Skip to main content

Human cytomegalovirus RL13 gene transcripts in a clinical strain

Abstract

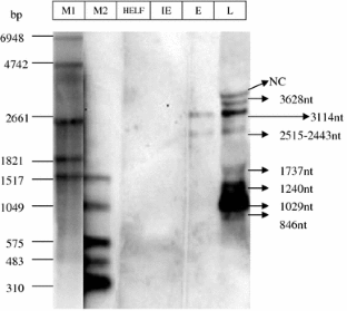
Human cytomegalovirus (HCMV) RL13 gene is a member of the RL11 gene family. To study the expression kinetics and transcript structures of the gene, screening of cDNA library, Northern blot, 3′ and 5′ RACE analyses were performed with a low-passaged clinical strain. The results showed that the RL13 gene was mainly transcribed in the late expression phase with at least seven forms of transcripts of 3628, 3114, 2515–2443, 1737, 1240, 1029 and 846 nt, respectively. All these transcripts were unspliced with an identical 3′ terminal and the same typical polyA signal “AATAAA”. Except for the transcript of 846 nt, RL13 open reading frames (ORFs) were 909 bp and completely identical in all of the transcripts. The sequence of the RL13 ORF in the examined clinical strain had a higher similarity with that of the UL153 ORF in the Towne strain than those of RL13 ORF in any other HCMV strains.

This is a preview of subscription content, access via your institution.

Fig. 1
Fig. 2
Fig. 3
Fig. 4

References

  1. P.D. Griffiths, A.V. Cope, A.F. Hassan-Walker, V.C. Emery, Transpl. Infect. Dis. 1, 179–186 (1999)

    CAS  Article  Google Scholar 

  2. A. Dolan, C. Cunningham, R.D. Hector, A.F. Hassan-Walker, L. Lee, C. Addison, D.J. Dargan, D.J. McGeoch, D. Gatherer, V.C. Emery, P.D. Griffiths, C. Sinzger, B.P. McSharry, G.W.G. Wilkinson, A.J. Davison, J. Gen. Virol. 85, 1301–1312 (2004)

    CAS  Article  Google Scholar 

  3. W. Dunn, C. Chou, H. Li, R. Hai, D. Patterson, V. Stolc, H. Zhu, F.Y. Liu, Proc. Natl. Acad. Sci. USA 100, 14223–14228 (2003)

    CAS  Article  Google Scholar 

  4. D. Yu, M.C. Silva, T. Shenk, Proc. Natl. Acad. Sci. USA 100, 12396–12401 (2003)

    CAS  Article  Google Scholar 

  5. A.J. Davison, P. Akter, C. Cunningham, A. Dolan, C. Addison, D.J. Dargan, A.F. Hassan-Walker, V.C. Emery, P.D. Griffiths, G.W.G. Wilkinson, J. Gen. Virol. 84, 657–663 (2003)

    CAS  Article  Google Scholar 

  6. K. Sekulin, I. Gorzer, D. Heiss-Czedik, E. Puchhanuner-Stockl, Virus Genes 35, 577–583 (2007)

    CAS  Article  Google Scholar 

  7. S. Hitomi, H. KozukaHata, Z. Chen, S. Sugano, N. Yamaguchi, S. Watanabe, Arch. Virol. 142, 1407–1427 (1997)

    CAS  Article  Google Scholar 

  8. B.N. Lilley, H.L. Ploegh, R.S. Tirabassi, J. Virol. 75, 11218–11221 (2001)

    CAS  Article  Google Scholar 

  9. D.J. Alcendor, P.A. Barry, E. Prattlowe, P.A. Luciw, Virology 194, 815–821 (1993)

    CAS  Article  Google Scholar 

  10. A.J. Davison, A. Dolan, P. Akter, C. Addison, D.J. Dargan, D.J. Alcendor, D.J. McGeoch, G.S. Hayward, J. Gen. Virol. 84, 17–28 (2003)

