Skip to main content

Copper accumulation, translocation, and toxic effects in grapevine cuttings

Abstract

Purpose

Although the ecotoxicological effects of copper (Cu) on grapevine are of global concern due to the intensive and long-term application of Cu-based fungicides in vineyards, comparatively little is known about the phytotoxicity, accumulation, and translocation of Cu in grapevines. Therefore, this study was to conduct a hydroponic experiment to determine the influence of solution Cu concentration not only on bioaccumulation and the translocation of Cu in grapevine roots, stems, and leaves, but also on the subsequent growth inhibition of the roots.

Methods

Grapevine cuttings were grown for 30 days and then exposed to various Cu concentrations (0.1–50 μM) for 15 days. The dose–response profile was described by a sigmoid Hill equation. Optical microscopy was used to examine the cytotoxicity of Cu on the roots. In addition, bioaccumulation factors (BAFs) and translocation factors (TFs) were calculated from the results of the hydroponic experiment.

Results

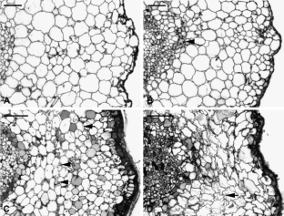
Copper was tolerated by grapevines at a concentration ≤1 μM. The median inhibition concentration (IC50) obtained from the Hill model was 3.94 μM (95% confidence interval, 3.65–4.24). From the light micrographs of root tip cells, signs of toxicity including increased vacuolization and plasmolysis were observed at solution Cu concentrations ≥10 μM. In addition, a higher Cu concentration was found in the roots (25–12,000 mg kg−1) than in the stems (5–540 mg kg−1) and leaves (7–46 mg kg−1), indicating a very limited translocation of Cu from the roots to the aboveground parts.

Conclusions

This study investigated not only the macroscopic root growth and Cu accumulation by grapevine, but also the microscopic changes in root tissue at the cell level after the exposure experiment. Based on the BAFs and TFs, the grapevine could be considered a Cu-exclusive plant. For toxic effects on the exposure of roots to Cu, this study also revealed that root growth, as well as the histological changes in rhizodermal cells, can be used as phytotoxic indicators of grapevine under Cu stress.

This is a preview of subscription content, access via your institution.

Fig. 1
Fig. 2
Fig. 3

References

  • Angelova VR, Ivanov AS, Braikov DM (1999) Heavy metals (Pb, Cu, Zn and Cd) in the system soil-grapevine-grape. J Sci Food Agric 79:713–721

    Article  CAS  Google Scholar 

  • Benzarti S, Mohri S, Ono Y (2008) Plant response to heavy metal toxicity: comparative study between the hyperaccumulator Thlaspi caerulescens (ecotype Ganges) and nonaccumulator plants: lettuce, radish, and alfalfa. Environ Toxicol 23:607–616

    Article  CAS  Google Scholar 

  • Brun LA, Maillet J, Richarte J, Herrmann P, Remy JC (1998) Relationships between extractable copper, soil properties and copper uptake by wild plants in vineyard soils. Environ Pollut 102:151–161

    Article  CAS  Google Scholar 

  • Brun LA, Maillet J, Hinsinger P, Pepin M (2001) Evaluation of copper availability to plants in copper-contaminated vineyard soils. Environ Pollut 111:293–302

    Article  CAS  Google Scholar 

  • Busuioc G, Elekes CC, Stihi C, Iordache S, Ciulei SC (2011) The bioaccumulation and translocation of Fe, Zn, and Cu in species of mushrooms from Russula genus. Environ Sci Pollut Res 18:890–896

    Article  CAS  Google Scholar 

  • Calabrese EJ, Baldwin LA (2003) Toxicology rethinks its central belief-hormesis demands a reappraisal of the way risks are assessed. Nature 421:691–692

    Article  CAS  Google Scholar 

  • Chaignon V, Sanchez-Neira I, Jaillard B, Hinsinger P (2003) Copper bioavailability and extractability as related to chemical properties of contaminated soils from a vine-growing area. Environ Pollut 123:229–238

    Article  CAS  Google Scholar 

  • Chopin EIB, Marin B, Mkoungafoko R, Rigaux A, Hopgood MJ, Delannoy E, Cances B, Laurain M (2008) Factors affecting distribution and mobility of trace elements (Cu, Pb, Zn) in a perennial grapevine (Vitis vinifera L.) in the Champagne region of France. Environ Pollut 156:1092–1098

