Skip to main content

Effect of pH on the isolation of urinary exosome

Abstract

Purpose

Urinary exosome is an ideal noninvasive, low-cost source of kidney diseases biomarkers. However, many factors effect the isolation of urine-derived exosome. The effect of pH on the yield of exosome isolation under different pH was explored.

Methods

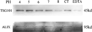
The pH was adjusted for 4, 5, 6, 7 and 8 with hydrochloric acid and sodium hydroxide solution. All samples were incubated for 30 min before differential ultracentrifugation. Exosome-associated protein markers TSG101, ALIX and total concentration of RNA were evaluated by Western-blotting and micro-amount ultraviolet spectrophotometer, respectively.

Results

A major loss of urinary exosome was received at pH 8 compared with alkali medium or control group. There was no difference whether or not added EDTA-Na2.

Conclusions

Acidic environment was likely to conducive to the isolation of exosome and maintain its stability and integrity that suggest pH medium needs to be carefully considered and also provide a methodology for future separation exosome.

This is a preview of subscription content, access via your institution.

Fig. 1
Fig. 2
Fig. 3
Fig. 4

References

  1. Lakkaraju A, Rodriguez-Boulan E (2008) Itinerant exosomes: emerging roles in cell and tissue polarity. Trends Cell Biol 18(5):199–209

    CAS  Article  PubMed  PubMed Central  Google Scholar 

  2. Théry C, Zitvogel L, Amigorena S (2002) Exosomes: composition, biogenesis and function. Nat Rev Immunol 2(8):569–579

    PubMed  Google Scholar 

  3. Keller S, Sanderson MP, Stoeck A, Altevogt P (2006) Exosomes: from biogenesis and secretion to biological function. Immunol Lett 107(2):102–108

    CAS  Article  PubMed  Google Scholar 

  4. Ogawa Y, Kanai-Azuma M, Akimoto Y, Kawakami H, Yanoshita R (2008) Exosome-like vesicles with dipeptidyl peptidase IV in human saliva. Biol Pharm Bull 31(6):1059–1062

    CAS  Article  PubMed  Google Scholar 

  5. Caby MP, Lankar D, Vincendeau-Scherrer C, Raposo G, Bonnerot C (2005) Exosomal-like vesicles are present in human blood plasma. Int Immunol 17(7):879–887

    CAS  Article  PubMed  Google Scholar 

  6. Mathivanan S, Ji H, Simpson RJ (2010) Exosomes: extracellular organelles important in intercellular communication. J Proteomics 73(10):1907–1920

    CAS  Article  PubMed  Google Scholar 

  7. Admyre C, Johansson SM, Qazi KR et al (2007) Exosomes with immune modulatory features are present in human breast milk. J Immunol 179(3):1969–1978

    CAS  Article  PubMed  Google Scholar 

  8. Pegtel DM, Cosmopoulos K, Thorley-Lawson DA et al (2010) Functional delivery of viral miRNAs via exosomes. Proc Natl Acad Sci USA 107(14):6328–6333

    CAS  Article  PubMed  PubMed Central  Google Scholar 

  9. Valadi H, Ekström K, Bossios A, Sjöstrand M, Lee JJ, Lötvall JO (2007) Exosome-mediated transfer of mRNAs and microRNAs is a novel mechanism of genetic exchange between cells. Nat Cell Biol 9(6):654–659

    CAS  Article  PubMed  Google Scholar 

  10. Zhang L, Wrana JL (2014) The emerging role of exosomes in Wnt secretion and transport. Curr Opin Genet Dev 27:14–19

    Article  PubMed  Google Scholar 

  11. De Toro J, Herschlik L, Waldner C, Mongini C (2015) Emerging roles of exosomes in normal and pathological conditions: new insights for diagnosis and therapeutic applications. Front Immunol 6:203

