Skip to main content

A case of tophaceous pseudogout of the temporomandibular joint extending into the cranium

Abstract

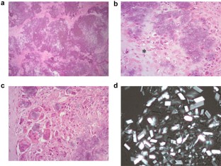
A case of tophaceous pseudogout (i.e., calcium pyrophosphate dihydrate crystal deposition disease) in the temporomandibular joint (TMJ) extending into the cranium is reported. A 59-year-old woman was referred to hospital with swelling and pain in the left cheek, and with trismus. Computed tomography imaging revealed a large, granular, calcified mass surrounding the left condylar head, partly destroying the cortex of the condylar head, and extending into the cranium by destroying the glenoid fossa. Magnetic resonance imaging revealed that the soft-tissue mass was of low-signal intensity on T1- and T2-weighted images, and was enhanced after intravenous injection of gadolinium. The mass was clinically and radiographically suspected to be a neoplastic lesion or a synovial osteochodromatosis. However, histological analysis demonstrated that the mass contained granulomatous lesion due to multiple nodular deposits of numerous rod-shaped and rhomboid crystals, which verified the diagnosis of tophaceous pseudogout. The lesion was excised surgically using a preauricular approach. Neither radiographic nor clinical examination demonstrated any signs of mass recurrence in the long-term 8- and 14-year postoperative recall examinations. Tophaceous pseudogout is a rare benign arthropathy that presents with clinical and radiographic features mimicking neoplastic conditions of the TMJ. Therefore, it is recommended that tophaceous pseudogout is considered in the differential diagnosis when a calcified mass lesion of the TMJ is encountered.

This is a preview of subscription content, access via your institution.

Fig. 1
Fig. 2
Fig. 3
Fig. 4

References

  1. McCarty DJ, Kohn NN, Faires JS. The significance of calcium phosphate crystals in the synovial fluid of arthritic patients: the “pseudogout syndrome” I. Clin Asp Ann Intern Med. 1962;56:711–37.

    Article  Google Scholar 

  2. Canhao H, Fonseca JE, Leandro MJ, Romeu JC, Pimentão JB, Costa JT, et al. Cross-sectional study of 50 patients with calcium pyrophosphate dihydrate crystal arthropathy. Clin Rheumatol. 2001;20:119–22.

    Article  Google Scholar 

  3. Scott JT. Copeman’s textbook of the rheumatic diseases. 5th ed. Edinburgh: Churchill Livingstone; 1978.

    Google Scholar 

  4. Resnick D. Calcium pyrophosphate dihydrate (CPPD) crystal deposition disease. In: Hotokezaka Y, editor. Diagnosis of bone and joint disorders. 4th ed. Philadelphia: WB Saunders; 2002.

    Google Scholar 

  5. Pritzker KP, Phillips H, Luk SC, Koven IH, Kiss A, Houpt JB. Pseudotumor of temporomandibular joint: destructive calcium pyrophosphate dihydrate arthropathy. J Rheumatol. 1976;3:70–81.

    PubMed  Google Scholar 

  6. Sissons HA, Steiner GC, Bonar F, May M, Rosenberg ZS, Samuels H, et al. Tumoral calcium pyrophosphate deposition disease. Skelet Radiol. 1989;18:79–877.

    Article  Google Scholar 

  7. Ishida T, Dorfman HD, Bullough PG. Tophaceous pseudogout (tumoral calcium pyrophosphate dihydrate crystal deposition disease). Hum Pathol. 1995;26:587–93.

    Article  Google Scholar 

  8. Abdelsayed RA, Said-Al-Naief N, Salguerio M, Holmes J, El-Mofty SK. Tophaceous pseudogout of the temporomandibular joint: a series of 3 cases. Oral Surg Oral Med Oral Pathol Oral Radiol. 2014;117:369–75.

    Article  Google Scholar 

  9. Grant GA, Wener MH, Yaziji H, Futran N, Bronner MP, Mandel N, et al. Destructive tophaceous calcium hydroxyapatite tumor of the infratemporal fossa. Case report and review of the literature. J Neurosurg. 1999;90:148–52.

    Article  Google Scholar 

  10. Steinbach LS, Resnick D. Calcium pyrophosphate dihydrate crystal deposition disease revisited. Radiology. 1996;200:1–9.

