Abstract
Purpose
As oxidative stress (OXS) has been shown to play a primary role in renal ischemia/reperfusion injury (RIRI), we investigated whether antioxidant such as ethyl pyruvate (EPy) might effectively prevent RIRI. Possible prophylactic effects of EPy and mannitol (Mann), one of perioperative agents often used, were tested against harmful OXS in vitro.
Methods
Hydrogen peroxide (H2O2) was used to exert OXS on the renal proximal tubular MDCK cells. Severity of OXS and protective effects of EPy and Mann were assessed by lipid peroxidation assay and cell viability test, respectively. The cytotoxic mechanism of H2O2 was explored by examining the status of glycolysis, metabolic signaling pathways, cell cycle, and induction of apoptosis.
Results
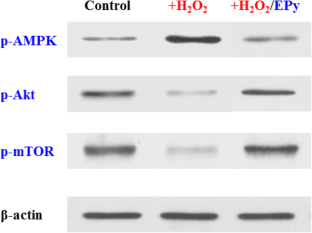
Although H2O2 (500 µM) increased OXS by ~ 3.5 times of controls, EPy (1 mM) fully reduced it to the basal level. Cell viability declined to merely 10% by H2O2 was regained to > 90% with EPy. Hexokinase activity and ATP level also declined significantly by H2O2, but they sustained 80–90% with EPy. Additionally, H2O2 led to the modulations of metabolic signaling regulators, a G1 cell cycle arrest, and induction of apoptosis, which were yet prevented with EPy. Unlike EPy, Mann had virtually little effects.
Conclusions
OXS can indeed lead to the significant cell viability reduction through its adverse cellular effects, ultimately resulting in RIRI. However, EPy appears to prevent these effects and protect MDCK cells, while Mann does not. Thus, EPy could be a more effective prophylactic renoprotective agent (than Mann) against oxidative renal cell injury including RIRI.







Similar content being viewed by others
References
Baliga R, Ueda N, Walker PD, Shah SV (1997) Oxidant mechanisms in toxic acute renal failure. Am J Kidney Dis 29:465–477
Diamond JR (1992) The role of reactive oxygen species in animal models of glomerular disease. Am J Kidney Dis 19:292–300
Andreoli SP, McAteer JA (1990) Reactive oxygen molecule-mediated injury in endothelial and renal tubular epithelial cells in vitro. Kidney Int 38:785–794
Versteilen AM, Di Maggio F, Leemreis JR et al (2004) Molecular mechanisms of acute renal failure following ischemia/reperfusion. Int J Artif Organs 27:1019–1029
Zacharias M, Conlon NP, Herbison GP et al (2013) Interventions for protecting renal function in the perioperative period. Cochrane Database Syst Rev 11:CD003590
Dorman HR, Sondheimer JH, Cadnapaphornchai P (1990) Mannitol-induced acute renal failure. Medicine (Baltimore) 69:153–159
Cutler RG (1991) Antioxidants and aging. Am J Clin Nutr 53:373S–379S
Reade MC, Fink MP (2005) Bench-to-bedside review: amelioration of acute renal impairment using ethyl pyruvate. Crit Care 9:556–560
Fink MP (2007) Ethyl pyruvate: a novel anti-inflammatory agent. J Intern Med 261:349–362
Cruz RJ Jr, Harada T, Sasatomi E, Fink MP (2011) Effects of ethyl pyruvate and other α-keto carboxylic acid derivatives in a rat model of multivisceral ischemia and reperfusion. J Surg Res 165:151–157
Sims CA, Wattanasirichaigoon S, Menconi MJ et al (2001) Ringer’s ethyl pyruvate solution ameliorates ischemia/reperfusion-induced intestinal mucosal injury in rats. Crit Care Med 29:1513–1518
Uchiyama T, Delude RL, Fink MP (2003) Dose-dependent effects of ethyl pyruvate in mice subjected to mesenteric ischemia and reperfusion. Intensive Care Med 29:2050–2058
Tsung A, Kaizu T, Nakao A et al (2005) Ethyl pyruvate ameliorates liver ischemia-reperfusion injury by decreasing hepatic necrosis and apoptosis. Transplantation 79:196–204
Dargel R (1992) Lipid peroxidation: a common pathogenetic mechanism? Exp Toxic Pathol 44:169–181
Pelicano H, Martin DS, Xu RH, Huang P (2006) Glycolysis inhibition for anticancer treatment. Oncogene 25:4633–4646
Simons AL, Mattson DM, Dornfeld K, Spitz DR (2009) Glucose deprivation-induced metabolic oxidative stress and cancer therapy. J Cancer Res Ther 5:S2–S6
Miccoli L, Oudard S, Sureau F et al (1996) Intracellular pH governs the subcellular distribution of hexokinase in a glioma cell line. Biochem J 313:957–962
