Skip to main content

High-level expression of a human β-site APP cleaving enzyme in transgenic tobacco chloroplasts and its immunogenicity in mice

Abstract

Plastid transformation has to date been applied to the expression of heterologous genes involved in agronomic traits and to the production of useful recombinant proteins. Here, we report a feasibility study for producing the human β-site APP cleaving enzyme (BACE) via transformation of tobacco chloroplasts. Stable integration of human BACE into the plastome was confirmed by PCR. Genomic Southern blot analysis detected the presence of the tobacco aadA and human BACE genes between trnI and trnA in the plastome. Northern blot analysis revealed that the aadA and BACE genes were both properly transcribed into a dicistronic transcriptional unit. Human BACE protein expression in transplastomic tobacco was determined by western blot analysis. ELISA analysis revealed that, based on a dilution series of E. coli-derived BACE as a standard, transplastomic lines accumulated BACE to levels of 2.0% of total soluble proteins. When mice were gavaged with the transplastomic tobacco extracts, they showed an immune response against the BACE antigen. The successful production of plastid-based BACE protein has the potential for developing a plant-based vaccine against Alzheimer disease.

Introduction

Alzheimer disease (AD) is a widespread senile dementia characterized by the progressive formation of insoluble amyloid plaques in the brain. The amyloid plaques comprise a 4 kDa β-amyloid protein (Aβ) derived by sequential proteolysis of the amyloid precursor protein (APP) through the activities of β- and γ-secretases (Tanahashi and Tabira 2007; McConlogue et al. 2007). These enzymes are considered to be therapeutic targets important in the treatment of AD (Pastarino et al. 2004). However, γ-secretase is not an ideal therapeutic target because it is also responsible for the cleavage of a number of other important cellular proteins involved in signaling processes. Thus, β-secretase, or β-site APP cleaving enzyme (BACE), is a more attractive therapeutic target (Parsons and Austen 2007). Chang et al. (2007) showed that immunization of transgenic AD mice (Tg2576) with BACE resulted in Aβ reduction and cognitive improvement. They suggested that immunization may have resulted in anti-BACE antibodies penetrating the blood–brain barrier (BBB) and binding to BACE located on neuronal surfaces, thereby inhibiting enzyme activity. When BACE-antibody complex is endocytosed, BACE cleavage of APP is inhibited by the bound antibody, resulting in a decrease in Aβ production. Consequently, immunization with BACE to produce antibodies that neutralize β-secretase activity leading to a reduction in Aβ is being considered as a new therapeutic concept for AD. Previously, it was shown that although BACE knockout mice have reduced Aβ production, they do not exhibit any abnormal phenotypes (Luo et al. 2001). The BACE gene was cloned and characterized in 1999 (Vassar et al. 1999), and various BACE constructs have been expressed in insect (Bruinzeel et al. 2002), mammalian (Emmons et al. 2008), and E. coli cells (Sardana et al. 2004; Tomasselli et al. 2008).

For the production of pharmaceutical proteins, chloroplast transformation has advantages over nuclear transformation approaches, such as high-level transgene expression (Daniell et al. 2002), multi-gene engineering in a single transformation event (De Cosa et al. 2001; Jeong et al. 2004), transgene containment via maternal inheritance (Daniell et al. 2002), and lack of gene silencing and position effects due to site-specific integration (De Cosa et al. 2001; Daniell et al. 2002; Lee et al. 2003; Watson et al. 2004). The recombinant protein yield can be dramatically increased, especially in tobacco, because a leaf cell contains as many as 100 chloroplasts, with up to 100 genomes each; a total of approximately 10,000 plastome copies per cell. Biopharmaceutical compounds, such as human somatotropin (Staub et al. 2000), human papillomavirus L1 protein (Fernandez-San Millan et al. 2008), the B-subunit of the cholera toxin (CTB) (Daniell et al. 2001a), and the tetanus toxin (Tregoning et al. 2005), have been expressed at high levels (4–25% of TSP). Additionally, environmental concerns regarding transgene escape via pollen from nuclear transgenic plants is abrogated by chloroplast transformation due to the maternal inheritance of plastids in most cultivated plants (Molina et al. 2004).

Recently, in our laboratory, human BACE protein was expressed in nuclear transformed transgenic potato and tomato plants in an attempt to develop a plant-derived AD vaccine (Youm et al. unpublished data). Following analysis of these transgenic plants, the human BACE was shown to accumulate to levels of 0.12–0.19% of total soluble protein (TSP). Low levels of heterologous protein accumulation in plants is regarded as one of the limiting factors in the commercialization of plant-derived vaccines. Here, we introduced a human BACE gene into the plastome of tobacco plants to increase transgenic protein accumulation. Tobacco plants produce a large biomass, yielding approximately 170 metric tons of biomass per hectare (Fischer and Emans 2000). Tobacco, a nonfood and non-feed crop, is self-pollinating, thus minimizing transgene escape. Most importantly, we chose tobacco because it is a model plant for plastid transformation and is closely related to potato and tomato plants. In the current study, we report on the integration and expression of the human BACE gene in the plastome. The accumulation levels and antigenicity of the BACE protein derived from transplastomic tobacco were analyzed by western blot or ELISA. The immunogenic responses of tobacco plastid-derived BACE were observed by oral application in test mice. We discuss the potential use of plastid-derived BACE antigen as a new oral vaccine against AD. This may be the first step toward developing a plant-based vaccine against AD.

