Skip to main content

Signaling Pathways Mediating Manganese-Induced Toxicity in Human Glioblastoma Cells (U87)

Abstract

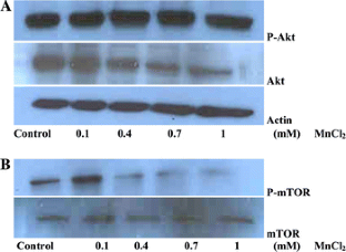
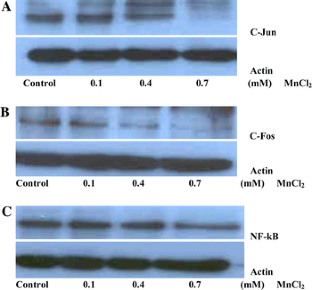
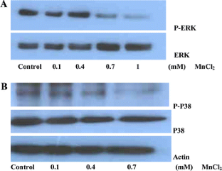
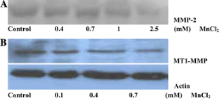
Although essential, manganese (Mn) intake in excess leads to neurotoxicity. Mn neurotoxicity induces impairment of energy metabolism and ultimately cell death. Nevertheless, the signaling mechanisms underlying Mn toxicity are unknown. Employing human glioblastoma (U87) cells, we investigated several signaling pathways (ones promoting cellular proliferation and invasion) underlying Mn toxicity. Mn-treatment of U87 cells induced a down-regulation of MAPK pathway but the AKT pathway was not markedly affected. Mn-treatment of these cells induced decreases in their levels of c-Jun and c-Fos transcription factors and extracellular matrix degrading enzymes like MMP-2, which are associated with glioblastoma invasiveness. Mn-treatment also induced apoptosis in U87 cells. Thus, our results indicate that other than inducing apoptosis in U87 cells, Mn exerts differential effects on several signaling pathways promoting glioblastoma proliferation and invasion. Consequently, Mn may have pathophysiological roles in inducing apoptosis and in blocking glioblastoma invasion. Our results may thus have therapeutic implications.

This is a preview of subscription content, access via your institution.

Fig. 1
Fig. 2
Fig. 3
Fig. 4
Fig. 5
Fig. 6

References

  1. Underwood EJ (1977) Trace elements in human and animal nutrition, 4th ed. Academic, New York

    Google Scholar 

  2. Cotzias GC, Horiuchi K, Fuenzalida S, Mena I (1968) Chronic manganese poisoning: clearence of tissue manganese concentrations with persistence of the neurological picture. Neurology 18:376–382

    PubMed  CAS  Google Scholar 

  3. Lai JCK, Minski MJ, Chan AWK, Leung TKC, Lim L (1999) Manganese mineral interactions in brain. Neurotoxicolology 20:433–444

    CAS  Google Scholar 

  4. Lai JCK, Leung TKC, Lim L (1985) Effects of metal ions on neurotransmitter function and metabolism. In: Gabay S, Harris J, Ho BT (eds) Metal ions in neurology and psychiatry. Alan Liss, New York, pp 177–197

    Google Scholar 

  5. Normandin L, Hazell AS (2002) Manganese neurotoxicity: an update of pathophysiologic mechanisms. Metab Brain Dis 17(4):375–387

    PubMed  CAS  Article  Google Scholar 

  6. Malthankar GV, White BK, Bhushan A, Daniels CK, Rodnick KJ, Lai JCK (2004) Differential lowering by manganese treatment of activities of glycolytic and tricarboxylic acid (TCA) cycle enzymes investigated in neuroblastoma and astrocytoma cells is associated with manganese-induced cell death. Neurochem Res 29:709–717

    PubMed  CAS  Article  Google Scholar 

  7. Roux PP, Blenis J (2004) ERK and p38 MAPK-activated protein kinases: a family of protein kinases with diverse biological functions. Microbiol Mol Biol Rev 68:320–344

