Skip to main content

Active targeted therapy for metastatic collecting duct carcinoma of the kidney: a case report and review of the literature

Abstract

Collecting duct carcinoma (CDC) is a rare and aggressive renal cell carcinoma (RCC) with extremely poor prognosis, which has been shown to have a poor response to several kinds of systemic therapy. Targeted agents have greatly changed the therapeutic landscape in advanced RCC. Nonetheless, patients with CDC are always excluded from the prospective trials with targeted therapies due to its rarity. We present a case of metastatic CDC that responded favorably to the multiple tyrosine kinase inhibitor, sorafenib, achieving a partial response in both lungs and retroperitoneal lymph nodes metastases. We also reviewed the limited number of reports of metastatic CDC treated with targeted agents and found that 33.33 % (4/12) of patients had favorable clinical activity. These suggest that targeted therapy should be considered for the treatment of metastatic CDC and its prospective evaluation is encouraged.

This is a preview of subscription content, access via your institution.

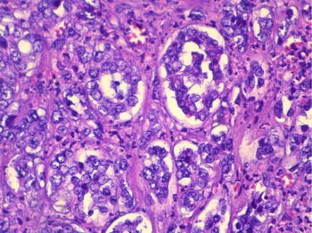
Fig. 1
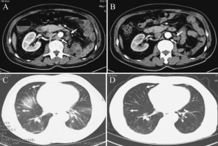
Fig. 2
Fig. 3

References

  1. Fleming S, Lewi HJE (1986) Collecting duct carcinoma of the kidney. Histopathology 10:1131–1141

    PubMed  Article  CAS  Google Scholar 

  2. Dimopoulos MA, Logothetis CJ, Markowitz A, Sella A, Amato R, Ro J (1993) Collecting duct carcinoma of the kidney. Br J Urol 71:388–391

    PubMed  Article  CAS  Google Scholar 

  3. Chao D, Zisman A, Pantuck AJ et al (2002) Collecting duct renal cell carcinoma: clinical study of a rare tumor. J Urol 167:71–74

    PubMed  Article  Google Scholar 

  4. Gollob JA, Upton MP, DeWolf WC, Atkins MB (2001) Long-term remission in a patient with metastatic collecting duct carcinoma treated with taxol/carboplatin and surgery. Urology 58:1058

    PubMed  Article  CAS  Google Scholar 

  5. Milowsky MI, Rosmarin A, Tickoo SK, Papanicolaou N, Nanus DM (2002) Active chemotherapy for collecting duct carcinoma of the kidney: a case report and review of the literature. Cancer 94(1):111–116

    PubMed  Article  Google Scholar 

  6. Oudard S, Banu E, Vieillefond A et al (2007) Prospective multicenter phase II study of gemcitabine plus platinum salt for metastatic collecting duct carcinoma: results of a GETUG (Groupe d’Etudes des Tumeurs UroGénitales) study. J Urol 177:1698–1702

    PubMed  Article  CAS  Google Scholar 

  7. Coppin C, Kollmannsberger C, Le L, Porzsolt F, Wilt TJ (2011) Targeted therapy for advanced renal cell cancer (RCC): a Cochrane systematic review of published randomized trials. BJU Int 108:1556–1563

    PubMed  Article  CAS  Google Scholar 

  8. Tokuda N, Naito S, Matsuzaki O, Nagashima Y, Ozono S, Igarashi T (2006) Collecting duct (Bellini duct) renal cell carcinoma: a nationwide survey in Japan. J Urol 176:40–43

    PubMed  Article  Google Scholar 

  9. Karakiewicz PI, Trinh QD, Rioux-Leclercq N et al (2007) Collecting duct renal cell carcinoma: a matched analysis of 41 cases. Eur Urol 52:1140–1145

    PubMed  Article  Google Scholar 

  10. Escudier B, Eisen T, Stadler WM et al (2007) Sorafenib in advanced clear-cell renal-cell carcinoma. N Engl J Med 356:125–134

    PubMed  Article  CAS  Google Scholar 

  11. Choueiri TK, Plantade A, Elson P et al (2008) Efficacy of sunitinib and sorafenib in metastatic papillary and chromophobe renal cell carcinoma. J Clin Oncol 26:127–131

    PubMed  Article  CAS  Google Scholar 

  12. Ansari J, Fatima A, Chaudhri S, Bhatt RI, Wallace M, James ND (2009) Sorafenib induces therapeutic response in a patient with metastatic collecting duct carcinoma of kidney. Onkologie 32:44–46

    PubMed  Article  Google Scholar 

  13. Laber DA, Mushtaq M (2009) Compassionate use of sorafenib in patients with advanced renal cell cancer. Clin Genitourin Cancer 7(1):34–38

    PubMed  Article  CAS  Google Scholar 

  14. Staehler M, Schöppler G, Haseke N et al (2009) Carcinoma of the collecting ducts of Bellini of the kidney: adjuvant chemotherapy followed by multikinase inhibition with sunitinib. Clin Genitourin Cancer 7(1):58–61

    PubMed  Article  CAS  Google Scholar 

  15. Miyake H, Haraguchi T, Takenaka A, Fujisawa M (2011) Metastatic collecting duct carcinoma of the kidney responded to sunitinib. Int J Clin Oncol 16:153–155

    PubMed  Article  CAS  Google Scholar 

  16. Procopio G, Verzoni E, Iacovelli R, Colecchia M, Torelli T, Mariani L (2012) Is there a role for targeted therapies in the collecting ducts of Bellini carcinoma? efficacy data from a retrospective analysis of 7 cases. Clin Exp Nephrol 16(3):464–467

    PubMed  Article  CAS  Google Scholar 

  17. Eisenhauer EA, Therasse P, Bogaerts J, Schwartz LH, Sargent D, Ford R et al (2009) New response evaluation criteria in solid tumours: revised RECIST guideline (version 1.1). Eur J Cancer 45:228–247

    PubMed  Article  CAS  Google Scholar 

Download references

Acknowledgments

This work was supported by the National Science Foundation of China [grant No. 81200551].

Conflict of interest

The authors have nothing to disclose.

Author information

Affiliations

Authors

Corresponding author

Correspondence to Qiang Wei.

Additional information

Rui-ning Zhao and Li-hong Nie contributed equally to this work and should be considered co-first authors.

Rights and permissions

Reprints and Permissions

About this article

Cite this article

Zhao, Rn., Nie, Lh., Gong, R. et al. Active targeted therapy for metastatic collecting duct carcinoma of the kidney: a case report and review of the literature. Int Urol Nephrol 45, 1017–1021 (2013). https://doi.org/10.1007/s11255-013-0468-1

Download citation

  • Received:

  • Accepted:

  • Published:

  • Issue Date:

  • DOI: https://doi.org/10.1007/s11255-013-0468-1

Keywords

  • Collecting duct carcinoma
  • Renal cell carcinoma
  • Targeted therapies
  • Tyrosine kinase inhibitors
  • Sorafenib