Skip to main content

Prognostic stratification of gliomatosis cerebri by IDH1R132H and INA expression

Abstract

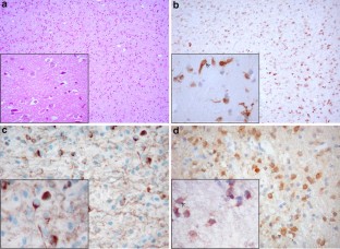
Gliomatosis cerebri (GC) constitutes a heterogenous group of conditions involving diffuse neoplastic glial cell infiltration of the brain. Management is difficult and an obvious challenge is to identify prognostic factors. Alpha-internexin (INA) expression, which is closely related to the 1p19q codeletion, is a strong prognostic marker in oligodendroglial tumors. Similarly, the R132H isocitrate dehydrogenase 1 IDH1 mutation, which can now be detected by use of a specific antibody, predicts better outcome in gliomas. In a retrospective series of 40 GC treated with up-front chemotherapy, we analyzed IDH1R132H mutant protein and INA immunohistochemical expression and correlated it with outcome; 17/40 GC expressed IDH1R132H and 10/40 GC expressed INA. IDH1R132H staining was strongly related to progression-free survival (42.3 vs. 15.5 months for positive IDH1R132H vs. negative tumors; P < 0.0001) and overall survival (73.9 vs. 23.6 months; P < 0.0001). This effect was independent of grade, histologic subtype, and INA expression (P < 0.001). Combined expression of IDH1R132H and INA was strongly associated with response to chemotherapy (100% vs. 36%; P = 0.003). These data strongly suggest that INA and IDH1R132H mutant protein immunohistochemical analysis is of a great prognostic value in biopsied GC.

This is a preview of subscription content, access via your institution.

Fig. 1
Fig. 2
Fig. 3

References

  1. Levin N, Gomori JM, Siegal T (2004) Chemotherapy as initial treatment in gliomatosis cerebri: results with temozolomide. Neurology 63:354–356

    PubMed  Google Scholar 

  2. Sanson M, Cartalat-Carel S, Taillibert S et al (2004) Initial chemotherapy in gliomatosis cerebri. Neurology 63:270–275

    PubMed  CAS  Google Scholar 

  3. Kaloshi G, Everhard S, Laigle-Donadey F et al (2008) Genetic markers predictive of chemosensitivity and outcome in gliomatosis cerebri. Neurology 70:590–595

    PubMed  Article  CAS  Google Scholar 

  4. Kaloshi G, Guillevin R, Martin-Duverneuil N et al (2009) Gray matter involvement predicts chemosensitivity and prognosis in gliomatosis cerebri. Neurology 73:445–449

    PubMed  Article  CAS  Google Scholar 

  5. Ducray F, Criniere E, Idbaih A et al (2009) Alpha-internexin expression identifies 1p19q codeleted gliomas. Neurology 72:156–161

    PubMed  Article  CAS  Google Scholar 

  6. Yan H, Parsons DW, Jin G et al (2009) IDH1 and IDH2 mutations in gliomas. N Engl J Med 360:765–773

    PubMed  Article  CAS  Google Scholar 

  7. van den Bent MJ, Dubbink HJ, Marie Y et al (2010) IDH1 and IDH2 mutations are prognostic but not predictive for outcome in anaplastic oligodendroglial tumors: a report of the European Organization for Research and Treatment of Cancer Brain Tumor Group. Clin Cancer Res 16:1597–1604

    PubMed  Article  Google Scholar 

  8. Metellus P, Coulibaly B, Colin C et al (2010) Absence of IDH mutation identifies a novel radiologic and molecular subtype of WHO grade II gliomas with dismal prognosis. Acta Neuropathol 120:719–729

    PubMed  Article  Google Scholar 

  9. Houillier C, Wang X, Kaloshi G et al (2010) IDH1 or IDH2 mutations predict longer survival and response to temozolomide in low-grade gliomas. Neurology 75:1560–1566

    PubMed  Article  CAS  Google Scholar 

  10. Capper D, Zentgraf H, Balss J, Hartmann C, von Deimling A (2009) Monoclonal antibody specific for IDH1 R132H mutation. Acta Neuropathol 118:599–601

    PubMed  Article  CAS  Google Scholar 

  11. Capper D, Weissert S, Balss J et al (2010) Characterization of R132H mutation-specific IDH1 antibody binding in brain tumors. Brain Pathol 20:245–254

    PubMed  Article  CAS  Google Scholar 

  12. Camelo-Piragua S, Jansen M, Ganguly A, Kim JC, Louis DN, Nutt CL (2010) Mutant IDH1-specific immunohistochemistry distinguishes diffuse astrocytoma from astrocytosis. Acta Neuropathol 119:509–511

    PubMed  Article  Google Scholar 

  13. Sanson M, Marie Y, Paris S et al (2009) Isocitrate dehydrogenase 1 codon 132 mutation is an important prognostic biomarker in gliomas. J Clin Oncol 27:4150–4154

    PubMed  Article  CAS  Google Scholar 

  14. Seiz M, Tuettenberg J, Meyer J et al (2010) Detection of IDH1 mutations in gliomatosis cerebri, but only in tumors with additional solid component: evidence for molecular subtypes. Acta Neuropathol 120:261–267

    PubMed  Article  CAS  Google Scholar 

  15. Horbinski C, Kofler J, Kelly LM, Murdoch GH, Nikiforova MN (2009) Diagnostic use of IDH1/2 mutation analysis in routine clinical testing of formalin-fixed, paraffin-embedded glioma tissues. J Neuropathol Exp Neurol 68:1319–1325

    PubMed  Article  CAS  Google Scholar 

  16. Ducray F, Idbaih A, de Reynies A et al (2008) Anaplastic oligodendrogliomas with 1p19q codeletion have a proneural gene expression profile. Mol Cancer 7:41

    PubMed  Article  Google Scholar 

  17. Labussière M, Wang XW, Marie Y et al (2010) IDH1/IDH2 is systematically mutated in 1p19q codeleted gliomas. Neurology 74:1886–1890

    PubMed  Article  Google Scholar 

Download references

Author information

Affiliations

Authors

Corresponding author

Correspondence to Marc Sanson.

Rights and permissions

Reprints and Permissions

About this article

Cite this article

Desestret, V., Ciccarino, P., Ducray, F. et al. Prognostic stratification of gliomatosis cerebri by IDH1R132H and INA expression. J Neurooncol 105, 219–224 (2011). https://doi.org/10.1007/s11060-011-0587-4

Download citation

  • Received:

  • Accepted:

  • Published:

  • Issue Date:

  • DOI: https://doi.org/10.1007/s11060-011-0587-4

Keywords

  • Gliomatosis cerebri
  • IDH1
  • Alpha-internexin
  • Prognostic markers