Skip to main content

Establishment of the forward genetic analysis of the chlorophyll d-dominated cyanobacterium Acaryochloris marina MBIC 11017 by applying in vivo transposon mutagenesis system

Abstract

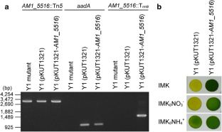
Acaryochloris marina MBIC 11017 possesses chlorophyll (Chl) d as a major Chl, which enables this organism to utilize far-red light for photosynthesis. Thus, the adaptation mechanism of far-red light utilization, including Chl d biosynthesis, has received much attention, though a limited number of reports on this subject have been published. To identify genes responsible for Chl d biosynthesis and adaptation to far-red light, molecular genetic analysis of A. marina was required. We developed a transformation system for A. marina and introduced expression vectors into A. marina. In this study, the high-frequency in vivo transposon mutagenesis system recently established by us was applied to A. marina. As a result, we obtained mutants with the transposon in their genomic DNA at various positions. By screening transposon-tagged mutants, we isolated a mutant (Y1 mutant) that formed a yellow colony on agar medium. In the Y1 mutant, the transposon was inserted into the gene encoding molybdenum cofactor biosynthesis protein A (MoaA). The Y1 mutant was functionally complemented by introducing the moaA gene or increasing the ammonium ion in the medium. These results indicate that the mutation of the moaA gene reduced nitrate reductase activity, which requires molybdenum cofactor, in the Y1 mutant. This is the first successful forward genetic analysis of A. marina, which will lead to the identification of genes responsible for adaptation to far-red light.

This is a preview of subscription content, access via your institution.

Fig. 1
Fig. 2
Fig. 3
Fig. 4
Fig. 5
Fig. 6

Abbreviations

aadA :

Streptomycin/spectinomycin resistance gene

Chl:

Chlorophyll

PCR:

Polymerase chain reaction

Em:

Erythromycin

HPLC:

High performance liquid chromatography

PS:

Photosystem

Sm:

Streptomycin

Sp:

Spectinomycin

Tnp:

Transposase

WT:

Wild-type strain

References

  • Airs RL, Temperton B, Sambles C, Farnham G, Skill SC, Llewellyn CA (2014) Chlorophyll f and chlorophyll d are produced in the cyanobacterium Chlorogloeopsis fritschii when cultured under natural light and near-infrared radiation. FEBS Lett 588:3770–3777

    CAS  PubMed  Article  Google Scholar 

  • Allakhverdiev SI, Tomo T, Shimada Y, Kindo H, Nagao R, Klimov VV, Mimuro M (2010) Redox potential of pheophytin a in photosystem II of two cyanobacteria having the different special pair chlorophylls. Proc Natl Acad Sci USA 107:3924–3929

    CAS  PubMed Central  PubMed  Article  Google Scholar 

  • Allakhverdiev SI, Tsuchiya T, Watabe K, Kojima A, Los DA, Tomo T, Klimov VV, Mimuro M (2011) Redox potentials of primary electron acceptor quinone molecule (QA) and conserved energetics of photosystem II in cyanobacteria with chlorophyll a and chlorophyll d. Proc Natl Acad Sci USA 108:8054–8058

    CAS  PubMed Central  PubMed  Article  Google Scholar 

  • Altschul SF, Gish W, Miller W, Myers EW, Lipman DJ (1990) Basic local alignment search tool. J Mol Biol 215:403–410

    CAS  PubMed  Article  Google Scholar 

  • Bhaya D, Takahashi A, Shahi P, Grossman AR (2001) Novel motility mutants of Synechocystis strain PCC 6803 generated by in vitro transposon mutagenesis. J Bacteriol 183:6140–6143

    CAS  PubMed Central  PubMed  Article  Google Scholar 

  • Burger-Wiersma T, Veenhuis M, Korthals HJ, Van de Wiel CCM, Mur LR (1986) A new prokaryote containing chlorophylls a and b. Nature 320:262–264

    CAS  Article  Google Scholar 

  • Chen M, Quinnell RG, Larkum AWD (2002) The major light-harvesting pigment protein of Acaryochloris marina. FEBS Lett 514:149–152

    CAS  PubMed  Article  Google Scholar 

  • Chen M, Schliep M, Willows RD, Cai Z-L, Neilan BA, Scheer H (2010) A red-shifted chlorophyll. Science 329:1318–1319

