Skip to main content

Genotyping of human bocavirus using a restriction length polymorphism

Abstract

Sequencing analysis of the isolates of a recently identified pathogen associated with respiratory infections, human bocavirus (HBoV), allowed for identification of two virus genotypes of the virus. In the current article a new method for a simple and fast differentiation of HBoV genotypes in clinical materials is described. The test includes an amplification of a 309 bp fragment of VP1/VP2 gene of HBoV from nasopharyngeal aspirates with a subsequent incubation of a PCR mix with the BstAPI endonuclease. Upon such a digestion, the DNA fragment derived from the genotype I HBoV isolates forms two fragments of 150 and 159 bp, while that obtained from genotype 2 isolates remains unrestricted. The developed technique may be used in epidemiological studies of HBoV infection and analysis of the potential differences in biological characteristics of HboV genotypes.

Short communication

Development and implementation of new methodological approaches in virology in recent years led to the identification of a number of previously unrecognized viruses causing respiratory infections in humans (here refer. to HMPV, SARS, and other coronaviruses). A list of these newly detected agents includes a human bocavirus (HBoV), a member of the family Parvoviridae [1, 2]. HBoV is circulating all over the world and is associated with both upper and lower respiratory tract infections predominantly in infants and children [37]. Genome of HBoV is characterized by a strong conservation of all genes and a very infrequent nucleotide polymorphism is restricted mainly to VP1 and VP2 genes [1, 4, 8]. On the basis of this restricted polymorphism, two variants or genotypes of HBoV are identified. These two types are highly conserved among HBoV isolates circulating in different geographical zones. So far, nothing is known about potential differences in biological characteristics of two HBoV genotypes. The aim of the current study was to develop a technique allowing a simple and fast differentiation of HBoV isolates belonging to these genotypes.

DNA was extracted from nasopharyngeal aspirates of respiratory disease patients with the QIAamp MinElute Virus Spin Kit (QIAGEN) and HBoV DNA was detected by conventional PCR using the Expand High Fidelity PCR System (Roche) and two primer sets. The first one, which included two primers derived from NP-1 gene and generated a DNA fragment of 400 bp, was described recently [9]. The second set was designed in the current study. It included two primers derived from the conserved regions of the VP1 gene: sv605as-5′-GGTATGTAGGCGTGTAGTTGCTC-3′and sv606s-5′-CTATCACCAGAGAAAATCCAATC-3′ (Fig. 1). These primers were used in a 40-cycle PCR (each cycle included denaturation at 94°C for 1 min, annealing at 52°C for 1 min, and extension at 72°C for 2 min) to generate a 309 bp product (nt 4,677–4,985, reference sequence: isolate ST2, accession number NC_007455). The amplified DNA was gel-purified by the QIAquick Gel Extraction kit (QIAGEN) and subjected to sequencing in both directions (Dye Terminator DNA sequencing kit, Perkin Elmer). Preliminary series of experiments demonstrated the equivalent sensitivity of the HBoV PCR assay with both primer sets; these sets also provided a similar detection rate of HBoV DNA in materials from a cohort of children with infections of the lower respiratory tract (Voelz et al., manuscript in revision). The 19 HBoV sequences obtained in the frame of this work were compared with the corresponding fragments of HBoV sequences taken from the GenBank by means of the phylogenetic analysis using programs DNADIST and NEIGHBOR from the package PHYLIP, version 3.5c (data are not shown). This analysis confirmed the existence of two genotypes of HBoV [1, 4, 8]. Five of the identified HBoV isolates were attributed to type 1 and the rest to genotype 2 (reference strains—isolates ST1 and ST2, [1]). The alignment of all available HBoV sequences that included the VP1 gene revealed a nucleotide polymorphism in the VP1 gene sequence. For those purposes, we designed new primers that allow amplification of the VP1 gene fragment that includes this polymorphism. Figure 1 shows the alignment of these fragments amplified from patient isolates. In Fig. 1, five representative patient sequences, (corresponding to the restriction analysis shown in Fig. 2) from each subtype were aligned to prototype sequences of human bocavirus as published by Allander et al. [1].

