Skip to main content

Diagnosis and endovascular treatment of acute thromboembolic renal artery occlusion presenting with abdominal pain

Abstract

Acute renal artery thromboembolic occlusion is seldomly encountered with respect to other central and peripheral ones. Patients may present with non-specific abdominal pain and renal colic. Organ functions can be preserved by means of endovascular treatment when early diagnosis is possible. Acute occlusion of renal arteries must be considered in the differential diagnosis of acute flank pain. This paper presents successful endovascular treatment of thromboembolic renal artery occlusion in two cases.

This is a preview of subscription content, access via your institution.

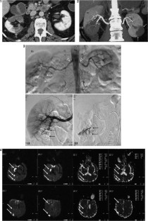
Fig. 1–4
Fig. 5–8

References

  1. Kawashima A, Sandler CM, Ernst RD, Tamm EP, Goldman SM, Fishman EK (2000) CT evaluation of renovascular disease. Radiographics 20:1321–1340

    PubMed  CAS  Google Scholar 

  2. Dunnick NR, Sandler CM, Amis ES Jr, Newhouse JH (1997) Textbook of uroradiology, 2nd edn. Williams & Wilkins, Baltimore, pp 297–324

    Google Scholar 

  3. Conlon PJ, Little MA, Pieper K, Mark DB (2001) Severity of renal vascular disease predicts mortality in patients undergoing coronary angiography. Kidney Int 60:1490–1497

    PubMed  Article  CAS  Google Scholar 

  4. Hélénon O, Correas JM, Chabriais J, Boyer JC, Melki P, Moreau JF (1998) Renal vascular doppler imaging: clinical benefits of power mode. Radiographics 18:1441–1454

    PubMed  Google Scholar 

  5. Glockner JF, Vrtiska TJ (2007) Renal MR and CT angiography: current concepts. Abdom Imaging 32:407–420

    PubMed  Article  Google Scholar 

  6. Singh G, Dhawan R, Potteiger CE, Bedi A, Modesto TA, Gutknecht DR (2001) Acute renal ınfarction secondary to left ventricular thrombus, masquerading as a renal calculus—a case report and brief review of literature. Angiology 52:717–720

    PubMed  Article  CAS  Google Scholar 

  7. Flye MW, Anderson RW, Fish JC, Silver D (1982) Successful surgical treatment of anuria caused by renal artery occlusion. Ann Surg 195:346–353

    PubMed  Article  CAS  Google Scholar 

  8. Davutoglu V, Yildirim C, Gunay N, Turkmen S (2005) Renal infarction mimicking renal colic in patient with a prosthetic aortic valve. Emerg Med J 22:595–596

    PubMed  Article  CAS  Google Scholar 

  9. Mügge A, Gulba DC, Frei U et al (1990) Renal artery embolism: thrombolysis with recombinant tissue-type plasminogen activator. J Intern Med 228:279–286

    PubMed  Article  Google Scholar 

  10. Piffaretti G, Riva F, Tozzi M et al (2008) Catheter-directed thrombolysis for acute renal artery thrombosis: report of 4 cases. Vasc Endovasc Surg 42:375–379

    Article  Google Scholar 

  11. Korzets Z, Plotkin E, Bernheim J, Zissin R (2002) The clinical spectrum of acute renal infarction. Isr Med Assoc J 4:781–784

    PubMed  Google Scholar 

  12. Singh O, Gupta SS, Sharma D, Lahoti BK, Mathur RK (2011) Isolated renal artery thrombosis because of blunt trauma abdomen: report of a case with review of the literature. Urol Int 86:233–238

    PubMed  Article  Google Scholar 

  13. Tousoulis D, Davies G, Stefanadis C, Toutouzas P, Ambrose JA (2003) Inflammatory and thrombotic mechanisms in coronary atherosclerosis. Heart 89:993–997

    PubMed  Article  CAS  Google Scholar 

  14. Hassan W, ElShaer F, Fawzy ME, Akhras N, Abdullah R, Fadel BM (2004) Successful lysis of intra-cardiac thrombi with streptokinase in patients with renal failure; two case reports and review of the literature. J Thromb Thrombolysis 18:145–149

    PubMed  Article  Google Scholar 

  15. Sternbergh WC III, Ramee SR, DeVun DA, Money SR (2000) Endovascular treatment of multiple visceral artery paradoxical emboli with mechanical and pharmacological thrombolysis. J Endovasc Ther 7:155–160

    PubMed  Article  Google Scholar 

  16. Rouvière O, Berger P, Béziat C et al (2002) Acute thrombosis of renal transplant artery: graft salvage by means of intra-arterial fibrinolysis. Transplantation 73:403–409

    PubMed  Article  Google Scholar 

Download references

Acknowledgments

We would like to thank Patricia E Miller for her cooperation.

Conflict of interest

We declare that we have no conflict of interest.

Author information

Affiliations

Authors

Corresponding author

Correspondence to Abdurrahim Dusak.

Rights and permissions

Reprints and Permissions

About this article

Cite this article

Dusak, A., Eryilmaz, N.Y., Gonen, A. et al. Diagnosis and endovascular treatment of acute thromboembolic renal artery occlusion presenting with abdominal pain. J Thromb Thrombolysis 34, 419–424 (2012). https://doi.org/10.1007/s11239-012-0729-3

Download citation

  • Published:

  • Issue Date:

  • DOI: https://doi.org/10.1007/s11239-012-0729-3

Keywords

  • Acute renal artery occlusion
  • Renal artery embolism
  • Renal thrombolysis