Skip to main content

Characterization of a new cry2Ab gene of Bacillus thuringiensis with high insecticidal activity against Plutella xylostella L.

Abstract

Bacillus thuringiensis (Bt) strain FJAT-12 was a novel Bt strain isolated by Agricultural Bio-Resources Institute, Fujian Academy of Agricultural Science. In this study, a new cry2Ab gene was cloned from Bt strain FJAT-12 and named as cry2Ab30 by Bt delta-endotoxin Nomenclature Committee. The sequencing results showed there were two mutations in conservative sites which led to two amino acids modification. Homology modeling indicated that the two changes were located in β-sheet of Domain II. A prokaryotic expression vector pET30a-cry2Ab30 was constructed and the expressed protein was analyzed by western blot using Cry2Ab antibody. The expression conditions including IPTG concentration, revolution and temperature were optimized to get the highest expression level by SDS-PAGE and BandScan. The bioassay results also showed that the Cry2Ab30 toxin had high insecticidal activity against Plutella xylostella and the LC50 value was 0.0103 μg.mL−1. The two mutations in β-sheet of Domain II might contribute to insecticidal activity of Cry2Ab30 toxin against Plutella xylostella.

This is a preview of subscription content, access via your institution.

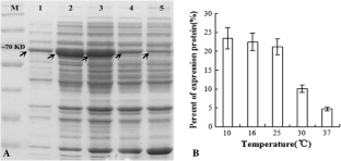
Fig. 1
Fig. 2
Fig. 3
Fig. 4
Fig. 5
Fig. 6
Fig. 7
Fig. 8

References

  • Altschul SF, Gish W, Miller W, Myers EW, Lipman DJ (1990) Basic local alignment search tool. J mmol Biol 215:403–410

    CAS  Article  Google Scholar 

  • Arezumand R, Mahdian R, Behdani M, Khanahmad H, Langari J, Namvarasl N, Hassanzadeh-Ghasabeh R, Zeinali S (2014) Recombinant expression and purification of human placental growth factor 1 and specific camel heavy chain polyclonal antibody preparation. Saudi. J Biol Sci 21:35–39

    CAS  Article  Google Scholar 

  • Bravo A, Gill SS, Soberón M (2007) Mode of action of Bacillus thuringiensis Cry and Cyt toxins and their potential for insect control. Toxicon 49:423–435

    CAS  Article  Google Scholar 

  • Brousseau R, Cygler M (1995) Bacillus thuringiensis CryIA(a) insecticidal toxin: crystal structure and channel formation. J Mol Biol 254:447–464

    Article  Google Scholar 

  • Chen Y, Li Y, Liu P, Sun Q, Liu Z (2014) Optimized expression in Pichia pastoris eliminates common protein contaminants from subsequent His-tag purification. Biotechnol Letters 36:711–718

    CAS  Article  Google Scholar 

  • Contreras E, Schoppmeier M, Real MD, Rausell C (2013) Sodium solute symporter and cadherin proteins act as Bacillus thuringiensis Cry3Ba toxin functional receptors in Tribolium castaneum. J Biol Chem 288:10813–10821

    Article  Google Scholar 

  • De Maagd RA, Bravo A, Crickmore N (2001) How Bacillus thuringiensis has evolved specific toxins to colonize the insect world. Trends Genet 17:193–199

    Article  Google Scholar 

  • Demain AL, Vaishnav P (2009) Production of recombinant proteins by microbes and higher organisms. Biotechnol Adv 27:297–306

    CAS  Article  Google Scholar 

  • Downes S, Parker T, Mahon R (2010) Incipient resistance of Helicoverpa punctigera to the Cry2Ab Bt toxin in Bollgard II cotton. PLoS ONE 59:1–5

    Google Scholar 

  • Drets ME (1978) BANDSCAN–a computer program for on-line linear scanning of human banded chromosomes. Comput Programs Biomed 8:283–294

    CAS  Article  Google Scholar 

  • Elleuch J, Zghal RZ, Jemaà M, Azzouz H, Tounsi S, Jaoua S (2014) New Bacillus thuringiensis toxin combinations for biological control of lepidopteran larvae. Int J Biol Macrommol 65:148–154

    CAS  Article  Google Scholar 

  • Hamdane D, Skouloubris S, Myllykallio H, Golinelli-Pimpaneau B (2010) Expression and purification of untagged and histidine-tagged folate-dependent tRNA: m5U54 methyltransferase from Bacillus subtilis. Protein Expr Purif 73:83–89

    CAS  Article  Google Scholar 

  • Heckel DG, Gahan LJ, Baxter SW, Zhao JZ, Shelton AM, Gould F, Tabashnik BE (2007) The diversity of Bt resistance genes in species of Lepidoptera. J Invertebr Pathol 95:192–197

    CAS  Article  Google Scholar 

  • Hire RS, Makde RD, Dongre TK, D’Souza SF (2008) Characterization of the cry1Ac17 gene from an indigenous strain of Bacillus thuringiensis subsp. kenyae. Curr Microbiol 57:570–574

    CAS  Article  Google Scholar 

  • Husain-Ponnampalam R, Turnbull V, Tarlac V, Storey E (2010) Expression and purification of ataxin-1 protein. J Neurosci Methods 189:30–35

