Skip to main content

The Protective Effect of Dexanabinol (HU-211) on Nitric Oxide and Cysteine Protease-Mediated Neuronal Death in Focal Cerebral Ischemia

Abstract

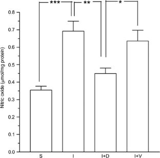
We hypothesized that dexanabinol can prevent neuronal death by protecting neuronal lysosomes from nitric oxide (NO)-mediated toxicity, and in turn, by suppressing the release of cathepsins during cerebral ischemia. Focal cerebral ischemia was induced in two sets of animals by permanent middle cerebral artery occlusion. The first set was used to monitor NO concentration and cathepsin activity, while the second was used for histological examination with hematoxylin and eosin, and TUNEL staining. In post-ischemic brain tissue, NO content and cathepsin B and L activity increased (p < 0.05). Dexanabinol treatment reduced NO concentration and cathepsin activity to the control level (p > 0.05). The number of eosinophilic and apoptotic neurons increased in the post-ischemic cerebral cortex (p < 0.05). However, dexanabinol treatment lowered both of these (p < 0.05). We conclude that dexanabinol might be a useful agent for the treatment of stroke patients.

This is a preview of subscription content, access via your institution.

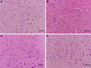
Fig. 1
Fig. 2
Fig. 3
Fig. 4
Fig. 5
Fig. 6
Fig. 7
Fig. 8

References

  1. Knowles RG, Moncada S (1994) Nitric oxide synthases in mammals. Biochem J 298:249–258

    PubMed  CAS  Google Scholar 

  2. Zhang ZG, Chopp M, Zaloga C, Pollock JS, Förstermann U (1993) Cerebral endothelial nitric oxide synthase expression after focal cerebral ischemia in rats. Stroke 24:2016–2021

    PubMed  CAS  Google Scholar 

  3. Kader A, Frazzini VI, Solomon RA, Trifiletti RR (1993) Nitric oxide production during focal cerebral ischemia in rats. Stroke 24:1709–1716

    PubMed  CAS  Google Scholar 

  4. Sasaki T, Hamada J, Shibata M et al (2001) Inhibition of nitric oxide production during global ischemia ameliorates ischemic damage of pyramidal neurons in the hippocampus. Keio J Med 50:182–187

    PubMed  CAS  Google Scholar 

  5. Jiang MH, Kaku T, Hada J, Hayashi Y (2002) Different effects of eNOS and nNOS inhibition on transient forebrain ischemia. Brain Res 946:139–147

    PubMed  Article  CAS  Google Scholar 

  6. Grandati M, Verrecchia C, Revaud ML et al (1997) Calcium-independent NO-synthase activity and nitrites/nitrates production in transient focal cerebral ischemia in mice. Br J Pharmacol 122:625–630

    PubMed  Article  CAS  Google Scholar 

  7. Iadecola C, Zhang F, Xu X (1995) Inhibition of inducible nitric oxide synthase ameliorates cerebral ischemic damage. Am J Physiol 268:R286–R292

    PubMed  CAS  Google Scholar 

  8. Zhu DY, Deng Q, Yao HH et al (2002) Inducible nitric oxide synthase expression in the ischemic core and penumbra after transient focal cerebral ischemia in mice. Life Sci 71:1985–1996

    PubMed  Article  CAS  Google Scholar 

  9. Kawamura M, Nakajima W, Ishida A et al (2005) Calpain inhibitor MDL 28170 protects hypoxic-ischemic brain injury in neonatal rats by inhibition of both apoptosis and necrosis. Brain Res 1037:59–69

    PubMed  Article  CAS  Google Scholar 

  10. Tsubokawa T, Solaroglu I, Yatsushige H et al (2006) Cathepsin and calpain inhibitor E64d attenuates matrix metalloproteinase-9 activity after focal cerebral ischemia in rats. Stroke 37:1888–1894

    PubMed  Article  CAS  Google Scholar 

  11. Nitatori T, Sato N, Kominami E, Uchiyama Y (1996) Participation of cathepsins B, H, and L in perikaryal condensation of CA1 pyramidal neurons undergoing apoptosis after brief ischemia. Adv Exp Med Biol 389:177–185

    PubMed  CAS  Google Scholar 

  12. Hill IE, Preston E, Monette R, MacManus JP (1997) A comparison of cathepsin B processing and distribution during neuronal death in rats following global ischemia or decapitation necrosis. Brain Res 751:206–216

    PubMed  Article  CAS  Google Scholar 

  13. Seyfried D, Han Y, Zheng Z et al (1997) Cathepsin B and middle cerebral artery occlusion in the rat. J Neurosurg 87:716–723

    PubMed  CAS  Google Scholar 

  14. Seyfried DM, Veyna R, Han Y et al (2001) A selective cysteine protease inhibitor is non-toxic and cerebroprotective in rats undergoing transient middle cerebral artery ischemia. Brain Res 901:94–101

