Abstract
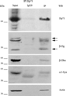
We have adopted the PC12 cell line as in vitro cell model for studying Dp71 function in neuronal cells. These cells express a cytoplasmic (Dp71f) and a nuclear (Dp71d) isoform of Dp71 as well as various dystrophin-associated proteins (DAPs). In this study, we revealed by confocal microscopy analysis and Western blotting evaluation of cell fractions the presence of different DAPs (β-dystroglycan, β-dystrobrevin, ε-sarcoglycan and γ1-syntrophin) in the nucleus of PC12 cells. Furthermore, we established by immunoprecipitation assays that Dp71d and the DAPs form a dystrophin-associated protein complex (DAPC) in the nucleus. Interestingly, depletion of Dp71 by antisense treatment (antisense-Dp71 cells) provoked a drastic reduction of nuclear DAPs, which indicates that Dp71d is critical for DAPs stability within the nucleus. Although Up71, the utrophin gene product homologous to Dp71, exhibited increased expression in the antisense-Dp71 cells, its scarce nuclear levels makes unlikely that could compensate for Dp71 nuclear deficiency.




References
Emery AE (1987) X-linked muscular dystrophy with early contractures and cardiomyopathy (Emery-Dreifuss type). Clin Genet 32:360–367
Koenig M, Hoffman EP, Bertelson CJ et al (1987) Complete cloning of the Duchenne muscular dystrophy (DMD) cDNA and preliminary genomic organization of the DMD gene in normal and affected individuals. Cell 50:509–517
Mehler MF (2000) Brain dystrophin, neurogenetics and mental retardation. Brain Res Brain Res Rev 32:277–307
Yoshida M, Ozawa E (1990) Glycoprotein complex anchoring dystrophin to sarcolemma. J Biochem 108:748–752
Byers TJ, Lidov HG, Kunkel LM (1993) An alternative dystrophin transcript specific to peripheral nerve. Nat Genet 4:77–81
D’Souza VN, Nguyen TM, Morris GE et al (1995) A novel dystrophin isoform is required for normal retinal electrophysiology. Hum Mol Gene 4:837–842
Lederfein D, Yaffe D, Nudel U (1993) A housekeeping type promoter, located in the 3′ region of the Duchenne muscular dystrophy gene, controls the expression of Dp71, a major product of the gene. Hum Mol Genet 2:1883–1888
Lidov HG, Kunkel LM (1997) Dp140: alternatively spliced isoforms in brain and kidney. Genomics 45:132–139
Claudepierre T, Dalloz C, Mornet D et al (2000) Characterization of the intermolecular associations of the dystrophin-associated glycoprotein complex in retinal Muller glial cells. J Cell Sci 113(Pt 19):3409–3417
Hugnot JP, Gilgenkrantz H, Vincent N et al (1992) Distal transcript of the dystrophin gene initiated from an alternative first exon and encoding a 75-kDa protein widely distributed in nonmuscle tissues. Proc Natl Acad Sci USA 89:7506–7510
Lederfein D, Levy Z, Augier N et al (1992) A 71-kilodalton protein is a major product of the Duchenne muscular dystrophy gene in brain and other nonmuscle tissues. Proc Natl Acad Sci USA 89:5346–5350
Moizard MP, Billard C, Toutain A et al (1998) Are Dp71 and Dp140 brain dystrophin isoforms related to cognitive impairment in Duchenne muscular dystrophy? Am J Med Genet 80:32–41
Moizard MP, Toutain A, Fournier D et al (2000) Severe cognitive impairment in DMD: obvious clinical indication for Dp71 isoform point mutation screening. Eur J Hum Genet 8:552–556
Jung D, Yang B, Meyer J et al (1995) Identification and characterization of the dystrophin anchoring site on beta-dystroglycan. J Biol Chem 270:27305–27310
Sarig R, Mezger-Lallemand V, Gitelman I et al (1999) Targeted inactivation of Dp71, the major non-muscle product of the DMD gene: differential activity of the Dp71 promoter during development. Hum Mol Genet 8:1–10
Greene LA, Tischler AS (1976) Establishment of a noradrenergic clonal line of rat adrenal pheochromocytoma cells which respond to nerve growth factor. Proc Natl Acad Sci USA 73:2424–2428
Acosta R, Montañez C, Fuentes-Mera L et al (2004) Dystrophin Dp71 is required for neurite outgrowth in PC12 cells. Exp Cell Res 296:265–275
Marquez FG, Cisneros B, Garcia F et al (2003) Differential expression and subcellular distribution of dystrophin Dp71 isoforms during differentiation process. Neuroscience 118:957–966
