Skip to main content

Ds transposon is biased towards providing splice donor sites for exonization in transgenic tobacco

Abstract

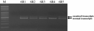
Insertion of transposed elements into introns can lead to their activation as alternatively spliced cassette exons, an event called exonization, which can enrich the complexity of transcriptomes and proteomes. In this study, the first exonization event was detected when the modified rice EPSPS marker gene was inserted with the Ac transposon 5′ end, which provided a splice donor site to yield abundant novel transcripts. To assess the contribution of splice donor and acceptor sites of transposon sequences, we inserted a Ds element into each intron of the EPSPS marker gene. This process yielded 14 constructs, with the Ds transposon inserted in the forward and reverse direction in each of the 7 introns of the EPSPS marker gene. The constructs were transformed into tobacco plants, and novel transcripts were identified by RT-PCR with specific primers. Exonization of Ds in EPSPS was biased towards providing splice donor sites of the inserted Ds sequence. Additionally, when the Ds inserted in reverse direction, a continuous splice donor consensus region was determined by offering 4 donor sites in the same intron. Information on these exonization events may help enhance gene divergence and functional genomic studies.

This is a preview of subscription content, access via your institution.

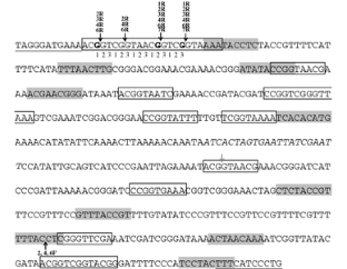
Fig. 1
Fig. 2
Fig. 3
Fig. 4
Fig. 5

Abbreviations

TE:

Transposable element

AS:

Alternative splicing

PTC:

Premature termination codon

NMD:

Nonsense-mediated decay

References

  • Baek JM, Han P, Iandolino A, Cook DR (2008) Characterization and comparison of intron structure and alternative splicing between Medicago truncatula, Populus trichocarpa, Arabidopsis and rice. Plant Mol Biol 674:499–510

    Article  Google Scholar 

  • Becker B, Shell J, Lörz H, Fedoroff N (1986) Transposition of the maiz3 controlling element “Activator” in tobacco. Proc Natl Acad Sci USA 83:4844–4848

    Article  Google Scholar 

  • Chang YF, Imam JS, Wilkinson MF (2007) The nonsense-mediated decay RNA surveillance pathway. Annu Rev Biochem 76:15.1–15.24

    Article  Google Scholar 

  • Charng YC, Pfitzner AJP, Pfitzner UM, Charng-Chang KF, Chen C-M, Tu J, Kuo TT (2000) Construction of an inducible transposon, INAc, to develop a gene tagging system in higher plants. Mol Breed 6:353–367

    Article  CAS  Google Scholar 

  • Charng YC, Li KT, Tai HK, Lin NS, Tu J (2008) An inducible transposon system to terminate the function of a selectable marker in transgenic plants. Mol Breed 21:359–368

    Article  CAS  Google Scholar 

  • Dennis E, Sachs M, Gerlach W, Beach L, Peacock W (1988) The Dsl transposable element acts as an intron in the mutant allele Adhl-Fm335 and is spliced from the message. Nucleic Acids Res 16:3315–3328

    Google Scholar 

  • Feschotte C (2008) Transposable elements and the evolution of regulatory networks. Nat Rev Genet 9:397–405

    PubMed  Article  CAS  Google Scholar 

  • Hori K, Watanabe Y (2007) Context analysis of termination codons in mRNA that are recognized by plant NMD. Plant Cell Physiol 48:1072–1078

    PubMed  Article  CAS  Google Scholar 

  • Houba-Herin N, Becker D, Post A, Larondelle Y, Starlinger P (1990) Excision of a Ds-like maize transposable element (Ac delta) in a transient assay in Petunia is enhanced by a truncated coding region of the transposable element Ac. Mol Gen Genet 224:17–23

