Skip to main content

Surgery guided by 5-aminolevulinic fluorescence in glioblastoma: volumetric analysis of extent of resection in single-center experience

Abstract

We analyzed the efficacy and applicability of surgery guided by 5-aminolevulinic acid (ALA) fluorescence in consecutive patients with glioblastoma multiforme (GBM). Thirty-six patients with GBM were operated on using ALA fluorescence. Resections were performed using the fluorescent light to assess the right plane of dissection. In each case, biopsies with different fluorescent quality were taken from the tumor center, from the edges, and from the surrounding tissue. These samples were analyzed separately with hematoxylin–eosin examination and immunostaining against Ki67. Tumor volume was quantified with pre- and postoperative volumetric magnetic resonance imaging. Strong fluorescence identified solid tumor with 100% positive predictive value. Invaded tissue beyond the solid tumor mass was identified by vague fluorescence with 97% positive predictive value and 66% negative predictive value, measured against hematoxylin–eosin examination. All the contrast-enhancing volume was resected in 83.3% of the patients, all patients had resection over 98% of the volume and mean volume resected was 99.8%. One month after surgery there was no mortality, and new or increased neurological morbidity was 8.2%. The fluorescence induced by 5-aminolevulinic can help to achieve near total resection of enhancing tumor volume in most surgical cases of GBM. It is possible during surgery to obtain separate samples of the infiltrating cells from the tumor border.

This is a preview of subscription content, access via your institution.

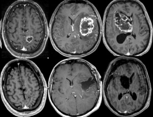
Fig. 1
Fig. 2
Fig. 3
Fig. 4
Fig. 5

References

  1. Albert FK, Forsting M, Sartor K, Adams H, Kunze S (1994) Early postoperative magnetic resonance imaging after resection of malignant glioma: objective evaluation of residual tumor and its influence on regrowth and prognosis. Neurosurgery 34:45–61

    CAS  Article  PubMed  Google Scholar 

  2. Lacroix M, Abi-Said D, Fourney DR, Gokaslan ZL, Shi W, DeMonte F, Lang F, McCutcheon I, Hassenbusch S, Holland E, Hess K, Michael C, Miller D, Sawaya R (2001) A multivariate analysis of 416 patients with glioblastoma multiforme: prognosis, extent of resection, and survival. J Neurosurg 95:190–198. doi:10.3171/jns.2001.95.2.0190

    CAS  Article  PubMed  Google Scholar 

  3. Sanai N, Berger MS (2008) Glioma extent of resection and its impact on patient outcome. Neurosurgery 62:753–764. doi:10.1227/01.neu.0000318159.21731.cf (discussion 264–6)

    Article  PubMed  Google Scholar 

  4. Stummer W, Reulen HJ, Meinel T, Pichlmeier U, Schumacher W, Tonn JC et al (2008) Extent of resection and survival in glioblastoma multiforme: identification of and adjustment for bias. Neurosurgery 62:564–576. doi:10.1227/01.neu.0000317304.31579.17 (discussion 564–76)

    Article  PubMed  Google Scholar 

  5. Stummer W, Pichlmeier U, Meinel T, Wiestler OD, Zanella F, Reulen HJ, for the ALA-glioma Study Group (2006) Fluorescence-guided surgery with 5-aminolevulinic acid for resection of malignant glioma: a randomised controlled multicentre phase III trial. Lancet Oncol 7:392–401. doi:10.1016/S1470-2045(06)70665-9

    CAS  Article  PubMed  Google Scholar 

  6. Stummer W, Novotny A, Stepp H, Goetz C, Bise K, Reulen HJ (2000) Fluorescence-guided resection of glioblastoma multiforme by using 5-aminolevulinic acid-induced porphyrins: a prospective study in 52 consecutive patients. J Neurosurg 93:1003–1013

    CAS  Article  PubMed  Google Scholar 

  7. Stummer W, Stocker S, Wagner S, Stepp H, Fritsch C, Goetz C et al (1998) Intraoperative detection of malignant gliomas by 5-aminolevulinic acid-induced porphyrin fluorescence. Neurosurgery 42:518–525 (discussion 525–6)

    CAS  Article  PubMed  Google Scholar 

  8. Stupp R, Hegi ME, Mason WP, van den Bent MJ, Taphoorn MJ, Janzer RC et al (2009) Effects of radiotherapy with concomitant and adjuvant temozolomide versus radiotherapy alone on survival in glioblastoma in a randomised phase III study: 5-year analysis of the EORTC-NCIC trial. Lancet Oncol 10:459–466. doi:10.1016/S1470-2045(09)70025-7

    CAS  Article  PubMed  Google Scholar 

  9. Keles GE, Anderson B, Berger MS (1999) The effect of extent of resection on time to tumor progression and survival in patients with glioblastoma multiforme of the cerebral hemisphere. Surg Neurol 52:371–379

    CAS  Article  PubMed  Google Scholar 

  10. Pope WB, Sayre J, Perlina A, Villablanca JP, Mischel PS, Cloughesy TF (2005) MR imaging correlates of survival in patients with high-grade gliomas. AJNR Am J Neuroradiol 26:2466–2474

    PubMed  Google Scholar 

  11. Ushio Y, Kochi M, Hamada J, Kai Y, Nakamura H (2005) Effect of surgical removal on survival and quality of life in patients with supratentorial glioblastoma. Neurol Med Chir (Tokyo) 45:454–460 (discussion 460–1)