Materials and methods

Plant material

Tobacco seeds (Nicotiana tabacum L. cv. Xanthi) were surface sterilized with 70% ethanol for 10 min followed by 15 min in 1.0% sodium hypochlorite. Seeds were then washed three times in sterile water before being placed in petri dishes containing solid MS tissue culture medium (Murashige and Skoog 1962) supplemented with 3% sucrose and solidified with 0.8% agar, pH 5.8, at 25°C under long-day conditions (16 h light/8 h dark) with 45 μmol photons m−2 s−1 white light. Leaves from 8–12-weeks-old plants were used for bombardment.

Construction of the plastid dicistronic expression vector

In accordance with the previously published methods used to construct the plastid transformation vector pTIG (Jeong et al. 2004), we constructed a new vector for dicistronic expression of the aadA and human BACE genes under the control of the plastid rrn promoter (only PEP-type) with identical sequence reported by Svab and Maliga (1993). Human BACE was amplified from the pET19b/BACE22460 plasmid (kindly provided by Dr. Inhee Mook-Jung at Seoul National University, Korea) with two primers: forward primer (5′-TTtctagaAGGAGGTATAACA ATG ACC CAG CAC GGC ATC CGG-3′), which included an XbaI restriction site and a start codon (underlined); reverse primer (5′-GCCCtctagaTTA ATA GGC TAT GGT CAT GAG-3′), which included an XbaI restriction site and a stop codon (underlined). A single amplification product of the expected size of BACE was purified and subcloned into the TOPO TA plasmid (Invitrogen, San Diego, CA, USA) and confirmed by DNA sequencing. The BACE gene was connected by a linker sequence (5′-AGA AGG AGG TAT AAC A-3′) including the rbs (consensus ribosome binding site GGAGG to enhance translation of BACE) to the 3′ end of the antibiotic resistance gene aadA.

In summary, the construct included the following sequences: the border sequences with trnI and trnA genes, which are homologous to the trnI and trnA genes in the inverted repeat region of the tobacco plastome; Prrn, the constitutive promoter of 16S rRNA; the aminoglycoside 3′-adenylyltransferase (aadA), conferring resistance to both spectinomycin and streptomycin; the rbs fused to the BACE coding sequence; and the 3′ UTR of the psbA gene. The final vector is referred to as CtVBACE (Fig. 1a).

Fig. 1
figure 1

Introduction of the human BACE gene into the tobacco plastome. a Construction of the transformation vector. The trnI and trnA genes were used as flanking sequences for homologous recombination. The aadA gene conferring spectinomycin resistance was used for selection of transgenic shoots. The aadA and BACE gene were regulated by the rrn promoter (Prrn) and the 3′-UTR of psbA gene (TpsbA) elements. A synthetic ribosome binding site (rbs) was used to achieve translation of BACE. PCR primers are marked as FI and RA with short lines and BglII restriction sites are indicated with the expected size. b Analysis of primary transplastomic plants carrying the human BACE gene integrated into the plastome. Targeted integration of the aadA/BACE expression cassette is indicated by a 3.0 kb product generated from all 8 primary transformed lines; Wt-genomic DNA from non-transformed tobacco plants was used as a negative control

Chloroplast transformation

The chloroplast transformation method used in this study was published previously by Jeong et al. (2004). Leaf blades were placed abaxial side up on MS medium supplemented with 4.44 μM 6-benzylaminopurine and 0.54 μM α-naphthalaneacetic acid (shoot-inducing medium) in plastic petri dishes (87 × 15 mm). Leaf blades were bombarded by gold particles (0.6 μm) coated with vector DNA at 1,100 psi and 28 inches Hg using a biolistic particle delivery system (PDS 1000/He; Bio-Rad, Hercules, CA, USA). Following particle bombardment, the tissues were incubated in the dark at 25°C for 48 h on shoot-inducing media. After 2 day, the leaves were dissected into sections and then cultured for antibiotic selection and regeneration, until shoot development was induced. Homoplasmic transplastomic lines were selected after three rounds of regeneration under selection conditions, and transferred onto MS basal medium containing 500 mg l−1 spectinomycin to induce rooting. Transplastomic plants were transferred to pots and grown in a greenhouse to evaluate the phenotype. PCR was performed on primary regenerated shoots to determine transgene integration into the plastome. PCR primers FI (5′-CCGTAGGTGCGATGATTTACTTC-3′) and RA (5′-AGAGTCTTTCAGTGGCACGTTTC-3′), which anneal to regions of the trnI gene and the trnA gene, respectively, were used to confirm transgene integration into the N. tabacum plastome. PCRs were carried out in a DNA thermal cycler (GeneAmp PCR system 9700; Applied Biosystems, Carlsbad, CA, USA) under the following conditions: 94°C for 5 min, followed by 30 cycles of 94°C for 1 min, 55°C for 1 min, and 72°C for 2 min, with a final 10 min extension at 72°C.