    PubMed  Article  CAS  Google Scholar 

  • Izawa T, Miyazaki C, Yamamoto M, Terada R, Iida S (1991) Introduction and transposition of the maize transposable element Ac in rice (Orysa sativa L.). Mol Gen Genet 227:391–396

    PubMed  Article  CAS  Google Scholar 

  • Katz Y, Wang ET, Airoldi EM, Burge CB (2010) Analysis and design of RNA sequencing experiments for identifying isoform regulation. Nat Methods 7:1009–1015

    PubMed  Article  CAS  Google Scholar 

  • Keng VW, Yae K, Hayakawa T, Mizuno S, Uno Y, Yusa K, Kokubu C, Kinoshita T, Akagi K, Jenkins NA, Copeland NG, Horie K, Takeda J (2005) Region-specific saturation germline mutagenesis in mice using the Sleeping Beauty transposon system. Nat Methods 2:763–769

    PubMed  Article  CAS  Google Scholar 

  • Knapp S, Coupland G, Uhring H, Starlinger P, Salamini F (1988) Transposition of the maize transposable element Ac in Solanum tuberosum. Mol Gen Genet 213:285–290

    Article  CAS  Google Scholar 

  • Lal SK, Hannah LC (1999) Maize transposable element Ds is differentially spliced in endosperm and suspension cells. Biochem Biophys Res Commun 261:798–801

    PubMed  Article  CAS  Google Scholar 

  • Lal SK, Choi JH, Shaw J, Hannah LC (1999) A splice site mutant of maize activates cryptic splice sites, elicits intron inclusion and exon exclusion, and permits branch point elucidation. Plant Physiol 121:411–418

    PubMed  Article  CAS  Google Scholar 

  • Lal SK, Giroux MJ, Brendel V, Vallejos CE, Hannah LC (2003) The maize genome contains a Helitron insertion. Plant Cell 15:381–391

    PubMed  Article  CAS  Google Scholar 

  • Levy A, Sela N, Ast G (2007) TranspoGene and microTranspoGene: transposed elements influence on the transcriptome of seven vertebrates and invertebrates. Nucleic Acid Res 36:D47–D52

    PubMed  Article  Google Scholar 

  • Macknight R, Duroux M, Laurie R, Dijkwel P, Simpson G, Dean C (2002) Functional significance of the alternative transcript processing of the Arabidopsis floral promoter FCA. Plant Cell 14:877–888

    PubMed  Article  CAS  Google Scholar 

  • Marillonnet S, Wessler SR (1997) Retroposon insertion into the maize waxy gene results in tissue-specific RNA processing. Plant Cell 9:967–978

    PubMed  Article  CAS  Google Scholar 

  • McCullough AJ, Berget SM (1997) G triplets located throughout a class of small vertebrate introns enforce intron borders and regulate splice site selection. Mol Cell Biol 17:4562–4571

    PubMed  CAS  Google Scholar 

  • McNellis TW, von Arnim AG, Akari T, Komeda Y, Misera S, Deng XW (1994) Genetic and molecular analysis of an allelic series of cop1 mutants suggests functional roles for multiple protein domains. Plant Cell 6:487–500

    PubMed  CAS  Google Scholar 

  • Mersch B, Sela N, Ast G, Suhai S, Hotz-Wagenblatt A (2007) SERpredict: detection of tissue- or tumor-specific isoforms generated through exonization of transposable elements. BMC Genet 8:78

    PubMed  Article  Google Scholar 

  • Mola G, Vela E, Fernández-Figueras MT, Isamat M, Muñoz-Mármol AM (2007) Exonization of Alu-generated splice variants in the survivin gene of human and non-human primates. J Mol Biol 366:1055–1063

    PubMed  Article  CAS  Google Scholar 

  • Sambrook J, Fritsch EF, Maniatis T (1989) Molecular cloning: a laboratory manual, 2nd edn. Cold Spring Harbor Laboratory Press, Cold Spring Harbor, New York

    Google Scholar 

  • Schuler MA (2008) Splice site requirements and switches in plants. Curr Top Microbiol Immunol 326:39–59