    PubMed  Article  CAS  Google Scholar 

  15. Yamashima T, Kohda Y, Tsuchiya K et al (1998) Inhibition of ischaemic hippocampal neuronal death in primates with cathepsin B inhibitor CA-074: a novel strategy for neuroprotection based on ‘calpain-cathepsin hypothesis’. Eur J Neurosci 10:1723–1733

    PubMed  Article  CAS  Google Scholar 

  16. Yamashima T (2004) Ca2+-dependent proteases in ischemic neuronal death: a conserved ‘calpain-cathepsin cascade’ from nematodes to primates. Cell Calcium 36:285–293. Review

    PubMed  Article  CAS  Google Scholar 

  17. Kohda Y, Yamashima T, Sakuda K et al (1996) Dynamic changes of cathepsins B and L expression in the monkey hippocampus after transient ischemia. Biochem Biophys Res Commun 228:616–622

    PubMed  Article  CAS  Google Scholar 

  18. Mechoulam R, Lander N, Bauer A, Zahalka J (1990) Synthesis of the individual pharmacologically distinct enantiomers of a tetrahydrocannabinol derivative. Tetrahedron Asymmetry 1:315–318

    Article  CAS  Google Scholar 

  19. Eshhar N, Striem S, Kohen R et al (1995) Neuroprotective and antioxidant activities of HU-211, a novel NMDA receptor antagonist. Eur J Pharmacol 283:19–29

    PubMed  Article  CAS  Google Scholar 

  20. Feigenbaum JJ, Bergmann F, Richmond SA et al (1989) Nonpsychotropic cannabinoid acts as a functional N-methyl-D-aspartate receptor blocker. Proc Natl Acad Sci USA 86:9584–9587

    PubMed  Article  CAS  Google Scholar 

  21. Gallily R, Yamin A, Waksmann Y et al (1997) Protection against septic shock and suppression of tumor necrosis factor alpha and nitric oxide production by dexanabinol (HU-211), a nonpsychotropic cannabinoid. J Pharmacol Exp Ther 283:918–924

    PubMed  CAS  Google Scholar 

  22. Shohami E, Gallily R, Mechoulam R et al (1997) Cytokine production in the brain following closed head injury: dexanabinol (HU-211) is a novel TNF-alpha inhibitor and an effective neuroprotectant. J Neuroimmunol 72:169–177

    PubMed  Article  CAS  Google Scholar 

  23. Tamura A, Graham DI, McCulloch J, Teasdale GM (1981) Focal cerebral ischaemia in the rat: 1. Description of technique and early neuropathological consequences following middle cerebral artery occlusion. J Cereb Blood Flow Metab 1:53–60

    PubMed  CAS  Google Scholar 

  24. Cortas NK, Wakid NW (1990) Determination of inorganic nitrate in serum and urine by a kinetic cadmium-reduction method. Clin Chem 36:1440–1443

    PubMed  CAS  Google Scholar 

  25. Kirschke H, Wood L, Roisen FJ, Bird JW (1983) Activity of lysosomal cysteine proteinase during differentiation of rat skeletal muscle. Biochem J 214:871–877

    PubMed  CAS  Google Scholar 

  26. Damjanow I, McCue PA (1996) Histopathology: a color atlas and textbook. Williams and Wilkins, Baltimore, pp 460–488

    Google Scholar 

  27. Lei B, Adachi N, Nagaro T et al (1999) Nitric oxide production in the CA1 field of the gerbil hippocampus after transient forebrain ischemia: effects of 7-nitroindazole and NG-nitro-L-arginine methyl ester. Stroke 30:669–677

    PubMed  CAS  Google Scholar 

  28. Huang Z, Huang PL, Panahian N et al (1994) Effects of cerebral ischemia in mice deficient in neuronal nitric oxide synthase. Science 265:1883–1885

    PubMed  Article  CAS  Google Scholar 

  29. Ferriero DM, Holtzman DM, Black SM, Sheldon RA (1996) Neonatal mice lacking neuronal nitric oxide synthase are less vulnerable to hypoxic–ischemic injury. Neurobiol Dis 3:64–71

    PubMed  Article  CAS  Google Scholar 

  30. Benveniste H, Jørgensen MB, Diemer NH, Hansen AJ (1988) Calcium accumulation by glutamate receptor activation is involved in hippocampal cell damage after ischemia. Acta Neurol Scand 78:529–536

    PubMed  CAS  Article  Google Scholar 

  31. Iadecola C (1997) Bright and dark sides of nitric oxide in ischemic brain injury. Trends Neurosci 20:132–139

    PubMed  Article  CAS  Google Scholar 

  32. Hampson AJ, Grimaldi M, Axelrod J, Wink D (1998) Cannabidiol and (-) delta 9-tetrahydrocannabinol are neuroprotective antioxidants Proc Natl Acad Sci USA 95:8268–8273