    PubMed  CAS  Article  Google Scholar 

  8. Manson MM, Holloway KA, Howells LM, Hudson EA, Plummer SM, Squires MS, Prigent SA (2000) Modulation of signal transduction pathways by chemopreventive agents. Biochem Soc Trans 28:7–12

    PubMed  CAS  Google Scholar 

  9. Cantrell DA (2001) Phosphoinositide 3-kinase signaling pathways. J Cell Sci 114:1439–1445

    PubMed  CAS  Google Scholar 

  10. Luo J, Manning BD, Cantley LC (2003) Targeting the PI3K-Akt pathway in human cancer: rationale and promise. Cancer Cell 4:257–262

    PubMed  CAS  Article  Google Scholar 

  11. Morgensztern D, McLoed HL (2005) PI3K/Akt/mTOR as a target for cancer therapy. Anticancer Drugs 16:797–798

    PubMed  CAS  Article  Google Scholar 

  12. Hahn-Windgassen A, Nogueira V, Chen CC, Skeen JE, Sonenberg N, Hay N (2005) Akt activates the mammalian target of rapamycin by regulating cellular ATP level and AMPK activity. J Biol Chem 280(37):32081–32089

    PubMed  CAS  Article  Google Scholar 

  13. Kamninska B, Pyrzynska B, Ciechomska I, Wisniewska M (2000) Modulation of the composition of AP-1 complex and its impact on transcriptional activity. Acta Neurobiol Exp 60:395–402

    Google Scholar 

  14. Karin M (1995) The regulation of AP-1 activity by mitogen-activated protein kinases. J Biol Chem 270:16483–16486

    PubMed  CAS  Google Scholar 

  15. Baldwin AS (2001) Control of oncogenesis and cancer therapy resistance by the transcription factor NF-kB. J Clin Invest 107:241–246

    PubMed  CAS  Google Scholar 

  16. Chen F, Castranova V, Shi X (2001) New insights into the role of nuclear factor-kB in cell growth regulation. Am J Pathol 159:387–397

    PubMed  CAS  Google Scholar 

  17. Mattson MP, Camandola S (2001) NF-kB in neuronal plasticity and neurodegenerative disorders. J Clin Invest 107:247–254

    PubMed  CAS  Article  Google Scholar 

  18. Bello L, Giussani C, Carrabba G, Pluderi M, Costa F, Bikfalvi A (2004) Angiogenesis and invasion in gliomas. Cancer Treat Res 117:263–284

    PubMed  CAS  Google Scholar 

  19. Kachra Z, Beaulieu E, Delbecchi L, Mousseau N, Berthelet F, Moumdjian R, Del Maestro R, Beliveau R (1999) Expression of matrix metalloproteinases and their inhibitors in human brain tumors. Clin Exp Metastasis 17:555–566

    PubMed  CAS  Article  Google Scholar 

  20. Abe T, Mori T, Kohno K, Seiki M, Hayakawa T, Welgus HG, Hori S, Kuwano M (1994) Expression of 72 kDa type IV collagenase and invasion activity of human glioma cells. Clin Exp Metastasis 12:296–304

    PubMed  CAS  Article  Google Scholar 

  21. Fillmore HL, VanMeter TE, Broaddus WC (2001) Membrane-type matrix metalloproteinases (MT-MMPs): expression and function during glioma invasion. J Neurooncol 53:187–202

    PubMed  CAS  Article  Google Scholar 

  22. Lai JCK, Chan AWK, Minski MJ, Lim L (1985) Role of metal ions in brain development and aging. In: Gabay S, Harris J, Ho BT (eds) Metal ions in neurology and psychiatry. Alan Liss, New York pp 49–67

    Google Scholar 

  23. Davis CD, Greger JL (1992) Longitudinal changes of manganese-dependent superoxide dismutase and other indexes of managanese and iron status in women. Am J Clin Nutr 55:747–752