    CAS  Google Scholar 

  • Chen M, Li Y, Birch D, Willows RD (2012) A cyanobacterium that contains chlorophyll f—a red-absorbing photopigment. FEBS Lett 586:3249–3254

    CAS  PubMed  Article  Google Scholar 

  • Chisholm SW, Frankel SL, Goericke R, Olson RJ, Palenik B, Waterbury JB, West-Johnsrud L, Zettler ER (1992) Prochlorococcus marinus nov. gen. nov. sp.: an oxyphototrophic marine prokaryote containing divinyl chlorophyll a and b. Arch Microbiol 157:297–300

    CAS  Article  Google Scholar 

  • Flores E, Frías JE, Rubio LM, Herrero A (2005) Photosynthetic nitrate assimilation in cyanobacteria. Photosynth Res 83:117–133

    CAS  PubMed  Article  Google Scholar 

  • Gan F, Zhang S, Rockwell NC, Martin SS, Lagarias JC, Bryant DA (2014) Extensive remodeling of a cyanobacterial photosynthetic apparatus in far-red light. Science 345:1312–1317

    CAS  PubMed  Article  Google Scholar 

  • Hu Q, Miyashita H, Iwasaki I, Kurano N, Miyachi S, Iwaki M, Itoh S (1998) A photosystem I reaction center driven by chlorophyll d in oxygenic photosynthesis. Proc Natl Acad Sci USA 95:13319–13323

    CAS  PubMed Central  PubMed  Article  Google Scholar 

  • Kashiyama Y, Miyashita H, Ohkubo S, Ogawa NO, Chikaraishi Y, Takano Y, Suga H, Toyofuku T, Nomaki H, Kitazato H, Nagata T, Ohkouchi N (2008) Evidence of global chlorophyll d. Science 321:658

    CAS  PubMed  Article  Google Scholar 

  • Kato K, Tanaka R, Sano S, Tanaka A, Hosaka H (2010) Identification of a gene essential for protoporphyrinogen IX oxidase activity in the cyanobacterium Synechocystis sp. PCC6803. Proc Natl Acad Sci USA 107:16649–16654

    CAS  PubMed Central  PubMed  Article  Google Scholar 

  • Koksharova OA, Wolk CP (2002) A novel gene that bears a DnaJ motif influences cyanobacterial cell division. J Bacteriol 184:5524–5528

    CAS  PubMed Central  PubMed  Article  Google Scholar 

  • Kühl M, Chen M, Ralph PJ, Schreiber U, Larkum AWD (2005) A niche for cyanobacteria containing chlorophyll d. Nature 433:820

    PubMed  Article  Google Scholar 

  • Kuhlemeier CJ, Logtenberg T, Stoorvogel W, van Heugten HAA, Borrias WE, van Arkel GA (1984) Cloning of nitrate reductase genes from the cyanobacterium Anacystis nidulans. J Bacteriol 159:36–41

    CAS  PubMed Central  PubMed  Google Scholar 

  • Leimkühler S, Wuebbens MM, Rajagopalan KV (2011) The history of the discovery of the molybdenum cofactor and novel aspects of its biosynthesis in bacteria. Coord Chem Rev 255:1129–1144

    PubMed Central  PubMed  Article  Google Scholar 

  • Lewin RA, Withers NW (1975) Extraordinary pigment composition of a prokaryotic alga. Nature 256:735–737

    CAS  Article  Google Scholar 

  • Li Y, Lin Y, Loughlin PC, Chen M (2014) Optimization and effects of different culture conditions on growth of Halomicronema hongdechloris—a filamentous cyanobacterium containing chlorophyll f. Front Plant Sci. doi:10.3389/fpls.2014.00067

    Google Scholar 

  • Madueño F, Borrias WE, Van Arkel GA, Guerrero MG (1988) Isolation and characterization of Anacystis nidulans R2 mutants affected in nitrate assimilation: establishment of two new mutant types. Mol Gen Genet 213:223–228

    Article  Google Scholar 

  • Manning WM, Strain HH (1943) Chlorophyll d, a green pigment of red algae. J Biol Chem 151:1–19

    CAS  Google Scholar 

  • McCarren J, Brahamsha B (2005) Transposon mutagenesis in a marine Synechococcus strain: isolation of swimming motility mutants. J Bacteriol 187:4457–4462