Southern blotting

Total genomic DNA was isolated from tobacco leaf tissues (120 mg) using the DNeasy Plant Mini Kit (Qiagen, Valencia, CA, USA) and following the manufacturer’s instructions. Approximately 5 μg of genomic DNA was digested with BglII, separated on 0.8% (w/v) agarose gels, and blotted onto nylon membranes (Zeta-Probe GT genomic tested blotting membranes; Bio-Rad) in 10× SSC. For probes, a 0.15 kb trnA-specific DNA fragment was amplified by PCR using CtVBACE as a template and trnA F1 (5′-TGCGATTACGGGTTGGATGT-3′) and trnA R1 (5′-GTTCTTGACAGCCCATCTTT-3′) primers, and a 0.33 kb BACE-specific DNA fragment was prepared from restriction digestion of the BACE gene with XbaI and BstEII. The two probes were then labeled with [32P] dCTP using the Random Primed DNA Labeling kit (Roche Diagnostics, Mannheim, Germany). Prehybridization and hybridization were carried out overnight in 0.25 M sodium phosphate (pH 7.2) and 7% (w/v) SDS solution at 65°C. The membranes were washed in 20 mM sodium phosphate (pH 7.2) and 5% (w/v) SDS at 65°C for 15 min, then washed in 20 mM sodium phosphate (pH 7.2) and 1% (w/v) SDS at 65°C for 15 min. The membranes were exposed using an Imaging Plate (Fujifilm, Tokyo, Japan) at room temperature (RT).

RNA blotting

Total RNA was extracted from leaves of wild-type (Wt) and transplastomic tobacco plants using the RNeasy Plant Mini Kit (Qiagen) according to the manufacturer’s instructions. RNA (5 μg) was denatured with formaldehyde and formamide, fractionated in a 1% agarose gel using 3-(N-morpholino) propanesulfonic acid (MOPS) buffer, and then blotted onto nylon membranes (Zeta-Probe GT genomic tested blotting membranes; Bio-Rad) in 20× SSC overnight. A 0.33 kb BACE-specific DNA fragment (probe) was prepared from restriction digestion of the BACE gene with XbaI and BstEII. The probe was labeled with [α-32P] dCTP. Prehybridization, hybridization at 65°C overnight, and washing of the membrane was carried out according to the manufacturer’s instructions.

SDS–PAGE and immunoblotting

Total soluble proteins (TSP) were extracted from leaves of Wt and transplastomic tobacco plants by homogenization in cold protein extraction buffer containing 1× PBS (pH 7.4), 10 mM EDTA, 1 mM proteinase inhibitor cocktail, 0.1% Triton X-100, and 5 mM β-mercaptoethanol (1 g of fresh weight ml−1). The extract was centrifuged for 20 min at 13,000 rpm and the protein concentration was quantified by the Bradford method (Bradford 1976). After separation by 10% SDS–PAGE and transfer to PVDF (Millipore, Bedford, MA, USA), the BACE antigen protein was detected with a specific anti-BACE polyclonal antibody (Calbiochem, Darmstadt, Germany) followed by a goat anti-rabbit IgG secondary antibody conjugated to horseradish peroxidase (Sigma, St. Louis, MO, USA).

Quantitative ELISA assay of tobacco plastid-derived BACE

The levels of BACE protein in transplastomic plants were determined using a quantitative ELISA analysis. The ELISA plates (Nunc-Immuno Maxisorp, Roskilde, Denmark) were coated with TSP from Wt or transplastomic lines B5, C7, E10, and H3, respectively, and incubated overnight at 4°C. The background was blocked with 5% skim milk in PBST (200 μl per well), and the plate was incubated with a 1:1,000 dilution of goat anti-BACE (Santa Cruz Biotech Inc., Santa Cruz, CA, USA) polyclonal (100 μl per well) for 2 h at RT, and then incubated with horseradish peroxidase (HRP)-conjugated secondary antibody (Sigma). The plates were finally incubated with the chemiluminescent substrate, TMB peroxidase substrate solution (Pierce, Rockford, USA), for 30 min at RT in the dark to maximize the reaction rate. After the confirmation of sufficient color development, reactions were stopped with 2.5 M H2SO4. The plates were then assessed for absorbance at 492 nm. The amount of BACE protein in TSPs (μg antigen ml−1 TSP) was estimated by comparing with standard concentrations of E.coli-derived BACE.

Protein preparation for mouse administration

Freshly harvested tobacco leaves (500 mg) were quickly powdered in liquid nitrogen, and TSP was extracted with ice-cold buffer containing phosphate-buffered saline (PBS; Sigma), 1 mM EDTA, 0.1% Triton X-100, and 1× proteinase inhibitor (Roche diagnostics). After homogenization, the samples were centrifuged twice at 12,000 rpm for 20 min at 4°C. The supernatant was concentrated by automatic speedvac (AS160; Savant, NY, USA) into 0.5 ml, the appropriate volume for a single dose to mice.

