Skip to main content

In vivo toxicity of orally administrated silicon dioxide nanoparticles in healthy adult mice

Abstract

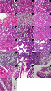
The increasing use of silica nanoparticles (SiNPs) in various applications including industrial, agriculture, and medicine has raised concerns about their potential risks to human health. Various nanotoxicity researches have been done on the assessment of SiNPs’ toxic effects; however, a few in vivo investigations exist. In this investigation, an in vivo study was done in order to evaluate the oral toxicity of SiNPs. The biochemical levels of 19 different serum parameters were assessed. Moreover, the histopathological changes have been examined as well. We showed that SiNPs with diameters of 10–15 nm in size can cause significant changes in albumin, cholesterol, triglyceride, total protein, urea, HDL, and LDL as well as in alkaline phosphatase and aspartate aminotransferase activity. In addition, histopathological examinations demonstrated that SiNPs have toxic effects on various tissues including liver, kidney, lung, and testis.

This is a preview of subscription content, access via your institution.

Fig. 1

References

  • Ahmad J, Ahamed M, Akhtar MJ, Alrokayan SA, Siddiqui MA, Musarrat J, Al-Khedhairy AA (2012) Apoptosis induction by silica nanoparticles mediated through reactive oxygen species in human liver cell line HepG2. Toxicol Appl Pharmacol 259:160–168

    CAS  Article  Google Scholar 

  • Chen Z, Meng H, Xing G, Chen C, Zhao Y, Jia G, Wang T, Yuan H, Ye C, Zhao F et al (2006) Acute toxicological effects of copper nanoparticles in vivo. Toxicol Lett 163:109–120

    CAS  Article  Google Scholar 

  • Cho M, Cho WS, Choi M, Kim SJ, Han BS, Kim SH, Kim HO, Sheen YY, Jeong J (2009) The impact of size on tissue distribution and elimination by single intravenous injection of silica nanoparticles. Toxicol Lett 189:177–183

    CAS  Article  Google Scholar 

  • Esmaeillou M, Moharamnejad M, Hsankhani R, Tehrani AA, Maadi H (2013) Toxicity of ZnO nanoparticles in healthy adult mice. Environ Toxicol Pharmacol 35:67–71

    CAS  Article  Google Scholar 

  • Garcia TX, Costa GM, Franca LR, Hofmann MC (2014) Sub-acute intravenous administration of silver nanoparticles in male mice alters Leydig cell function and testosterone levels. Reprod Toxicol (Elmsford, NY) 45C:59–70

    Article  Google Scholar 

  • Gowda S, Desai PB, Kulkarni SS, Hull VV, Math AAK, Vernekar SN (2010) Markers of renal function tests. N Am J Med Sci 2:170

    Google Scholar 

  • Green RM, Flamm S (2002) AGA technical review on the evaluation of liver chemistry tests. Gastroenterology 123:1367–1384

    Article  Google Scholar 

  • Gromadzka-Ostrowska J, Dziendzikowska K, Lankoff A, Dobrzynska M, Instanes C, Brunborg G, Gajowik A, Radzikowska J, Wojewodzka M, Kruszewski M (2012) Silver nanoparticles effects on epididymal sperm in rats. Toxicol Lett 214:251–258

    CAS  Article  Google Scholar 

  • Guo LL, Liu XH, Qin DX, Gao L, Zhang HM, Liu JY, Cui YG (2009) Effects of nanosized titanium dioxide on the reproductive system of male mice. Zhonghua Nan Ke Xue Natl J Androl 15:517–522

    CAS  Google Scholar 

  • Guo M, Xu X, Yan X, Wang S, Gao S, Zhu S (2013) In vivo biodistribution and synergistic toxicity of silica nanoparticles and cadmium chloride in mice. J Hazard Mater 260:780–788

    CAS  Article  Google Scholar 

  • Hansen SF, Michelson ES, Kamper A, Borling P, Stuer-Lauridsen F, Baun A (2008) Categorization framework to aid exposure assessment of nanomaterials in consumer products. Ecotoxicology (London, England) 17:438–447

