Skip to main content

Assessment of prevalence and volumetric estimation of possible Stafne bone concavities on cone beam computed tomography images

Abstract

Objectives

Our study aimed to determine the prevalence and volumetric estimates of Stafne bone cavities (SBC) on cone beam computed tomography (CBCT) images.

Methods

This retrospective study, which involved the CBCT images of 1141 men and 1260 women with an age range of 10–90 years, aimed to determine the prevalence of SBCs and to calculate their volumes using the semi-automatic segmentation method.

Results

A total of 15 SBCs were diagnosed in 14 patients. Among the detected SBCs, 7.14% were found in a female patient and 92.86% were found in 13 male patients. Of the total number of SBCs, 6.67% were anteriorly located and 93.33% were posteriorly located. Bilateral SBCs had a prevalence of 0.04%; unilateral posterior SBCs 0.54% and anterior SBCs 0.04%. The mean SBC volume was calculated as 338.05 mm3.

Conclusions

The results of our study showed that SBC is a rare anomaly. In contrast to two-dimensional imaging techniques, CBCT allows a precise determination of SBCs’ pattern of impact on adjacent bony structures, relationship with the mandibular canal and dimensions.

This is a preview of subscription content, access via your institution.

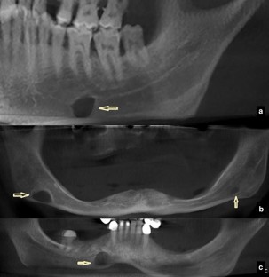
Fig. 1
Fig. 2
Fig. 3
Fig. 4

References

  1. Stafne EC. Bone cavities situated near the angle of the mandible. J Am Dent Assoc. 1942;29:1969–72.

    Article  Google Scholar 

  2. Turkoglu K, Orhan K. Stafne bone cavity in the anterior mandible. J Craniofac Surg. 2010;21:1769–75.

    Article  Google Scholar 

  3. Philipsen H, Takata T, Reichart P, Sato S, Suei Y. Lingual and buccal mandibular bone depressiones: a review based on 583 cases from a worldwide literature survey, including 69 new cases from Japan. Dentomaxillofac Radiol. 2002;31:281–90.

    Article  Google Scholar 

  4. Grellner T, Frost D, Brannon R. Lingual mandibular bone defect: report of three cases. J Oral Maxillofac Surg. 1990;48:288–96.

    Article  Google Scholar 

  5. Barrer G. Xeroradiography in relation to a Stafne bone cavity. Br J Oral Maxillofac Surg. 1988;26:32–5.

    Article  Google Scholar 

  6. Correll RW, Jensen JL, Rhyne RR. Lingual cortical mandibular defects: a radiographic incidence study. Oral Surg Oral Med Oral Pathol. 1980;50:287–91.

    Article  Google Scholar 

  7. Gómez CQ, Castellón EV, Aytés LB, Gay EC. Stafne bone cavity: a retrospective study of 11 cases. Med Oral Patol Oral Cir Bucal. 2006;11:E277–280.

    Google Scholar 

  8. Siniscalchi EN, Minutoli F, Catalfamo L, Romano F, Longo M, De Ponte FS. Intraosseous mandibular artero-venous malformations: case report. J Craniomaxillofac Surg. 2009;37:106–9.

    Article  Google Scholar 

  9. Colbert S, Brennan PA, Theaker J, Evans B. Squamous cell carcinoma arising in dentigerous cysts. J Craniomaxillofac Surg. 2012;40:355–7.

    Article  Google Scholar 

  10. Pirklbauer K, Kozakowski N, Russmueller G, Ewers R, Klug C. Manifestation of an ameloblastic carcinoma ten years after follicular cyst enucleation in the mandibular ramus. J Craniomaxillofac Surg. 2012;40:362–5.

    Article  Google Scholar 

  11. Lam EW, Dolan KD, Ruprecht A, Frank JA. Osteomyelitis of the mandible simulating a Stafne mandibular cortical defect. Ann Otol Rhinol Laryngol. 1994;103(6):490–4.

