Abstract
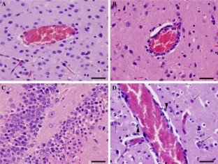
West Nile virus (WNV) is a member of the Flaviriridae family, which can cause significant morbidity and mortality in birds, horses, and humans. The WNV–LSU–AR01 strain was isolated from a dead blue jay in Louisiana in 2001. Phylogenetic analysis using 75 full WNV genomes revealed that the LSU–AR01 strain belongs to a distinct subclade among the North American strains. The LSU–AR01 strain differed from the NY-99 prototypic strain by 26 nucleotides causing six amino acid changes. An asparagine-to-lysine change was located immediately proximal to a known CD8+T cell epitope in NS4B, while a glutamine-to-lysine change was located within a predicted CD8+T cell epitope in NS5. The LSU–AR01 strain caused pronounced neuronal necrosis, perivascular cuffing and gliosis in comparison to the NY-99-infected mice. These results suggest that the previously identified Connecticut strains may contain highly neurovirulent strains such as the LSU–AR01 that have spread in North America.
This is a preview of subscription content, access via your institution.




References
M.A. Brinton, Annu. Rev. Microbiol. 56, 371–402 (2002). doi:https://doi.org/10.1146/annurev.micro.56.012302.160654
T.J. Chambers, C.S. Hahn, R. Galler, C.M. Rice, Annu. Rev. Microbiol. 44, 649–688 (1990). doi:https://doi.org/10.1146/annurev.mi.44.100190.003245
S. Mukhopadhyay, B.S. Kim, P.R. Chipman, M.G. Rossmann, R.J. Kuhn, Science 302, 248 (2003). doi:https://doi.org/10.1126/science.1089316
S. Mukhopadhyay, R.J. Kuhn, M.G. Rossmann, Nat. Rev. Microbiol. 3, 13–22 (2005). doi:https://doi.org/10.1038/nrmicro1067
S.M. Best, K.L. Morris, J.G. Shannon, S.J. Robertson, D.N. Mitzel, G.S. Park, E. Boer, J.B. Wolfinbarger, M.E. Bloom, J. Virol. 79, 12828–12839 (2005). doi:https://doi.org/10.1128/JVI.79.20.12828-12839.2005
J.T. Guo, J. Hayashi, C. Seeger, J. Virol. 79, 1343–1350 (2005). doi:https://doi.org/10.1128/JVI.79.3.1343-1350.2005
A.A. Khromykh, P.L. Sedlak, E.G. Westaway, J. Virol. 74, 3253–3263 (2000). doi:https://doi.org/10.1128/JVI.74.7.3253-3263.2000
R.J. Lin, B.L. Chang, H.P. Yu, C.L. Liao, Y.L. Lin, J. Virol. 80, 5908–5918 (2006). doi:https://doi.org/10.1128/JVI.02714-05
W.J. Liu, X.J. Wang, V.V. Mokhonov, P.Y. Shi, R. Randall, A.A. Khromykh, J. Virol. 79, 1934–1942 (2005). doi:https://doi.org/10.1128/JVI.79.3.1934-1942.2005
J.L. Munoz-Jordan, M. Laurent-Rolle, J. Ashour, L. Martinez-Sobrido, M. Ashok, W.I. Lipkin, A. Garcia-Sastre, J. Virol. 79, 8004–8013 (2005). doi:https://doi.org/10.1128/JVI.79.13.8004-8013.2005
K.C. Smithburn, T.P. Hughes, A.W. Burke, J.H. Paul, Am. J. Trop. Med. Hyg. 20, 471–492 (1940)
J.J. Sejvar, Clin. Infect. Dis. 44, 1617–1624 (2007). doi:https://doi.org/10.1086/518281