    PubMed  Article  CAS  Google Scholar 

  33. Li Y, Powers C, Jiang N, Chopp M (1998) Intact, injured, necrotic and apoptotic cells after focal cerebral ischemia in the rat. J Neurol Sci 156:119–132

    PubMed  Article  CAS  Google Scholar 

  34. Lavie G, Teichner A, Shohami E et al (2001) Long term cerebroprotective effects of dexanabinol in a model of focal cerebral ischemia. Brain Res 901:195–201

    PubMed  Article  CAS  Google Scholar 

  35. Leker RR, Shohami E, Abramsky O, Ovadia H (1999) Dexanabinol: a novel neuroprotective drug in experimental focal cerebral ischemia. J Neurol Sci 162:114–119

    PubMed  Article  CAS  Google Scholar 

  36. Nitatori T, Sato N, Waguri S et al (1995) Delayed neuronal death in the CA1 pyramidal cell layer of the gerbil hippocampus following transient ischemia is apoptosis. J Neurosci 15:1001–1011

    PubMed  CAS  Google Scholar 

  37. Brunk UT, Dalen H, Roberg K, Hellquist HB (1997) Photo-oxidative disruption of lysosomal membranes causes apoptosis of cultured human fibroblasts. Free Radic Biol Med 23:616–626

    PubMed  Article  CAS  Google Scholar 

  38. Benchoua A, Braudeau J, Reis A et al (2004) Activation of proinflammatory caspases by cathepsin B in focal cerebral ischemia. J Cereb Blood Flow Metab 24:1272–1279

    PubMed  Article  CAS  Google Scholar 

  39. Yoshida M, Yamashima T, Zhao L (2002) Primate neurons show different vulnerability to transient ischemia and response to cathepsin inhibition. Acta Neuropathol 104:267–272

    PubMed  CAS  Google Scholar 

  40. Tsubokawa T, Yamaguchi-Okada M, Calvert JW et al (2006) Neurovascular and neuronal protection by E64d after focal cerebral ischemia in rats. J Neurosci Res 84:832–840

    PubMed  Article  CAS  Google Scholar 

  41. Bonfoco E, Krainc D, Ankarcrona M et al (1995) Apoptosis and necrosis: two distinct events induced, respectively, by mild and intense insults with N-methyl-D-aspartate or nitric oxide/superoxide in cortical cell cultures. Proc Natl Acad Sci USA 92:7162–7166

    PubMed  Article  CAS  Google Scholar 

  42. Nadler V, Mechoulam R, Sokolovsky M (1993) Blockade of 45Ca2+ influx through the N-methyl-D-aspartate receptor ion channel by the non-psychoactive cannabinoid HU-211. Brain Res 622:79–85

    PubMed  Article  CAS  Google Scholar 

  43. Nadler V, Mechoulam R, Sokolovsky M (1993) The non-psychotropic cannabinoid (+)-(3S,4S)-7-hydroxy-delta 6-tetrahydrocannabinol 1,1-dimethylheptyl (HU-211) attenuates N-methyl-D-aspartate receptor-mediated neurotoxicity in primary cultures of rat forebrain. Neurosci Lett 162:43–45

    PubMed  Article  CAS  Google Scholar 

  44. Zhu C, Qiu L, Wang X et al (2003) Involvement of apoptosis-inducing factor in neuronal death after hypoxia-ischemia in the neonatal rat brain. J Neurochem 86:306–317

    PubMed  Article  CAS  Google Scholar 

  45. Baud O, Li J, Zhang Y et al (2004) Nitric oxide-induced cell death in developing oligodendrocytes is associated with mitochondrial dysfunction and apoptosis-inducing factor translocation. Eur J Neurosci 20:1713–1726

    PubMed  Article  Google Scholar 

  46. Cao G, Xing J, Xiao X et al (2007) Critical role of calpain I in mitochondrial release of apoptosis-inducing factor in ischemic neuronal injury. J Neurosci 27:9278–9293

    PubMed  Article  CAS  Google Scholar 

Download references

Author information

Affiliations

Authors

Corresponding author

Correspondence to Ramazan Durmaz.

Rights and permissions

Reprints and Permissions

About this article

Cite this article

Durmaz, R., Özden, H., Kanbak, G. et al. The Protective Effect of Dexanabinol (HU-211) on Nitric Oxide and Cysteine Protease-Mediated Neuronal Death in Focal Cerebral Ischemia. Neurochem Res 33, 1683–1691 (2008). https://doi.org/10.1007/s11064-008-9605-0

Download citation

  • Received:

  • Accepted:

  • Published:

  • Issue Date:

  • DOI: https://doi.org/10.1007/s11064-008-9605-0

Keywords

  • Apoptosis
  • Cathepsins
  • Dexanabinol
  • Nitric oxide
  • Permanent middle cerebral artery occlusion
  • TUNEL staining