Skip to main content

Acremonium kiliense: Case Report and Review of Published Studies

Abstract

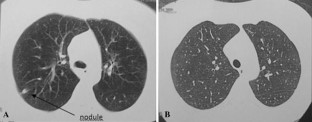
Changes in the spectrum of clinically important fungal infection have been observed in recent years. Acremonium species has been responsible for eumycotic mycetomas but has also been increasingly implicated in systemic fungal diseases. A case of Acremonium kiliense fungemia with proven involvement of the lungs in an allogeneic hematopoietic stem cell patient is reported. A high-resolution computed tomography scan of the lungs showed nodules in both lungs. Multiple cultures of blood demonstrated narrow septate hyphae, cylindrical conidia, and solitary tapering phialides and microconidia that remained grouped in slimy heads. The isolate was identified as A. kiliense based on its morphological characteristics and DNA sequence analysis. Susceptibility testing of the clinical isolate was performed to four antifungal agents. Amphotericin B, fluconazole and itraconazole were found to be inactive in vitro against the isolate; however, it was found to be sensitive to voriconazole. This last drug was indicated, and a high-resolution computed tomography scan of the lungs was normal after 10 days. One year later, the patient was free of symptoms and her blood culture was negative for fungi. Thus, voriconazole was effective in treatment for life-threatening A. kiliense infections. In this work, we performed an overview of worldwide clinical infections caused by A. kiliense.

This is a preview of subscription content, access via your institution.

Fig. 1
Fig. 2

References

  1. Das S, Saha R, Ahmad Dar S, Ramachandran VG. Acremonium species: a review of the etiological agents of emerging hyalohyphomycosis. Mycopathologia. 2010;170:361–75.

    PubMed  Article  Google Scholar 

  2. Pagano L, Caira M, Candoni A, Posteraro B, Fianchi L. The epidemiology of fungal infections in patients with hematologic malignancies: the SEIFEM-2004 study. Haematologica. 2006;91:1068–75.

    PubMed  Google Scholar 

  3. Pagano L, Caira M, Nosari A, et al. Fungal infections in recipients of hematopoietic stem cell transplants: results of the SEIFEM B-2004 study. Clin Infect Dis. 2007;45:1161–70.

    PubMed  Article  CAS  Google Scholar 

  4. De Pauw B, Walsh TJ, Donnelly JP, et al. Revised definitions of invasive fungal disease from the European Organization for Research and Treatment of Cancer/Invasive Fungal Infections Cooperative Group and the National Institute of Allergy and Infectious Diseases Mycoses Study Group (EORTC/MSG) Consensus Group. Clin Infect Dis. 2008;46:1813–21.

    PubMed  Article  Google Scholar 

  5. Pagano L, Caira M, Valentini GC, Posteraro B, Fianchi L. Current therapeutic approaches to fungal infections in immunocompromised hematological patients. Blood Rev. 2010;24:51–61.

    PubMed  Article  CAS  Google Scholar 

  6. Marr KA, Carter RA, Crippa F, Wald A, Corey L. Epidemiology and outcome of mould infections in hematopoietic stem cell transplant recipients. Clin Infect Dis. 2002;34:909–17.

    PubMed  Article  Google Scholar 

  7. Miyakis S, Velegraki A, Delikou S, et al. Invasive Acremonium strictum infection in a bone marrow transplant recipient. Pediatr Infect Dis J. 2006;25:273–5.

    PubMed  Article  Google Scholar 

  8. Koç AN, Erdem F, Patiroğlu T. Case report. Acremonium falciforme fungemia in a patient with acute leukemia. Mycoses. 2002;45:202–3.

    Article  Google Scholar 

  9. Guarro J, del Palacio A, Gené J, Cano J, González CG. A case of colonization of a prosthetic mitral valve by Acremonium strictum. Rev Iberoam Micol. 2009;26:146–8.

