Skip to main content

Cyclosporin A Treatment and Decreased Fungal Load/Antigenemia in Experimental Murine Paracoccidioidomycosis

Abstract

Paracoccidioidomycosis (PCM) is a systemic mycosis caused by the fungus Paracoccidioides brasiliensis (Pb). The cyclosporin A (CsA) is an immunosuppressant drug that inhibits calcineurin and has been described as a potential antifungal drug. The present study investigated the effect of CsA on the immune response, fungal load/antigenemia in experimental murine PCM. It was used four groups of BALB/c mice: (a) infected with 1 × 105 Pb18 yeast cells (Pb), (b) infected and treated with CsA every other day 10 mg/kg of CsA (s.c.) during 30 days (Pb/CsA), (c) treated with CsA (CsA) and (d) no infected/treated (PBS). The immune response was evaluated by lymphocyte proliferation, DTH assays to exoAgs, ELISA for IgG anti-gp43 (specific immune responses) and cytokine serum levels (IFN-γ, TNF-α, IL-4 and IL-10). Fungal load was determined by lung colony-forming units (CFU) counts, lung and liver histopathology analysis and antigenemia determined by inhibition-ELISA. As expected, CsA was able to inhibit the specific cellular and humoral immune response (P < 0.05), with decrease in serum IFN-γ, TNF-α and IL-4 levels (P < 0.05). Cyclosporin A treatment also resulted in significantly decreased lung Pb CFU (P < 0.05) as well as a lower number of yeasts in the lung and liver (P < 0.05) by histopathology. In concordance, the decreased antigenemia was observed in Pb/CsA group (P < 0.05). In conclusion, even with immunosuppressive action, treatment with CsA results in decreased lung fungal load/antigenemia in experimental PCM in BALB/c mice. Further study is required to determine whether this represents less severe disease or protection by CsA.

This is a preview of subscription content, access via your institution.

Fig. 1
Fig. 2
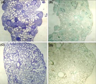
Fig. 3
Fig. 4
Fig. 5
Fig. 6

References

  1. San-Blas G. Paracoccidioidomycosis and its etiologic agent Paracoccidioides brasiliensis. J Med Vet Mycol. 1993;31(2):99–113.

    CAS  Article  PubMed  Google Scholar 

  2. Coutinho ZF, Silva D, Lazera M, Petri V, Oliveira RM, Sabroza PC, et al. Paracoccidioidomycosis mortality in Brazil (1980–1995). Cad Saude Publica. 2002;18(5):1441–54.

    PubMed  Google Scholar 

  3. Franco M, Peracoli MT, Soares A, Montenegro R, Mendes RP, Meira DA. Host-parasite relationship in paracoccidioidomycosis. Curr Top Med Mycol. 1993;5:115–49.

    CAS  PubMed  Google Scholar 

  4. McEwen JG, Garcia AM, Ortiz BL, Botero S, Restrepo A. In search of the natural habitat of Paracoccidioides brasiliensis. Arch Med Res. 1995;26(3):305–6.

    CAS  PubMed  Google Scholar 

  5. Brummer E, Castaneda E, Restrepo A. Paracoccidioidomycosis: an update. Clin Microbiol Rev. 1993;6(2):89–117.

    CAS  PubMed  Google Scholar 

  6. Hahn RC, Hamdan JS. In vitro susceptibilities of Paracoccidioides brasiliensis yeast form to antifungal drugs. Mycoses. 2000;43(11–12):403–7.

    CAS  Article  PubMed  Google Scholar 

  7. Shikanai-Yasuda MA, Telles Filho Fde Q, Mendes RP, Colombo AL, Moretti ML. Guidelines in paracoccidioidomycosis. Rev Soc Bras Med Trop. 2006;39(3):297–310.

    Article  PubMed  Google Scholar 

  8. Graybill JR, Tollemar J, Torres-Rodriguez JM, Walsh TJ, Roilides E, Farmaki E. Antifungal compounds: controversies, queries and conclusions. Med Mycol. 2000;38(Suppl 1):323–33.

    CAS  PubMed  Google Scholar 

  9. Gubbins PO, Amsden JR. Drug-drug interactions of antifungal agents and implications for patient care. Expert Opin Pharmacother. 2005;6(13):2231–43.

    CAS  Article  PubMed  Google Scholar 

  10. Steinbach WJ, Reedy JL, Cramer RA Jr, Perfect JR, Heitman J. Harnessing calcineurin as a novel anti-infective agent against invasive fungal infections. Nat Rev Microbiol. 2007;5(6):418–30.

