Abstract
Purpose
Obstructive sleep apnea (OSA) has been related to an increased risk of liver injury. Ferroptosis is a form of programmed cell death implicated in multiple physiological and pathological processes. This study aimed to explore the role of ferroptosis in chronic intermittent hypoxia (CIH)-induced liver injury as well as to uncover the underlying mechanisms using a CIH rat model.
Methods
Fourteen male Sprague-Dawley rats were randomly allocated to either the normal control (NC) (n = 7) or the CIH group (n = 7). Rats were exposed to intermittent hypoxia for 8 weeks in CIH group. Liver function, histological changes, and markers of oxidative stress were evaluated. The protein levels of hypoxia-inducible factor-1α, nuclear factor E2-related factor 2 (Nrf2), Acyl-CoA synthetase long-chain family member 4 (ACSL4), and glutathione peroxidase 4 (GPX4) in liver were examined by Western blot analysis.
Results
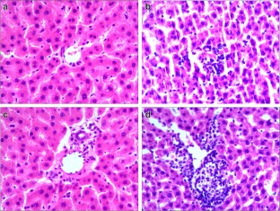
CIH treatment caused significant increase of serum alanine aminotransferase, aspartate aminotransferase, and malondialdehyde (MDA). Liver MDA was significantly higher in CIH group than that in NC group. Histology showed that CIH treatment induced discernible swelled, disordered hepatocytes, necrosis, and infiltrated inflammatory cells. CIH treatment significantly reduced the expression of GPX4, while markedly up-regulated expression of ACSL4, indicating elevation in hepatic ferroptosis. In addition, the protein expression of Nrf2 in CIH group was significantly lower than that in NC group.
Conclusions
Ferroptosis played a crucial role in CIH-induced liver injury. The hepatic ferroptosis in CIH rat model might be mediated by the dysregulation of Nrf2. This highlights a potential therapeutic target for the treatment of OSA-related liver injury.





References
Young T, Palta M, Dempsey J, Skatrud J, Weber S, Badr S (1993) The occurrence of sleep-disordered breathing among middle-aged adults. N Engl J Med 328:1230–1235
Floras JS (2018) Sleep apnea and cardiovascular disease: an enigmatic risk factor. Circ Res 122:1741–1764
Reutrakul S, Mokhlesi B (2017) Obstructive sleep apnea and diabetes: a state of the art review. Chest 152:1070–1086
Musso G, Cassader M, Olivetti C, Rosina F, Carbone G, Gambino R (2013) Association of obstructive sleep apnoea with the presence and severity of non-alcoholic fatty liver disease. Obes Rev 14:417–431
Savransky V, Bevans S, Nanayakkara A, Li J, Smith PL, Torbenson MS, Polotsky VY (2007) Chronic intermittent hypoxia causes hepatitis in a mouse model of diet-induced fatty liver. Am J Physiol Gastrointest Liver Physiol 293:G871–G877
Savransky V, Nanayakkara A, Vivero A, Li J, Bevans S, Smith PL, Torbenson MS, Polotsky VY (2007) Chronic intermittent hypoxia predisposes to liver injury. Hepatology 45:1007–1013
Lin QC, Chen LD, Chen GP, Zhao JM, Chen X, Huang JF, Wu LH (2015) Association between nocturnal hypoxia and liver injury in the setting of nonalcoholic fatty liver disease. Sleep and Breathing 19:273–280
Dixon SJ, Lemberg KM, Lamprecht MR, Skouta R, Zaitsev EM, Gleason CE, Patel DN, Bauer AJ, Cantley AM, Yang WS, Morrison B 3rd, Stockwell BR (2012) Ferroptosis: an iron-dependent form of nonapoptotic cell death. Cell 149:1060–1072
