Abstract
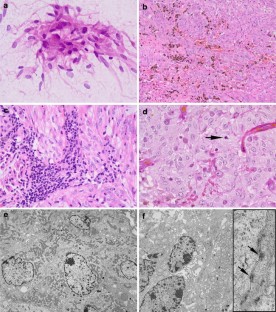
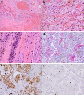
Spindle cell oncocytoma (SCO) is a rare sellar-region tumor recently codified in the World Health Organization (WHO) 2007 Classification as a grade I neoplasm. Despite this grading, recurrences have been demonstrated but, to date, extensive recurrent bleeding into these tumors has not been documented. A 70-year-old woman first presented in 1996 with visual difficulties and was found to have a sellar-region mass with heterogeneous neuroimaging features, leading to preoperative diagnosis of craniopharyngioma. Transsphenoidal, gross total resection was achieved despite extensive intraoperative bleeding; pathology showed an unusual spindle cell neoplasm which could not be further classified. She received no further treatment and was lost to our follow-up until 2009, when she again presented with visual deterioration. Neuroimaging demonstrated recurrence of a large sellar-region tumor with heterogeneous signal characteristics, prompting re-resection. Review of her original and recurrent tumor allowed diagnosis of SCO; extensive intratumoral hemorrhage of varying ages and widespread hemosiderin accounted for her complex neuroimaging features. Vimentin, S100, and galectin-3 immunoreactivity was consistent with SCO. EM demonstrated abundant mitochondria, short intercellular junctions, and absence of neurosecretory granules. Thyroid disease was documented clinically. SCOs are sufficiently rare that documentation of unusual features is important. Recurrent bleeding with resultant complex neuroimaging is unique to this case, but appears to overlap with a related sellar-region tumor, pituicytoma. The presence of thyroid disease also links SCO with pituicytoma. The 13-year interval to recurrence is the longest reported to date in SCO; WHO grade I designation may be premature for this neoplasm.




References
Roncaroli F, Scheithauer BW, Cenacchi G, Horvath E, Kovacs K, Lloyd RV, Abell-Aleff P, Santi M, Yates AJ (2002) Spindle cell oncocytoma of the adenohypophysis: a tumor of folliculostellate cells? Am J Surg Pathol 26(8):1048–1055
Borota OC, Scheithauer BW, Fougner SL, Haid JK, Ramm-Pettersen J, Bollerslev J (2009) Spindle cell oncocytoma of the adenohypophysis: report of a case with marked cellular atypia and recurrence despite adjuvant treatment. Clin Neuropathol 28(2):91–95
Coire CI, Horvath E, Smyth HS, Kovacs K (2009) Rapidly recurring folliculostellate cell tumor of the adenohypophysis with the morphology of a spindle cell oncocytoma: case report with electron microscopic studies. Clin Neuropathol 28(4):303–308
Dahiya S, Sarkar C, Hedley-Whyte ET, Sharma MC, Zervas NT, Sridhar E, Louis DN (2005) Spindle cell oncocytoma of the adenohypophysis: report of two cases. Letter to the Editor. Acta Neuropathol 110(1):97–99
Demssie YN, Joseph J, Dawson T, Roberts G, de Carpentier J, Howell S (2009) Recurrent spindle cell oncocytoma of the pituitary, a case report and review of the literature. Pituitary; 1386-341X (Print) 1573–7403 (Online)
Kloub O, Perry A, Tu P-H, Lipper M, Lopes MBS (2005) Spindle cell oncocytoma of the adenohypophysis—report of two recurrent cases. Am J Surg Pathol 29(2):247–253
Vajtai I, Sahli R, Kappeler A (2006) Spindle cell oncocytoma of the adenohypophysis: report of a case with a 16-year follow-up. Pathol Res Pract 202(10):745–750
Fuller GN, Scheithauer BW, Roncaroli F, Wesseling P (2007) Spindle cell oncocytoma of the adenohypophysis. In: Louis DN, Ohgaki H, Wiestler OD, Cavenee WK (eds) WHO classification of tumours of the central nervous system. IARC Press, Lyon, pp 245–246
Ulm AJ, Yachnis AT, Brat DJ, Rhoton AL Jr (2004) Pituicytoma: report of two cases and clues regarding histogenesis. Neurosurgery 54(3):753–757 discussion 757–758
Cenacchi G, Giovenali P, Castrioto C, Giangaspero F (2001) Pituicytoma: ultrastructural evidence of a possible origin from folliculo-stellate cells of the adenohypophysis. Ultrastruct Pathol 25(4):309–312
Horvath E, Kovacs K (2002) Folliculo-stellate cells of the human pituitary: a type of adult stem cell? Ultrastruct Pathol 26:219–228
Inoue K, Mogi C, Ogawa S et al (2002) Are folliculo-stellate cells in the anterior pituitary gland supportive cells or organ-specific stem cells? Arch Physiol Biochem 110:50–53