Cheong JH, Park ES, Liang J et al (2011) Dual inhibition of tumor energy pathway by 2-deoxyglucose and metformin is effective against a broad spectrum of preclinical cancer models. Mol Cancer Ther 10:2350–2362
Priebe A, Tan L, Wahl H et al (2011) Glucose deprivation activates AMPK and induces cell death through modulation of Akt in ovarian cancer cells. Gynecol Oncol 122:389–395
Lee YK, Park OJ (2010) Regulation of mutual inhibitory activities between AMPK and Akt with quercetin in MCF-7 breast cancer cells. Oncol Rep 24:1493–1497
Bolster DR, Crozier SJ, Kimball SR, Jefferson LS (2002) AMP-activated protein kinase suppresses protein synthesis in rat skeletal muscle through down-regulated mammalian target of rapamycin (mTOR) signaling. J Biol Chem 277:23977–23980
Loar P, Wahl H, Kshirsagar M et al (2010) Inhibition of glycolysis enhances cisplatin-induced apoptosis in ovarian cancer cells. Am J Obstet Gynecol 202:371.e1–371.e8
Sherr CJ (2000) The Pezcoller lecture: cancer cell cycles revised. Cancer Res 60:3689–3695
Yip KW, Reed JC (2008) Bcl-2 family proteins and cancer. Oncogene 27:6398–6406
Jun JH, Song JW, Shin EJ, Kwak YL, Choi N, Shim JK (2018) Ethyl pyruvate is renoprotective against ischemia-reperfusion injury under hyperglycemia. J Thorac Cardiovasc Surg 155:1650–1658
Yang R, Gallo DJ, Baust JJ et al (2002) Ethyl pyruvate modulates inflammatory gene expression in mice subjected to hemorrhagic shock. Am J Physiol Gastrointest Liver Physiol 283:G212–G221
Kelle I, Akkoc H, Tunik S, Nergiz Y, Erdinc M, Erdinc L (2014) Protective effects of ethyl pyruvate in cisplatin-induced nephrotoxicity. Biotechnol Biotechnol Equip 28:674–680
Matsushima H, Yonemura K, Ohishi K, Hishida A (1998) The role of oxygen free radicals in cisplatin-induced acute renal failure in rats. J Lab Clin Med 131:518–526
Kuhajda FP (2008) AMP-activated protein kinase and human cancer: cancer metabolism revisited. Int J Obes (Lond) 32:S36–S41
MacFarlane M, Robinson GL, Cain K (2012) Glucose—a sweet way to die: metabolic switching modulates tumor cell death. Cell Cycle 11:3919–3925
Bennett-Guerrero E, Swaminathan M, Grigore AM et al (2009) A phase II multicenter double-blind placebo-controlled study of ethyl pyruvate in high-risk patients undergoing cardiac surgery with cardiopulmonary bypass. J Cardiothorac Vasc Anesth 23:324–329
Yu YM, Kim JB, Lee KW, Kim SY, Han PL, Lee JK (2005) Inhibition of the cerebral ischemic injury by ethyl pyruvate with a wide therapeutic window. Stroke 36:2238–2243
Yang R, Zhu S, Tonnessen TI (2016) Ethyl pyruvate is a novel anti-inflammatory agent to treat multiple inflammatory organ injuries. J Inflamm (Lond) 13:37.e
Yang R, Uchiyama T, Alber SM et al (2004) Ethyl pyruvate ameliorates distant organ injury in a murine model of acute necrotizing pancreatitis. Crit Care Med 32:1453–1459
Ulloa L, Ochani M, Yang H et al (2002) Ethyl pyruvate prevents lethality in mice with established lethal sepsis and systemic inflammation. Proc Natl Acad Sci USA 99:12351–12356
Jung SM, Lee J, Baek SY et al (2017) Ethyl pyruvate ameliorates inflammatory arthritis in mice. Int Immunopharmacol 52:333–341
Cook VL, Holcombe SJ, Gandy JC, Corl CM, Sordillo LM (2011) Ethyl pyruvate decreases proinflammatory gene expression in lipopolysaccharide-stimulated equine monocytes. Vet Immunol Immunopathol 141:92–99
Acknowledgements
We thank “mamjp.org” (Tokyo, Japan) for generous financial support in this study.
Author information
Authors and Affiliations
Corresponding author
Ethics declarations
Conflict of interest
The authors declare no conflicts of interest.
Rights and permissions
About this article
Cite this article
Bloom, J., Patel, N., Wagmaister, J. et al. Prophylactic effect of ethyl pyruvate on renal ischemia/reperfusion injury mediated through oxidative stress. Int Urol Nephrol 51, 85–92 (2019). https://doi.org/10.1007/s11255-018-2020-9
Received:
Accepted:
Published:
Issue Date:
DOI: https://doi.org/10.1007/s11255-018-2020-9