Vaccination of Balb/c mice with tobacco plastid-derived BACE

Balb/c mice of both sexes, weighing 24–25 g, were used in the immunization experiments. The mice were gavaged with the 0.5 ml extracts from transplastomic tobacco line CtVBACE-B5 (five mice) or Wt tobacco plants (five mice) plus 10 μg of Cholera Toxin (CT, Sigma) on days 0, 7, and 14. Immunizations were performed using a 1 ml syringe fitted with a gavage needle. Prior to the oral immunizations, 0.2 ml of sodium bicarbonate was applied by gastric gavage to each of the mice to neutralize stomach acidity. Before the initial immunization with the plastid-derived BACE (day 0) and after the third primary immunization (day 14), blood was drawn from the orbital plexus of each mouse to obtain antiserum samples. Each mouse was given an intraperitoneal booster with 10 μg of yeast-derived recombinant BACE emulsified in alum two weeks after the third administration (day 28). Sera were collected from the mice a week after boosting (day 35), and all blood samples were analyzed by ELISA.

Direct ELISA for anti-BACE antibody

Most of the procedures were performed as previously described by Youm et al. (2005). Briefly, flat-bottom ELISA plates were coated overnight at 4°C with antigen (0.1 μg well−1 or 1.0 μg well−1 BACE with 0.05 M carbonate-bicarbonate buffer [pH 9.6]). The coated plates were incubated for 2 h at RT with serum samples diluted 1:100 in blocking buffer. The plates were then incubated for 2 h at RT with anti-mouse IgG-conjugated horseradish peroxidase (secondary antibody) diluted 1:1,000 in blocking buffer. Tetra methyl benzidine (TMB) substrate 100 μl (Pierce) was added to visualize the color development for 30 min and H2O2 was added to stop the reaction at RT. Developed ELISA plates were read on a Microplate reader (Model 680, Bio-Rad).

Results

Generation of BACE-expressing transplastomic tobacco plants

The 1.3 kb human BACE gene (coding for amino acids 22–460 without the transmembrane domain sequence) was placed under the transcriptional control of Prrn, the constitutive promoter of 16S rRNA. Prrn is the strong plastid rRNA operon promoter (Vera and Sugiura 1995). This gene construct, called CtVBACE, was introduced into tobacco chloroplasts via a biolistic particle delivery system, and shoots were observed on explants after 5–6 weeks on selection medium. Eight independent green primary-shoots were selected after plastid transformation of tobacco using the vector CtVBACE.

Analysis of transplastomic plants

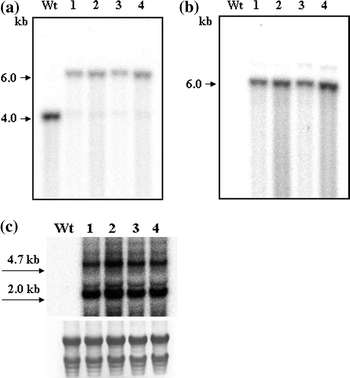
The eight plant lines regenerated on selection medium were analyzed by PCR using primers designed to detect the aadA::BACE gene integrated into the plastome. A 0.3 kb PCR-amplified product was detected in all plants, including Wt ones, and a 3.0 kb PCR-amplified product was detected in the eight transformed primary tobacco lines but not in Wt tobacco (Fig. 1b). This indicated that the gene of interest had integrated into the plastome of the transgenic tobacco and that the lines were heteroplasmic for the transgene insertion. Four homoplasmic lines (B5, C7, E10, and H3) were obtained following two further rounds of regeneration under selection from four primary regenerated shoots (2, 3, 5, and 7, respectively). Correct integration of the BACE gene into the plastome of the four homoplasmic lines was confirmed by Southern blot analysis. The [32P] dCTP-labeled trnA probe hybridized to a 4.7 kb BglII fragment in the untransformed control and to a 7.4 kb fragment in the transplastomic tobacco lines (Fig. 2a). The blot was probed with the BACE coding region probe which only hybridized the 7.4 kb BglII fragment in the transgenic lines (Fig. 2b). These results confirmed that the human BACE gene had integrated into the plastome of the transformants through homologous recombination in the trnI-trnA region.

Fig. 2
figure 2

Analysis of four transplastomic tobacco plants by Southern (a and b) and northern (c) blot. Genomic DNA (5 μg) isolated from non-transformed wild-type plant (Wt) and transplastomic tobacco lines (1–4 correspond to lines B5, C7, E10, and H3) was digested with BglII. DNA blot hybridized with trnA probe (a) and BACE probe (b). c Northern blot analysis of CtVBACE mRNA in transplastomic tobacco plants. Total RNA was extracted from Wt and transplastomic tobacco plants. RNA blot hybridized with BACE probe. Loading was monitored by methylene blue staining of the blot

BACE gene transcription in the chloroplast was analyzed by northern blot analysis. The expected length of the aadA::BACE dicistronic transcript was approximately 2.0 kb (0.7 kb for aadA and 1.3 kb for BACE). The BACE probe detected a major transcript of approximately 2 kb, indicating that the BACE gene was dicistronically expressed in transplastomic plants (Fig. 2c). A second major transcript (4.7 kb) hybridizing to the BACE gene probe is attributed to transgene transcription via read-through from the endogenous 16S rRNA promoter (Jeong et al. 2004; Sugita and Sugiura 1996).