    Article  PubMed  PubMed Central  Google Scholar 

  12. Guarnieri DJ, DiLeone RJ (2008) MicroRNAs: a new class of gene regulators. Ann Med 40(3):197–208

    CAS  Article  PubMed  Google Scholar 

  13. Lodish HF, Zhou B, Liu G, Chen CZ (2008) Micromanagement of the immune system by microRNAs. Nat Rev Immunol 8(2):120–130

    CAS  Article  PubMed  Google Scholar 

  14. Gallo A, Tandon M, Alevizos I, Illei GG (2012) The majority of microRNAs detectable in serum and saliva is concentrated in exosomes. PLoS One 7(3):e30679

    CAS  Article  PubMed  PubMed Central  Google Scholar 

  15. Sun D, Zhuang X, Xiang X et al (2010) A novel nanoparticle drug delivery system: the anti-inflammatory activity of curcumin is enhanced when encapsulated in exosomes. Mol Ther 18(9):1606–1614

    CAS  Article  PubMed  PubMed Central  Google Scholar 

  16. Pisitkun T, Shen RF, Knepper MA (2004) Identification and proteomic profiling of exosomes in human urine. Proc Natl Acad Sci USA 101(36):13368–13373

    CAS  Article  PubMed  PubMed Central  Google Scholar 

  17. Hoorn EJ, Pisitkun T, Zietse R et al (2005) Prospects for urinary proteomics: exosomes as a source of urinary biomarkers. Nephrology (Carlton) 10(3):283–290

    CAS  Article  Google Scholar 

  18. Miranda KC, Bond DT, McKee M et al (2010) Nucleic acids within urinary exosomes/microvesicles are potential biomarkers for renal disease. Kidney Int 78(2):191–199

    Article  PubMed  PubMed Central  Google Scholar 

  19. Zhou H, Cheruvanky A, Hu X et al (2008) Urinary exosomal transcription factors, a new class of biomarkers for renal disease. Kidney Int 74(5):613–621

    CAS  Article  PubMed  PubMed Central  Google Scholar 

  20. Zhou H, Yuen PS, Pisitkun T et al (2006) Collection, storage, preservation, and normalization of human urinary exosomes for biomarker discovery. Kidney Int 69(8):1471–1476

    CAS  Article  PubMed  PubMed Central  Google Scholar 

  21. Ban JJ, Lee M, Im W, Kim M (2015) Low pH increases the yield of exosome isolation. Biochem Biophys Res Commun 461(1):76–79

    CAS  Article  PubMed  Google Scholar 

  22. Barutta F, Tricarico M, Corbelli A et al (2013) Urinary exosomal microRNAs in incipient diabetic nephropathy. PLoS One 8(11):e73798

    CAS  Article  PubMed  PubMed Central  Google Scholar 

  23. Alvarez S, Suazo C, Boltansky A et al (2013) Urinary exosomes as a source of kidney dysfunction biomarker in renal transplantation. Transpl Proc 45(10):3719–3723

    CAS  Article  Google Scholar 

  24. Dear JW (2014) Urinary exosomes join the fight against infection. J Am Soc Nephrol 25(9):1889–1891

    Article  PubMed  PubMed Central  Google Scholar 

Download references

Author information

Affiliations

Authors

Corresponding author

Correspondence to Huiyi Wu.

Ethics declarations

Conflict of interest

The authors declare that they have no conflicts of interest that could inappropriately influence the content of this article.

Rights and permissions

Reprints and Permissions

About this article

Verify currency and authenticity via CrossMark

Cite this article

Zhao, Y., Chen, K., Li, H. et al. Effect of pH on the isolation of urinary exosome. Int Urol Nephrol 49, 165–169 (2017). https://doi.org/10.1007/s11255-016-1408-7

Download citation

  • Received:

  • Accepted:

  • Published:

  • Issue Date:

  • DOI: https://doi.org/10.1007/s11255-016-1408-7

Keywords

  • pH
  • Urinary exosome
  • Proteins
  • EDTA-Na2
  • RNA