    CAS  PubMed Central  PubMed  Article  Google Scholar 

  • Miller SR, Augustine S, Olson TL, Blankenship RE, Selker J, Wood AM (2005) Discovery of a free-living chlorophyll d-producing cyanobacterium with a hybrid proteobacterial/cyanobacterial small-subunit rRNA gene. Proc Natl Acad Sci USA 102:850–855

    CAS  PubMed Central  PubMed  Article  Google Scholar 

  • Miyashita H, Ikemoto H, Kurano N, Adachi K, Chihara M, Miyachi S (1996) Chlorophyll d as a major pigment. Nature 383:402

    CAS  Article  Google Scholar 

  • Miyashita H, Adachi K, Kurano N, Ikemoto H, Chihara M, Miyachi S (1997) Pigment composition of a novel oxygenic photosynthetic prokaryote containing chlorophyll d as the major chlorophyll. Plant Cell Physiol 38:274–281

    CAS  Article  Google Scholar 

  • Miyashita H, Ikemoto H, Kurano N, Miyachi S, Chihara M (2003) Acaryochloris marina gen. et sp. nov. (cyanobacteria), an oxygenic photosynthetic prokaryote containing Chl d as a major pigment. J Phycol 39:1247–1253

    CAS  Article  Google Scholar 

  • Mohamed A, Eriksson J, Osiewacz HD, Jansson C (1993) Differential expression of the psbA genes in the cyanobacterium Synechocystis 6803. Mol Gen Genet 238:161–168

    CAS  PubMed  Google Scholar 

  • Mohr R, Voß B, Schliep M, Kurz T, Maldener I, Adams DG, Larkum ADW, Chen M, Hess WR (2010) A new chlorophyll d-containing cyanobacterium: evidence for niche adaptation in the genus Acaryochloris. ISME J 4:1456–1469

    CAS  PubMed  Article  Google Scholar 

  • Murakami A, Miyashita H, Iseki M, Adachi K, Mimuro M (2004) Chlorophyll d in an epiphytic cyanobacterium of red algae. Science 303:1633

    CAS  PubMed  Article  Google Scholar 

  • Postle K, Good RF (1985) A bidirectional rho-independent transcription terminator between the E. coli tonB gene and an opposing gene. Cell 41:577–585

    CAS  PubMed  Article  Google Scholar 

  • Rubio LM, Flores E, Herrero A (1998) The narA locus of Synechococcus sp. strain PCC 7942 consists of a cluster of molybdopterin biosynthesis genes. J Bacteriol 180:1200–1206

    CAS  PubMed Central  PubMed  Google Scholar 

  • Sambrook J, Russell DW (2001) Inverse PCR. In: Molecular cloning a laboratory manual, 3rd edition. Cold Spring Harbor Laboratory Press, New York, pp 8.81–8.85

  • Schliep M, Crossett B, Willows RD, Chen M (2010) 18O labeling of chlorophyll d in Acaryochloris marina reveals that chlorophyll a and molecular oxygen are precursors. J Biol Chem 285:28450–28456

    CAS  PubMed Central  PubMed  Article  Google Scholar 

  • Swingley WD, Chen M, Cheung PC, Conrad AL, Dejesa LC, Hao J, Honchak BM, Karbach LE, Kurdoglu A, Lahiri S, Mastrian SD, Miyashita H, Page L, Ramakrishna P, Satoh S, Sattley WM, Shimada Y, Taylor HL, Tomo T, Tsuchiya T, Wang ZT, Raymond J, Mimuro M, Blankenship RE, Touchman JW (2008) Niche adaptation and genome expansion in the chlorophyll d-producing cyanobacterium Acaryochloris marina. Proc Natl Acad Sci USA 105:2005–2010

    CAS  PubMed Central  PubMed  Article  Google Scholar 

  • Tanaka A, Ito H, Tanaka R, Tanaka NK, Yoshida K, Okada K (1998) Chlorophyll a oxygenase (CAO) is involved in chlorophyll b formation from chlorophyll a. Proc Natl Acad Sci USA 95:12719–12723

    CAS  PubMed Central  PubMed  Article  Google Scholar 

  • Tanaka H, Kitamura M, Nakano Y, Katayama M, Takahashi Y, Kondo T, Manabe K, Omata T, Kutsuna S (2012) CmpR is important for circadian phasing and cell growth. Plant Cell Physiol 53:1561–1569

    CAS  PubMed  Article  Google Scholar 

  • Taniguchi Y, Katayama M, Ito R, Takai N, Kondo T, Oyama T (2007) labA: a novel gene required for negative feedback regulation of the cyanobacterial circadian clock protein KaiC. Genes Dev 21:60–70

