Skip to main content

Chordoid glioma of the third ventricle: report of a rapidly progressive case

Abstract

Chordoid gliomas are slowly growing third ventricular tumors that can be challenging to manage clinically. Rapid progression causing death has not been previously reported for this tumor type. We present and discuss a case of chordoid glioma that arose in a 46-year-old female who presented with progressive fatigue, headache, and altered mental status, attributable to severe hydrocephalus caused by a third ventricular mass. She underwent urgent subtotal resection and ventriculo-peritoneal shunt placements. Post-operative MRI noted residual tumor in the anterior resection cavity. An MRI performed 9 weeks later showed substantial progression, with marked tumor enlargement and compression of adjacent hypothalamic structures and the optic chiasm. Despite a course of radiation therapy, the tumor continued to enlarge, and the patient died from tumor progression 7 months after initial presentation. Post-mortem exam demonstrated a mass that expanded the third ventricle and compressed adjacent hypothalamic, thalamic and suprasellar structures. Histologic and immunohistochemical studies confirmed a chordoid glioma and revealed multifocal coagulative necrosis and intravascular thrombosis, which are unusual in this tumor type. Cytogenomic microarray testing revealed numerous DNA copy number abnormalities, many of which had not previously been reported in this tumor. The pathologic and cytogenetic changes may correlate with the aggressive behavior of this chordoid glioma and can be pursued by future investigation of additional cases.

This is a preview of subscription content, access via your institution.

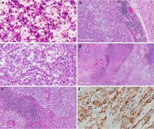
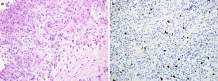
Fig. 1
Fig. 2
Fig. 3
Fig. 4
Fig. 5

References

  1. Pomper MG, Passe TJ, Burger PC, Scheithauer BW, Brat DJ (2001) Chordoid glioma: a neoplasm unique to the hypothalamus and anterior third ventricle. AJNR Am J Neuroradiol 22(3):464–469

    CAS  PubMed  Google Scholar 

  2. Galloway M, Afshar F, Geddes JF (2001) Chordoid glioma: an uncommon tumour of the third ventricle. Br J Neurosurg 15(2):147–150

    CAS  Article  PubMed  Google Scholar 

  3. Carrasco R, Pascual JM, Reina T, Nieto S, Linera J, Sola RG (2008) Chordoid glioma of the third ventricle attached to the optic chiasm. Successful removal through a trans-lamina terminalis approach. Clin Neurol Neurosurg 110(8):828–833. doi:10.1016/j.clineuro.2008.05.009

    Article  PubMed  Google Scholar 

  4. Louis DN, Ohgaki H, Wiestler OD, Cavenee WK, Burger PC, Jouvet A, Scheithauer BW, Kleihues P (2007) The 2007 WHO classification of tumours of the central nervous system. Acta Neuropathol 114(2):97–109. doi:10.1007/s00401-007-0243-4

    Article  PubMed  PubMed Central  Google Scholar 

  5. Grand S, Pasquier B, Gay E, Kremer S, Remy C, Le Bas JF (2002) Chordoid glioma of the third ventricle: CT and MRI, including perfusion data. Neuroradiology 44(10):842–846. doi:10.1007/s00234-002-0820-0

    CAS  Article  PubMed  Google Scholar 

  6. Hanbali F, Fuller GN, Leeds NE, Sawaya R (2001) Choroid plexus cyst and chordoid glioma. Report of two cases. Neurosurg Focus 10(6):E5

    CAS  Article  PubMed  Google Scholar 

  7. Brat DJ, Scheithauer BW, Staugaitis SM, Cortez SC, Brecher K, Burger PC (1998) Third ventricular chordoid glioma: a distinct clinicopathologic entity. J Neuropathol Exp Neurol 57(3):283–290

    CAS  Article  PubMed  Google Scholar 

  8. Reifenberger G, Weber T, Weber RG, Wolter M, Brandis A, Kuchelmeister K, Pilz P, Reusche E, Lichter P, Wiestler OD (1999) Chordoid glioma of the third ventricle: immunohistochemical and molecular genetic characterization of a novel tumor entity. Brain Pathol 9(4):617–626

    CAS  Article  PubMed  Google Scholar 

  9. Tonami H, Kamehiro M, Oguchi M, Higashi K, Yamamoto I, Njima T, Okamoto K, Akai T, Iizuka H (2000) Chordoid glioma of the third ventricle: CT and MR findings. J Comput Assist Tomogr 24(2):336–338