    PubMed  Article  Google Scholar 

  10. Khan Z, Al-Obaid K, Ahmad S, Ghani AA, Joseph L, Chandy R. Acremonium kiliense: reappraisal of its clinical significance. J Clin Microbiol. 2011;49:2342–7.

    PubMed  Article  Google Scholar 

  11. Durbec M, Bienvenub AL, Picot S, Dubreuil C, Cosmidis A, Tringali S. Maxillary sinus fungal infection by Acremonium. Eur Ann Otorhinolaryngol Head Neck Dis. 2011;128:41–3.

    PubMed  Article  CAS  Google Scholar 

  12. Beltrame L, Sarmati L, Cudillo R, et al. A fatal case of invasive fungal sinusitis by Scopulariopsis acremonium in a bone marrow transplant recipient. Int J Infect Dis. 2009;13:488–92.

    Article  Google Scholar 

  13. Ioakimidou A, Vyzantiadis TA, Sakellari I, et al. An unusual cluster of Acremonium kiliense fungaemias in a haematopoietic cell transplantation unit. Diagn Microbiol Infect Dis. 2013;75:313–6.

    PubMed  Article  Google Scholar 

  14. Raeder J, Broda P. Rapid preparation of DNA from filamentous fungi. Lett Appl Microbiol. 1985;1:17–20.

    Article  CAS  Google Scholar 

  15. Alvarez E, Stchigel A, Cano J, et al. Molecular phylogenetic diversity of the emerging mucoralean fungus Apophysomyces: proposal of three new species. Rev Iberoam Micol. 2010;27:80–9.

    PubMed  Article  Google Scholar 

  16. Thompson JD, Gibson TJ, Plewniak F, Jeanmougin F, Higgins DG. The CLUSTAL X Windows interface: flexible strategies for multiple sequence alignment aided by quality analysis tools. Nucleic Acids Res. 1997;24:4876–82.

    Article  Google Scholar 

  17. Tamura K, Dudley J, Nei M, Kumar S. MEGA 4: molecular evolutionary genetics analysis (MEGA) software version 4.0. Mol Biol Evol. 2007;24:1596–9.

    PubMed  Article  CAS  Google Scholar 

  18. Clinical and Laboratory Standards Institute. Reference method for broth dilution antifungal susceptibility testing of filamentous fungi; approved standard. M38-A2, CLSI; (2008).

  19. Perdomo H, Sutton DA, García D, et al. Spectrum of clinically relevant Acremonium species in the United States. J Clin Microbiol. 2011;49:243–56.

    PubMed  Article  CAS  Google Scholar 

  20. Das S, Saha R, Bhattacharya SN, Mishra K, Dar SA. Hyalohyphomycosis: an unusual presentation and review of literature. Indian J Med Spec. 2010;1:123–9.

    Article  Google Scholar 

  21. Albrecht MC, Fraenza LB, Ramonda GT. Onicomicosis por Acremonium kiliense. Rev Argent Dermatol. 2007;88:40–4.

    Google Scholar 

  22. Negroni R, Lopez DG, Arechavala A, Binachi MH, Robles AM. Clinical and microbiological study of mycetomas at the Muniz hospital of Buenos Aires between 1989 and 2004. Rev Argent Microbiol. 2006;38:13–8.

    PubMed  CAS  Google Scholar 

  23. Pastorino AC, Menezes UP, Marques HHS, et al. Acremonium kiliense infection in a child with chronic granulomatous disease. Braz J Infect Dis. 2005;9:529–34.

    PubMed  Article  Google Scholar 

  24. Gupta A, Gupta V, Gupta A, Dogra MR, Panda SS. Risk factor for post cataract surgery endophthalmitis with poor outcome. North Zone J Ophthalmol. 2003;13:1–4.

    Google Scholar 

  25. Lacaz SC, Pereira AD, Castro MLG. Podalic eumycetoma caused by Acremonium kiliense: report of one case. An Bras Dermatol, Rio de Janeiro. 1999;74:591–5.

