Skip to main content

Tetramethylpyrazine Nitrone Improves Neurobehavioral Functions and Confers Neuroprotection on Rats with Traumatic Brain Injury

Abstract

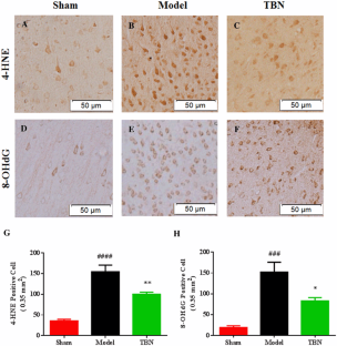
Oxidative stress is one of the major secondary injury mechanisms after traumatic brain injury (TBI). 2-[[(1,1-Dimethylethyl)oxidoimino]-methyl]-3,5,6-trimethylpyrazine (TBN), a derivative of the clinically used anti-stroke drug tetramethylpyrazine armed with a powerful free radical-scavenging nitrone moiety, has been demonstrated promising therapeutic efficacy in ischemic stroke and Parkinson’s models. The present study aims to investigate the effects of TBN on behavioral function and neuroprotection in rats subjected to TBI. TBN (90 mg/kg) was administered twice daily for 7 days by intravenous injection following TBI. TBN improved neuronal behavior functions after brain injury, including rotarod test and adhesive paper removal test. Compared with the TBI model group, TBN treatment significantly protected NeuN-positive neurons, while decreased glial fibrillary acidic protein (GFAP)-positive cells. The number of 4-hydroxynonenal (4-HNE)-positive and 8-hydroxy-2′-deoxyguanosine (8-OHdG)-positive cells around the damaged area after TBI were significantly decreased in the TBN treatment group. In addition, TBN effectively reversed the altered expression of Bcl-2, Bax and caspase 3, and the down-regulation of nuclear factor erythroid-derived 2-like 2 (Nrf-2) and hemeoxygenase-1 (HO-1) proteins expression stimulated by TBI. In conclusion, TBN improves neurobehavioral functions and protects neurons against TBI. This protective effect may be achieved by anti-neuronal apoptosis, alleviating oxidative stress damage and up-regulating Nrf-2 and HO-1 expression.

This is a preview of subscription content, access via your institution.

Fig. 1
Fig. 2
Fig. 3
Fig. 4
Fig. 5
Fig. 6
Fig. 7

Abbreviations

ARE:

Anti-oxidative response element

Bcl-2:

B cell lymphoma-2

Bax:

Bcl-2-associated X protein

CCI:

Controlled cortical impact

HO-1:

Hemeoxygenase-1

Nrf-2:

Nuclear factor erythroid-derived 2-like 2

ROS:

Reactive oxygen species

TBI:

Traumatic brain injury

4-HNE:

4-Hydroxynonenal

8-OHdG:

8-Hydroxy-2′-deoxyguanosine

PFA:

Paraformaldehyde

References

  1. Emami P, Czorlich P, Fritzsche FS, Westphal M, Rueger JM, Lefering R, Hoffmann M (2016) Impact of Glasgow coma scale score and pupil parameters on mortality rate and outcome in pediatric and adult severe traumatic brain injury: a retrospective, multicenter cohort study. J Neurosurg:1–8

  2. Gardner RC, Yaffe K (2015) Epidemiology of mild traumatic brain injury and neurodegenerative disease. Mol Cell Neurosci 66:75–80

    CAS  Article  PubMed  PubMed Central  Google Scholar 

  3. Davis AE (2000) Mechanisms of traumatic brain injury: biomechanical, structural and cellular considerations. Crit Care Nurs Q 23:1–13

    CAS  Article  PubMed  Google Scholar 

  4. Vizcaino JA, Deutsch EW, Wang R, Csordas A, Reisinger F, Rios D, Dianes JA, Sun Z, Farrah T, Bandeira N, Binz PA, Xenarios I, Eisenacher M, Mayer G, Gatto L, Campos A, Chalkley RJ, Kraus HJ, Albar JP, Martinez-Bartolome S, Apweiler R, Omenn GS, Martens L, Jones AR, Hermjakob H (2014) ProteomeXchange provides globally coordinated proteomics data submission and dissemination. Nat Biotechnol 32:223–226

    CAS  Article  PubMed  PubMed Central  Google Scholar 

  5. Harish G, Mahadevan A, Pruthi N, Sreenivasamurthy SK, Puttamallesh VN, Keshava Prasad TS, Shankar SK, Srinivas Bharath MM (2015) Characterization of traumatic brain injury in human brains reveals distinct cellular and molecular changes in contusion and pericontusion. J Neurochem 134:156–172

    CAS  Article  PubMed  Google Scholar 

  6. Cheng G, Kong RH, Zhang LM, Zhang JN (2012) Mitochondria in traumatic brain injury and mitochondrial-targeted multipotential therapeutic strategies. Br J Pharmacol 167:699–719

    CAS  Article  PubMed  PubMed Central  Google Scholar 

  7. Xu J, Wang H, Ding K, Zhang L, Wang C, Li T, Wei W, Lu X (2014) Luteolin provides neuroprotection in models of traumatic brain injury via the Nrf2-ARE pathway. Free Radic Biol Med 71:186–195

