Skip to main content

Chordoid glioma of the third ventricle: a patient presenting with SIADH and a review of this rare tumor

Abstract

Introduction

Chordoid glioma of the third ventricle is a rare and recently described tumor characterized by a unique histomorphology and exclusive association with the suprasellar/third ventricular compartment. Its clinical, radiological and histological features may vary. Despite the fact that chordoid glioma is a low-grade tumor, its prognosis has been relatively poor because of its insidious presentation and the difficulty in obtaining complete surgical resection.

Materials and methods

Here, we report on a new case of chordoid glioma occurring in a 48-year-old woman, presented with hyponatremia, and on the initial work-up with a diagnosis of hyponatremia due at least in part to SIADH. We review the current literature on this rare pathology, discuss the radiological and histopathologic findings, and discuss the optimal management of chordoid glioma in general.

Conclusion

Based on this new case and the previous literature reports, we suggest that chordoid glioma should be included in the differential diagnosis of uncommon masses of the third ventricle, especially in middle-aged women, and we emphasize current management guidelines.

This is a preview of subscription content, access via your institution.

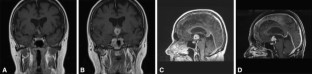
Fig. 1
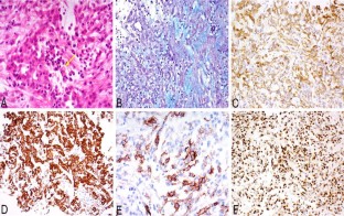
Fig. 2

References

  1. Brat DJ, Scheithauer BW, Staugaitis SM, Cortez SC, Brecher K, Burger PC (1998) Third ventricular chordoid glioma: a distinct clinicopathologic entity. J Neuropathol Exp Neurol 57(3):283–290

    CAS  Article  PubMed  Google Scholar 

  2. Louis DN, Ohgaki H, Wiestler OD, Cavenee WK, Burger PC, Jouvet A, Scheithauer BW, Kleihues P (2007) The 2007 WHO classification of tumors of the central nervous system. Acta Neuropathol 114(2):97–109

    Article  PubMed  PubMed Central  Google Scholar 

  3. Leeds NE, Lang FF, Ribalta T, Sawaya R, Fuller GN (2006) Origin of chordoid glioma of the third ventricle. Arch Pathol Lab Med 130(4):460–464

    PubMed  Google Scholar 

  4. Bielle F, Villa C, Giry M, Bergemer-Fouquet AM, Polivka M, Vasiljevic A, Aubriot-Lorton MH, Bernier M, Lechapt-Zalcman E, Viennet G, Sazdovitch V, Duyckaerts C, Sanson M, Figarella-Branger D, Mokhtari K, RENOP (2015) Chordoid gliomas of the third ventricle share TTF-1 expression with organum vasculosum of the lamina terminalis. Am J Surg Pathol 39(7):948–956

    Article  PubMed  Google Scholar 

  5. Desouza RM, Bodi I, Thomas N, Marsh H, Crocker M (2010) Chordoid glioma: ten years of a low-grade tumor with high morbidity. Skull Base 20(2):125–138

    Article  PubMed  PubMed Central  Google Scholar 

  6. Gallina P, Pansini G, Mouchaty H, Mura R, Buccoliero AM, Di Lorenzo N (2007) An incidentally detected third ventricle chordoid glioma. Neurol India 55(4):406–407

    Article  PubMed  Google Scholar 

  7. Jung TY, Jung S (2006) Third ventricular chordoid glioma with unusual aggressive behavior. Neurol Med Chir (Tokyo) 46(12):605–608

    Article  Google Scholar 

  8. Pomper MG, Passe TJ, Burger PC, Scheithauer BW, Brat DJ (2001) Chordoid glioma: a neoplasm unique to the hypothalamus and anterior third ventricle. Am J Neuroradiol 22(3):464–469

    CAS  PubMed  Google Scholar 

  9. Dziurzynski K, Delashaw JB, Gultekin SH, Yedinak CG, Fleseriu M (2009) Diabetes insipidus, panhypopituitarism, and severe mental status deterioration in a patient with chordoid glioma: case report and literature review. Endocr Pract 15(3):240–245

    Article  PubMed  Google Scholar 

  10. Frouget T (2012) The syndrome of inappropriate antidiuresis. Rev Med Interne 33(10):556–566

    CAS  Article  PubMed  Google Scholar 

  11. Ramos-Levi AM, Duran Rodriguez-Hervada A, Mendez-Bailon M, Marco-Martinez J (2014) Drug-induced hyponatremia: an updated review. Minerva Endocrinol 39(1):1–12

    CAS  PubMed  Google Scholar 

  12. Grant P, Ayuk J, Bouloux PM, Cohen M, Cranston I, Murray RD, Rees A, Thatcher N, Grossman A (2015) The diagnosis and management of inpatient hyponatraemia and SIADH. Eur J Clin Invest 45(8):888–894