Stockwell BR, Friedmann Angeli JP, Bayir H, Bush AI, Conrad M, Dixon SJ, Fulda S, Gascon S, Hatzios SK, Kagan VE, Noel K, Jiang X, Linkermann A, Murphy ME, Overholtzer M, Oyagi A, Pagnussat GC, Park J, Ran Q, Rosenfeld CS, Salnikow K, Tang D, Torti FM, Torti SV, Toyokuni S, Woerpel KA, Zhang DD (2017) Ferroptosis: a regulated cell death Nexus linking metabolism, redox biology, and disease. Cell 171:273–285
Xie Y, Hou W, Song X, Yu Y, Huang J, Sun X, Kang R, Tang D (2016) Ferroptosis: process and function. Cell Death Differ 23:369–379
Mirrakhimov AE, Polotsky VY (2012) Obstructive sleep apnea and non-alcoholic fatty liver disease: is the liver another target? Front Neurol 3:149
Fang X, Wang H, Han D, Xie E, Yang X, Wei J, Gu S, Gao F, Zhu N, Yin X, Cheng Q, Zhang P, Dai W, Chen J, Yang F, Yang HT, Linkermann A, Gu W, Min J, Wang F (2019) Ferroptosis as a target for protection against cardiomyopathy. Proc Natl Acad Sci U S A 116:2672–2680
Ding W, Zhang Q, Dong Y, Ding N, Huang H, Zhu X, Hutchinson S, Gao X, Zhang X (2016) Adiponectin protects the rats liver against chronic intermittent hypoxia induced injury through AMP-activated protein kinase pathway. Sci Rep 6:34151
Savransky V, Reinke C, Jun J, Bevans-Fonti S, Nanayakkara A, Li J, Myers AC, Torbenson MS, Polotsky VY (2009) Chronic intermittent hypoxia and acetaminophen induce synergistic liver injury in mice. Exp Physiol 94:228–239
Vatansever E, Surmen-Gur E, Ursavas A, Karadag M (2011) Obstructive sleep apnea causes oxidative damage to plasma lipids and proteins and decreases adiponectin levels. Sleep and Breathing 15:275–282
Chen Q, Chen LD, Chen MX, Wu YH, Zeng HX, Hu MF, Zhang WL, Zheng YF, Lin QC (2019) The effect of continuous positive airway pressure on circulating malondialdehyde among obstructive sleep apnea patients: a meta-analysis. Sleep and Breathing. https://doi.org/10.1007/s11325-019-01998-x
Friedmann Angeli JP, Schneider M, Proneth B, Tyurina YY, Tyurin VA, Hammond VJ, Herbach N, Aichler M, Walch A, Eggenhofer E, Basavarajappa D, Radmark O, Kobayashi S, Seibt T, Beck H, Neff F, Esposito I, Wanke R, Forster H, Yefremova O, Heinrichmeyer M, Bornkamm GW, Geissler EK, Thomas SB, Stockwell BR, O'Donnell VB, Kagan VE, Schick JA, Conrad M (2014) Inactivation of the ferroptosis regulator Gpx4 triggers acute renal failure in mice. Nat Cell Biol 16:1180–1191
Linkermann A, Skouta R, Himmerkus N, Mulay SR, Dewitz C, De Zen F, Prokai A, Zuchtriegel G, Krombach F, Welz PS, Weinlich R, Vanden Berghe T, Vandenabeele P, Pasparakis M, Bleich M, Weinberg JM, Reichel CA, Brasen JH, Kunzendorf U, Anders HJ, Stockwell BR, Green DR, Krautwald S (2014) Synchronized renal tubular cell death involves ferroptosis. Proc Natl Acad Sci U S A 111:16836–16841
Li W, Feng G, Gauthier JM, Lokshina I, Higashikubo R, Evans S, Liu X, Hassan A, Tanaka S, Cicka M, Hsiao HM, Ruiz-Perez D, Bredemeyer A, Gross RW, Mann DL, Tyurina YY, Gelman AE, Kagan VE, Linkermann A, Lavine KJ, Kreisel D (2019) Ferroptotic cell death and TLR4/Trif signaling initiate neutrophil recruitment after heart transplantation. J Clin Invest 129:2293–2304
Yamada N, Karasawa T, Wakiya T, Sadatomo A, Ito H, Kamata R, Watanabe S, Komada T, Kimura H, Sanada Y, Sakuma Y, Mizuta K, Ohno N, Sata N, Takahashi M (2020) Iron overload as a risk factor for hepatic ischemia-reperfusion injury in liver transplantation: potential role of ferroptosis. Am J Transplant Off J Am Soc Transplant Am Soc Transplant Surg. https://doi.org/10.1111/ajt.15773