    CAS  Article  Google Scholar 

  • Lailak C, Khaokhiew T, Promptmas C, Promdonkoy B, Pootanakit K, Angsuthanasombat C (2013) Bacillus thuringiensis Cry4Ba toxin employs two receptor-binding loops for synergistic interactions with Cyt2Aa2. Biochem Biophys Res Commun 435:216–221

    CAS  Article  Google Scholar 

  • Li HL, Chen LP, Hu YH, Qin Y, Liang G, Xiong YX, Chen QX (2012) Crocodile oil enhances cutaneous burn wound healing and reduces scar formation in rats. Acad Emerg Med 19:265–273

    Article  Google Scholar 

  • Mahadeva Swamy HM, Asokan R, Arora DK, Nagesha SN, Birah A, Mahmood R (2011) Cloning, characterization and diversity of insecticidal crystal protein genes of Bacillus thuringiensis native isolates from soils of Andaman and Nicobar Islands. Curr Microbiol 63:420–425

    CAS  Article  Google Scholar 

  • Ningshen TJ, Aparoy P, Ventaku VR, Dutta-Gupta A (2013) Functional interpretation of a non-gut hemocoelic tissue aminopeptidase N (APN) in a lepidopteran insect pest Achaea janata. PLoS ONE 8:1–11

    Article  Google Scholar 

  • Pan ZZ, Li HL, Yu XJ, Zuo QX, Zheng GX, Shi Y, Liu X, Lin YM, Liang G, Wang Q, Chen QX (2011) Synthesis and antityrosinase activities of alkyl 3, 4-dihydroxybenzoates. J Agric Food Chem 59:6645–6649

    CAS  Article  Google Scholar 

  • Pan ZZ, Zhu YJ, Chen Z, Ruan CQ, Xu L, Chen QX, Liu B (2013) A protein engineering of Bacillus thuringiensis δ-endotoxin by conjugating with 4″-O-succinoyl abamectin. Int J Biol Macrommol 62:211–216

    CAS  Article  Google Scholar 

  • Pardo-López L, Soberón M, Bravo A (2013) Bacillus thuringiensis insecticidal three-domain Cry toxins: mode of action, insect resistance and consequences for crop protection. FEMS Microbiol Rev 37:3–22

    Article  Google Scholar 

  • Park Y, Kim Y (2014) RNA interference of cadherin gene expression in Spodoptera exigua reveals its significance as a specific Bt target. J Invertebr Pathol 113:285–291

    Google Scholar 

  • Sambrook J, Russell D (2001) mmolecular Cloning: a laboratory manual, vol 3. Cold Spring Harbor Laboratory Press, New York

    Google Scholar 

  • Schnepf HE, Whiteley HR (1981) Cloning and expression of the Bacillus thuringiensis crystal protein gene in Escherichia coli. Proc Natl Acad Sci USA 78:2893–2897

    CAS  Article  Google Scholar 

  • Schnepf E, Crickmore N, Van Rie J, Lereclus D, Baum J, Feitelson J, Zeigler DR, Dean DH (1998) Bacillus thuringiensis and its pesticidal crystal proteins. Microbiol Mol Biol Rev 62:775–806

    CAS  Google Scholar 

  • Sevim A, Eryüzlü E, Demirbağ Z, Demir I (2014) A novel cry2Ab gene from the indigenous isolate Bacillus thuringiensis subsp. kurstaki. J Microbiol Biotechnol 22:133–140

    Article  Google Scholar 

  • Vachon V, Laprade V, Schwartz JL (2012) Current models of the mode of action of Bacillus thuringiensis insecticidal crystal proteins: a critical review. J Invertebr Pathol 111:1–12

    CAS  Article  Google Scholar 

  • Wang FS, Liu YY, Zhang FJ, Chai LJ, Ruan LF, Peng DH, Sun M (2012) Improvement of crystal solubility and increasing toxicity against caenorhabditis elegans by asparagine substitution in block 3 of Bacillus thuringiensis crystal protein Cry5Ba. Appl Environ Microbiol 78:7197–7204

    CAS  Article  Google Scholar 

  • Xue J, Zhou Z, Song F, Shu C, Huang D, Zhang J (2011) Identification of the minimal active fragment of the Cry1Ah toxin. Biotechnol Lett 33:531–537

    CAS  Article  Google Scholar 

Download references

Acknowledgments

The present investigation was supported by the National Natural Science Foundation of China (31371999), the National High Technology Research and Development Program of China (863 Program) (2011AA10A203), the National Natural Science Foundation of China (31370059).

Author information

Affiliations

Authors

Corresponding authors

Correspondence to Qingxi Chen or Bo Liu.

Additional information

Zhizhen Pan, Lian Xu and Yujing Zhu have contribute equally in this work.

Rights and permissions

Reprints and Permissions

About this article

Verify currency and authenticity via CrossMark

Cite this article

Pan, Z., Xu, L., Zhu, Y. et al. Characterization of a new cry2Ab gene of Bacillus thuringiensis with high insecticidal activity against Plutella xylostella L.. World J Microbiol Biotechnol 30, 2655–2662 (2014). https://doi.org/10.1007/s11274-014-1689-x

Download citation

  • Received:

  • Accepted:

  • Published:

  • Issue Date:

  • DOI: https://doi.org/10.1007/s11274-014-1689-x

Keywords

  • Bacillus thuringiensis
  • cry2Ab
  • Cloning
  • Homology modeling
  • Prokaryotic expression
  • Optimization
  • Insecticidal activity