes flavipes and Reticulitermes santonensis. Genetics 98:395–401
Baker J et al. (1995) Synergism Between Purified Bacterial and Fungal Cellulases. In: Saddler J, Himmel M (eds) Enzymatic degradation of insoluble carbohydrates. American Chemical Society Symposium Series 618, Washington DC, pp 113–141
Bakir U, Yavascaoglu S, Guvenc F et al (2001) An endo beta-1,4-xylanase from Rhizopus oryzae: production, partial purification and biochemical characterization. Enzyme Microb Technol 29:328–334
Balakrishnan K, Kumar R, Agalya Devi R et al (2013) Utilization of fortified rice husk for the fermentative production of xylanase by Trichoderma sp. Int J Curr Microbiol App Sci 2:174–187
Beg Q, Kapoor M, Mahajan L et al (2001) Microbial xylanases and their industrial applications: a review. Appl Microbiol Biotechnol 56:326–338
Bignell D (2006) Termites as Soil Engineers and Soil Processors. In: König H, Varma A (eds) Intestinal Microorganisms of termites and Other Invertebrates. Springer, Germany, pp 183–220
Breznak J, Brune A (1994) Role of Microorganisms in the Digestion of Lignocellulose by Termites. Annu Rev Entomol 39:453–487
Brune A, Kühl M (1996) pH profiles of the extremely alkaline hindguts of soil-feeding termites (Isoptera: Termitidae) determined with microelectrodes. J Insect Physiol 42:1121–1127
Byzov B (2006) Intestinal Microbiota of Millipedes. In: König H, Varma A (eds) Intestinal Microorganisms of termites and Other Invertebrates. Springer, Germany, pp 89–114
Caramez Triches Damaso M, da Costa TS, Farias A et al (2012) Selection of Cellulolytic Fungi Isolated from Diverse Substrates. Braz Arch Biolog Technol 55:513–520
Dhillon A, Khanna S (2000) Production of a thermostable alkali-tolerant xylanase from Bacillus circulans AB 16 grown on wheat straw. World J Microb Biot 16:325–327
Drake H, Schramm A, Horn M (2006) Earthworm Gut Microbial Biomes: Their Importance to Soil Microorganisms, Denitrification, and the Terrestrial Production of the Greenhouse Gas N2O. In: König H, Varma A (eds) Intestinal Microorganisms of termites and Other Invertebrates. Springer, Germany, pp 65–87
Dutta T, Sahoo R, Sengupta R et al (2008) Novel cellulases from an extremophilic fungi Penicillium citrinum: production and characterization. J Ind Microbiol Biotechnol 35:275–282
Ebert A, Brune A (1997) Hydrogen concentration profiles of the oxic-anoxic interface: a microsensor study of the hindgut of the wood-feeding lower termite Reticulitermes flavipes (Kollar). Appl Environ Microbiol 63:4039–4046
Fadel M (2001) High-level xylanase production from sorghum flour by a newly isolate of Trichoderma harzianum cultivated under solid state fermentation. Ann Microbiol 51:61–78
Fujii T, Fang X, Inoue H et al (2009) Enzymatic hydrolyzing performance of Acremonium cellulolyticus and Trichoderma reesei against three lignocellulosic materials. Biotechnol Biofuels 2:24
Garai D, Kumar V (2013) Response surface optimization for xylanase with high volumetric productivity by indigenous alkali tolerant Aspergillus candidus under submerged cultivation. Biotech Adv 3:127–136
Gautam S, Bundela P, Pandey A, Jamaluddin, Awasthi M, Sarsaiya S (2012) Diversity of Cellulolytic Microbes and the Biodegradation of Municipal Solid Waste by a Potential Strain. Int J Microbiol 2012:1–12
Geib S, Tien M, Hoover K (2010) Identification of proteins involved in lignocellulose degradation using in gel zymogram analysis combined with mass spectroscopy-based peptide analysis of gut proteins from larval Asian longhorned beetles, Anoplophora glabripennis. Insect Sci 17:253–264
Geweely N, Ouf S, Eldesoky M et al (2006) Stimulation of alkalothermophilic Aspergillus terreus xylanase by low-intensity laser radiation. Arch Microbiol 186:1–9
Ghorai S, Chowdhury S, Pal S et al (2010) Enhanced activity and stability of cellobiase (b-glucosidase: EC 3.2.1.21) produced in the presence of 2-deoxy-D-glucose from the fungus Termitomyces clypeatus. Carbohydr Res 345:1015–1022
