Skip to main content

Effect of dopaminergic drug treatment on surgical findings in prolactinomas

Abstract

It has been reported that prolactinomas treated with Bromocriptine (BROM) show fibrosis that may interfere with complete surgical resection. The same has not been reported for Cabergoline (CAB). We retrospectively studied 24 consecutive patients (13 females, mean age 40 years, range 16–60) with histopathologically confirmed prolactinomas undergoing surgical resection at Johns Hopkins Hospital between 1992 and 2009. We compared these prolactinomas to 34 patients (22 females, mean age 42.9 years, range 15–75) with GH-secreting adenoma. The operative notes from 7 different neurosurgeons were reviewed to catalog the tumors as fibrous or not fibrous. Of the 24 prolactinomas, 21 (87.5%) were previously treated with DA. Indication for surgery was: DA resistance (n.5), DA intolerance (n.6), persistent mass effect (n.7) and CSF leak (n.3). Five (14.7%) of GH-secreting adenomas, were exposed to DA and/or somatostatin analogs. We found that 54% of prolactinomas and only 6% of GH-secreting adenomas were described as fibrous. 10/12 (77%) of prolactinomas exposed to BROM for at least 1 month, 2/9 (22%) exposed to CAB only, and 1/3 (33%) not previously treated were fibrous (P < 0.05). The mean BROM cumulative dose was 406 mg (range 75–1,375), while CAB dose was 28 mg (range 6–70). Only 18% of non-fibrous prolactinomas had been exposed to BROM. Only 3 patients had persistent biochemical remission (2 treated with CAB and 1 not treated). Patients exposed to BROM for at least 1 month are more likely to have tumor fibrosis than patients that are untreated or treated with CAB.

This is a preview of subscription content, access via your institution.

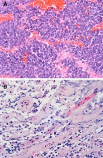
Fig. 1
Fig. 2
Fig. 3

References

  1. Schlechte JA (2003) Prolactinoma. N Engl J Med 349:2035–2041

    CAS  Article  PubMed  Google Scholar 

  2. Ciccarelli A, Daly AF, Beckers A (2005) The epidemiology of prolactinomas. Pituitary 8:3–6

    Article  PubMed  Google Scholar 

  3. Colao A, Di Sarno A, Guerra E, De Leo M, Mentone A, Lombardi G (2006) Drug Insight: cabergoline and bromocriptine in the treatment of hyperprolactinemia in men and women. Nat Clin Pract Endocrinol Metab 2:200–210

    CAS  Article  PubMed  Google Scholar 

  4. Gillam MP, Molitch ME, Lombardi G, Colao A (2006) Advances in the treatment of prolactinomas. Endocr Rev 27:485–534. doi:10.1210/er.2005-9998

    CAS  Article  PubMed  Google Scholar 

  5. Bevan JS, Webster J, Burke CW, Scanlon MF (1992) Dopamine agonists and pituitary tumor shrinkage. Endocr Rev 13:220–240

    CAS  PubMed  Google Scholar 

  6. Tyrrell JB, Lambourn K, Hannegan L, Applebury CB, Wilson CB (1999) Transsphenoidal microsurgical therapy of prolactinomas: initial outcome and long-term results. Neurosurgery 44:254–261

    CAS  Article  PubMed  Google Scholar 

  7. Webster J, Piscitelli MD, Polli A et al (1994) A comparison of cabergoline and bromocriptine in the treatment of hyperprolactinemic amenorrhea. N Engl J Med 331:904–909

    CAS  Article  PubMed  Google Scholar 

  8. Verhelst J, Abs R, Maiter D et al (1999) Cabergoline in the treatment of hyperprolactinemia. J Clin Endocrinol Metab 84:2518