    Article  PubMed  PubMed Central  Google Scholar 

  13. Bourque CW (2008) Central mechanisms of osmosensation and systemic osmoregulation. Nat Rev Neurosci 9(7):519–531

    CAS  Article  PubMed  Google Scholar 

  14. Glastonbury CM, Osborn AG, Salzman KL (2011) Masses and malformations of the third ventricle: normal anatomic relationships and differential diagnoses. Radiographics 31(7):1889–1905

    Article  PubMed  Google Scholar 

  15. Rees JH (2010) Chordoid glioma of the third ventricle. In: Osborn AG, Salzman KL, Barkovich AJ (eds) Diagnostic imaging: brain, 2nd edn. Lippincott Wiliams and Wilkins, Philadelphia, pp 56–57

    Google Scholar 

  16. Smith AB, Smirniotopoulos JG, Horkanyne-Szakaly I (2013) From the radiologic pathology archives: intraventricular neoplasms: radiologic-pathologic correlation. Radiographics 33(1):21–43

    Article  PubMed  Google Scholar 

  17. Grand S, Pasquier B, Gay E, Kremer S, Remy C, Le Bas JF (2002) Chordoid glioma of the third ventricle: CT and MRI, including perfusion data. Neuroradiology 44:842–846

    CAS  Article  PubMed  Google Scholar 

  18. Reifenberger G, Weber T, Weber RG, Wolter M, Brandis A, Kuchelmeister K, Pilz P, Reusche E, Lichter P, Wiestler OD (1999) Chordoid glioma of the third ventricle: immunohistochemical and molecular genetic characterization of a novel tumor entity. Brain Pathol 9(4):617–626

    CAS  Article  PubMed  Google Scholar 

  19. Horbinski C, Dacic S, McLendon RE, Cieply K, Datto M, Brat DJ, Chu CT (2009) Chordoid glioma: a case report and molecular characterization of five cases. Brain Pathol 19(3):439–448

    CAS  Article  PubMed  Google Scholar 

  20. Ni HC, Piao YS, Lu DH, Fu YJ, Ma XL, Zhang XJ (2013) Chordoid glioma of the third ventricle: four cases including one case with papillary features. Neuropathology 33(2):134–139

    CAS  Article  PubMed  Google Scholar 

  21. Takei H, Bhattacharjee MB, Adesina AM (2006) Chordoid glioma of the third ventricle: report of a case with cytologic features and utility during intraoperative consultation. Acta Cytol 50(6):691–696

    Article  PubMed  Google Scholar 

  22. Vanhauwaert DJ, Clement F, Van Dorpe J, Deruytter MJ (2008) Chordoid glioma of the third ventricle. Acta Neurochir 150(11):1183–1191

    CAS  Article  PubMed  Google Scholar 

  23. Kurian KM, Summers DM, Statham PF, Smith C, Bell JE, Ironside JW (2005) Third ventricular chordoid glioma: clinicopathological study of two cases with evidence for a poor clinical outcome despite low grade histological features. Neuropathol Appl Neurobiol 31:354–361

    CAS  Article  PubMed  Google Scholar 

  24. Jung TY, Jung S (2006) Third ventricular chordoid glioma with unusual aggressive behavior. Neurol Med Chir 46:605–608

    Article  Google Scholar 

  25. Raizer JJ, Shetty T, Gutin PH, Obbens EA, Holodny AI, Antonescu CR, Rosenblum MK (2003) Chordoid glioma: report of a case with unusual histologic features, ultrastructural study and review of the literature. J Neurooncol 63(1):39–47

    Article  PubMed  Google Scholar 

  26. Kawasaki K, Kohno M, Inenaga C, Sato A, Hondo H, Miwa A, Fujii Y, Takahashi H (2009) Chordoid glioma of the third ventricle: a report of two cases, one with ultrastructural findings. Neuropathology 29:85–90

    Article  PubMed  Google Scholar 

  27. Kobayashi T, Tsugawa T, Hashizume C, Arita N, Hatano H, Iwami K, Nakazato Y, Mori Y (2013) Therapeutic approach to chordoid glioma of the third ventricle. Neurol Med Chir (Tokyo) 53(4):249–255

    Article  Google Scholar 

Download references

Author information

Affiliations

Authors

Corresponding author

Correspondence to Matilde Calanchini.

Ethics declarations

Conflict of interest

The authors declare that they have no conflict of interest.

Rights and permissions

Reprints and Permissions

About this article

Verify currency and authenticity via CrossMark

Cite this article

Calanchini, M., Cudlip, S., Hofer, M. et al. Chordoid glioma of the third ventricle: a patient presenting with SIADH and a review of this rare tumor. Pituitary 19, 356–361 (2016). https://doi.org/10.1007/s11102-016-0711-8

Download citation

  • Published:

  • Issue Date:

  • DOI: https://doi.org/10.1007/s11102-016-0711-8

Keywords

  • Chordoid glioma
  • Chordoid glioma of the third ventricle
  • Inappropriate ADH syndrome
  • SIADH