Accumulation of BACE protein in transplastomic tobacco

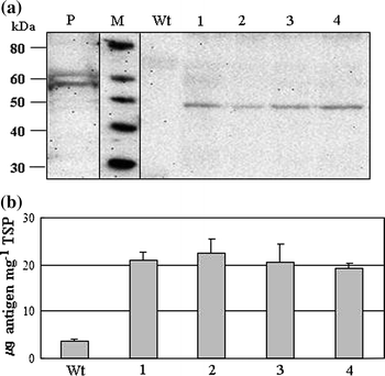
The polyclonal anti-BACE antiserum recognized a protein of the expected size for BACE in all four plastid transformed lines (48 kDa, Fig. 3a). No protein was detected in Wt tobacco using this antibody (Fig. 3a).

Fig. 3
figure 3

Analysis of human BACE protein accumulation in transplastomic plants. a Western blot analysis of TSP from transplastomic tobacco plants and Wt tobacco using anti-BACE serum. Lanes: M, protein weight marker (kDa); P, AB10 (E.coli-produced BACE) cell extracts; Wt, extracts from nontransformed tobacco plant; 1–4, extracts from independent transplastomic tobacco plants B5, C7, E10, and H3, respectively. b BACE protein quantification of transplastomic lines by ELISA analysis. The amount of BACE protein in TSPs (μg antigen mg−1 TSP) was calculated by comparing of absorbance with standard concentrations of E.coli-derived BACE

ELISA analysis was used to quantify the level of BACE protein accumulation in the four transgenic lines. Transplastomic lines B5, C7, E10, and H3 showed significant levels of BACE protein accumulation estimated at 21.05, 22.51, 20.53, and 19.38 μg mg−1 TSP, respectively (Fig. 3b). As expected, the Wt samples showed no change in color development on the ELISA, indicating the absence of BACE protein. The amount of BACE protein produced in each plant line was calculated as the percent of BACE protein detected in triplicate ELISA compared to the TSP. Accordingly, BACE protein accumulation was estimated at 4.8–5.6 μg 100 mg−1 fresh weight in the transplastomic lines.

The transplastomic line B5 was used for further oral administration.

Immune response of mice to tobacco chloroplast-derived BACE

To evaluate the immune response of mice to chloroplast-derived BACE protein, mice were immunized with BACE protein from the transplastomic tobacco line CtVBACE-B5 or from Wt tobacco as a control. Mice were orally gavaged with ~25 μg of BACE protein, and then boosted on day 28 with 10 μg of yeast-derived recombinant BACE emulsified in alum. To determine the anti-BACE response, sera was collected before antigen administration as a control, after the third administration, and after the booster. Sera from mice immunized with transplastomic tobacco protein extract had a slight response as measured by ELISA after the third administration, and there was a significant increase in serum reactivity against BACE after boosting (Fig. 4a). Mice inoculated with Wt tobacco extract did not produce any BACE-specific antibodies until boosting. During immunization with plastid-derived BACE antigen, none of the mice died, and weight gain was the same as those inoculated with control extracts (Fig. 4b). We checked the growth pattern of normal, means non-immunized, mice as control group. There was no difference in growth between the non-immunized mice (data not shown) and those immunized with Wt tobacco extracts (Fig. 4b). These findings indicate that oral delivery of plastid-derived BACE was immunogenic in mice.

Fig. 4
figure 4

a Blood serum anti-BACE antibody response to tobacco plastid-derived BACE in Balb/c mice after oral immunization. Mice were gavaged with extracts from Wt tobacco plants or from the transplastomic tobacco line CtVBACE-B5 with Cholera Toxin as an adjuvant on days 0, 7, and 14. Mice sera were collected before inoculation (days 0) (□); after the third primary immunization (days 14) (▨); and after the booster (day 35) (■). Sera were analyzed by ELISA for induced antibodies specific to BACE. Each bar respresents the average of five immunized mice ± standard error. b Effect of oral immunization of plastid-derived BACE on the body weight in Balb/c mice. The three administrations of plastid-derived BACE are indicated by solid-line arrows, and intraperitoneal booster with 10 μg of yeast-derived recombinant BACE is indicated by a dotted-line arrow. Blood was drawn from the orbital plexus of each mouse on days 0, 14 and 35, to obtain antiserum samples (∇)

Discussion

The most likely cause of AD is neuronal cell death induced by the accumulation of toxic Aβ protein in the brain. Thus, a therapeutic agent that could fundamentally inhibit the degeneration of neurons by inhibiting the production and toxicity of Aβ would be a highly effective means of preventing and treating AD. Aβ is produced by the cleavage actions of β-secretase (BACE) and γ-secretase during an amyloidogenic metabolic process. β-secretase inhibition may prevent dementia; this would be more efficient and economical than removing previously formed Aβ. Therefore, β-secretase inhibition through vaccination is presently receiving increased attention worldwide (McConlogue et al. 2007).