    CAS  Article  PubMed  Google Scholar 

  9. Casanueva FF, Molitch ME, Schlechte JA, Abs R, Bonert V, Bronstein MD, Brue T, Cappabianca P, Colao A, Fahlbusch R, Fideleff H, Hadani M, Kelly P, Kleinberg D, Laws E, Marek J, Scanlon M, Sobrinho LG, Wass JAH, Giustina A (2006) Guidelines of the pituitary society for the diagnosis and management of prolactinomas. Clin Endocrinol 65:265–273

    Article  Google Scholar 

  10. Landolt AM, Osterwalder V (1984) Perivascular fibrosis in prolactinomas: is it increased by bromocriptine? J Clin Endocrinol Metab 58:1179–1183

    CAS  Article  PubMed  Google Scholar 

  11. Esiri MM, Bevan JS, Burke CW, Adams CB (1986) Effect of bromocriptine treatment on the fibrous tissue content of prolactinsecreting and nonfunctioning macroadenomas of the pituitary gland. J Clin Endocrinol Metab 63:383–388

    CAS  Article  PubMed  Google Scholar 

  12. Takahashi T, Kuwayama A, Katoh T, Kageyama N (1986) Histological changes and operative findings of pituitary adenomas after bromocriptine treatment. Nippon Naibunpi Gakkai Zasshi 62:1336–1351

    CAS  PubMed  Google Scholar 

  13. Gen M, Uozumi T, Ohta M, Ito A, Kajwara H, Mori S (1984) Necrotic changes in prolactinomas after long-term administration of bromocriptine. J Clin Endocrin Metab 59:463

    CAS  Article  Google Scholar 

  14. Scanarini M (1990) Morphological changes in prolactinoma induced by bromocriptine treatment. Minerva Endocrinol 15(1):13–15

    CAS  PubMed  Google Scholar 

  15. Hubbard JL, Scheithauer BW, Abnoud CF, Laws ER (1987) Prolactin-secreting adenomas: the preoperative response to bromocriptine treatment and surgical outcome. J Neurosurg 67:816–821

    CAS  Article  PubMed  Google Scholar 

  16. Nishioka H, Haraoka J, Akada K, Azuma S (2002) Gender-related differences in prolactin secretion in pituitary prolactinomas. Neuroradiology 44(5):407–410

    CAS  Article  PubMed  Google Scholar 

  17. Molitch ME, Thorner MO, Wilson C (1997) Therapeutic controversy: management of prolactinomas. J Clin Endocrinol Metab 82:996–1000

    CAS  Article  PubMed  Google Scholar 

  18. Losa M, Mortini P, Barzaghi R, Gioia L, Giovanelli M (2002) Surgical treatment of prolactin-secreting pituitary adenomas: early results and long-term outcome. J Clin Endocrinol Metab 87:3180–3186

    CAS  Article  PubMed  Google Scholar 

  19. Xu ZQ, Su CB, Ren ZY, Wang RZ, Yang Y, Ma WB, Li YN, Xing B, Lian W, Yang Z (2008) Transsphenoidal microsurgical results of non-invasive prolactinomas. Zhonghua Wai Ke Za Zhi 46:293–295

    PubMed  Google Scholar 

  20. Hamilton DK, Lee Vance M, Boulos PT, Laws ER (2005) Surgical outcomes in hyporesponsive prolactinomas: analysis of patients with resistance or intolerance to dopamine agonists. Pituitary 8:53–60

    Article  PubMed  Google Scholar 

  21. Thompson JA, Davies DL, McLaren EH, Teasdale GM (1994) Ten year follow-up of microprolactinoma treated by transsphenoidal surgery. BMJ 309:409–410

    Google Scholar 

  22. Rees DA, Davies JS, Scanlon MF (2000) Microprolactinoma: medical or surgical treatment as first line approach? The case for medical therapy. J Endocrinol Invest 23:122–124

    CAS  PubMed  Google Scholar 

  23. Molitch ME, Thorner MO, Wilson C (1997) The case for initial surgical removal of certain prolactinomas. J Clin Endocrinol Metab 82:996–1000

