Skip to main content

A case of Lhermitte-Duclos disease presenting high FDG uptake on FDG-PET/CT

Abstract

Lhermitte-Duclos Disease (LDD) is a rare cerebellar lesion that has long been controversial as to whether the entity is a hamartoma, a malformation, or a neoplasm. Recent advances in metabolic imaging and molecular biology have unveiled biological features of LDD and a close relationship between LDD and Cowden disease. Adult onset LDD is now considered identical to Cowden disease in a US guideline. We present a case of LDD, in which high fluorodeoxy glucose (FDG) uptake was shown on PET/CT. We performed dual time point scans, in which a delayed scan exhibited more intense FDG uptake by the hamartomatous lesion than an early scan. We must remain aware of the possibility of LDD when intense accumulation is observed in a cerebellar lesion on FDG-PET/CT imaging.

This is a preview of subscription content, access via your institution.

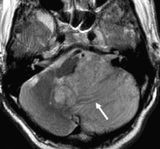
Fig. 1
Fig. 2
Fig. 3

References

  1. Cowden syndrome. National Comprehensive Cancer Network (NCCN) Clinical Practice Guidelines in Oncology, version 1.2006 http://www.nccn.org/professionals/physician_gls/PDF/genetics_screening.pdf

  2. Vantomme N, Van Calenbergh F, Goffin J, Sciot R, Demaerel P, Plets C (2001) Lhermitte-Duclos disease is a clinical manifestation of Cowden’s syndrome. Surg Neurol 56:201–204

    PubMed  Article  CAS  Google Scholar 

  3. Robinson S, Cohen AR (2006) Cowden disease and Lhermitte-Duclos disease: an update. Case report and review of the literature. Neurosurg Focus 20:E6

    Article  Google Scholar 

  4. Lhermitte J, Duclos P (1920) Sur un ganglioneurome diffus du cortex du cervelet. Bull Assoc Fr Etude Cancer 9:99–107

    Google Scholar 

  5. Nelen MR, Padberg GW, Peeters EA, Lin AY, van den Helm B, Frants RR, Coulon V, Goldstein AM, van Reen MM, Easton DF, Eeles RA, Hodgsen S, Mulvihill JJ, Murday VA, Tucker MA, Mariman EC, Starink TM, Ponder BA, Ropers HH, Kremer H, Longy M, Eng C (1996) Localization of the gene for Cowden disease to chromosome 10q22–23. Nat Genet 13:114–116

    PubMed  Article  CAS  Google Scholar 

  6. Meltzer CC, Smirniotopoulos JG, Jones RV (1995) The striated cerebellum: an MR imaging sign in Lhermitte-Duclos disease (dysplastic gangliocytoma). Radiology 194:699–703

    PubMed  CAS  Google Scholar 

  7. Awwad EE, Levy E, Martin DS, Merenda GO (1995) Atypical MR appearance of Lhermitte-Duclos disease with contrast enhancement. AJNR Am J Neuroradiol 16:1719–1720

    PubMed  CAS  Google Scholar 

  8. Ortiz O, Bloomfield S, Schochet S (1995) Vascular contrast enhancement in Lhermitte-Duclos disease: case report. Neuroradiology 37:545–548

    PubMed  CAS  Google Scholar 

  9. Padma MV, Jacobs M, Sequeira P, Adineh M, Satter M, Kraus G, Mantil JC (2004) Functional imaging in Lhermitte-Duclose disease. Mol Imaging Biol 6:319–323

    PubMed  Article  Google Scholar 

  10. Klisch J, Juengling F, Spreer J, Koch D, Thiel T, Buchert M, Arnold S, Feuerhake F, Schumacher M (2001) Lhermitte-Duclos disease: assessment with MR imaging, positron emission tomography, single-photon emission CT, and MR spectroscopy. AJNR Am J Neuroradiol 22:824–830

    PubMed  CAS  Google Scholar 

  11. Fulham MJ, Melisi JW, Nishimiya J, Dwyer AJ, Di Chiro G (1993) Neuroimaging of juvenile pilocytic astrocytomas: an enigma. Radiology 189:221–225

    PubMed  CAS  Google Scholar 

  12. Hustinx R, Smith RJ, Benard F, Rosenthal DI, Machtay M, Farber LA, Alavi A (1999) Dual time point fluorine-18 fluorodeoxyglucose positron emission tomography: a potential method to differentiate malignancy from inflammation and normal tissue in the head and neck. Eur J Nucl Med 26:1345–1348

    PubMed  Article  CAS  Google Scholar 

  13. Kubota K, Itoh M, Ozaki K, Ono S, Tashiro M, Yamaguchi K, Akaizawa T, Yamada K, Fukuda H (2001) Advantage of delayed whole-body FDG-PET imaging for tumour detection. Eur J Nucl Med 28:696–703

    PubMed  Article  CAS  Google Scholar 

  14. Zhuang H, Pourdehnad M, Lambright ES, Yamamoto AJ, Lanuti M, Li P, Mozley PD, Rossman MD, Albelda SM, Alavi A (2001) Dual time point 18F-FDG PET imaging for differentiating malignant from inflammatory processes. J Nucl Med 42:1412–1417

    PubMed  CAS  Google Scholar 

Download references

Author information

Affiliations

Authors

Corresponding author

Correspondence to Masayuki Maeda.

Rights and permissions

Reprints and Permissions

About this article

Cite this article

Nakagawa, T., Maeda, M., Kato, M. et al. A case of Lhermitte-Duclos disease presenting high FDG uptake on FDG-PET/CT. J Neurooncol 84, 185–188 (2007). https://doi.org/10.1007/s11060-007-9355-x

Download citation

  • Received:

  • Accepted:

  • Published:

  • Issue Date:

  • DOI: https://doi.org/10.1007/s11060-007-9355-x

Keywords

  • Lhermitte-Duclos disease
  • Cowden disease
  • F-18 fluorodeoxy glucose (FDG)
  • Positron emission tomography/computed tomography (PET/CT)
  • Dual time point
  • Delayed scan