    CAS  Article  Google Scholar 

  • He Q, Zhang Z, Gao F, Li Y, Shi J (2011) In vivo biodistribution and urinary excretion of mesoporous silica nanoparticles: effects of particle size and PEGylation. Small (Weinheim an der Bergstrasse, Germany) 7:271–280

    CAS  Article  Google Scholar 

  • Huang X, Li L, Liu T, Hao N, Liu H, Chen D, Tang F (2011) The shape effect of mesoporous silica nanoparticles on biodistribution, clearance, and biocompatibility in vivo. ACS Nano 5:5390–5399

    CAS  Article  Google Scholar 

  • Jia F, Sun Z, Yan X, Zhou B, Wang J (2014) Effect of pubertal nano-TiO2 exposure on testosterone synthesis and spermatogenesis in mice. Arch Toxicol 88:781–788

    CAS  Google Scholar 

  • Kim M-H, Na H-K, Kim Y-K, Ryoo S-R, Cho HS, Lee KE, Jeon H, Ryoo R, Min D-H (2011) Facile synthesis of monodispersed mesoporous silica nanoparticles with ultralarge pores and their application in gene delivery. ACS Nano 5:3568–3576

    CAS  Article  Google Scholar 

  • Kumar R, Roy I, Ohulchanskky TY, Vathy LA, Bergey EJ, Sajjad M, Prasad PN (2010) In vivo biodistribution and clearance studies using multimodal organically modified silica nanoparticles. ACS Nano 4:699–708

    CAS  Article  Google Scholar 

  • Lin W, Huang YW, Zhou XD, Ma Y (2006) In vitro toxicity of silica nanoparticles in human lung cancer cells. Toxicol Appl Pharmacol 217:252–259

    CAS  Article  Google Scholar 

  • Liu T, Li L, Fu C, Liu H, Chen D, Tang F (2012) Pathological mechanisms of liver injury caused by continuous intraperitoneal injection of silica nanoparticles. Biomaterials 33:2399–2407

    CAS  Article  Google Scholar 

  • Minuk GY (1998) Canadian Association of Gastroenterology Practice Guidelines: evaluation of abnormal liver enzyme tests. Can J Gastroenterol J Can Gastroenterol 12:417–421

    CAS  Google Scholar 

  • Morishita Y, Yoshioka Y, Satoh H, Nojiri N, Nagano K, Abe Y, Kamada H, Tsunoda S-I, Nabeshi H, Yoshikawa T et al (2012) Distribution and histologic effects of intravenously administered amorphous nanosilica particles in the testes of mice. Biochem Biophys Res Commun 420:297–301

    CAS  Article  Google Scholar 

  • Nishimori H, Kondoh M, Isoda K, Tsunoda S, Tsutsumi Y, Yagi K (2009a) Histological analysis of 70-nm silica particles-induced chronic toxicity in mice. Eur J Pharm Biopharm Off J Arbeitsgemeinschaft PharmVerfahrenstechnik eV 72:626–629

    CAS  Article  Google Scholar 

  • Nishimori H, Kondoh M, Isoda K, Tsunoda S, Tsutsumi Y, Yagi K (2009b) Silica nanoparticles as hepatotoxicants. Eur J Pharm Biopharm Off J Arbeitsgemeinschaft PharmVerfahrenstechnik eV 72:496–501

    CAS  Article  Google Scholar 

  • Passagne I, Morille M, Rousset M, Pujalte I, L’Azou B (2012) Implication of oxidative stress in size-dependent toxicity of silica nanoparticles in kidney cells. Toxicology 299:112–124

    CAS  Article  Google Scholar 

  • Rahman M, Laurent S, Tawil N, Yahia LH, Mahmoudi M (2013) Nanoparticle and protein corona. In Protein-nanoparticle interactions (Springer Berlin Heidelberg), pp. 21–44

  • Ranjbakhsh E, Bordbar AK, Abbasi M, Khosropour AR, Shams E (2012) Enhancement of stability and catalytic activity of immobilized lipase on silica-coated modified magnetite nanoparticles. Chem Eng J 179:272–276