    CAS  Article  PubMed  Google Scholar 

  24. Giovanelli M, Losa M, Mortini P, Acerno S, Giugni E (1996) Surgical results in microadenomas. Acta Neurochir Suppl 65:11–12

    CAS  PubMed  Google Scholar 

  25. Weiss MH, Wycoff RR, Yadley R, Gott P, Feldon S (1983) Bromocriptine treatment of prolactin-secreting tumors: surgical implications. Neurosurgery 12:640–642

    CAS  Article  PubMed  Google Scholar 

  26. Sughrue ME, Chang EF, Tyrell JB, Kunwar S, Wilson CB, Blevins LS Jr (2009) Pre-operative dopamine agonist therapy improves post-operative tumor control following prolactinoma resection. Pituitary 12:158–164

    CAS  Article  PubMed  Google Scholar 

  27. Ono M, Miki N, Kawamata T, Makino R, Amano K, Seki T, Kubo O, Hori T, Takano K (2008) Prospective study of high-dose cabergoline treatment of prolactinomas in 150 patients. J Clin Endocrinol Metab 93:4721–4727. doi:10.1210/jc.2007-2758

    CAS  Article  PubMed  Google Scholar 

  28. Webster J, Piscitelli G, Polli A, Ferrari CI, Ismail I, Scanlon MF (1994) A comparison of cabergoline and bromocriptine in the treatment of hyperprolactinemic amenorrhea. N Engl J Med 331:904–909

    CAS  Article  PubMed  Google Scholar 

  29. Colao A, DiSarno A, Sarnacchiaro S et al (1997) Prolactinomas resistant to standard dopamine agonists respond to chronic cabergoline treatment. J Clin Endocrinol Metab 82:876–883

    CAS  Article  PubMed  Google Scholar 

  30. Cannavo S, Curto L, Squadrito S, Almoto B, Vieni A, Trimarchi F (1999) Cabergoline: a first-choice treatment in patients with previously untreated prolactin-secreting pituitary adenomas. J Endocrinol Invest 22:354–359

    CAS  PubMed  Google Scholar 

  31. Pascal-Vigneron V, Weryha G, Bosc M, Leclere J (1995) Hyperprolactinemic amenorrhea: treatment with cabergoline vs bromocriptine. Results of a national multicenter randomized double-blind study. Presse Med 24:753–757

    CAS  PubMed  Google Scholar 

  32. Lafeber M, Stades AM, Valk GD, Cramer MJ, Teding van Berkhout F, Zelissen PM (2010) Absence of major fibrotic adverse events in hyperprolactinemic patients treated with cabergoline. Eur J Endocrinol 162:667–675

    CAS  Article  PubMed  Google Scholar 

  33. Bhattacharyya S, Schapira AH, Mikhailidis DP, Davar J (2009) Drug-induced fibrotic valvular heart disease. Lancet 374(9689):577–8529

    CAS  Article  PubMed  Google Scholar 

  34. Vallette S, Serri K, Serri O (2010) Cabergoline therapy for prolactinomas: is valvular heart disease a real safety concern? Expert Rev Cardiovasc Ther 8:49–54

    CAS  Article  PubMed  Google Scholar 

Download references

Author information

Affiliations

Authors

Corresponding author

Correspondence to Roberto Salvatori.

Rights and permissions

Reprints and Permissions

About this article

Cite this article

Menucci, M., Quiñones-Hinojosa, A., Burger, P. et al. Effect of dopaminergic drug treatment on surgical findings in prolactinomas. Pituitary 14, 68–74 (2011). https://doi.org/10.1007/s11102-010-0261-4

Download citation

  • Published:

  • Issue Date:

  • DOI: https://doi.org/10.1007/s11102-010-0261-4

Keywords

  • Prolactinoma
  • Pituitary adenoma
  • Dopamine agonist
  • Cabergoline
  • Tumor fibrosis