    Article  Google Scholar 

  12. McGirt MJ, Chaichana KL, Gathinji M, Attenello FJ, Than K, Olivi A et al (2009) Independent association of extent of resection with survival in patients with malignant brain astrocytoma. J Neurosurg 110:156–162. doi:10.3171/2008.4.17536

    Article  PubMed  Google Scholar 

  13. Nabavi A, Thurm H, Zountsas B, Pietsch T, Lanfermann H, Pichlmeier U et al (2009) Five-aminolevulinic acid for fluorescence-guided resection of recurrent malignant gliomas: a phase ii study. Neurosurgery 65:1070–1076. doi:10.1227/01.NEU.0000360128.03597.C7 (discussion 1076–7)

    Article  PubMed  Google Scholar 

  14. Pirotte BJ, Levivier M, Goldman S, Massager N, Wikler D, Dewitte O et al (2009) Positron emission tomography-guided volumetric resection of supratentorial high-grade gliomas: a survival analysis in 66 consecutive patients. Neurosurgery 64:471–481. doi:10.1227/01.NEU.0000338949.94496.85 (discussion 481)

    Article  PubMed  Google Scholar 

  15. Stockhammer F, Misch M, Horn P, Koch A, Fonyuy N, Plotkin M (2009) Association of F18-fluoro-ethyl-tyrosin uptake and 5-aminolevulinic acid-induced fluorescence in gliomas. Acta Neurochir (Wien) 151:1377–1383. doi:10.1007/s00701-009-0462-7

    Article  Google Scholar 

  16. Giese A, Bjerkvig R, Berens ME, Westphal M (2003) Cost of migration: invasion of malignant gliomas and implications for treatment. J Clin Oncol 21:1624–1636. doi:10.1200/JCO.2003.05.063

    CAS  Article  PubMed  Google Scholar 

  17. Stupp R, Mason WP, van den Bent MJ, Weller M, Fisher B, Taphoorn MJ et al (2005) Radiotherapy plus concomitant and adjuvant temozolomide for glioblastoma. N Engl J Med 352:987–996. doi:10.1056/NEJMoa043330

    CAS  Article  PubMed  Google Scholar 

  18. Feigl G, Ritz R, Moraes M, Klein J, Ramina K, Gharabaghi A et al (2009) Resection of malignant brain tumors in eloquent cortical areas: a new multimodal approach combining 5-aminolevulinic acid and intraoperative monitoring. J Neurosurg (in press)

  19. Chang S, Parney I, McDermott M, Barker F, Schmidt M, Huang W et al (2003) Perioperative complications and neurological outcomes of first and second craniotomies among patients enrolled in the glioma outcome project. J Neurosurg 98:1175

    Article  PubMed  Google Scholar 

  20. Senft C, Seifert V, Hermann E, Franz K, Gasser T (2008) Usefulness of intraoperative ultra low-field magnetic resonance imaging in glioma surgery. Neurosurgery 63:257–267

    Article  PubMed  Google Scholar 

  21. Lenaburg H, Inkabi K, Vitaz T (2009) The use of intraoperative MRI for the treatment of glioblastoma multiforme. Technol Cancer Res Treat 8:159

    PubMed  Google Scholar 

  22. Hatiboglu MA, Weinberg JS, Suki D, Rao G, Prabhu S, Shah K, Jackson E, Sawaya R (2009) Impact of intraoperative high-field magnetic resonance imaging guidance on glioma surgery: a prospective volumetric analysis. Neurosurgery 64(suppl. 6):1073–1081 (discussion 1081)

    Article  PubMed  Google Scholar 

  23. Kuroiwa T, Kajimoto Y, Ohta T (1998) Development of a fluorescein operative microscope for use during malignant glioma surgery: a technical note and preliminary report. Surg Neurol 50:41–48 (discussion 48–9)

    CAS  Article  PubMed  Google Scholar 

  24. Shinoda J, Yano H, Yoshimura S, Okumura A, Kaku Y, Iwama T et al (2003) Fluorescence-guided resection of glioblastoma multiforme by using high-dose fluorescein sodium. Technical note. J Neurosurg 99:597–603. doi:10.3171/jns.2003.99.3.0597

    Article  PubMed  Google Scholar 

  25. Koc K, Anik I, Cabuk B, Ceylan S (2008) Fluorescein sodium-guided surgery in glioblastoma multiforme: a prospective evaluation. Br J Neurosurg 22:99–103. doi:10.1080/02688690701765524

    CAS  Article  PubMed  Google Scholar 

  26. Kremer P, Mahmoudreza F, Ding R, Pritsch M, Zoubaa S, Frei E (2009) Intraoperative fluorescence staining of malignant brain tumors using 5-aminofluorescein-labeled albumin. Neurosurgery 64:53–60. doi:10.1227/01.NEU.0000335787.17029.67 (discussion 60–61)

    Article  PubMed  Google Scholar 

Download references

Author information

Affiliations

Authors

Corresponding author

Correspondence to Ricardo Díez Valle.

Rights and permissions

Reprints and Permissions

About this article

Cite this article

Díez Valle, R., Tejada Solis, S., Idoate Gastearena, M.A. et al. Surgery guided by 5-aminolevulinic fluorescence in glioblastoma: volumetric analysis of extent of resection in single-center experience. J Neurooncol 102, 105–113 (2011). https://doi.org/10.1007/s11060-010-0296-4

Download citation

  • Received:

  • Accepted:

  • Published:

  • Issue Date:

  • DOI: https://doi.org/10.1007/s11060-010-0296-4

Keywords

  • Glioblastoma
  • Surgery
  • 5-aminolevulinic
  • Volumetric MRI
  • Gross total resection