Skip to main content

Molecular detection of the Aeromonas virulence aerolysin gene in retail meats from different animal sources in Egypt

Abstract

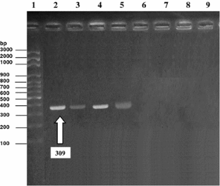
Meat commonly contain the same Aeromonas spp. which occur in human diarrhoeal and non-diarrhoeal faecal samples. Motile Aeromonas were isolated from 5.6% of total 302 samples. The distribution of the isolates were 5.9 and 5.2% in fresh and frozen samples, respectively. Of the 302 samples taken of the four animal meat species investigated, the genus Aeromonas were isolated in 12.3% of the fresh samples collected from buffalo meat, in 6.5% of the samples collected from sheep meat and 14.0% from the samples collected from the cattle frozen meat samples. The camel meat did not reveal any Aeromonas isolates. Aeromonas hydrophila was isolated as the most prevalent species with 6.8%, followed by Aeromonas caviae with 2.7% and Aeromonas sobria with 2.1% from the total meat samples. Aerolysin toxin gene (aerA) was detected in 3/17 isolates of A. hydrophila isolated from contaminated meat. Infection due to bacterial pathogen with such virulent factor through contact with contaminated meat while handling them, poses health hazards to humans.

This is a preview of subscription content, access via your institution.

Fig. 1

References

  • Agarwal RK (1997) Characterization of virulence factors of aeromonads isolated from foods of animal origin, Ph.D. thesis, Deemed University, IVRI, Izatnagar, India

  • Ascencio F, Ljungh A, Wadstrom T (1995) Cell surface properties of the food and water borne pathogen Aeromonas hydrophila when stored in buffered saline solutions. Arch Microbiol 163:366–372

    Article  CAS  Google Scholar 

  • Beuchat LR (1991) Behaviour of Aeromonas species at refrigeration temperatures. Int J Food Microbiol 13:217–224

    Article  CAS  Google Scholar 

  • Bok HE, Holzapfel WH, Odendaal ES, Linde HV (1986) Incidence of foodborne pathogens on retail broilers. Int J Food Microbiol 3:273–285

    Article  Google Scholar 

  • Cahill MM (1990) Virulence factors in motile Aeromonas species. a review. J Appl Bacteriol 69:1–16

    Article  CAS  Google Scholar 

  • Castro-Escarpulli G, Figueras MJ, Aguilera-Arreola G, Soler L, Fernandez-Rendon E, Aparicio GO, Guarro J, Chacón MR (2003) Characterisation of Aeromonas spp. isolated from frozen fish intended for human consumption in Mexico. Int J Food Microbiol 84:41–49

    Article  CAS  Google Scholar 

  • Crivelli C, Demarta A, Peduzzi R (2001) Intestinal secretory immunoglobulin A (sIgA) response to Aeromonas exoproteins in patients with naturally acquired Aeromonas diarrhea. FEMS Immunol Med Microbiol 30:31–35

    Article  CAS  Google Scholar 

  • Daskalov H (2006) The importance of Aeromonas hydrophila in food safety. Food Control 17:474–483

    Article  Google Scholar 

  • Dickinson JH, Kroll RG, Grant KA (1995) The direct application of the polymerase chain reaction to DNA extracted from foods. Lett Appl Microbiol 20:212–216

    Article  CAS  Google Scholar 

  • Elliott RP, Michener HD (1961) Microbiological standards and handling codes for chilled and frozen foods. A review. Appl Microbiol 9:452–468

    CAS  Google Scholar 

  • EPA (2006) Environmental Protection Agency’s (EPA) Office of Water Office of Science and Technology, Office of Water, US EPA under EPA Contract 68-C-02-026 to the Cadmus Group, Inc

  • Euzéby J (2010) List of new names and new combinations previously effectively, but not validly. Published in Int J Sys Evol Microbiol 60:1009–1010. doi:10.1099/ijs.0.024562-0