    Article  Google Scholar 

  12. Dielert E, Meister P. Die statische (latente) Knochenhöhle—Ein Beitrag anhand von drei eigenen Fällen zur ungeklärten Ätiologie. Dtsch Zahnärztl Z. 1978;33:396–400.

    PubMed  Google Scholar 

  13. Friedrich RE, Zustin J, Scheuer HA, Assaf AT, Gröbe A. A unilateral basal bone defect of the mandible occupied by fatty tissue: Stafne’s cavity. In Vivo. 2012;26:1045–8.

    PubMed  Google Scholar 

  14. Dereci O, Duran S. Intraorally exposed anterior Stafne bone defect: a case report. Oral Surg Oral Med Oral Pathol Oral Radiol. 2012;113:e1–3.

    Article  Google Scholar 

  15. Probst FA, Probst M, Maistreli IZ, Otto S, Troeltzsch M. Imaging characteristics of a Stafne bone cavity—panoramic radiography, computed tomography and magnetic resonance imaging. Oral Maxillofac Surg. 2014;18:351–3.

    Article  Google Scholar 

  16. Blessmann Weber JB, de Menezes Macedo L, Azeredo F, Lessa Filho LS. Volumetric assessment of alveolar clefts: a literature review. J Oral Pathol Med. 2017;46:569–73.

    Article  Google Scholar 

  17. Cotti E. Advanced techniques for detecting lesions in bone. Dent Clin N Am. 2010;54:215–35.

    Article  Google Scholar 

  18. Koç A, Kavut İ, Uğur M. Assessment of buccal bone thickness in the anterior maxilla: a cone beam computed tomography study. Cumhuriyet Dent J. 2019;22:102–7.

    Article  Google Scholar 

  19. Adisen MZ, Yilmaz S, Misirlioglu M, Atil F. Evaluation of volumetric measurements on CBCT images using Stafne bone cavities as an example. Med Oral Patol Oral Cir Bucal. 2015;20:e580–586.

    Article  Google Scholar 

  20. Sisman Y, Miloglu O, Sekerci AE, Yilmaz AB, Demirtas O, Tokmak TT. Radiographic evaluation on prevalence of Stafne bone defect: a study from two centres in Turkey. Dentomaxillofac Radiol. 2012;41:152–8.

    Article  Google Scholar 

  21. Assaf AT, Solaty M, Zrnc TA, Fuhrmann AW, Scheuer H, Heiland M. Prevalence of Stafne's bone cavity—retrospective analysis of 14,005 panoramic views. In Vivo. 2014;28:1159–64.

    PubMed  Google Scholar 

  22. Schneider T, Filo K, Locher MC, Gander T, Metzler P, Grätz KW. Stafne bone cavities: systematic algorithm for diagnosis derived from retrospective data over a 5-year period. Br J Oral Maxillofac Surg. 2014;52:369–74.

    Article  Google Scholar 

  23. Avsever H, Kurt H, Suer TB, Ozgedik HS. Stafne bone cavity: a retrospective panoramic evaluation on prevalence in Turkish subpopulation. J Exp Integr Med. 2015;5(2):89–92.

    Article  Google Scholar 

  24. Hansson LG. Development of a lingual mandibular bone cavity in an 11-year-old boy. Oral Surg Oral Med Oral Pathol. 1980;49:376–8.

    Article  Google Scholar 

  25. Ariji E, Fujiwara N, Tabata O, Nakayama E, Kanda S, Shiratsuchi Y, et al. Stafne's bone cavity: classification based on outline and content determined by computer tomography. Oral Surg Oral Med Oral Pathol. 1993;76:375–80.

    Article  Google Scholar 

  26. Branstetter BF, Weissman JL, Sheldon BK. Imaging of a Stafne bone cavity: what MR adds and why a new name is needed. Am J Neuroradiol. 1999;20:587–9.

    PubMed  Google Scholar 

  27. Mauprivez C, Sahli Amor M, Khonsari RH. Magnetic resonance sialography of bilateral Stafne bone cavities. J Oral Maxillofac Surg. 2015;73:934.e1–7.