    CAS  Article  PubMed  Google Scholar 

  8. Zhang QG, Laird MD, Han D, Nguyen K, Scott E, Dong Y, Dhandapani KM, Brann DW (2012) Critical role of NADPH oxidase in neuronal oxidative damage and microglia activation following traumatic brain injury. PLoS One 7:e34504

    CAS  Article  PubMed  PubMed Central  Google Scholar 

  9. Bains M, Hall ED (2012) Antioxidant therapies in traumatic brain and spinal cord injury. Biochim Biophys Acta 1822:675–684

    CAS  Article  PubMed  Google Scholar 

  10. Sun Y, Jiang J, Zhang Z, Yu P, Wang L, Xu C, Liu W, Wang Y (2008) Antioxidative and thrombolytic TMP nitrone for treatment of ischemic stroke. Bioorg Med Chem 16:8868–8874

    CAS  Article  PubMed  Google Scholar 

  11. Sun Y, Yu P, Zhang G, Wang L, Zhong H, Zhai Z, Wang Y (2012) Therapeutic effects of tetramethylpyrazine nitrone in rat ischemic stroke models. J Neurosci Res 90:1662–1669

    CAS  Article  PubMed  Google Scholar 

  12. Guo B, Xu D, Duan H, Du J, Zhang Z, Lee SM, Wang Y (2014) Therapeutic effects of multifunctional tetramethylpyrazine nitrone on models of Parkinson’s disease in vitro and in vivo. Biol Pharm Bull 37:274–285

    CAS  Article  PubMed  Google Scholar 

  13. Xiong Y, Mahmood A, Chopp M (2013) Animal models of traumatic brain injury. Nat Rev Neurosci 14:128–142

    CAS  Article  PubMed  PubMed Central  Google Scholar 

  14. d’Avila JC, Lam TI, Bingham D, Shi J, Won SJ, Kauppinen TM, Massa S, Liu J, Swanson RA (2012) Microglial activation induced by brain trauma is suppressed by post-injury treatment with a PARP inhibitor. J Neuroinflamm 9:31

    Google Scholar 

  15. Hamm RJ (2001) Neurobehavioral assessment of outcome following traumatic brain injury in rats: an evaluation of selected measures. J Neurotrauma 18:1207–1216

    CAS  Article  PubMed  Google Scholar 

  16. Peterson TC, Maass WR, Anderson JR, Anderson GD, Hoane MR (2015) A behavioral and histological comparison of fluid percussion injury and controlled cortical impact injury to the rat sensorimotor cortex. Behav Brain Res 294:254–263

    Article  PubMed  PubMed Central  Google Scholar 

  17. Thompson HJ, Marklund N, LeBold DG, Morales DM, Keck CA, Vinson M, Royo NC, Grundy R, McIntosh TK (2006) Tissue sparing and functional recovery following experimental traumatic brain injury is provided by treatment with an anti-myelin-associated glycoprotein antibody. Eur J Neurosci 24:3063–3072

    Article  PubMed  PubMed Central  Google Scholar 

  18. Lian T, Qu D, Zhao X, Yu L, Gao B (2015) Identification of site-specific stroke biomarker candidates by laser capture microdissection and labeled reference peptide. Int J Mol Sci 16:13427–13441

    CAS  Article  PubMed  PubMed Central  Google Scholar 

  19. Yanamoto H, Nagata I, Nakahara I, Tohnai N, Zhang Z, Kikuchi H (1999) Combination of intraischemic and postischemic hypothermia provides potent and persistent neuroprotection against temporary focal ischemia in rats. Stroke 30:2720–2726

    CAS  Article  PubMed  Google Scholar 

  20. Bouet V, Boulouard M, Toutain J, Divoux D, Bernaudin M, Schumann-Bard P, Freret T (2009) The adhesive removal test: a sensitive method to assess sensorimotor deficits in mice. Nat Protoc 4:1560–1564

    CAS  Article  PubMed  Google Scholar 

  21. Mullen RJ, Buck CR, Smith AM (1992) NeuN, a neuronal specific nuclear protein in vertebrates. Development 116:201–211

    CAS  PubMed  Google Scholar 

  22. Bembea MM, Savage W, Strouse JJ, Schwartz JM, Graham E, Thompson CB, Everett A (2011) Glial fibrillary acidic protein as a brain injury biomarker in children undergoing extracorporeal membrane oxygenation. Pediatr Crit Care Med 12:572–579

    Article  PubMed  PubMed Central  Google Scholar 

  23. Chan PH, Fishman RA, Longar S, Chen S, Yu A (1985) Cellular and molecular effects of polyunsaturated fatty acids in brain ischemia and injury. Prog Brain Res 63:227–235

    CAS  Article  PubMed  Google Scholar 

  24. Lee EJ, Lee MY, Chen HY, Hsu YS, Wu TS, Chen ST, Chang GL (2005) Melatonin attenuates gray and white matter damage in a mouse model of transient focal cerebral ischemia. J Pineal Res 38:42–52