J.F. Anderson, C.R. Vossbrinck, T.G. Andreadis, A. Iton, W.H. Beckwith III, D.R. Mayo, Proc. Natl. Acad. Sci. 98, 12885–12889 (2001). doi:https://doi.org/10.1073/pnas.241472398
R.S. Lanciotti, J.T. Roehrig, V. Deubel, J. Smith, M. Parker, K. Steele, B. Crise, K.E. Volpe, M.B. Crabtree, J.H. Scherret, R.A. Hall, J.S. MacKenzie, C.B. Cropp, B. Panigrahy, E. Ostlund, B. Schmitt, M. Malkinson, C. Banet, J. Weissman, N. Komar, H.M. Savage, W. Stone, T. McNamara, D.J. Gubler, Science 286, 2333–2337 (1999). doi:https://doi.org/10.1126/science.286.5448.2333
A. Grinev, S. Daniel, S. Stramer, S. Rossmann, S. Caglioti, M. Rios, Emerg. Infect. Dis. 14, 436–444 (2008). doi:https://doi.org/10.3201/eid1403.070463
R.S. Lanciotti, G.D. Ebel, V. Deubel, A.J. Kerst, S. Murri, R. Meyer, M. Bowen, N. McKinney, W.E. Morrill, M.B. Crabtree, L.D. Kramer, J.T. Roehrig, Virology 298, 96–105 (2002). doi:https://doi.org/10.1006/viro.2002.1449
T. Bakonyi, E. Ivanics, K. Erdelyi, K. Ursu, E. Ferenczi, H. Weissenbock, N. Nowotny, Emerg. Infect. Dis. 12, 618–623 (2006)
V.P. Bondre, R.S. Jadi, A.C. Mishra, P.N. Yergolkar, V.A. Arankalle, J. Gen. Virol. 88, 875–884 (2007). doi:https://doi.org/10.1099/vir.0.82403-0
G. Coia, M.D. Parker, G. Speight, M.E. Byrne, E.G. Westaway, J. Gen. Virol. 69(Pt 1), 1–21 (1988). doi:https://doi.org/10.1099/0022-1317-69-1-1
T. Briese, A. Rambaut, M. Pathmajeyan, J. Bishara, M. Weinberger, S. Pitlik, W.I. Lipkin, Emerg. Infect. Dis. 8, 528–531 (2002)
T. Bakonyi, Z. Hubalek, I. Rudolf, N. Nowotny, Emerg. Infect. Dis. 11, 225–231 (2005)
C.T. Davis, G.D. Ebel, R.S. Lanciotti, A.C. Brault, H. Guzman, M. Siirin, A. Lambert, R.E. Parsons, D.W. Beasley, R.J. Novak, D. Elizondo-Quiroga, E.N. Green, D.S. Young, L.M. Stark, M.A. Drebot, H. Artsob, R.B. Tesh, L.D. Kramer, A.D. Barrett, Virology 342, 252–265 (2005). doi:https://doi.org/10.1016/j.virol.2005.07.022
CDC, MMWR Morb. Mortal. Wkly. Rep. 51, 681–683 (2002)
CDC, MMWR Morb. Mortal. Wkly. Rep. 50, 1013–1014 (2001)
CDC, MMWR Morb. Mortal. Wkly. Rep. 51, 497–501 (2002)
CDC, MMWR Morb. Mortal. Wkly. Rep. 51, 1072–1073 (2002)
A.C. Ou, R.C. Ratard, J. La, State Med. Soc. 157, 42–46 (2005)
N.P. Lindsey, S. Kuhn, G.L. Campbell, E.B. Hayes, Vector Borne Zoonotic Dis. 8, 35–40 (2008). doi:https://doi.org/10.1089/vbz.2007.0137
M.S. Godsey Jr., R. Nasci, H.M. Savage, S. Aspen, R. King, A.M. Powers, K. Burkhalter, L. Colton, D. Charnetzky, S. Lasater, V. Taylor, C.T. Palmisano, Emerg. Infect. Dis. 11, 1399–1404 (2005)
R.M. Gleiser, A.J. Mackay, A. Roy, M.M. Yates, R.H. Vaeth, G.M. Faget, A.E. Folsom, W.F. Augustine Jr., R.A. Wells, M.J. Perich, J. Am. Mosq. Control Assoc. 23, 29–36 (2007). doi:https://doi.org/10.2987/8756-971X(2007)23[29:WNVSIE]2.0.CO;2
J.D. Thompson, T.J. Gibson, F. Plewniak, F. Jeanmougin, D.G. Higgins, Nucleic Acids Res. 25, 4876–4882 (1997). doi:https://doi.org/10.1093/nar/25.24.4876