    CAS  Article  PubMed  Google Scholar 

  11. Odom A, Muir S, Lim E, Toffaletti DL, Perfect J, Heitman J. Calcineurin is required for virulence of Cryptococcus neoformans. EMBO J. 1997;16(10):2576–89.

    CAS  Article  PubMed  Google Scholar 

  12. Kraus PR, Fox DS, Cox GM, Heitman J. The Cryptococcus neoformans MAP kinase Mpk1 regulates cell integrity in response to antifungal drugs and loss of calcineurin function. Mol Microbiol. 2003;48(5):1377–87.

    CAS  Article  PubMed  Google Scholar 

  13. Stie J, Fox D. Calcineurin regulation in fungi and beyond. Eukaryot Cell. 2008;7(2):177–86.

    CAS  Article  PubMed  Google Scholar 

  14. Cruz MC, Del Poeta M, Wang P, Wenger R, Zenke G, Quesniaux VF, et al. Immunosuppressive and nonimmunosuppressive cyclosporine analogs are toxic to the opportunistic fungal pathogen Cryptococcus neoformans via cyclophilin-dependent inhibition of calcineurin. Antimicrob Agents Chemother. 2000;44(1):143–9.

    CAS  Article  PubMed  Google Scholar 

  15. Cyert MS. Calcineurin signaling in Saccharomyces cerevisiae: how yeast go crazy in response to stress. Biochem Biophys Res Commun. 2003;311(4):1143–50.

    CAS  Article  PubMed  Google Scholar 

  16. Campos CB, Di Benedette JP, Morais FV, Ovalle R, Nobrega MP. Evidence for the role of calcineurin in morphogenesis and calcium homeostasis during mycelium-to-yeast dimorphism of Paracoccidioides brasiliensis. Eukaryot Cell. 2008;7(10):1856–64.

    CAS  Article  PubMed  Google Scholar 

  17. Mody CH, Toews GB, Lipscomb MF. Cyclosporin A inhibits the growth of Cryptococcus neoformans in a murine model. Infect Immun. 1988;56(1):7–12.

    CAS  PubMed  Google Scholar 

  18. Bell NP, Karp CL, Alfonso EC, Schiffman J, Miller D. Effects of methylprednisolone and cyclosporine A on fungal growth in vitro. Cornea. 1999;18(3):306–13.

    CAS  Article  PubMed  Google Scholar 

  19. Onyewu C, Blankenship JR, Del Poeta M, Heitman J. Ergosterol biosynthesis inhibitors become fungicidal when combined with calcineurin inhibitors against Candida albicans, Candida glabrata, and Candida krusei. Antimicrob Agents Chemother. 2003;47(3):956–64.

    CAS  Article  PubMed  Google Scholar 

  20. Marchetti O, Entenza JM, Sanglard D, Bille J, Glauser MP, Moreillon P. Fluconazole plus cyclosporine: a fungicidal combination effective against experimental endocarditis due to Candida albicans. Antimicrob Agents Chemother. 2000;44(11):2932–8.

    CAS  Article  PubMed  Google Scholar 

  21. Marchetti O, Moreillon P, Glauser MP, Bille J, Sanglard D. Potent synergism of the combination of fluconazole and cyclosporine in Candida albicans. Antimicrob Agents Chemother. 2000;44(9):2373–81.

    CAS  Article  PubMed  Google Scholar 

  22. De Camargo Z, Unterkircher C, Campoy SP, Travassos LR. Production of Paracoccidioides brasiliensis exoantigens for immunodiffusion tests. J Clin Microbiol. 1988;26(10):2147–51.

    PubMed  Google Scholar 

  23. Marques da Silva SH, Colombo AL, Blotta MH, Lopes JD, Queiroz-Telles F, Pires de Camargo Z. Detection of circulating gp43 antigen in serum, cerebrospinal fluid, and bronchoalveolar lavage fluid of patients with paracoccidioidomycosis. J Clin Microbiol. 2003;41(8):3675–80.

    CAS  Article  PubMed  Google Scholar 

  24. del Pozo E, Elford P, Perrelet R, Graeber M, Casez JP, Modrowski D, et al. Prevention of adjuvant arthritis by cyclosporine in rats. Semin Arthritis Rheum. 1992;21(6 Suppl 3):23–9.

    PubMed  Google Scholar 

  25. Wassef R, Cohen Z, Langer B. Pharmacokinetic profiles of cyclosporine in rats. Influence of route of administration and dosage. Transplantation. 1985;40(5):489–93.

    CAS  Article  PubMed  Google Scholar 

  26. Pavanelli WR, Kaminami MS, Geres JR, Sano A, Ono MA, Camargo IC, et al. Protection induced in BALB/c mice by the high-molecular-mass (hMM) fraction of Paracoccidioides brasiliensis. Mycopathologia. 2007;163(3):117–28.