    CAS  PubMed Central  PubMed  Article  Google Scholar 

  • Tolonen AC, Liszt GB, Hess WR (2006) Genetic manipulation of Prochlorococcus strain MIT9313: green fluorescent protein expression from an RSF1010 plasmid and Tn5 transposition. Appl Environ Microbiol 72:7607–7613

    CAS  PubMed Central  PubMed  Article  Google Scholar 

  • Tomo T, Okubo T, Akimoto S, Yokono M, Miyashita H, Tsuchiya T, Noguchi T, Mimuro M (2007) Identification of the special pair of photosystem II in a chlorophyll d-dominated cyanobacterium. Proc Natl Acad Sci USA 104:7283–7288

    CAS  PubMed Central  PubMed  Article  Google Scholar 

  • Tomo T, Kato Y, Suzuki T, Akimoto S, Okubo T, Noguchi T, Hasegawa K, Tsuchiya T, Tanaka K, Fukuya M, Dohmae N, Watanabe T, Mimuro M (2008) Characterization of highly purified photosystem I complexes from the chlorophyll d-dominated cyanobacterium Acaryochloris marina MBIC 11017. J Biol Chem 283:18198–18209

    CAS  PubMed  Article  Google Scholar 

  • Tomo T, Shinoda T, Chen M, Allakhverdiev SI, Akimoto S (2014) Energy transfer processes in chlorophyll f-containing cyanobacteria using time-resolved fluorescence spectroscopy on intact cells. Biochim Biophys Acta 1837:1484–1489

    CAS  PubMed  Article  Google Scholar 

  • Tsuchiya T, Akimoto S, Mizoguchi T, Watabe K, Kindo H, Tomo T, Tamiaki H, Mimuro M (2012a) Artificially produced [7-formyl]-chlorophyll d functions as an antenna pigment in the photosystem II isolated from the chlorophyllide a oxygenase-expressing Acaryochloris marina. Biochim Biophys Acta 1817:1285–1291

    CAS  PubMed  Article  Google Scholar 

  • Tsuchiya T, Mizoguchi T, Akimoto S, Tomo T, Tamiaki H, Mimuro M (2012b) Metabolic engineering of the Chl d-dominated cyanobacterium Acaryochloris marina: production of a navel Chl species by the introduction of the chlorophyllide a oxygenase gene. Plant Cell Physiol 53:518–527

    CAS  PubMed  Article  Google Scholar 

  • Watabe K, Mimuro M, Tsuchiya T (2014) Development of a high-frequency in vivo transposon mutagenesis system for Synechocystis sp. PCC 6803 and Synechococcus elongatus PCC 7942. Plant Cell Physiol 55:2017–2026

    PubMed  Article  Google Scholar 

  • Wilson K (1997) Preparation of genomic DNA from bacteria. Curr Protoc Mol Biol 2:2.4.1–2.4.5

    Google Scholar 

  • Zapata M, Rodríguez F, Garrido JL (2000) Separation of chlorophylls and carotenoids from marine phytoplankton: a new HPLC method using a reversed phase C8 column and pyridine-containing mobile phases. Mar Ecol Prog Ser 195:29–45

    CAS  Article  Google Scholar 

Download references

Acknowledgments

This work was supported by JSPS KAKENHI Grant Numbers 22370017, 24658080, 26440141.

Author information

Affiliations

Authors

Corresponding author

Correspondence to Tohru Tsuchiya.

Electronic supplementary material

Below is the link to the electronic supplementary material.

Supplementary material 1 (PDF 81 kb)

Rights and permissions

Reprints and Permissions

About this article

Verify currency and authenticity via CrossMark

Cite this article

Watabe, K., Mimuro, M. & Tsuchiya, T. Establishment of the forward genetic analysis of the chlorophyll d-dominated cyanobacterium Acaryochloris marina MBIC 11017 by applying in vivo transposon mutagenesis system. Photosynth Res 125, 255–265 (2015). https://doi.org/10.1007/s11120-015-0082-4

Download citation

  • Received:

  • Accepted:

  • Published:

  • Issue Date:

  • DOI: https://doi.org/10.1007/s11120-015-0082-4

Keywords

  • Acaryochloris marina MBIC 11017
  • Chlorophyll d
  • Cyanobacteria
  • Genetic functional complementation
  • Transposon mutagenesis system