    PubMed  Article  CAS  Google Scholar 

  • Sela N, Mersch B, Gal-Mark N, Lev-Maor G, Hotz-Wagenblatt A, Ast G (2007) Comparative analysis of transposed elements’ insertion within human and mouse genomes reveals Alu’s unique role in shaping the human transcriptome. Genome Biol 8: doi:10.1186/gb-2007-8-6-r127

  • Sela N, Mersch B, Hotz-Wagenblatt A, Ast G (2010) Characteristics of transposable element exonization within human and mouse. PLoS ONE 5(6):e10907. doi:10.1371/journal.pone.0010907

    PubMed  Article  Google Scholar 

  • Severing EI, van Dijk AD, Stiekema WJ, van Ham RC (2009) Comparative analysis indicates that alternative splicing in plants has a limited role in functional expansion of the proteome. BMC genomics 10:154

    PubMed  Article  Google Scholar 

  • Van Sluys MA, Tempé J, Fedoroff N (1987) Studies on the introduction and mobility of the maize Activator element in Arabidopsis thaliana and Daucus carota. EMBO J 6:3881–3889

    PubMed  Google Scholar 

  • Varagona MJ, Purugganan M, Wessler SR (1992) Alternative splicing induced by insertion of retrotransposons into the maize waxy gene. Plant Cell 4:811–820

    PubMed  CAS  Google Scholar 

  • Walbot V (2000) Saturation mutagenesis using maize transposons. Curr Opin Plant Biol 3:103–107

    PubMed  Article  CAS  Google Scholar 

  • Wessler SR (1988) Phenotypic diversity mediated by the maize transposable elements Ac and Spm. Science 242:399–405

    PubMed  Article  CAS  Google Scholar 

  • Wessler SR (1991) The maize transposable Ds1 element is alternatively spliced from exon sequences. Mol Cell Biol 11:6192–6196

    PubMed  CAS  Google Scholar 

  • Wessler SR, Baran G, Varagona MJ (1987) The maize transposable element Ds is spliced from RNA. Science 237:916–918

    PubMed  Article  CAS  Google Scholar 

  • Yoder JI, Palys J, Alpert K, Lassner M (1988) Ac transposition in transgenic tomato plants. Mol Gen Genet 213:291–296

    Article  CAS  Google Scholar 

  • Zabala G, Vodkin L (2007) Novel exon combinations generated by alternative splicing of gene fragments mobilized by a CACTA transposon in Glycine max. BMC Plant Biol 7:38

    PubMed  Article  Google Scholar 

  • Zhang XC, Gassmann W (2007) Alternative splicing and mRNA levels of the disease resistance gene RPS4 are induced during defense responses. Plant Physiol 145:1577–1587

    PubMed  Article  CAS  Google Scholar 

  • Zhang XN, Mount SM (2009) Two alternatively spliced isoforms of the Arabidopsis SR45 protein have distinct roles during normal plant development. Plant Physiol 150:1450–1458

    PubMed  Article  CAS  Google Scholar 

Download references

Acknowledgments

This project was supported by the National Science Council (Grant No. NSC98-2313-B-002-041-MY3) of Taiwan.

Author information

Affiliations

Authors

Corresponding author

Correspondence to Yuh-Chyang Charng.

Additional information

Kuo-Chan Huang and Hsiu-Chun Yang contributed equally.

Electronic supplementary material

Rights and permissions

Reprints and Permissions

About this article

Cite this article

Huang, KC., Yang, HC., Li, KT. et al. Ds transposon is biased towards providing splice donor sites for exonization in transgenic tobacco. Plant Mol Biol 79, 509–519 (2012). https://doi.org/10.1007/s11103-012-9927-9

Download citation

  • Received:

  • Accepted:

  • Published:

  • Issue Date:

  • DOI: https://doi.org/10.1007/s11103-012-9927-9

Keywords

  • Transposon
  • Exonization
  • Alternative splicing
  • Nonsense-mediated decay