    Article  CAS  Google Scholar 

  • Devez A, Gomez E, Gilbin R, Elbaz-Poulichet F, Persin F, Andrieux P, Casellas C (2005) Assessment of copper bioavailability and toxicity in vineyard runoff waters by DPASV and algal bioassay. Sci Total Environ 348:82–92

    Article  CAS  Google Scholar 

  • Garcia-Esparza MA, Capri E, Pirzadeh P, Trevisan M (2006) Copper content of grape and wine from Italian farms. Food Addit Contam 23:274–280

    Article  CAS  Google Scholar 

  • Juang KW, Lai HY, Chen BC (2011) Coupling bioaccumulation and phytotoxicity to predict copper removal by switchgrass grown hydroponically. Ecotoxicology 20:827–835

    Article  CAS  Google Scholar 

  • Khellaf N, Zerdaoui M (2010) Growth response of the duckweed Lemna gibba L. to copper and nickel phytoaccumulation. Ecotoxicology 19:1363–1368

    Article  CAS  Google Scholar 

  • Ko BG, Vogeler I, Bolan NS, Clothier B, Green S, Kennedy J (2007) Mobility of copper, chromium and arsenic from treated timber into grapevines. Sci Total Environ 388:35–42

    Article  CAS  Google Scholar 

  • Kopittke PM, Menzies NW (2006) Effect of Cu toxicity on growth of cowpea (Vigna unguiculata). Plant Soil 279:287–296

    Article  CAS  Google Scholar 

  • Kopittke PM, Blamey FPC, Menzies NW (2008) Toxicities of soluble Al, Cu, and La include ruptures to rhizodermal and root cortical cells of cowpea. Plant Soil 303:217–227

    Article  CAS  Google Scholar 

  • Kopittke PM, Asher CJ, Blamey FPC, Menzies NW (2009) Toxic effects of Cu2+ on growth, nutrition, root morphology, and distribution of Cu in roots of Sabi grass. Sci Total Environ 407:4616–4621

    Article  CAS  Google Scholar 

  • Lai HY, Juang KW, Chen BC (2010) Copper concentrations in grapevines and vineyard soils in central Taiwan. Soil Sci Plant Nutr 56:601–606

    Article  CAS  Google Scholar 

  • Li B, Zhang X, Wang X, Ma Y (2009) Refining a biotic ligand model for nickel toxicity to barley root elongation in solution culture. Ecotoxicol Environ Saf 72:1760–1766

    Article  CAS  Google Scholar 

  • Liao CM, Chen BC, Lin MC, Chiu HM, Chou YH (2002) Coupling toxicokinetics and pharmacodynamics for predicting survival of abalone (Haliotis diversicolor supertexta). Environ Toxicol 17:478–486

    Article  CAS  Google Scholar 

  • Liao CM, Liang HM, Chen BC, Singh S, Tsai JW, Chou YH (2005) Dynamical coupling of PBPK/PD and AUC-based toxicity models for arsenic in tilapia Oreochromis mossambicus from blackfoot disease area in Taiwan. Environ Pollut 135:221–233

    Article  CAS  Google Scholar 

  • Liu D, Kottke I (2004) Subcellular localization of copper in the root cells of Allium sativum by electron energy loss spectroscopy (EELS). Biores Technol 94:153–158

    Article  CAS  Google Scholar 

  • Liu W, Yang YS, Li P, Zhou Q, Sun T (2009) Root growth inhibition and induction of DNA damage in soybean (Glycine max) by chlorobenzenes in contaminated soil. Chemosphere 57:101–106

    Article  Google Scholar 

  • Lock K, Van Eeckhout H, De Schamphelaere KAC, Criel P, Janssen CR (2007) Development of a biotic ligand model (BLM) predicting nickel toxicity to barley (Hordeum vulgare). Chemosphere 66:1346–1352

    Article  CAS  Google Scholar 

  • Madejon P, Ramirez-Benitez JE, Corrales I, Barcelo J, Poschenrieder C (2009) Copper-induced oxidative damage and enhanced antioxidant defenses in the root apex of maize cultivars differing in Cu tolerance. Environ Exp Bot 67:415–420

    Article  CAS  Google Scholar 

  • Michaud AM, Chappellaz C, Hinsinger P (2008) Copper phytotoxicity affects root elongation and iron nutrition in durum wheat (Triticum turgidum durum L.). Plant Soil 310:151–165