Li Y, Feng D, Wang Z, Zhao Y, Sun R, Tian D, Liu D, Zhang F, Ning S, Yao J, Tian X (2019) Ischemia-induced ACSL4 activation contributes to ferroptosis-mediated tissue injury in intestinal ischemia/reperfusion. Cell Death Differ 26:2284–2299
Sun X, Ou Z, Chen R, Niu X, Chen D, Kang R, Tang D (2016) Activation of the p62-Keap1-NRF2 pathway protects against ferroptosis in hepatocellular carcinoma cells. Hepatology 63:173–184
Dodson M, Castro-Portuguez R, Zhang DD (2019) NRF2 plays a critical role in mitigating lipid peroxidation and ferroptosis. Redox Biol 23:101107
Liu N, Lin X, Huang C (2020) Activation of the reverse transsulfuration pathway through NRF2/CBS confers erastin-induced ferroptosis resistance. Br J Cancer 122:279–292
Shin D, Kim EH, Lee J, Roh JL (2018) Nrf2 inhibition reverses resistance to GPX4 inhibitor-induced ferroptosis in head and neck cancer. Free Radic Biol Med 129:454–462
Zhou L, Ouyang R, Luo H, Peng Y, Chen P, Ren S, Liu G (2018) Dysfunction of Nrf2-ARE signaling pathway: potential pathogenesis in the development of neurocognitive impairment in patients with moderate to severe obstructive sleep apnea-hypopnea syndrome. Oxidative Med Cell Longev 2018:3529709
Zhou S, Yin X, Zheng Y, Miao X, Feng W, Cai J, Cai L (2014) Metallothionein prevents intermittent hypoxia-induced cardiac endoplasmic reticulum stress and cell death likely via activation of Akt signaling pathway in mice. Toxicol Lett 227:113–123
Sun W, Yin X, Wang Y, Tan Y, Cai L, Wang B, Cai J, Fu Y (2012) Intermittent hypoxia-induced renal antioxidants and oxidative damage in male mice: hormetic dose response. Dose-response : a publication of International Hormesis Society 11:385–400
Huang H, Zhang X, Ding N, Li Q, Min Y, Zhang X (2012) Effects of chronic intermittent hypoxia on genioglossus in rats. Sleep and Breathing 16:505–510
Chen LD, Chen Q, Lin XJ, Chen QS, Huang YZ, Wu RH, Lin GF, Huang XY, Lin QC (2019) Effect of chronic intermittent hypoxia on gene expression profiles of rat liver: a better understanding of OSA-related liver disease. Sleep and Breathing. https://doi.org/10.1007/s11325-019-01987-0
Chen LD, Lin L, Zhang LJ, Zeng HX, Wu QY, Hu MF, Xie JJ, Liu JN (2018) Effect of continuous positive airway pressure on liver enzymes in obstructive sleep apnea: a meta-analysis. Clin Respir J 12:373–381
Funding
This work was supported by National Natural Science Foundation of China (81870074), National Natural Science Foundation of China (81900088), and Startup Fund for scientific research from Fujian Medical University (2017XQ1117).
Author information
Authors and Affiliations
Corresponding author
Ethics declarations
Ethics statement
All applicable international, national, and/or institutional guidelines for the care and use of animals were followed.
Conflict of interest
The authors declare that they have no conflict of interest.
Additional information
Publisher’s note
Springer Nature remains neutral with regard to jurisdictional claims in published maps and institutional affiliations.
Rights and permissions
About this article
Cite this article
Chen, LD., Wu, RH., Huang, YZ. et al. The role of ferroptosis in chronic intermittent hypoxia-induced liver injury in rats. Sleep Breath 24, 1767–1773 (2020). https://doi.org/10.1007/s11325-020-02091-4
Received:
Revised:
Accepted:
Published:
Issue Date:
DOI: https://doi.org/10.1007/s11325-020-02091-4