Gupta V, Gaur R, Kumar Yadava S et al (2009) Optimization of xylanase production by free and immobilized cells of Fusarium solani F7. BioResources 4:932–945
He J, Yu B, Zhang K et al (2009) Expression of endo-1, 4-beta-xylanase from Trichoderma reesei in Pichia pastoris and functional characterization of the produced enzyme. BMC Biotechnol 9:56
Howard B (1994) Clinical and pathogenic microbiology, 2nd edn. Mosby, Michigan
Ikeda Y, Hayashi H, Okuda N et al (2007) Efficient cellulase production by the filamentous fungus Acremonium cellulolyticus. Biotechnol Prog 23:333–338
Isil S, Nilufer A (2005) Investigation of factors affecting xylanase activity from Trichoderma harzianum 1073 D3. Braz Arch Biol Technol 48:187–193
Joo A-R, Jeya M, Lee K-M et al (2010) Production and characterization of a beta-1,4-glucosidase from a strain of Penicillium pinophilum. Process Biochem 45:851–858
Kalogeris E, Christakopoulos P, Katapodis P et al (2003) Production and characterization of cellulolytic enzymes from the thermophilic fungus Thermoascus aurantiacus under solid state cultivation of agricultural wastes. Process Biochem 38:1099–1104
Knob A, Cano Carmona E (2012) Purification and properties of an acid β-xylosidase from Penicillium sclerotiorum. Annals Microbiol 62:501–508
Li L, Fröhlich J, König H (2006) Cellulose Digestion in the Termite Gut. In: König H, Varma A (eds) Intestinal Microorganisms of termites and Other Invertebrates. Springer, Germany, pp 221–241
Liao H et al (2012) Production and characterization of acidophilic xylanolytic enzymes from Penicillium oxalicum GZ-2. Bioresource Technol 123:117–124
Madhu K, Beena P, Chandrasekaran M (2009) Extracellular β-glucosidase production by a marine Aspergillus sydowii BTMFS 55 under solid state fermentation using statisti-cal experimental design. Biotechnol Bioproc Eng 14:457–466
Menon V, Rao M (2012) Trends in bioconversion of lignocellulose: Biofuels, platform chemicals & biorefinery concept. Prog Energ Combust Sci 38:522–550
Miller G (1959) Use of Dinitrosalicylic Acid Reagent for Determination of Reducing Sugar. Anal Chem 31:426–428
Moretti M, Bocchini-Martins D, Da Silva R et al (2012) Selection of thermophilic and thermotolerant fungi for the production of cellulases and xylanases under solid-state fermentation. Braz J Microbiol 2012:1062–1071
Pedersen M, Klitgaard Lauritzen H, Frisvad J et al (2007) Identification of thermostable β-xylosidase activities produced by Aspergillus brasiliensis and Aspergillus niger. Biotechnol Lett 29:743–748
Pitson S, Seviour R, McDougall B (1997) Purification and characterization of an extracellular P-glucosidase from the filamentous fungus Acremonium persicinum and its probable role in β-glucan degradation. Enzyme Microb Technol 21:182–190
Polizeli M, Rizzati A, Monti R et al (2005) Xylanases from Fungi: properties and industrial applications. Appl Microbiol Biotechnol 65:577–591
Prillinger H et al (1996) Yeasts associated with termites: a phenotypic and genotypic characterisation and use of coevolution for dating evolutionary radiations in asco- and basidiomycetes. Sys Appl Microbiol 19:265–283
Rajagopal S, Rao D, Varma A (1979) Association of fungi in the termite gut. Curr Sci 48:998–999
Rajagopal S, Rao D, Varma A (1981) Fungi from worker termite gut, Odontotermes obesus (Rambur) from northern India. Nova Hedwigia 34:97–100
Rubini M, Dillon A, Kyaw C et al (2010) Cloning, characterization and heterologous expression of the first Penicillium echinulatum cellulase gene. J Appl Microbiol 108:1187–1198
Saha B (2002) Production, purification and properties of xylanase from a newly isolated Fusarium proliferatum. Process Biochem 37:1279–1284
Saha B, Bothast R (1996) Production, purification, and characterization of a highly glucose-tolerant novel beta-glucosidase from Candida peltata. Appl Environ Microbiol 62:3165–3170