    Article  CAS  Google Scholar 

  • Mirlean N, Roisenberg A, Chies JO (2007) Metal contamination of vineyard soils in wet subtropics (Southern Brazil). Environ Pollut 149:10–17

    Article  CAS  Google Scholar 

  • Mishra VK, Tripathi BD (2008) Concurrent removal and accumulation of heavy metals by the three aquatic macrophytes. Biores Technol 99:7091–7097

    Article  CAS  Google Scholar 

  • Mourato MP, Martins LL, Campos-Andrada MP (2009) Physiological responses of Lupinus luteus to different copper concentrations. Biol Plant 53:105–111

    Article  CAS  Google Scholar 

  • Rossini Oliva S, Mingorance MD, Valdes B, Leidi EO (2010) Uptake, localisation and physiological changes in response to cooper excess in Erica andevalensis. Plant Soil 328:411–420

    Article  CAS  Google Scholar 

  • Rouphael Y, Cardarelli M, Rea E, Colla G (2008) Grafting of cucumber as a means to minimize cooper toxicity. Environ Exp Bot 63:49–58

    Article  CAS  Google Scholar 

  • Shu WS, Ye ZH, Lan CY, Zhang ZQ, Wong MH (2002) Lead, zinc and copper accumulation and tolerance in populations of Paspalum distichum and Cynodon dactylon. Environ Pollut 120:445–453

    Article  CAS  Google Scholar 

  • Speir TW, van Schaik AP, Hunter LC, Ryburn JL, Percival HJ (2007) Attempts to derive EC50 values for heavy metals from land-applied Cu-, Ni-, and Zn-spiked sewage sludge. Soil Biol Biochem 39:539–549

    Article  CAS  Google Scholar 

  • Tandy S, Schulin R, Nowack B (2006) The influence of EDDS on the uptake of heavy metals in hydroponically grown sunflowers. Chemosphere 62:1454–1463

    Article  CAS  Google Scholar 

  • Wang X, Ma Y, Hua L, Mclaughlin MJ (2009) Identification of hydroxyl copper toxicity to barley (Hordeum vulgare) root elongation in solution culture. Environ Toxicol Chem 28:662–667

    Article  CAS  Google Scholar 

  • Wei L, Luo C, Li X, Shen Z (2008) Copper accumulation and tolerance in Chrysanthemum coronarium L. and Sorghum sudanense L. Arch Environ Contam Toxicol 55:238–246

    Article  CAS  Google Scholar 

  • Whiting SN, Broadley MR, White PJ (2003) Applying solute transfer model to phytoextraction: zinc acquisition by Thlaspi caerulescens. Plant Soil 249:45–56

    Article  CAS  Google Scholar 

  • Wu Y, Hendershot WH (2010) The effect of calcium and pH on nickel accumulation in and rhizotoxicity to pea (Pisum sativum L.) root-empirical relationships and modeling. Environ Pollut 158:1850–1856

    Article  CAS  Google Scholar 

  • Zacchini M, Pietrini F, Mugnozza GS, Iori V, Pietrosanti L, Massacci A (2009) Metal tolerance, accumulation and translocation in poplar and willow clones treated with cadmium in hydroponics. Water Air Soil Pollut 197:23–34

    Article  CAS  Google Scholar 

Download references

Acknowledgments

This research was financially supported by the National Science Council, Taiwan, Republic of China, under grant nos. NSC 98-2313-B-451-004-MY3 and NSC 97-2313-B-451-009-MY3. We also thank the anonymous reviewers for providing many constructive comments.

Author information

Affiliations

Authors

Corresponding author

Correspondence to Bo-Ching Chen.

Additional information

Responsible editor: Philippe Garrigues

Rights and permissions

Reprints and Permissions

About this article

Cite this article

Juang, KW., Lee, YI., Lai, HY. et al. Copper accumulation, translocation, and toxic effects in grapevine cuttings. Environ Sci Pollut Res 19, 1315–1322 (2012). https://doi.org/10.1007/s11356-011-0657-3

Download citation

  • Received:

  • Accepted:

  • Published:

  • Issue Date:

  • DOI: https://doi.org/10.1007/s11356-011-0657-3

Keywords

  • Copper
  • Grapevine
  • Hill model
  • Hydroponics
  • Light micrograph
  • Root elongation