  • Gobat P, Jemmi T (1993) Distribution of mesophilic Aeromonas species in raw and ready-to-eat fish and meat products in Switzerland. Int J Food Microbiol 20:117–120

    Article  CAS  Google Scholar 

  • Gonzalez-Rodriguez MN, Santos JA, Otero A, Garcia-Lopez ML (2002) PCR detection of potentially pathogenic aeromonads in raw and cold smoked freshwater fish. J Appl Microbiol 93:675–680

    Article  CAS  Google Scholar 

  • Gonzalez-Serrano CJ, Santos JA, Garcıa-Lopez ML, Otero A (2002) Virulence markers in Aeromonas hydrophila and Aeromonas veronii biovar sobria isolates from freshwater fish and from a diarrhoea case. J Appl Microbiol 93:414–419

    Article  CAS  Google Scholar 

  • Havelaar AH, Schets FM, Van Silfhout A, Jansen WH, Wieten G, Van Kooji D (1992) Typing of Aeromonas strains from patients with diarrhoea and from drinking water. J Appl Bacteriol 72:435–444

    Article  CAS  Google Scholar 

  • Heuzenroeder MW, Wong CYF, Flower RLP (1999) Distribution of two haemolytic genes in clinical and environmental isolates of Aeromonas spp.: correlation with virulence in a suckling mouse model. FEMS Microbiol Lett 174:131–136

    Article  CAS  Google Scholar 

  • Hudson JA, Lacy KM (1991) Incidence of motile aeromonads in New Zealand retail foods. J Food Prot 54:696–699

    Google Scholar 

  • Husslein V, Chakraborty T, Carnahan A, Joseph SW (1992) Molecular studies on the aerolysin gene of Aeromonas species and discovery of a species-specific probe for Aeromonas trota species nova. Clin Infect Dis 14:1061–1068

    Article  CAS  Google Scholar 

  • Ibrahim A, Mac Rae IC (1991) Incidence of Aeromonas and Listeria spp. in red meat and milk samples in Brisbane Australia. Int J Food Microbioliol 12:263–270

    Article  CAS  Google Scholar 

  • Isonhood JH, Drake M (2002) Aeromonas species in foods. J Food Prot 65:575–582

    Google Scholar 

  • Janda JM, Abbott SL (2010) The genus Aeromonas: taxonomy, pathogenicity, and infection. Clin Microbiol 23:35–73

    Article  CAS  Google Scholar 

  • Jindal N, Garg SR, Kumar A (1993) Comparison of Aeromonas spp. from human, livestock and poultry faeces. Israel J Vet Med 48:80–83

    Google Scholar 

  • Joseph SW, Carnahan AM (2000) Update on the genus Aeromonas. ASM News 66:218–223

    Google Scholar 

  • Kadim IT, Mahgoub O, Al-Marzooqi W, Al-Zadjali S, Annamalai K, Mansour MH (2006) Effects of age on composition and quality of muscle Longissimus thoracis of the Omani Arabian camel (Camelus dromedaries). Meat Sci 73:619–625

    Article  CAS  Google Scholar 

  • Kayim M (2010) The biochemical parameters having economic importance in sheep and fish meats. J Animal Vet Adv 9:1173–1174

    Article  Google Scholar 

  • Khajanchi BK, Fadl AA, Borchardt MA, Berg RL, Horneman AJ, Stemper ME, Joseph SW, Moyer NP, Sha J, Chopra1 AK (2010) Distribution of virulence factors and molecular fingerprinting of Aeromonas species isolates from water and clinical samples: suggestive evidence of water-to-human transmission. Appl Environ Microbiol 76:2313–2325

    Google Scholar 

  • Khurana R, Kumar A (1997) Prevalence of motile aeromonads in foods of animal origin. J Food Sci Tech 34:228–229

    Google Scholar 

  • Kingombe CJB, Huys G, Tonolla M, Albert MJ, Swings J, Peduzzi R, Jemmi T (1999) PCR detection, characterization and distribution of virulence genes in Aeromonas sp. Appl Environ Microbiol 65:5293–5302