    Article  Google Scholar 

  11. Marsot-Dupuch K, Smoker WR, Gentry LR, Cooper KA. Massive calcium pyrophosphate dihydrate crystal deposition disease: a cause of pain of the temporomandibular joint. AJNR Am J Neuroradiol. 2004;25:876–9.

    PubMed  Google Scholar 

  12. Kurihara K, Mizuseki K, Saiki T, Wakisaka H, Maruyama S, Sonobe J. Tophaceous pseudogout of the temporomandibular joint: report of a case. Pathol Int. 1997;47:578–80.

    Article  Google Scholar 

  13. Nakagawa Y, Ishibashi K, Kobayashi K, Westesson PL. Calcium pyrophosphate deposition disease in the temporomandibular joint: report of two cases. J Oral Maxillofac Surg. 1999;57:1357–63.

    Article  Google Scholar 

  14. Nardini-Guarda L, Piccoti F, Ferronato G, Manfredini D. Synovial chondromatosis of the temporomandibular joint: a case description with systematic literature review. Int J Oral Maxillofac Surg. 2010;39:745–55.

    Article  Google Scholar 

  15. Kudoh K, Kudoh T, Tsuru K, Miyamoto Y. A case of tophaceous pseudogout of the temporomandibular joint extending to the base of the skull. Int J Oral Maxillofac Surg. 2017;46:355–9.

    Article  Google Scholar 

  16. Hutton CW, Doherty M, Dieppe PA. Acute pseudogout of the temporomandibular joint: a report of three cases and review of the literature. Br J Rheumatol. 1987;26:51–2.

    Article  Google Scholar 

  17. Aoyama S, Kino K, Amagasa T, Kayano T, Ichinose S, Kimijima Y. Differential diagnosis of calcium pyrophosphate dihydrate deposition of the temporomandibular joint. Br J Oral Maxillofac Surg. 2000;38:550–3.

    Article  Google Scholar 

  18. Nicholas BD, Smith JL 2nd, Kellman RM. Calcium pyrophosphate deposition of the temporomandibular joint with massive bony erosion. J Oral Maxillofac Surg. 2007;65:2086–9.

    Article  Google Scholar 

  19. Smolka W, Eggensperger N, Stauffer-Brauch EJ, Brekenfeld C, Iizuka T. Calcium pyrophosphate dihydrate crystal deposition disease of the temporomandibular joint. Oral Dis. 2005;11:104–8.

    Article  Google Scholar 

  20. Cottrell DA, Nierzwicki BL, Jacob GA, Lazow SK. Nontender mass in the parotid region. J Oral Maxillofac Surg. 2002;60:912–7.

    Article  Google Scholar 

Download references

Acknowledgements

This work was supported by research grants from Japanese Grant-in-Aid for Scientific Research (C) 16K11511 to Y.H., Japanese Grant-in-Aid for Scientific Research (C) 17K11943 to H.H., and Japanese Grant-in-Aid for Scientific Research (C) 19K10317 to I.K.

Author information

Affiliations

Authors

Corresponding author

Correspondence to Ikuo Katayama.

Ethics declarations

Conflict of interest

All authors declare that they have no conflict of interest.

Ethical approval

We obtained consent from the patient in this case report.

Human rights statements

All procedures followed were in accordance with the ethical standards of the responsible committee on human experimentation (institutional and national) and with the Helsinki Declaration of 1964 and later versions.

Informed consent

Informed consent was obtained from the patient for being included in the study.

Additional information

Publisher's Note

Springer Nature remains neutral with regard to jurisdictional claims in published maps and institutional affiliations.

Rights and permissions

Reprints and Permissions

About this article

Verify currency and authenticity via CrossMark

Cite this article

Hotokezaka, Y., Hotokezaka, H., Katayama, I. et al. A case of tophaceous pseudogout of the temporomandibular joint extending into the cranium. Oral Radiol 36, 203–208 (2020). https://doi.org/10.1007/s11282-019-00410-4

Download citation

  • Received:

  • Accepted:

  • Published:

  • Issue Date:

  • DOI: https://doi.org/10.1007/s11282-019-00410-4

Keywords

  • Tophaceous pseudogout
  • Temporomandibular joint
  • Calcium pyrophosphate dihydrate