Savitha S, Sadhasivam S, Swaminathan K (2009) Modification of paper properties by the pretreatment of wastepaper pulp with Graphium putredinis, Trichoderma harzianum and fusant xylanases. Bioresource Technol 100:883–889
Schäfer A, Konrad R, Kuhnigk T et al (1996) Hemicellulose-degrading bacteria and yeasts from the termite gut. J Appl Bacteriol 80:471–478
Scharf M, Boucias D (2010) Potential of termite-based biomass pre-treatment strategies for use in bioethanol production. Insect Sci 17:166–174
Scharf M, Karl Z, Sethi A et al (2011) Multiple levels of synergistic collaboration in termite lignocellulose digestion. PLoS One 6:e21709
Schuster A, Schmoll M (2010) Biology and biotechnology of Trichoderma. Appl Microbiol Biotechnol 87:787–799
Singh S, Pillay B, Dilsook V et al (2000) Production and properties of hemicellulases by a Thermomyces lanuginosus strain. J Appl Microbiol 2000:975–982
Singhania R, Sukumaran R, Rajasree K et al (2011) Properties of a major beta-glucosidase-BGL1 from Aspergillus niger NII-08121 expressed differentially in response to carbon sources. Process Biochem 46:1521–1524
Snoek-Van Beurden P, Von den Hoff J (2005) Zymographic techniques for the analysis of matrix metalloproteinases and their inhibitors. Biotechniques 38:73–83
Sonia K, Chadha B, Badhan AK et al (2008) Identification of glucose tolerant acid active β-glucosidases from thermophilic and thermotolerant fungi. World J Microbiol Biotechnol 24:599–604
Stevens B, Payne J (1977) Cellulose and xylanase production of yeasts of the genus Trichosporon. J Gen Microbiol 100:381–393
Sudan R, Bajaj B (2007) Production and biochemical characterization of xylanase from an alkalitolerant novel species Aspergillus niveus RS2. World J Microbiol Biotechnol 23:491–500
Tarayre C et al (2013) Isolation and cultivation of a xylanolytic Bacillus subtilis extracted from the gut of the termite Reticulitermes santonensis. Appl Biochem Biotechnol 171:225–245
Tartar A, Wheeler M, Zhou X et al (2009) Parallel metatranscriptome analyses of host and symbiont gene expression in the gut of the termite Reticulitermes flavipes. Biotechnol Biofuels 15:2–25
Tebbe C, Czarnetzki A, Thimm T (2006) Collembola as a Habitat for Microorganisms. In: König H, Varma A (eds) Intestinal Microorganisms of termites and Other Invertebrates. Springer, Germany, pp 133–153
Teleman A, Tenkanen M, Jacobs A et al (2002) Characterization of O-acetyl-(4-O-methylglucurono) xylan isolated from birch and beech. Carbohydr Res 337:373–377
Terrasan C, Temer B, MC TD et al (2010) Production of xylanolytic enzymes by Penicillium janczewskii. Bioresource Technol 101:4139–4143
Wen Z, Lioa W, Chen S (2005) Production of cellulase/β-glucosidase by the mixed fungi culture Trichoderma reesei and Aspergillus phoenicis on dairy manure. Process Biochem 40:3087–3094
Wenzel M, Schönig I, Berchtold M et al (2002) Aerobic and facultatively anaerobic cellulolytic bacteria from the gut of the termite Zootermopsis angusticollis. J Appl Microbiol 92:32–40
Xiang Q, Lee Y, Pettersson P et al (2003) Heterogeneous Aspects of Acid Hydrolysis of α-Cellulose. Appl Biochem Biotechnol 107:505–514
Acknowledgments
This work was supported by an ARC contract (Action de Recherche Concertée; agreement Gembloux Agro-Bio Tech no. ARC 08-13/02).
Author information
Authors and Affiliations
Corresponding author
Additional information
Responsible editor: Philippe Garrigues
Rights and permissions
About this article
Cite this article
Tarayre, C., Bauwens, J., Brasseur, C. et al. Isolation and cultivation of xylanolytic and cellulolytic Sarocladium kiliense and Trichoderma virens from the gut of the termite Reticulitermes santonensis . Environ Sci Pollut Res 22, 4369–4382 (2015). https://doi.org/10.1007/s11356-014-3681-2
Received:
Accepted:
Published:
Issue Date:
DOI: https://doi.org/10.1007/s11356-014-3681-2