    PubMed  CAS  Google Scholar 

  24. Banta RG, Markesbery WR (1977) Elevated manganese levels associated with dementia and extrapyramidal signs. Neurology 27:213–216

    PubMed  CAS  Google Scholar 

  25. Verity MA (1999) Manganese neurotoxicity: a mechanistic hypothesis. Neurotoxicology 20:489–497

    PubMed  CAS  Google Scholar 

  26. Gavin CE, Gunter KK, Gunter TE (1992) Mn++ sequestration by mitochondria and inhibition of oxidative phosphorylation. Toxicol Appl Pharmacol 115:1–5

    PubMed  CAS  Article  Google Scholar 

  27. Samet JM, Graves LM, Quay J, Dailey LA, Devlin RB, Ghio AJ, Wu W, Bromberg PA, Reed W (1998) Activation of MAPKs in human bronchial epithelial cells exposed to metals. Am J Physiol 275:L551–L558

    PubMed  CAS  Google Scholar 

  28. Park KS, Ahn Y, Kim JA, Yu MS, Seong BL, Choi KY (2002) Extracellular zinc stimulates ERK-dependent activation of p21Cip/WAF1 and inhibits proliferation of colorectal cancer cells. Br J Pharmacol 137:597–607

    PubMed  CAS  Article  Google Scholar 

  29. Mawrin C, Diete S, Treuheit T, Kropf S, Vorwerk CK, Boltze C, Kirches E, Firsching R, Dietzmann K (2003) Prognosis relevance of MAPK expression in glioblastoma multiforme. Int J Oncol 23:641–648

    PubMed  CAS  Google Scholar 

  30. Klotz LO, Kroncke KD, Buchczyk DP, Sies H (2003) Role of copper, zinc, selenium, and tellurium in the cellular defense against oxidative and nitrosative stress. J Nutrit 133:1448S–1451S

    PubMed  CAS  Google Scholar 

  31. Ostrakhovitch EA, Lordnejad MR, Schliess F, Sies H, Klotz LO (2002) Copper ions strongly activate the phosphoinositide-3-kinase/Akt pathway independent of the generation of reactive oxygen species. Arch Biochem Biophys 397:232–239

    PubMed  CAS  Article  Google Scholar 

  32. Erikson KM, Dobson AW, Dorman DC, Aschner M (2004) Manganese exposure and induced oxidative stress in the rat brain. Sci Total Environ 334–335:409–416

    PubMed  Google Scholar 

  33. Chebassier N, Houssein OE, Viegas I, Dreno B (2004) In vitro induction of matrix metalloproteinase-2 and matrix metalloproteinase-9 expression in keratinocytes by boron and managanese. Exp Dermatol 13:484–490

    PubMed  CAS  Article  Google Scholar 

  34. Puli S, Lai JC, Bhushan A (2006) Inhibition of matrix degrading enzymes and invasion in human glioblastoma (U87MG) cells by isoflavones. J Neurooncol (in press)

Download references

Acknowledgments

Our work was supported in part, by grants from Faculty Research Committee grant # 937, and University Research Committee grant # FY2002-09 at Idaho State University. K.L.E. was supported by an UgRC grant.

Author information

Affiliations

Authors

Corresponding author

Correspondence to Alok Bhushan.

Rights and permissions

Reprints and Permissions

About this article

Cite this article

Puli, S., Lai, J.C.K., Edgley, K.L. et al. Signaling Pathways Mediating Manganese-Induced Toxicity in Human Glioblastoma Cells (U87). Neurochem Res 31, 1211–1218 (2006). https://doi.org/10.1007/s11064-006-9178-8

Download citation

  • Received:

  • Accepted:

  • Published:

  • Issue Date:

  • DOI: https://doi.org/10.1007/s11064-006-9178-8

Keywords

  • Manganese
  • Manganese toxicity
  • Glioblastoma
  • Signaling
  • Cell death