J. Felsenstein, Cladistics 5, 164–166 (1989)
M. Kimura, J. Mol. Evol. 16, 111–120 (1980). doi:https://doi.org/10.1007/BF01731581
N. Saitou, M. Nei., Mol. Biol. Evol. 4, 406–425 (1987)
D.H. Huson, D.C. Richter, C. Rausch, T. Dezulian, M. Franz, R. Rupp, BMC Bioinformatics 8, 460 (2007). doi:https://doi.org/10.1186/1471-2105-8-460
T.A. Hall, Nucleic Acids Symp. Ser. 41, 95–98 (1999)
N. Komar, S. Langevin, S. Hinten, N. Nemeth, E. Edwards, D. Hettler, B. Davis, R. Bowen, M. Bunning, Emerg. Infect. Dis. 9, 311–322 (2003)
C.T. Palmisano, V. Taylor, K. Caillouet, B. Byrd, D.M. Wesson, J. Am. Mosq. Control Assoc. 21, 33–38 (2005). doi:https://doi.org/10.2987/8756-971X(2005)21[33:IOWNVO]2.0.CO;2
K.M. Lillibridge, R. Parsons, Y. Randle, A.P. Travassos da Rosa, H. Guzman, M. Siirin, T. Wuithiranyagool, C. Hailey, S. Higgs, A.A. Bala, R. Pascua, T. Meyer, D.L. Vanlandingham, R.B. Tesh, Am. J. Trop. Med. Hyg. 70, 676–681 (2004)
M.S. Ratterree, A.P. da Rosa, R.P. Bohm Jr, F.B. Cogswell, K.M. Phillippi, K. Caillouet, S. Schwanberger, R.E. Shope, R.B. Tesh, R.B. Tesh, Emerg. Infect. Dis. 9, 1388–1394 (2003)
N. Komar, N.A. Panella, S.A. Langevin, A.C. Brault, M. Amador, E. Edwards, J.C. Owen, Am. J. Trop. Med. Hyg. 73, 1031–1037 (2005)
J.D. Brien, J.L. Uhrlaub, J. Nikolich-Zugich, Eur. J. Immunol. 37, 1855–1863 (2007). doi:https://doi.org/10.1002/eji.200737196
W.E. Purtha, N. Myers, V. Mitaksov, E. Sitati, J. Connolly, D.H. Fremont, T.H. Hansen, M.S. Diamond, Eur. J. Immunol. 37, 1845–1854 (2007). doi:https://doi.org/10.1002/eji.200737192
G. Dauphin, S. Zientara, Vaccine 25, 5563–5576 (2007). doi:https://doi.org/10.1016/j.vaccine.2006.12.005
Y. Wang, M. Lobigs, E. Lee, A. Mullbacher, J. Virol. 77, 13323–13334 (2003). doi:https://doi.org/10.1128/JVI.77.24.13323-13334.2003
R.N. Charrel, A.C. Brault, P. Gallian, J.J. Lemasson, B. Murgue, S. Murri, B. Pastorino, H. Zeller, R. de Chesse, P. de Micco, X. de Lamballerie, Virology 315, 381–388 (2003). doi:https://doi.org/10.1016/S0042-6822(03)00536-1
R. Parreira, P. Severino, F. Freitas, J. Piedade, A.P. Almeida, A. Esteves, Vector Borne Zoonotic Dis 7, 344–352 (2007). doi:https://doi.org/10.1089/vbz.2006.0632
D.J. Gubler, Clin. Infect. Dis. 45, 1039–1046 (2007). doi:https://doi.org/10.1086/521911
Author information
Authors and Affiliations
Corresponding author
Rights and permissions
About this article
Cite this article
Iyer, A.V., Boudreaux, M.J., Wakamatsu, N. et al. Complete genome analysis and virulence characteristics of the Louisiana West Nile virus strain LSU–AR01. Virus Genes 38, 204–214 (2009). https://doi.org/10.1007/s11262-008-0321-2
Received:
Accepted:
Published:
Issue Date:
DOI: https://doi.org/10.1007/s11262-008-0321-2
Keywords
- West Nile virus
- Louisiana
- Virulence
- Neuroinvasion
- Phylogenetics