In the present study, attempts were made to achieve high level expression of human BACE in tobacco plants via chloroplast transformation. Following particle bombardment with the CtVBACE construct and after three rounds of selection, four transplastomic tobacco lines were obtained. Western blot confirmed that plastid-derived BACE protein was recognized by an antibody specific to human BACE, and ELISA analysis estimated BACE protein accumulation in transgenic lines at approximately 2.0% of TSP. This is much higher than the BACE yield from nuclear transformed potato tuber or tomato fruit, estimated at 0.12–0.19% of TSP (Youm et al. unpublished data). However, the level of plastid-based BACE accumulation achieved in this study is lower than what can be expected from chloroplast transformation. The chimeric CTB-2L21 protein was accumulated in tobacco chloroplasts to levels up to 31.1% of TSP (Molina et al. 2004), and the tetanus fragment C toxin to levels of 10–25% of TSP (Tregoning et al. 2005). Furthermore, PA/g for anthrax was accumulated in plastid-transformed plants at levels up to 2.5 mg g−1 fresh weight (Watson et al. 2004). However, other antigens such as FMDV VP1 protein (2.0–3.0% of TSP [Li et al. 2006a, b]), HPV L1 (up to 1.5% of TSP [Lenzi et al. 2008]), and SARS-CoV S1 protein (approximately 0.2% of TSP [Li et al. 2006a, b]) accumulated in transplastomic plants at levels that were similar to, or lower than, those achieved for BACE protein in our study. These markedly different expression levels may be due to the type of antigen being expressed, post-transcriptional events and/or protein stability in plastids. Herz et al. (2005) reported that protein expression in the plastid depended on several factors including the types of transformation vectors, promoter and translational control elements used, and external factors like plant age or light intensity. Therefore, the levels of BACE expression achieved in this study may be attributable to some of these various factors.

As expected, in stable transplastomic tobacco plants, immunoblot analyses detected a protein that is smaller than the E. coli-derived BACE. The E. coli-derived BACE has a molecular mass of ~60 kDa, whereas the plastid-derived BACE has a 48 kDa since the transmembrane domain was removed. From this result, we could estimate that the protein size of the chloroplast-derived BACE was not changed due to post-translational process. Chloroplasts have the ability to process eukaryotic proteins, including correct folding of subunits and formation of disulfide bridges (Staub et al. 2000; Daniell et al. 2001b), result in fully functional recombinant protein. In the present study, although we have not analyzed the glycosylation status of the chloroplast-derived BACE protein, the recombinant BACE was immunologically active.

BACE expression in tobacco chloroplasts did not affect plant growth rate, flowering, or seed set, and there was no apparent morphological difference between transplastomic and Wt tobacco plants in the greenhouse (data not shown). This observation concurs with previous reports where transplastomic tobacco plants expressing CTB (Daniell et al. 2001a) or ETEC (Kang et al. 2004) had no pleiotropic effects compared to Wt plants.

Our results show that mice administered with extracts from transplastomic tobacco exhibited a slight induction of primary anti-BACE antibody after three inoculations. However, there was a significant increase in BACE antiserum after boosting compared to the primary antibody response, suggesting that memory immune cells were established as a result of oral immunization. An immediate and strong secondary antibody induction was observed in several studies of small animals that received a boost of commercial vaccines (Richter et al. 2000; Kong et al. 2001). Induction of specific-Aβ antibodies by plant-derived Aβ was reported in a previous study (Youm et al. 2005, 2008). Much work remains to confirm the feasibility of plastid-produced BACE as an AD vaccine, including characterization of plastid-produced human BACE, purification and processing of BACE, and immunization of a disease model animal.

In conclusion, we successfully expressed human BACE in transplastomic tobacco plants at levels higher than those expressed in transgenic potato or tomato plants. Moreover, this candidate plant-derived antigen was immunogenic via oral route delivery in mice and may be a useful model for developing a broad-spectrum plant-based vaccine against AD.

References

  • Bradford MM (1976) A rapid and sensitive method for the quantitization of microgram quantities of protein utilizing the principle of protein-dye binding. Annal Biochem 72:248–254

    CAS  Article  Google Scholar 

  • Bruinzeel W, Yon J, Giovannelli S, Masure S (2002) Recombinant insect cell expression and purification of human β-secreatase (BACE-1) for X-ray crystallography. Protein Expr Purif 26:139–148

    CAS  PubMed  Article  Google Scholar 

  • Chang WP, Downs D, Huang XP, Da H, Fung KM, Tang J (2007) Amyloid-beta reduction by memapsin 2 (beta-secretase) immunization. FASEB J 21:3184–3196

    CAS  PubMed  Article  Google Scholar 

  • Daniell H, Lee SB, Panchal T, Wiebe PO (2001a) Expression of the native cholera toxin B subunit gene and assembly as functional oligomers in transgenic tobacco chloroplasts. J Mol Biol 311:1001–1009

    CAS  PubMed  Article  Google Scholar 

  • Daniell H, Streatfield SJ, Wycoff K (2001b) Medical molecular farming; production of antibodies, biopharmaceuticals and edible vaccines in plants. Trends Plant Sci 6:219–226

    CAS  PubMed  Article  Google Scholar 

  • Daniell H, Khan MS, Allison L (2002) Milestones in chloroplast genetic engineering: an environmentally friendly era in biotechnology. Trends Plant Sci 7:84–91

    CAS  PubMed  Article  Google Scholar 

  • De Cosa B, Moar W, Lee SB, Miller M, Daniell H (2001) Overexpression of the Bt cry2Aa2 operon in chloroplasts leads to formation of insecticidal crystals. Nat Biotechnol 19:71–74. doi:10.1038/83559