    Article  Google Scholar 

  28. Lee JI, Kang SJ, Jeon SP, Sun H. Stafne bone cavity of the mandible. Arch Craniofac Surg. 2016;17(3):162–4.

    Article  Google Scholar 

  29. Minowa K, Inoue N, Izumiyama Y, Ashikaga Y, Chu B, Maravilla KR, et al. Static bone cavity of the mandible: computed tomography findings with histopathologic correlation. Acta Radiol. 2006;47:705–9.

    Article  Google Scholar 

  30. Hisatomi M, Munhoz L, Asaumi J, Arita ES. Stafne bone defects radiographic features in panoramic radiographs: assessment of 91 cases. Med Oral Patol Oral Cir Bucal. 2019;24(1):e12–19.

    PubMed  Google Scholar 

  31. Kim H, Seok JY, Lee S, An J, Kim NR, Chung DH, et al. Bilateral Stafne bone cavity in the anterior mandible with heterotopic salivary gland tissue: a case report. Korean J Pathol. 2014;48(3):248–9.

    Article  Google Scholar 

  32. Griffa A, Zavattero E, Passalacqua F, Berrone S. Anterior Stafne bone defect mimicking an odontogenic cyst. J Craniofac Surg. 2014;25:1126–8.

    Article  Google Scholar 

  33. Taysi M, Ozden C, Cankaya B, Olgac V, Yıldırım S. Stafne bone defect in the anterior mandible. Dentomaxillofac Radiol. 2014;43(7):20140075.

    Article  Google Scholar 

  34. Ozaki H, Ishikawa S, Kitabatake K, Yusa K, Tachibana H, Iino M. A case of simultaneous unilateral anterior and posterior Stafne bone defects. Case Rep Dent. 2015;2015:983956.

    PubMed  PubMed Central  Google Scholar 

  35. Deyhimi P, Darisavi S, Khalesi S. Stafne bone cavity with ectopic salivary gland tissue in the anterior of mandible. Dent Res J (Isfahan). 2016;13(5):454–7.

    Article  Google Scholar 

  36. Pires FR, Bruzigueses Espíndola CB, Ferreira Espíndola SH, Netto JNS. Anterior lingual mandibular bone depression: differential diagnosis of periapical inflammatory disorders. Gen Dent. 2018;66(5):e6–11.

    PubMed  Google Scholar 

  37. Simpson W. A Stafne's mandibular defect containing a pleomorphic adenoma: report of case. J Oral Surg. 1965;23:553–6.

    PubMed  Google Scholar 

  38. Pinheiro ML, Yatabe M, Ioshida M, Orlandi L, Dumast P, Trindade-Suedam IK. Volumetric reconstruction and determination of minimum crossectional area of the pharynx in patients with cleft lip and palate: comparison between two different softwares. J Appl Oral Sci. 2018;26:e20170282.

    Article  Google Scholar 

Download references

Author information

Affiliations

Authors

Corresponding author

Correspondence to Alaettin Koç.

Ethics declarations

Conflict of interest

Alaettin Koç, Cennet Neslihan Eroğlu and Ersen Bilgili declare that we have no conflict of interest.

Human rights statements

All procedures followed were in accordance with the ethical standards of the responsible committee on human experimentation (institutional and national) and with the Helsinki Declaration of 1964 and later versions. Informed consent was not needed in the study.

Animal rights

This article does not contain any studies with animal subjects performed by any of the authors.

Additional information

Publisher's Note

Springer Nature remains neutral with regard to jurisdictional claims in published maps and institutional affiliations.

Rights and permissions

Reprints and Permissions

About this article

Verify currency and authenticity via CrossMark

Cite this article

Koç, A., Eroğlu, C.N. & Bilgili, E. Assessment of prevalence and volumetric estimation of possible Stafne bone concavities on cone beam computed tomography images. Oral Radiol 36, 254–260 (2020). https://doi.org/10.1007/s11282-019-00402-4

Download citation

  • Received:

  • Accepted:

  • Published:

  • Issue Date:

  • DOI: https://doi.org/10.1007/s11282-019-00402-4

Keywords

  • Salivary glands
  • Cone beam computed tomography
  • Quantitative evaluation
  • Stafne bone cavity