Fig. 1 
figure 1

Alignment of five positive patient PCR amplificate sequences from both subtypes, respectively, compared to reference strains ST1 and ST2. Amplification was performed with primer set III as described in the main text. The BstAPI restriction site is indicated by the triangle and the red bold letters. The numbers 677, 682, 702 B74, B75, 279, 417 576, 14, and A81 are the names of the isolates and can also be found in Fig. 2. ST1 and ST2 are sequences from the both prototype strains Stockholm 1 and 2 that were initially described by Tobias Allander and colleagues [1]

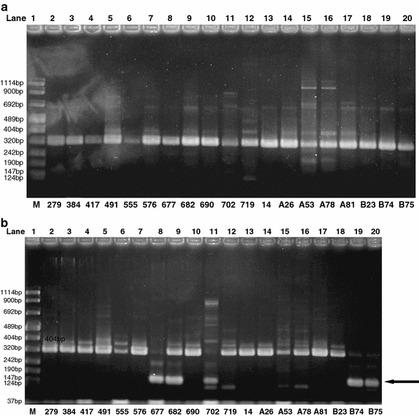
Fig. 2 (a)
figure 2

PCR-amplificates of Boca-positive samples amplified with primerset III without restriction digest. Samples were loaded on a 2% agarose gel. The partial VP1 gene sequences carrying the RFLP site from isolate numbers 677, 682, 702 B74, B75, 279, 417 576, 14, and A81 are aligned in Fig. 1. (b) PCR-amplificates of Boca-positive samples amplified with primer set III after restriction digest with BstAPI. Samples were loaded on a 2% agarose gel. Arrows indicate the ST1 specific bands that appear after the BstAPI digest of the amplificate. The partial VP1 gene sequences carrying the RFLP site from isolate numbers 677, 682, 702 B74, B75, 279, 417 576, 14, and A81 are aligned in Fig. 1

Comparison of HBoV sequences demonstrated the absolute conservation of a particular nucleotide pattern in sequences belonging to genotype 1, namely, presence of the sequence motif “GCAACAAATGC” at nt position 4,820–4,830. This sequence corresponds to a site recognized by restriction endonuclease BstAPI. The conservation of this restriction site in VP1 gene sequence of all HBoV genotype 1 isolates described so far provides a possibility for a simple and fast HBoV genotyping. To demonstrate the applicability of this approach, the HBoV DNA fragments corresponded to two HBoV genotypes were subjected to a restriction with BstAPI endonuclease. To this end, 1 μl of BstAPI (5 units, New England BioLabs), 3 μl of 10× SEBuffer W (New England BioLabs), and 6 μl of water were added to 20 μl of the HBoV-containing mixture after completing the PCR, and incubated at 60°C for 60 min with a subsequent DNA analysis using the electrophoresis in 2% agarose gel and ethidium bromide staining. Results of the analysis of 19 HBoV DNA-positive samples identified in the current study are presented on Fig. 2. As expected, after digestion with BstAPI, in all five samples belonging to genotype 1 (samples 677, 682, 702, B74, and B75) the disappearance or evident decrease in intensity of the 309 bp DNA band and a concomitant appearance of two bands of 150 and 159 bp was noted, while in 14 samples attributed to genotype 2 on the basis of sequencing data, the resistance of the 309 bp DNA fragment to this restriction enzyme was clearly displayed. These results, demonstrate that the proposed approach based on a restriction length polymorphism allows a simple and fast differentiation of two HBoV genotypes in clinical materials. This technique may be used separately as a method that allowed a simultaneous screening of the clinical samples for the presence of HBoV DNA and determination of HBoV genotype. This approach may also be applied as an additional method for genotype attribution of already identified HBoV DNA positive samples. In any case, we believe that availability of the proposed simple and effective genotyping techniques would stimulate further studies of HBoV infection and would allow us to gain valuable information on possible differences in biological and/or pathogenic potentials between the two genotypes of HBoV.

