Skip to main content

Non-contrast computed tomography and magnetic resonance imaging features of mucoepidermoid carcinoma in the salivary glands

Abstract

Background

Use of contrast-enhanced cross-sectional imaging is considered standard practice for investigating mucoepidermoid carcinoma (MEC) in the salivary glands. The purpose of this study was to present the common features of MEC on computed tomography (CT) and magnetic resonance imaging (MRI) without contrast enhancements, and to investigate the possibility of discriminating between MEC and pleomorphic adenoma based on the features observed on both modalities.

Methods

Twenty cases of biopsy-confirmed MEC originating in the salivary glands were reviewed and characterized by two oral and maxillofacial radiologists with regard to the following aspects: detectability, margin, border, encapsulation, content, contrast between lesion and masticator muscle, and bone changes.

Results

Ninety percent of bone changes caused by MEC were detected by CT and sixty-nine percent of tumor existences were detected by MRI. The lesion border could provide a clue to distinguish MEC from pleomorphic adenoma.

Conclusions

Observation of MEC features was possible by both CT and MRI. Among the features, the lesion border could be a clue to distinguish MEC from pleomorphic adenoma.

This is a preview of subscription content, access via your institution.

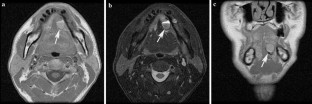
Fig. 1
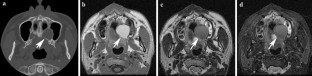
Fig. 2
Fig. 3
Fig. 4

References

  1. Ritwik P, Cordell KG, Brannon RB. Minor salivary gland mucoepidermoid carcinoma in children and adolescents: a case series and review of the literature. J Med Case Rep. 2012;6:182.

    Article  PubMed  PubMed Central  Google Scholar 

  2. Som PM, Brandwein MS. Salivary glands: anatomy and pathology. In: Som PM, Curtin HD, editors. Head and neck imaging. 4th ed. St. Louis: Mosby; 2003. pp. 2088–90.

    Google Scholar 

  3. Kato H, Kanematsu M, Makita H, Kato K, Hatakeyama D, Shibata T, et al. CT and MR imaging findings of palatal tumors. Eur J Radiol. 2014;83:e137–e46.

    Article  PubMed  Google Scholar 

  4. Mandelblatt SM, Braun IF, Davis PC, Fry SM, Jacobs LH, Hoffman JC Jr. Parotid masses: MR imaging. Radiology 1987;163:411–4.

    Article  PubMed  Google Scholar 

  5. Casselman JW, Mancuso AA. Major salivary gland masses: comparison of MR imaging and CT. Radiology. 1987;165:183–9.

    Article  PubMed  Google Scholar 

  6. Jansisyanont P, Blanchaert RH Jr, Ord RA. Intraoral minor salivary gland neoplasm: a single institution experience of 80 cases. Int J Oral Maxillofac Surg. 2002;31:257–61.

    Article  PubMed  Google Scholar 

  7. Goode RK, Auclair PL, Ellis GL. Mucoepidermoid carcinoma of the major salivary glands: clinical and histopathologic analysis of 234 cases with evaluation of grading criteria. Cancer. 1998;82:1217–24.

    Article  PubMed  Google Scholar 

  8. Spiro RH. The management of salivary neoplasms: an overview. Auris Nasus Larynx. 1985;12(Suppl 2):S122–7.

    Article  PubMed  Google Scholar 

  9. Kakimoto N, Gamoh S, Tamaki J, Kishino M, Murakami S, Furukawa S. CT and MR images of pleomorphic adenoma in major and minor salivary glands. Eur J Radiol 2009;69:464–72.

    Article  PubMed  Google Scholar 

Download references

Author information

Affiliations

Authors

Corresponding author

Correspondence to Shoko Gamoh.

Ethics declarations

Conflict of interest

Shoko Gamoh, Hironori Akiyama, Kaname Tsuji, Tetsuro Nakazawa, Shosuke Morita, Akio Tanaka, and Kimishige Shimizutani declare that they have no conflict of interest.

Human rights statement and informed consent

All procedures followed were in accordance with the ethical standards of the responsible committee on human experimentation (institutional and national) and with the Helsinki Declaration of 1964 and later versions. Informed consent was obtained from all patients for being included in the study.

Rights and permissions

Reprints and Permissions

About this article

Verify currency and authenticity via CrossMark

Cite this article

Gamoh, S., Akiyama, H., Tsuji, K. et al. Non-contrast computed tomography and magnetic resonance imaging features of mucoepidermoid carcinoma in the salivary glands. Oral Radiol 34, 24–30 (2018). https://doi.org/10.1007/s11282-017-0281-0

Download citation

  • Received:

  • Accepted:

  • Published:

  • Issue Date:

  • DOI: https://doi.org/10.1007/s11282-017-0281-0

Keywords

  • CT
  • MRI
  • Non-contrast image-based diagnosis
  • Mucoepidermoid carcinoma
  • Differential diagnosis