    CAS  Article  Google Scholar 

  11. S.G. Hansen, L.I. Strelow, D.C. Franchi, D.G. Anders, S.W. Wong, J. Virol. 77, 6620–6636 (2003)

    CAS  Article  Google Scholar 

  12. T.A. Cha, E. Tom, G.W. Kemble, G.M. Duke, E.S. Mocarski, R.R. Spaete, J. Virol. 70, 78–83 (1996)

    CAS  PubMed  PubMed Central  Google Scholar 

  13. M.N. Prichard, M.E.T. Penfold, G.M. Duke, R.R. Spaete, G.W. Kemble, Rev. Med. Virol. 11, 191–200 (2001)

    CAS  Article  Google Scholar 

  14. M.S. Chee, A.T. Bankier, S. Beck, R. Bohni, C.M. Brown, R. Cerny, T. Horsnell, C.A. Hutchison, T. Kouzarides, J.A. Martignetti, E. Preddie, S.C. Satchwell, P. Tomlinson, K.M. Weston, B.G. Barrell, Curr. Top. Microbiol. Immunol. 154, 125–169 (1990)

    CAS  PubMed  PubMed Central  Google Scholar 

  15. E. Murphy, I. Rigoutsos, T. Shibuya, T.E. Shenk, Proc. Natl. Acad. Sci. USA 100, 13585–13590 (2003)

    CAS  Article  Google Scholar 

  16. W.A. Bresnahan, T. Shenk, Science 288, 2373–2376 (2000)

    CAS  Article  Google Scholar 

  17. D. Yu, G.A. Smith, L.W. Enquist, T. Shenk, J. Virol. 76, 2316–2328 (2002)

    CAS  Article  Google Scholar 

  18. Y.P. Ma, Q. Ruan, Y.H. Ji, N. Wang, M.L. Li, Y. Qi, R. He, Z.R. Sun, G.W. Ren, Genet. Mol. Res. 10, 566–575 (2011)

    CAS  Article  Google Scholar 

  19. Y. Qi, Y.P. Ma, R. He, N. Wang, Q.A. Ruan, Y.H. Ji, M.L. Li, Z.R. Sun, G.W. Ren, Microbiol. Immunol. 55, 95–99 (2011)

    CAS  Article  Google Scholar 

  20. Z.R. Sun, G.W. Ren, Y.P. Ma, N. Wang, Y.H. Ji, Y. Qi, M.L. Li, R. He, Q. Ruan, J. Biosci. 35, 365–370 (2010)

    CAS  Article  Google Scholar 

  21. R.J. Stanton, K. Baluchova, D.J. Dargan, C. Cunningham, O. Sheehy, S. Seirafian, B.P. McSharry, M.L. Neale, J.A. Davies, P. Tomasec, A.J. Davison, G.W.G. Wilkinson, J. Clin. Invest. 120, 3191–3208 (2010)

    CAS  Article  Google Scholar 

  22. A.R. Fehr, D. Yu, J. Virol. 84, 291–302 (2010)

    CAS  Article  Google Scholar 

  23. D.P. Mitchell, J.P. Savaryn, N.J. Moorman, T. Shenk, S.S. Terhune, J. Virol. 83, 10187–10197 (2009)

    CAS  Article  Google Scholar 

  24. W.D. Rawlinson, B.G. Barrell, J. Virol. 67, 5502–5513 (1993)

    CAS  PubMed  PubMed Central  Google Scholar 

  25. B.A. Wing, E.S. Huang, J. Virol. 69, 1521–1531 (1995)

    CAS  PubMed  PubMed Central  Google Scholar 

  26. J. Chambers, A. Angulo, D. Amaratunga, H.Q. Guo, Y. Jiang, J.S. Wan, A. Bittner, K. Frueh, M.R. Jackson, P.A. Peterson, M.G. Erlander, P. Ghazal, J. Virol. 73, 5757–5766 (1999)

    CAS  PubMed  PubMed Central  Google Scholar 

Download references

Acknowledgments

This work was supported by the National Natural Science Foundation of China (30672248, 30770109, 30700916, 30801254 and 30901625).

Author information

Affiliations

Authors

Corresponding authors

Correspondence to Yanping Ma or Qiang Ruan.

Additional information

Q. Ruan: First corresponding author.

Rights and permissions

Reprints and Permissions

About this article

Cite this article

Li, M., Ma, Y., Ji, Y. et al. Human cytomegalovirus RL13 gene transcripts in a clinical strain. Virus Genes 43, 327–334 (2011). https://doi.org/10.1007/s11262-011-0641-5

Download citation

  • Received:

  • Accepted:

  • Published:

  • Issue Date:

  • DOI: https://doi.org/10.1007/s11262-011-0641-5

Keywords

  • Human cytomegalovirus
  • RL13
  • Transcription