    CAS  Article  Google Scholar 

  • Rees D, Murray J (2007) Silica, silicosis and tuberculosis. Int J Tuberc Lung Dis Off J Int Union Against Tuberc Lung Dis 11:474–484

    CAS  Google Scholar 

  • Sun L, Li Y, Liu X, Jin M, Zhang L, Du Z, Guo C, Huang P, Sun Z (2011) Cytotoxicity and mitochondrial damage caused by silica nanoparticles. Toxicol In Vitro Int J Publ Assoc BIBRA 25:1619–1629

    CAS  Article  Google Scholar 

  • van der Zande M, Vandebriel R, Groot M, Kramer E, Herrera Rivera Z, Rasmussen K, Ossenkoppele J, Tromp P, Gremmer E, Peters R et al (2014) Sub-chronic toxicity study in rats orally exposed to nanostructured silica. Part Fibre Toxicol 11:1–19

    Google Scholar 

  • Wang B, Feng W, Wang M, Wang T, Gu Y, Zhu M, Ouyang H, Shi J, Zhang F, Zhao Y et al (2008) Acute toxicological impact of nano- and submicro-scaled zinc oxide powder on healthy adult mice. J Nanopart Res 10:263–276

    CAS  Article  Google Scholar 

  • Xie G, Sun J, Zhong G, Shi L, Zhang D (2010) Biodistribution and toxicity of intravenously administered silica nanoparticles in mice. Arch Toxicol 84:183–190

    CAS  Article  Google Scholar 

  • Yamashita K, Yoshioka Y, Higashisaka K, Mimura K, Morishita Y, Nozaki M, Yoshida T, Ogura T, Nabeshi H, Nagano K et al (2011) Silica and titanium dioxide nanoparticles cause pregnancy complications in mice. Nat Nanotechnol 6:321–328

    CAS  Article  Google Scholar 

  • Yang X, Liu J, He H, Zhou L, Gong C, Wang X, Yang L, Yuan J, Huang H, He L et al (2010) SiO2 nanoparticles induce cytotoxicity and protein expression alteration in HaCaT cells. Part Fibre Toxicol 7:1

    CAS  Article  Google Scholar 

  • Ye Y, Liu J, Chen M, Sun L, Lan M (2010a) In vitro toxicity of silica nanoparticles in myocardial cells. Environ Toxicol Pharmacol 29:131–137

    CAS  Article  Google Scholar 

  • Ye Y, Liu J, Xu J, Sun L, Chen M, Lan M (2010b) Nano-SiO2 induces apoptosis via activation of p53 and Bax mediated by oxidative stress in human hepatic cell line. Toxicol In Vitro Int J Publ Assoc BIBRA 24:751–758

    CAS  Article  Google Scholar 

  • Yuan L, Tang Q, Yang D, Zhang JZ, Zhang F, Hu J (2011) Preparation of pH-responsive mesoporous silica nanoparticles and their application in controlled drug delivery. J Phys Chem C 115:9926–9932

    CAS  Article  Google Scholar 

Download references

Author information

Affiliations

Authors

Corresponding author

Correspondence to Hamid Maadi.

Additional information

Responsible editor: Philippe Garrigues

Rights and permissions

Reprints and Permissions

About this article

Verify currency and authenticity via CrossMark

Cite this article

Hassankhani, R., Esmaeillou, M., Tehrani, A.A. et al. In vivo toxicity of orally administrated silicon dioxide nanoparticles in healthy adult mice. Environ Sci Pollut Res 22, 1127–1132 (2015). https://doi.org/10.1007/s11356-014-3413-7

Download citation

  • Received:

  • Accepted:

  • Published:

  • Issue Date:

  • DOI: https://doi.org/10.1007/s11356-014-3413-7

Keywords

  • SiO2 nanoparticles
  • Oral gavage
  • Liver
  • Kidney
  • Testis
  • Lung
  • Biochemical elements