    CAS  Article  PubMed  Google Scholar 

  10. Ampie L, Choy W, Lamano JB, Kesavabhotla K, Mao Q, Parsa AT, Bloch O (2015) Prognostic factors for recurrence and complications in the surgical management of primary chordoid gliomas: a systematic review of literature. Clin Neurol Neurosurg 138:129–136. doi:10.1016/j.clineuro.2015.08.011

    Article  PubMed  PubMed Central  Google Scholar 

  11. Jung TY, Jung S (2006) Third ventricular chordoid glioma with unusual aggressive behavior. Neurol Med Chir 46(12):605–608

    Article  Google Scholar 

  12. Destefani MH, Mello AS, de Oliveira RS, Simao GN (2015) Chordoid glioma of the third ventricle. Radiol Bras 48(5):338–339. doi:10.1590/0100-3984.2014.0125

    Article  PubMed  PubMed Central  Google Scholar 

  13. Kurian KM, Summers DM, Statham PF, Smith C, Bell JE, Ironside JW (2005) Third ventricular chordoid glioma: clinicopathological study of two cases with evidence for a poor clinical outcome despite low grade histological features. Neuropathol Appl Neurobiol 31(4):354–361. doi:10.1111/j.1365-2990.2005.00551.x

    CAS  Article  PubMed  Google Scholar 

  14. Bielle F, Villa C, Giry M, Bergemer-Fouquet AM, Polivka M, Vasiljevic A, Aubriot-Lorton MH, Bernier M, Lechapt-Zalcman E, Viennet G, Sazdovitch V, Duyckaerts C, Sanson M, Figarella-Branger D, Mokhtari K, Renop (2015) Chordoid gliomas of the third ventricle share TTF-1 expression with organum vasculosum of the lamina terminalis. Am J Surg Pathol 39(7):948–956. doi:10.1097/PAS.0000000000000421

    Article  PubMed  Google Scholar 

  15. Takei H, Bhattacharjee MB, Adesina AM (2006) Chordoid glioma of the third ventricle: report of a case with cytologic features and utility during intraoperative consultation. Acta Cytol 50(6):691–696

    Article  PubMed  Google Scholar 

  16. Desouza RM, Bodi I, Thomas N, Marsh H, Crocker M (2010) Chordoid glioma: ten years of a low-grade tumor with high morbidity. Skull Base 20(2):125–138. doi:10.1055/s-0029-1246223

    Article  PubMed  PubMed Central  Google Scholar 

  17. Rock JP, Hearshen D, Scarpace L, Croteau D, Gutierrez J, Fisher JL, Rosenblum ML, Mikkelsen T (2002) Correlations between magnetic resonance spectroscopy and image-guided histopathology, with special attention to radiation necrosis. Neurosurgery 51(4):912–919 discussion 919–920

    PubMed  Google Scholar 

  18. Ebrahimi A, Skardelly M, Bonzheim I, Ott I, Muhleisen H, Eckert F, Tabatabai G, Schittenhelm J (2016) ATRX immunostaining predicts IDH and H3F3A status in gliomas. Acta Neuropathol Commun 4(1):60. doi:10.1186/s40478-016-0331-6

    Article  PubMed  PubMed Central  Google Scholar 

  19. Horbinski C, Dacic S, McLendon RE, Cieply K, Datto M, Brat DJ, Chu CT (2009) Chordoid glioma: a case report and molecular characterization of five cases. Brain Pathol 19(3):439–448. doi:10.1111/j.1750-3639.2008.00196.x

    CAS  Article  PubMed  Google Scholar 

Download references

Author information

Affiliations

Authors

Corresponding author

Correspondence to Daniel J. Brat.

Ethics declarations

Conflict of interest

The authors have no conflicts of interest to disclose.

Rights and permissions

Reprints and Permissions

About this article

Verify currency and authenticity via CrossMark

Cite this article

Erwood, A.A., Velazquez-Vega, J.E., Neill, S. et al. Chordoid glioma of the third ventricle: report of a rapidly progressive case. J Neurooncol 132, 487–495 (2017). https://doi.org/10.1007/s11060-017-2399-7

Download citation

  • Received:

  • Accepted:

  • Published:

  • Issue Date:

  • DOI: https://doi.org/10.1007/s11060-017-2399-7

Keywords

  • Chordoid glioma
  • Brain tumor
  • Progression
  • Cytogenetics