    CAS  Google Scholar 

  • Kirov SM (1993) The public health significance of Aeromonas spp. in foods. Int J Food Microbiol 20:179–198

    Article  CAS  Google Scholar 

  • Kirov SM (1997) Aeromonas and Plesiomonas. In: Doyle MP, Beuchat LR, Montville TJ (eds) Food microbiology: fundamentals and frontiers. ASM Press, Washington DC, pp 265–287

    Google Scholar 

  • Knochel S, Jeppesen NC (1990) Distribution and characteristics of Aeromonas in food and drinking water in Denmark. Int J Food Microbiol 10:318–321

    Google Scholar 

  • Ko WC, Chuang YC (1995) Aeromonas bacteremia: review of 59 episodes. Clin Infect Dis 20:1298–1304

    Article  CAS  Google Scholar 

  • Koca C, Sarimehmetoglu B (2009) Isolation and identification of motile Aeromonas spp. in turkey meat. Ankara Üniversitesi Veteriner Fakültesi Dergisi 56:95–98

    Google Scholar 

  • Kong RYCA, Pelling CL, Wu RSS (1999) Identification of oligonucleotide primers targeted at the 16S–23S rDNA intergenic spacers for genus- and species-specific detection of aeromonads. Marine Poll Bull 38:802–808

    Article  CAS  Google Scholar 

  • Krovacek K, Faris A, Badola SB, Prererz M, Lindberg T, Mansson I (1992) Prevalence and characterization of Aeromonas spp. isolated from foods in Uppsala, Sweden. Food Microbiol 9:29–36

    Article  Google Scholar 

  • Lior H, Johnson WM (1991) Application of the polymerase chain reaction (PCR) to detection of the aerolysin gene in whole cell cultures of β-hemolytic Aeromonas hydrophila. Experientia 47:421–424

    CAS  Google Scholar 

  • Mach N, Bach A, Velarde A, Devant M (2008) Association between animal, transportation, slaughterhouse practices, and meat pH in beef. Meat Sci 78:232–238

    Article  CAS  Google Scholar 

  • Mateos D, Anguita J, Naharro G, Paniagua CJ (1993) Influence of growth temperature on the production of extracellular virulence factors and pathogenicity of environmental and human strains of Aeromonas hydrophila. J Appl Bacteriol 74:111–118

    Article  CAS  Google Scholar 

  • McMullen LM, Stiles ME (1992) Microbial ecology of fresh pork stored under modified atmosphere at −1, 4.4 and 10°C. Int J Food Microbiol 18:1–12

    Article  Google Scholar 

  • Neath KE, Del Barrio AN, Lapitan RM, Herrera JRV, Cruz LLC, Fujihara T, Muroya S, Chikuni K, Hirabayashi M, Kanai Y (2007) Difference in tenderness and pH decline between water buffalo meat and beef during postmortem aging. Meat Sci 75:499–505

    Article  CAS  Google Scholar 

  • Neyts K, Huys G, Uyttendaele M, Swings J, Debevere J (2000) Incidence and identification of mesophilic Aeromonas spp. from retail foods. Lett Appl Microbiol 31:359

    Article  CAS  Google Scholar 

  • Olsen JE (2000) DNA based methods for detection of foodborne bacterial pathogens. Food Res Intern 33:257–266

    Google Scholar 

  • Pin C, Marin ML, Garcia LL, Tormo J, Selgas MD, Casas C (1994) Incidence of motile Aeromonas spp. in foods. Microbiología Sem 10:257–262

    CAS  Google Scholar 

  • Pollard DR, Johnson WM, Lior H, Tyler SD, Rozee KR (1990) Detection of the aerolysin gene in Aeromonas hydrophila by the polymerase chain reaction. J Clin Microbiol 28:2477–2481

    CAS  Google Scholar 

  • Porteen K (2004) Detection of Aeromonas from foods by polymerase chain reaction. M.V.Sc. thesis, Deemed University, IVRI, Izatnagar, India