    PubMed  Article  Google Scholar 

  • Emmons TL, Shuck ME, Babcock MS, Holloway JS, Leone JW, Durbin JD, Paddock DJ, Prince DB, Heinrikson RL, Fischer HD, Bienkowski MJ, Benson TE, Tomasselli AG (2008) Large-scale purification of human BACE expressed in mammalian cells and removal of the prosegment with HIV-1 protease to improve crystal diffraction. Protein Pep Lett 15:119–130

    CAS  Article  Google Scholar 

  • Fernandez-San Millan A, Ortigosa SM, Hervas-Stubbs S, Corral-Martinez P, Segui-Simarro JM, Gaetan J, Coursaget P, Veramendi J (2008) Human papillomavirus L1 protein expressed in tobacco chloroplasts self-assembles into virus-like particles that are highly immunogenic. Plant Biotechnol J 6:427–441

    CAS  PubMed  Article  Google Scholar 

  • Fischer R, Emans N (2000) Molecular farming of pharmaceutical proteins. Transgenic Res 9:279–299

    CAS  PubMed  Article  Google Scholar 

  • Herz S, Füssl M, Steiger S, Koop HU (2005) Development of novel types of plastid transformation vectors and evaluation of factors controlling expression. Transgenic Res 14:969–982

    CAS  PubMed  Article  Google Scholar 

  • Jeong SW, Jeong WJ, Woo JW, Choi DW, Park YI, Liu JR (2004) Dicistronic expression of the green fluorescent protein and antibiotic resistance genes in the plastid for selection and tracking of plastid-transformed cells in tobacco. Plant Cell Rep 22:747–751

    CAS  PubMed  Article  Google Scholar 

  • Kang TJ, Han SC, Kim MY, Kim YS, Yang MS (2004) Expression of non-toxic mutant of Escherichia coli heat-labile enterotoxin in tobacco chloroplasts. Protein Expr Purif 38:123–128

    CAS  PubMed  Article  Google Scholar 

  • Kong Q, Richter L, Yang YF, Arntzen CJ, Mason HS, Thanavala Y (2001) Oral immunization with hepatitis B surface antigen expressed in transgenic plants. Proc Natl Acad Sci USA 98:11539–11544

    CAS  PubMed  Article  Google Scholar 

  • Lee SB, Kwon HB, Kwon SJ, Park SC, Jeong MJ, Han SE, Byun MO, Daniell H (2003) Accumulation of trehalose within transgenic chloroplasts confers drought tolerance. Mol Breeding 11:1–13. doi:10.1023/A:1022100404542

    CAS  Article  Google Scholar 

  • Lenzi P, Scotti N, Alagna F, Tornesello ML, Pompa A, Vitale A, Monti L, Grillo S, Buonaguro FM, Maliga P, Cardi T (2008) Translational fusion of chloroplast-expressed human papillomavirus type 16 L1 capsid protein enhances antigen accumulation in transplastomic tobacco. Transgenic Res 17:1091–1102

    CAS  PubMed  Article  Google Scholar 

  • Li HY, Ramalingam S, Chye ML (2006a) Accumulation of recombinant SARS-CoV spike protein in plant cytosol and chloroplasts indicate potential for development of plant-derived oral vaccines. Exp Biol Med 231:1346–1352

    CAS  Google Scholar 

  • Li Y, Sun M, Liu J, Yang Z, Zhang Z, Shen G (2006b) High expression of foot-and-mouth disease virus structural protein VP1 in tobacco chloroplasts. Plant Cell Rep 25:329–333

    CAS  PubMed  Article  Google Scholar 

  • Luo Y, Bolon B, Kahn S, Bennett BD, Babu-Khan S, Denis P, Fan W, Kha H, Zhang J, Gong Y, Martin L, Louis JC, Yan Q, Richards WG, Citron M, Vassar R (2001) Mice deficient in BACE1, the Alzheimer’s β-secretase, have normal phenotype and abolished β-amyloid generation. Nat Neurosci 4:231–232

    CAS  PubMed  Article  Google Scholar 

  • McConlogue L, Buttini M, Anderson JP, Brigham EF, Chen KS, Freedman SB, Games D, Johnson-Wood K, Lee M, Weller M, Liu W, Motter R, Sinha S (2007) Partial reduction of BACE1 has dramatic effects on Alzheimer plaque and synaptic pathology in APP transgenic mice. J Biol Chem 282:26326–26334

    CAS  PubMed  Article  Google Scholar 

  • Molina A, Hervas-Stubbs S, Daniell H, Mingo-Castel AM, Veramendi J (2004) High-yield expression of a viral peptide animal vaccine in transgenic tobacco chloroplasts. Plant Biotechnol J 2:141–153

    CAS  PubMed  Article  Google Scholar 

  • Murashige T, Skoog F (1962) A revised medium for rapid growth and bioassays with tobacco tissue culture. Physiol Plant 15:473–479

    CAS  Article  Google Scholar 

  • Parsons RB, Austen BM (2007) Protein-protein interactions in the assembly and subcellular trafficking of the BACE (β-site amyloid precursor protein cleaving enzyme) complex of Alzheimer’s disease. Biochem Soc Trans 35:974–979