Rodríguez-Muñoz R, Villarreal-Silva M, Gonzalez-Ramirez R et al (2008) Neuronal differentiation modulates the dystrophin Dp71d binding to the nuclear matrix. Biochem Biophys Res Commun 375:303–307
Rivier F, Robert A, Hugon G et al (1999) Dystrophin and utrophin complexed with different associated proteins in cardiac Purkinje fibres. Histochem J 31:425–432
Claudepierre T, Mornet D, Pannicke T et al (2000) Expression of Dp71 in Muller glial cells: a comparison with utrophin- and dystrophin-associated proteins. Invest Ophthalmol Vis Sci 41:294–304
Fabbrizio E, Leger J, Anoal M et al (1993) Monoclonal antibodies targeted against the C-terminal domain of dystrophin or utrophin. FEBS Lett 322:10–14
Blake DJ, Nawrotzki R, Loh NY et al (1998) Beta-dystrobrevin, a member of the dystrophin-related protein family. Proc Natl Acad Sci USA 95:241–246
Blake DJ, Hawkes R, Benson MA et al (1999) Different dystrophin-like complexes are expressed in neurons and glia. J Cell Biol 147:645–658
Díaz-Barriga CL, Yáñez L, Hernández JM et al (1989) Interaction of cadmium with actin microfilaments in vitro. Toxic in vitro 3:277–284
Fuentes-Mera L, Rodríguez-Muñoz R, Gonzalez-Ramirez R et al (2006) Characterization of a novel Dp71 dystrophin-associated protein complex (DAPC) present in the nucleus of HeLa cells: members of the nuclear DAPC associate with the nuclear matrix. Exp Cell Res 312:3023–3035
Gonzalez-Ramirez R, Morales-Lazaro SL, Tapia-Ramirez V et al (2008) Nuclear and nuclear envelope localization of dystrophin Dp71 and dystrophin-associated proteins (DAPs) in the C2C12 muscle cells: DAPs nuclear localization is modulated during myogenesis. J Cell Biochem 105:735–745
Cox GA, Sunada Y, Campbell KP et al (1994) Dp71 can restore the dystrophin-associated glycoprotein complex in muscle but fails to prevent dystrophy. Nat Genet 8:333–339
Greenberg DS, Schatz Y, Levy Z et al (1996) Reduced levels of dystrophin associated proteins in the brains of mice deficient for Dp71. Hum Mol Genet 5:1299–1303
Royuela M, Chazalette D, Hugon G et al (2003) Formation of multiple complexes between beta-dystroglycan and dystrophin family products. J Muscle Res Cell Motil 24:387–397
Jimenez-Mallebrera C, Davies K, Putt W et al (2003) A study of short utrophin isoforms in mice deficient for full-length utrophin. Mamm Genome 14:47–60
Lumeng CN, Phelps SF, Rafael JA et al (1999) Characterization of dystrophin and utrophin diversity in the mouse. Hum Mol Genet 8:593–599
Wilson J, Putt W, Jimenez C et al (1999) Up71 and up140, two novel transcripts of utrophin that are homologues of short forms of dystrophin. Hum Mol Genet 8:1271–1278
Grady RM, Teng H, Nichol MC et al (1997) Skeletal and cardiac myopathies in mice lacking utrophin and dystrophin: a model for Duchenne muscular dystrophy. Cell 90:729–738
Cisneros B, Rendon A, Genty V et al (1996) Expression of dystrophin Dp71 during PC12 cell differentiation. Neurosci Lett 213:107–110
Romo-Yáñez J, Ceja V, Ilarraza-Lomeli R et al (2007) Dp71ab/DAPs complex composition changes during the differentiation process in PC12 cells. J Cell Biochem 102:82–97
Enriquez-Aragon JA, Cerna-Cortes J, Bermudez de Leon M et al (2005) Dystrophin Dp71 in PC12 cell adhesion. Neuroreport 16:235–238
Acknowledgments
We are grateful to Dr. Manuel Hernández (Department of Cellular Biology, CINVESTAV-IPN, Mexico City) for supplying anti-actin monoclonal antibody and Dr. Derek J. Blake (Department of Human Anatomy and Genetics, University of Oxford, Oxford, UK) for providing 2166 and β-CTFP antibodies. We also thank to Pablo Gómez and Victor Tapia for technical assistance. This work was supported by CONACYT-México, Grant No. 54858, (to BC). CONACYT also granted scholarships for PhD students (183964, 206575 control numbers).
Author information
Authors and Affiliations
Corresponding author
Electronic Supplementary Material
Below is the link to the electronic supplementary material.
Rights and permissions
About this article
Cite this article
Villarreal-Silva, M., Suárez-Sánchez, R., Rodríguez-Muñoz, R. et al. Dystrophin Dp71 is Critical for Stability of the DAPs in the Nucleus of PC12 Cells. Neurochem Res 35, 366–373 (2010). https://doi.org/10.1007/s11064-009-0064-z
Accepted:
Published:
Issue Date:
DOI: https://doi.org/10.1007/s11064-009-0064-z