Kleinschmidt-DeMasters BK (2004) Gamna-Gandy bodies in surgical neuropathology specimens: observations and an historical note. JNEN 63(2):106–112
Brat DJ, Scheithauer BW, Staugaitis SM, Holtzman RNN, Morgello S, Burger PC (2000) Pituicytoma: a distinctive low-grade glioma of the neurohypophysis. Am J Surg Pathol 24(3):362–368
Wesseling P, Brat DJ, Fuller GN (2007) Pituicytoma. In: Louis DN, Ohgaki H, Wiestler OD, Cavenee WK (eds) WHO classification of tumours of the central nervous system. IARC Press, Lyon, pp 243–244
Thiryayi WA, Gnanalingham KK, Reid H, Heald A, Kearney T (2007) Pituicytoma: a misdiagnosed benign tumour of the posterior pituitary. Br J Neurosurg 21(1):47–48
Benveniste RJ, Purohit D, Byun H (2006) Pituicytoma presenting with spontaneous hemorrhage. Pituitary 9(1):53–58
Wolfe SQ, Bruce J, Morcos JJ (2008) Pituicytoma: case report. Neurosurgery 63:E173–E174
Gibbs WN, Monuki ES, Linskey ME, Hasso AN (2006) Pituicytoma: diagnostic features on selective carotid angiography and MR imaging. Am J Neuroradiol 27:1639–1642
Figarella-Branger D, Dufour H, Fernandez C, Bouvier-Labit C, Grisoli F, Pellissier JF (2002) Pituicytomas, a mis-diagnosed benign tumor of the neurohypophysis: report of three cases. Acta Neuropathol 104:313–319
Kowalski RJ, Prayson RA, Mayberg MR (2004) Pituicytoma. Ann Diagn Pathol 8(5):290–294
Katsuta T, Inoue T, Nakagaki H, Takeshita M, Morimoto K, Iwaki T (2003) Distinctions between pituicytoma and ordinary pilocytic astrocytoma. Case report. J Neurosurg 98(2):404–406
Rodriguez FJ, Scheithauer BW, Roncaroli F, Silva AI, Kovacs K, Brat DJ, Jin L (2008) Galectin-3 expression is ubiquitous in tumors of the sellar region, nervous system, and mimics: an immunohistochemical and RT-PCR study. Am J Surg Pathol 32(9):1344–1352
Schultz AB, Brat DJ, Oyesiku NM, Hunter SB (2001) Intrasellar pituicytoma in a patient with other endocrine neoplasms. Arch Pathol Lab Med 125(4):527–530
Takei H, Goodman JC, Tanaka S, Bhattacharjee MB, Bahrami A, Powell SZ (2005) Pituicytoma incidentally found at autopsy. Pathol Int 55:745–749
Quintero Wolfe S, Bruce J, Morcos JJ (2008) Pituicytoma: case report. Neurosurgery 63(1):173–174
Nakasu Y, Nakasu S, Saito A, Horiguchi S, Kameya T (2006) Pituicytoma: two case reports. Neurol Med Chir 46:152–156
Chen KTK (2005) Crush cytology of pituicytoma. Diagn Cytopathol 33(4):255–257
Orrego JJ (2006) Pituicytoma and isolated ACTH deficiency. Pituitary 12(4):371–372
Zhi L, Yang L, Quan H, Bai-ning L (2009) Pituicytoma presenting with atypical histological features. Pathology 41(5):505–509
Uesaka T, Miyazono M, Nishio S, Iwaki T (2002) Astrocytoma of the pituitary gland (pituicytoma): case report. Neuroradiology 44(2):123–125
Hurley TR, D’Angelo CM, Clasen RA, Wilkinson SB, Passavoy RD (1994) Magnetic resonance imaging and pathological analysis of a pituicytoma: case report. Neurosurgery 35(2):314–317 discussion 317
Gajendran R, Muthukumar N, Pushparaj K, Kumar NA, Gurunathan J (1994) Pituitary astrocytoma (pituicytoma). J Indian Med Assoc 92(6):201
Rossi ML, Bevan JS, Esiri MM, Hughes JT, Adams CB (1987) Pituicytoma (pilocytic astrocytoma). Case report. J Neurosurg 67(5):768–772
Cusick JF, Ho KC, Hagen TC, Kun LE (1982) Granular-cell pituicytoma associated with multiple endocrine neoplasia type. J Neurosurg 56(4):594–596
Campbell RL, Zeman W, Joyner J (1966) Spontaneous rhinorrhea due to pituicytoma. Case report. J Neurosurg 25(2):208–210
Liss L (1958) Pituicytoma, a tumor of the hypothalamus; clinicopathological report of a case. AMA Arch Neurol Psychiatry 80(5):567–576
Acknowledgements
The authors thank Ms. Lisa Litzenberger for photographic expertise, Mrs. Diane Hutchinson for manuscript preparation, and Dr. Gary Mierau for performance of electron microscopic studies.
Author information
Authors and Affiliations
Corresponding author
Rights and permissions
About this article
Cite this article
Borges, M.T., Lillehei, K.O. & Kleinschmidt-DeMasters, B.K. Spindle cell oncocytoma with late recurrence and unique neuroimaging characteristics due to recurrent subclinical intratumoral bleeding. J Neurooncol 101, 145–154 (2011). https://doi.org/10.1007/s11060-010-0229-2
Received:
Accepted:
Published:
Issue Date:
DOI: https://doi.org/10.1007/s11060-010-0229-2