  • Roberts TA, Baird-Parker AC, Tompkin RB (1996) Aeromonas. In Microorganisms in foods 5: microbiological characteristics of food pathogens, International Commission on Microbiological Specifications for Foods. Blackie Academic & Professional, London, pp 5–19

  • Rossi Júnior OD, Nader FA, Amaral LA, Barbosa AM (1996) Occurrence of Aeromonas species in bovine meat commercialized in Jaboticabal, state of São Paulo, and comparative study between isolation media. ARS Veterinária 12:64–73

    Google Scholar 

  • Rossi Júnior OD, Amaral LA, Filho AN, Schocken-Iturrino RP (2006) Bacteria of the genus Aeromonas in different locations throughout the process line of beef slaughtering. Rev Portuguese Ciencias Vet RPCV 101(557–558):125–129

    Google Scholar 

  • Sen K, Rodgers M (2004) Distribution of six virulence factors in Aeromonas species isolated from U.S. drinking water utilities: a PCR identification. J Appl Microbiol 97:1077–1086

    Article  CAS  Google Scholar 

  • Sierra ML, Gonzales-Fandos E, Garcia-Lopez ML, Fernandez MCG, Prieto M (1995) Prevalence of Salmonella, Yersinia, Aeromonas, Campylobacter, and cold-growing Escherichia coli on freshly dressed lamb carcasses. J Food Prot 58:183–1185

    Google Scholar 

  • Surendran D (2002) Detection of Salmonella from foods by polymerase chain reaction. MVSc thesis, Deemed University, IVRI, Izatnagar, India

  • Walker SJ, Brooks J (1993) Survey of the incidence of Aeromonas and Yersinia species in retail foods. Food Control 4:34–40

    Article  Google Scholar 

  • Wang RF, Cao WW, Cerniglia CE (1997) A universal protocol for PCR detection of 13 species of foodborne pathogens in foods. J Appl Microbiol 83:727–736

    Google Scholar 

  • Wang G, Clark CG, Liu C, Pucknell C, Munro CK, Kruk TMAC, Caldeira R, Woodward DL, Rodgers FG (2003) Detection and characterization of the hemolysin genes in Aeromonas hydrophila and Aeromonas sobria by multiplex PCR. J Clin Microbiol 41:1048–1054

    Article  CAS  Google Scholar 

  • Yousr AH, Napis S, Rusul GRA, Son R (2007) Detection of aerolysin and hemolysin genes in Aeromonas spp. isolated from environmental and shellfish sources by polymerase chain reaction. ASEAN Food J 14:115–122

    Google Scholar 

  • Yu HB, Zhang YL, Lau YL, Yao F, Vilches S, Merino S, Tomas JM, Howard SP, Leung KY (2005) Identification and characterization of putative virulence genes and gene clusters in Aeromonas hydrophila PPD134/91. Appl Environ Microbiol 71:4469–4477

    Article  CAS  Google Scholar 

  • Yucel N, Citak S (2003) The occurrence, hemolytic activity and antibiotic susceptibility of motile Aeromonas spp. isolated from meat and milk samples in Turkey. J Food Safety 23:189–200

    Article  CAS  Google Scholar 

Download references

Conflict of interest

The authors declare that they have no conflict of interest.

Author information

Affiliations

Authors

Corresponding author

Correspondence to Kamelia Osman.

Rights and permissions

Reprints and Permissions

About this article

Cite this article

Osman, K., Aly, M., Kheader, A. et al. Molecular detection of the Aeromonas virulence aerolysin gene in retail meats from different animal sources in Egypt. World J Microbiol Biotechnol 28, 1863–1870 (2012). https://doi.org/10.1007/s11274-011-0915-z

Download citation

  • Received:

  • Accepted:

  • Published:

  • Issue Date:

  • DOI: https://doi.org/10.1007/s11274-011-0915-z

Keywords

  • Aeromonas spp
  • Aerolysin toxin gene (aerA)
  • Buffalo
  • Sheep
  • Cattle
  • Camel
  • Meat