    Article  PubMed  Google Scholar 

  27. Ramos SP, Sano A, Ono MA, Camargo ZP, Estevao D, Miyaji M, et al. Antigenuria and antigenaemia in experimental murine paracoccidioidomycosis. Med Mycol. 2005;43(7):631–6.

    CAS  Article  PubMed  Google Scholar 

  28. Clipstone NA, Crabtree GR. Identification of calcineurin as a key signalling enzyme in T-lymphocyte activation. Nature. 1992;357(6380):695–7.

    CAS  Article  PubMed  Google Scholar 

  29. Singer-Vermes LM, Caldeira CB, Burger E, Calich LG. Experimental murine paracoccidioidomycosis: relationship among the dissemination of the infection, humoral and cellular immune responses. Clin Exp Immunol. 1993;94(1):75–9.

    CAS  Article  PubMed  Google Scholar 

  30. Salina MA, Shikanai-Yasuda MA, Mendes RP, Barraviera B, Mendes Giannini MJ. Detection of circulating Paracoccidioides brasiliensis antigen in urine of paracoccidioidomycosis patients before and during treatment. J Clin Microbiol. 1998;36(6):1723–8.

    CAS  PubMed  Google Scholar 

  31. Baksh S, Burakoff SJ. The role of calcineurin in lymphocyte activation. Semin Immunol. 2000;12(4):405–15.

    CAS  Article  PubMed  Google Scholar 

  32. Annacker O, Pimenta-Araujo R, Burlen-Defranoux O, Barbosa TC, Cumano A, Bandeira A. CD25+ CD4+ T cells regulate the expansion of peripheral CD4 T cells through the production of IL-10. J Immunol. 2001;166(5):3008–18.

    CAS  PubMed  Google Scholar 

  33. Cano LE, Kashino SS, Arruda C, Andre D, Xidieh CF, Singer-Vermes LM, et al. Protective role of gamma interferon in experimental pulmonary paracoccidioidomycosis. Infect Immun. 1998;66(2):800–6.

    CAS  PubMed  Google Scholar 

  34. Kashino SS, Fazioli RA, Cafalli-Favati C, Meloni-Bruneri LH, Vaz CA, Burger E, et al. Resistance to Paracoccidioides brasiliensis infection is linked to a preferential Th1 immune response, whereas susceptibility is associated with absence of IFN-gamma production. J Interferon Cytokine Res. 2000;20(1):89–97.

    CAS  Article  PubMed  Google Scholar 

  35. Calich VL, Kashino SS. Cytokines produced by susceptible and resistant mice in the course of Paracoccidioides brasiliensis infection. Braz J Med Biol Res. 1998;31(5):615–23.

    CAS  Article  PubMed  Google Scholar 

  36. Biagioni L, Souza MJ, Chamma LG, Mendes RP, Marques SA, Mota NG, et al. Serology of paracoccidioidomycosis. II. Correlation between class-specific antibodies and clinical forms of the disease. Trans R Soc Trop Med Hyg. 1984;78(5):617–21.

    CAS  Article  PubMed  Google Scholar 

  37. Zimecki M, Wieczorek Z. Differential patterns of cyclosporine A-induced inhibition of humoral and cellular immune responses to sheep erythrocytes in mice. Pol J Pharmacol. 2001;53(5):495–500.

    CAS  PubMed  Google Scholar 

Download references

Acknowledgments

This work was supported by Secretaria de Estado da Ciencia, Tecnologia e Ensino Superior (SETI/PR), Fundação Araucária/PR, Coordenação de Aperfeiçoamento de Pessoal de Nível Superior (CAPES). We thank Dr. Everson A. Nunes for his careful correction of the English language.

Author information

Affiliations

Authors

Corresponding author

Correspondence to E. N. Itano.

Rights and permissions

Reprints and Permissions

About this article

Cite this article

Massuda, T.Y.C., Nagashima, L.A., Leonello, P.C. et al. Cyclosporin A Treatment and Decreased Fungal Load/Antigenemia in Experimental Murine Paracoccidioidomycosis. Mycopathologia 171, 161–169 (2011). https://doi.org/10.1007/s11046-010-9359-5

Download citation

  • Received:

  • Accepted:

  • Published:

  • Issue Date:

  • DOI: https://doi.org/10.1007/s11046-010-9359-5

Keywords

  • Immunosuppression
  • Paracoccidioides brasiliensis
  • Antifungal drug
  • Calcineurin
  • Cytokines
  • Lymphoproliferative response