    CAS  PubMed  Article  Google Scholar 

  • Pastarino L, Ikin AF, Lamprianou S, Vacaresse N, Revelli JP, Platt K, Paganetti P, Mathews PM, Harroch S, Buxbaum JD (2004) BACE modulates the processing of APLPs in vivo. Mol Cell Neurosci 25:642–649

    Article  Google Scholar 

  • Richter L, Thanavala Y, Arntzen CJ, Mason HS (2000) Production of hepatitis B surface antigen in transgenic plants for oral immunization. Nat Biotechnol 18:1167–1171

    CAS  PubMed  Article  Google Scholar 

  • Sardana V, Xu B, Zugay-Murphy J, Chen Z, Sardana M, Darke PL, Munshi S (2004) A general procedure for the purification of human β-secretase expressed in Escherichia coli. Protein Expr Purif 34:190–196

    CAS  PubMed  Article  Google Scholar 

  • Staub JM, Garcia B, Graves J, Hajdukiewicz PTJ, Hunter P, Nehra N, Paradkar V, Schlittler M, Carroll JA, Spatola L, Ward D, Ye G, Russell DA (2000) High-yield production of a human therapeutic protein in tobacco chloroplasts. Nat Biotechnol 18:333–338

    CAS  PubMed  Article  Google Scholar 

  • Sugita M, Sugiura M (1996) Regulation of gene expression in chloroplasts of higher plants. Plant Mol Biol 32:315–326

    CAS  PubMed  Article  Google Scholar 

  • Svab Z, Maliga P (1993) High-frequency plastid transformation in tobacco by selection for a chimeric aadA gene. Proc Natl Acad Sci USA 90:913–917

    CAS  PubMed  Article  Google Scholar 

  • Tanahashi H, Tabira T (2007) A novel beta-site amyloid precursor protein cleaving enzyme (BACE) isoform regulated by nonsense-mediated mRNA decay and proteasome-dependent degradation. Neurosci Lett 428:103–108

    CAS  PubMed  Article  Google Scholar 

  • Tomasselli AG, Paddock DJ, Emmons TL, Mildner AM, Leone JW, Lull JM, Cialdella JI, Prince DB, Fischer HD, Heinrikson RL, Benson TE (2008) High yield expression of human BACE constructs in E. coli for refolding, purification, and high resolution diffracting crystal forms. Protein Pep Lett 15:131–143

    CAS  Article  Google Scholar 

  • Tregoning JS, Clare S, Bowe F, Edwards L, Fairweather N, Qazi O, Nixon PJ, Maliga P, Dougan G, Hussell T (2005) Protection against tetanus toxin using a plant-based vaccine. Eur J Immunol 35:1320–1326

    CAS  PubMed  Article  Google Scholar 

  • Vassar R, Bennett BD, Babu-Khan S (1999) β-Secretase cleavage of Alzheimer’s amyloid precursor protein by the transmembrane aspartic protease BACE. Science 286:735–741

    CAS  PubMed  Article  Google Scholar 

  • Vera A, Sugiura M (1995) Chloroplast rRNA transcription from structurally different tandem promoters: an additional novel-type promoter. Curr Genet 27:280–284

    CAS  PubMed  Article  Google Scholar 

  • Watson J, Koya V, Leppla SH, Daniell H (2004) Expression of Bacillus antjracis protective antigen in transgenic chloroplasts of tobacco, a non-food/feed crop. Vaccine 22:4374–4384

    CAS  PubMed  Article  Google Scholar 

  • Youm JW, Kim H, Han JHL, Jang CH, Ha HJ, Mook-Jung I, Jeon JH, Choi CY, Kim YH, Kim HS, Joung H (2005) Transgenic potato expressing Aβ reduce Aβ burden in Alzheimer’s disease mouse model. FEBS Lett 579:6737–6744

    CAS  PubMed  Article  Google Scholar 

  • Youm JW, Jeon JH, Kim H, Kim YH, Ko K, Joung H, Kim HS (2008) Transgenic tomatoes expressing human beta-amyloid for use as a vaccine against Alzheimer’s disease. Biotechnol Lett 30:1839–1845

    CAS  PubMed  Article  Google Scholar 

Download references

Acknowledgements

This research was supported by grants from the Plant Diversity Research Center of the 21st Century Frontier Research Program and the ARPC research fund of Ministry for Food, Agriculture, Forestry, and Fisheries.

Author information

Affiliations

Authors

Corresponding authors

Correspondence to Won Joong Jeong or Hyun Soon Kim.

Rights and permissions

Reprints and Permissions

About this article

Cite this article

Youm, J.W., Jeon, J.H., Kim, H. et al. High-level expression of a human β-site APP cleaving enzyme in transgenic tobacco chloroplasts and its immunogenicity in mice. Transgenic Res 19, 1099–1108 (2010). https://doi.org/10.1007/s11248-010-9383-8

Download citation

  • Received:

  • Accepted:

  • Published:

  • Issue Date:

  • DOI: https://doi.org/10.1007/s11248-010-9383-8

Keywords

  • Chloroplast transformation
  • Plant-derived vaccine
  • Alzheimer disease
  • Nicotiana tabacum L.
  • β-secretase