Skip to main content

Mixed testicular germ cell tumour in a patient with previous pineal germinoma

Abstract

Germ cell tumours (GCT) are a relatively common malignancy in men aged 15–35 years. They occur most frequently in the gonads, but 3–5% have extragonadal origin, mainly in the pineal gland, neurohypophysis, mediastinum and retroperitoneum. Although intracranial germinomas may present with synchronous midline lesions, development of metachronous testicular germ cell primaries seems to be extremely rare, and confirmed dissemination of intracranial GCT to the testes has never been reported. We report the case of a 32-year-old man, with previously treated pineal germinoma at age 16 years, who later developed mixed GCT of the left testis.

This is a preview of subscription content, access via your institution.

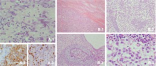
Fig. 1

References

  1. Schmoll HJ (2002) Extragonadal germ cell tumors. Ann Oncol 13(Suppl 4):265–272

    PubMed  Google Scholar 

  2. Pottern LM, Goedert JJ (1986) Epidemiology of testicular cancer. In: Javadpour N (ed) Principles and management of testicular cancer, 1st edn. Thieme, New York, pp 107–119

    Google Scholar 

  3. Ueno T, Tanaka YO, Nagata M et al (2004) Spectrum of germ cell tumors: from head to toe. Radiographics 24:387–404

    Article  PubMed  Google Scholar 

  4. Robertson PL (2005) Intracranial germ cell tumours. In: Schiff D, O’Neill BP (eds) Principles of neuro-oncology, 1st edn. McGraw-Hill, New York, pp 481–498

    Google Scholar 

  5. Chaganti RSK, Houldsworth J (2000) Genetics and biology of adult human male germ cell tumours. Cancer Res 60:1475–1482

    CAS  PubMed  Google Scholar 

  6. Maity A, Shu H, Judkins A et al (2004) Testicular seminoma 16 years after treatment for CNS germinoma. J Neurooncol 70:83–85

    Article  PubMed  Google Scholar 

  7. Peat DS, Trowell JE (1994) Testicular seminoma in a patient with pineal germinoma. J Clin Pathol 47:771–772

    CAS  Article  PubMed  Google Scholar 

  8. Trentini GP, Maiorana A, De Benedittis A (1985) Metachronous seminoma of the pineal region and right testis—case report. Appl Pathol 3:129–133

    CAS  PubMed  Google Scholar 

  9. Ho CL, Deruytter MJ (2006) Dual occurrence of pineal germinoma and testicular seminoma. Pediatr Neurosurg 42:38–44

    Article  PubMed  Google Scholar 

  10. Rosenblum MK, Ng HK (2007) Germ cell tumours. In: Louis DN, Ohgaki H, Wiestler OD, Cavenee WK (eds) WHO classification of tumours of the central nervous system, 4th edn. WHO, Lyon, pp 198–204

    Google Scholar 

  11. Packer RJ, Cohen BH, Cooney K (2000) Intracranial germ cell tumours. Oncologist 5:312–320

    CAS  PubMed  Google Scholar 

  12. Wazait HD, Dudderidge T, Allen S et al (2002) Testicular seminoma presenting 22 years after treatment for extra-gonadal germ-cell tumour. Scand J Urol Nephrol 36:387–388

    Article  PubMed  Google Scholar 

  13. Schneider DT, Schuster AE, Fritsch MK et al (2001) Multipoint imprinting analysis indicates a common precursor cell for gonadal and nongonadal pediatric germ cell tumors. Cancer Res 61:7268–7276

    CAS  PubMed  Google Scholar 

  14. Chaganti RSK, Rodriguez E, Bosl GJ (1993) Cytogenetics of male germ-cell tumors. Urol Clin North Am 20:55–66

    CAS  PubMed  Google Scholar 

  15. Houldsworth J, Reuter V, Bosl GJ, Chaganti RSK (1997) Aberrant expression of cyclin D2 is an early event in human male germ cell tumorigenesis. Cell Growth Differ 8:293–299

    CAS  PubMed  Google Scholar 

  16. Chaganti RSK, Houldsworth J (1998) The cytogenetic theory of the pathogenesis of human adult male germ cell tumors. APMIS 106:80–84

    CAS  Article  PubMed  Google Scholar 

  17. Murty VVVS, Chaganti RSK (1998) A genetic perspective of male germ cell tumors. Semin Oncol 25:133–144

    CAS  PubMed  Google Scholar 

  18. Iwato M, Tachibana O, Tohma Y et al (2000) Alterations of the INK4a/ARF locus in human intracranial germ cell tumors. Cancer Res 60(8):2113–2115

    CAS  PubMed  Google Scholar 

  19. Chaganti RSK, Rodriguez E, Mathew S (1994) Origin of adult male mediastinal germ-cell tumours. Lancet 343:1130–1132

    CAS  Article  PubMed  Google Scholar 

Download references

Author information

Affiliations

Authors

Corresponding author

Correspondence to Vanessa B. Silva.

Rights and permissions

Reprints and Permissions

About this article

Cite this article

Silva, V.B., Azevedo, A.L., Costa, I.M. et al. Mixed testicular germ cell tumour in a patient with previous pineal germinoma. J Neurooncol 101, 125–128 (2011). https://doi.org/10.1007/s11060-010-0213-x

Download citation

  • Received:

  • Accepted:

  • Published:

  • Issue Date:

  • DOI: https://doi.org/10.1007/s11060-010-0213-x

Keywords

  • Central nervous system
  • Germ cell tumour
  • Germinoma
  • Extragonadal
  • Pineal
  • Testis