    Google Scholar 

  26. Le Guen P, Blancard A, Brisou P, Yvetot J, Muzellec Y. Kératomycose à Acremonium kiliense. Med Mal Infect. 1997;27:738–9.

    Article  Google Scholar 

  27. Fridkin SK, Kremer FB, Bland LA, Padhye A, McNeil MM, Jarvis WR. Acremonium kiliense endophthalmitis that occurred after cataract extraction in an ambulatory surgical center and was traced to an environmental reservoir. Clin Infect Dis. 1996;22:222–7.

    PubMed  Article  CAS  Google Scholar 

  28. Venugopal PV, Venugopal TV. Pale grain eumycetomas in Madras. Australas J Dermatol. 1995;36:149–51.

    PubMed  Article  CAS  Google Scholar 

  29. Lopes JO, Kolling LC, Neumaier W. Kerionlike lesion scalp due to Acremonium kiliense in a noncompromised boy. Rev Inst Med Trop São Paulo. 1995;37:365–8.

    PubMed  Article  CAS  Google Scholar 

  30. Lopes JO, Alves SH, Rosa AC, Silva CB, Sarturi JC, Souza CA. Acremonium kiliense peritonitis complicating continuous ambulatory peritoneal dialysis: report of two cases. Mycopathologia. 1995;131:83–5.

    PubMed  Article  CAS  Google Scholar 

  31. Simon G, Rakoczy G, Galgoczy J. Acremonium kiliense in esophagus stenosis. Mycoses. 1991;34:257–60.

    PubMed  Article  CAS  Google Scholar 

  32. Lacroix C, Jacquemin J, Guillot F, Rabot MH, Burucoa C, de Bievre C. Septicemie a Acremonium kiliense avec dissemination secondaire chez une patiente d’un myelome a forte masse tumorale. Bull Soc Fr Mycol Med. 1988;17:93–8.

    Google Scholar 

  33. Brabender W, Ketchersidem J, Hodges GR, Rengachary S, Barnes WG. Acremonium kiliense osteomyelitis of the calvarium. Neurosurgery. 1985;16:554–6.

    PubMed  Article  CAS  Google Scholar 

  34. Lacaz CS, Porto E, Carneiro J, Pazianni IO, Pimenta WP. Endocardite em protese de dura-mater provocada pelo Acremonium kiliense. Rev Inst Med Trop São Paulo. 1981;23:274–9.

    Google Scholar 

  35. Schell WA, Perfect JR. Fatal disseminated Acremonium strictum infection in a neutropenic host. J Clin Microbiol. 1996;34:1333–6.

    PubMed  CAS  Google Scholar 

  36. Kendirli T, Ciftci E, Ekim M, et al. Acremonium spp. peritonitis in an infant. Mycoses. 2008;51:455–7.

    PubMed  Article  Google Scholar 

  37. Foell JL, Fisher M, Seibold M, et al. Lethal double infection with Acremonium strictum and Aspergillus fumigatus during induction chemotherapy in a child with ALL. Pediatr Blood Cancer. 2007;49:858–61.

    PubMed  Article  CAS  Google Scholar 

  38. Mattei D, Mordini N, Lo Nigro C, et al. Successful treatment of Acremonium fungemia with voriconazole. Mycoses. 2003;46:511–4.

    PubMed  Article  CAS  Google Scholar 

Download references

Conflict of interest

None.

Author information

Affiliations

Authors

Corresponding author

Correspondence to Maria do Rosário Rodrigues Silva.

Rights and permissions

Reprints and Permissions

About this article

Cite this article

Júnior, M.C., de Moraes Arantes, A., Silva, H.M. et al. Acremonium kiliense: Case Report and Review of Published Studies. Mycopathologia 176, 417–421 (2013). https://doi.org/10.1007/s11046-013-9700-x

Download citation

  • Received:

  • Accepted:

  • Published:

  • Issue Date:

  • DOI: https://doi.org/10.1007/s11046-013-9700-x

Keywords

  • Acremonium kiliense
  • Hematopoietic stem cell transplant
  • Voriconazole