References

  1. T. Allander, M.T. Tammi, M. Eriksson, A. Bjerkner, A. Tiveljung-Lindell, B. Andersson, Cloning of a human parvovirus by molecular screening of respiratory tract samples. Proc. Natl. Acad. Sci. USA 102(36), 12891–12896 (2005). Epub 2005 Aug 23. Erratum in: Proc Natl Acad. Sci. USA. 2005 Oct 25; 102(43), 15712

  2. A. Manning, S.J. Willey, J.E. Bell, P. Simmonds, Comparison of tissue distribution, persistence, and molecular epidemiology of parvovirus B19 and novel human parvoviruses PARV4 and human bocavirus. J. Infect. Dis. 195(9), 1345–1352 (2007)

    PubMed  Article  CAS  Google Scholar 

  3. L.J. Anderson, Human bocavirus: a new viral pathogen. Clin. Infect. Dis. 44(7), 911–912 (2007)

    PubMed  Article  Google Scholar 

  4. D. Kesebir, M. Vazquez, C. Weibel, E.D. Shapiro, D. Ferguson, M.L. Landry, J.S. Kahn, Human bocavirus infection in young children in the United States: molecular epidemiological profile and clinical characteristics of a newly emerging respiratory virus. J. Infect. Dis. 194(9), 1276–1282 (2006)

    PubMed  Article  CAS  Google Scholar 

  5. A. Manning, V. Russell, K. Eastick, G.H. Leadbetter, N. Hallam, K. Templeton, P. Simmonds, Epidemiological profile and clinical associations of human bocavirus and other human parvoviruses. J. Infect. Dis. 194(9), 1283–1290 (2006)

    PubMed  Article  CAS  Google Scholar 

  6. K. McIntosh, Human bocavirus: developing evidence for pathogenicity. J. Infect. Dis. 194(9), 1197–1199 (2006)

    PubMed  Article  CAS  Google Scholar 

  7. S. Voelz, O. Schildgen, D. Klinkenberg, V. Ditt, A. Müller, R.L. Tillmann, B. Kupfer, U. Bode, M.J. Lentze, A. Simon, Prospective study of human Bocavirus (HBoV) infection in a Pediatric University Hospital in Germany 2005/2006. J. Clin. Virol. 40(3), 229–235 (2007)

    Article  Google Scholar 

  8. T. Chieochansin, S. Chutinimitkul, S. Payungporn, T. Hiranras, R. Samransamruajkit, A. Theamboolers, Y. Poovorawan, Complete coding sequences and phylogenetic analysis of Human Bocavirus (HBoV). Virus Res. 129(1), 54–57 (2007)

    Google Scholar 

  9. B. Kupfer, J. Vehreschild, O. Cornely, R. Kaiser, G. Plum, S. Viazov, C. Franzen, R.L. Tillmann, A. Simon, A. Muller, O. Schildgen, Severe pneumonia and human bocavirus in adult. Emerg. Infect. Dis. 12(10), 1614–1616 (2006)

    PubMed  Google Scholar 

Download references

Acknowledgments

This work was partially supported by research grants from the Else Kröner-Fresenius Stiftung (P15/07//A22/07) and the European Commission (LSHM-CT-2006-037276).

Author information

Affiliations

Authors

Corresponding author

Correspondence to Oliver Schildgen.

Rights and permissions

Reprints and Permissions

About this article

Cite this article

Ditt, V., Viazov, S., Tillmann, R. et al. Genotyping of human bocavirus using a restriction length polymorphism. Virus Genes 36, 67–69 (2008). https://doi.org/10.1007/s11262-007-0182-0

Download citation

  • Received:

  • Accepted:

  • Published:

  • Issue Date:

  • DOI: https://doi.org/10.1007/s11262-007-0182-0

Keywords

  • Bocavirus
  • Genotyping
  • Respiratory infection