    CAS  Article  PubMed  Google Scholar 

  25. Shu L, Wang C, Wang J, Zhang Y, Zhang X, Yang Y, Zhuo J, Liu J (2016) The neuroprotection of hypoxic preconditioning on rat brain against traumatic brain injury by up-regulated transcription factor Nrf2 and HO-1 expression. Neurosci Lett 611:74–80

    CAS  Article  PubMed  Google Scholar 

  26. Royo NC, Shimizu S, Schouten JW, Stover JF, McIntosh TK (2003) Pharmacology of traumatic brain injury. Curr Opin Pharmacol 3:27–32

    CAS  Article  PubMed  Google Scholar 

  27. Clausen F, Lundqvist H, Ekmark S, Lewen A, Ebendal T, Hillered L (2004) Oxygen free radical-dependent activation of extracellular signal-regulated kinase mediates apoptosis-like cell death after traumatic brain injury. J Neurotrauma 21:1168–1182

    Article  PubMed  Google Scholar 

  28. Hall ED, Braughler JM (1989) Central nervous system trauma and stroke. II. Physiological and pharmacological evidence for involvement of oxygen radicals and lipid peroxidation. Free Radic Biol Med 6:303–313

    CAS  Article  PubMed  Google Scholar 

  29. Loncarevic-Vasiljkovic N, Milanovic D, Pesic V, Tesic V, Brkic M, Lazic D, Avramovic V, Kanazir S (2016) Dietary restriction suppresses apoptotic cell death, promotes Bcl-2 and Bcl-xl mRNA expression and increases the Bcl-2/Bax protein ratio in the rat cortex after cortical injury. Neurochem Int 96:69–76

    CAS  Article  PubMed  Google Scholar 

  30. Sugawara T, Noshita N, Lewen A, Gasche Y, Ferrand-Drake M, Fujimura M, Morita-Fujimura Y, Chan PH (2002) Overexpression of copper/zinc superoxide dismutase in transgenic rats protects vulnerable neurons against ischemic damage by blocking the mitochondrial pathway of caspase activation. J Neurosci 22:209–217

    CAS  PubMed  Google Scholar 

  31. Yan W, Wang HD, Feng XM, Ding YS, Jin W, Tang K (2009) The expression of NF-E2-related factor 2 in the rat brain after traumatic brain injury. J Trauma 66:1431–1435

    CAS  Article  PubMed  Google Scholar 

  32. Johnson JA, Johnson DA, Kraft AD, Calkins MJ, Jakel RJ, Vargas MR, Chen PC (2008) The Nrf2-ARE pathway: an indicator and modulator of oxidative stress in neurodegeneration. Ann N Y Acad Sci 1147:61–69

    CAS  Article  PubMed  PubMed Central  Google Scholar 

  33. Otterbein LE, Choi AM (2000) Heme oxygenase: colors of defense against cellular stress. Am J Physiol Lung Cell Mol Physiol 279:L1029–L1037

    CAS  PubMed  Google Scholar 

  34. Ren Z, Ma J, Zhang P, Luo A, Zhang S, Kong L, Qian C (2012) The effect of ligustrazine on l-type calcium current, calcium transient and contractility in rabbit ventricular myocytes. J Ethnopharmacol 144:555–561

    CAS  Article  PubMed  Google Scholar 

  35. Sun DA, Deshpande LS, Sombati S, Baranova A, Wilson MS, Hamm RJ, DeLorenzo RJ (2008) Traumatic brain injury causes a long-lasting calcium (Ca2+)-plateau of elevated intracellular Ca levels and altered Ca2+ homeostatic mechanisms in hippocampal neurons surviving brain injury. Eur J Neurosci 27:1659–1672

    Article  PubMed  PubMed Central  Google Scholar 

  36. Weber JT, Rzigalinski BA, Ellis EF (2001) Traumatic injury of cortical neurons causes changes in intracellular calcium stores and capacitative calcium influx. J Biol Chem 276:1800–1807

    CAS  Article  PubMed  Google Scholar 

Download references

Acknowledgments

This work is supported by grants from the Science and Technology Project of Guangdong (2015B020232011 to YW, 2013A022100030 and 2016A020217013 to PY, 2015A030313317 to ZZ), and the Key Laboratory Project of Guangzhou (151800010 to YW).

Author information

Affiliations

Authors

Corresponding author

Correspondence to Zaijun Zhang.

Ethics declarations

Conflict of Interest

The authors declare there is no conflict of interest.

Rights and permissions

Reprints and Permissions

About this article

Verify currency and authenticity via CrossMark

Cite this article

Zhang, G., Zhang, F., Zhang, T. et al. Tetramethylpyrazine Nitrone Improves Neurobehavioral Functions and Confers Neuroprotection on Rats with Traumatic Brain Injury. Neurochem Res 41, 2948–2957 (2016). https://doi.org/10.1007/s11064-016-2013-y

Download citation

  • Received:

  • Revised:

  • Accepted:

  • Published:

  • Issue Date:

  • DOI: https://doi.org/10.1007/s11064-016-2013-y

Keywords

  • Neuroprotection
  • Oxidative stress
  • Apoptosis
  • Nrf-2
  • HO-1