Abstract
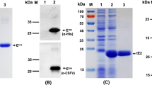
Classical swine fever virus (CSFV), a member of the Pestivirus genus within the Flaviviridae family causes contagious fatal disease in swine. Antibodies against E2, Erns and NS3 proteins of virus can be detected in infected animals. Development of an ELISA coating antigen to improve the sensitivity of detecting Erns-specific antibodies in pig sera is always desirable for diagnosis as well as for differentiation of infected from vaccinated animals. In present study, a lentivirus-based gene delivery system was used to develop a stable PK-15 cell line expressing Erns (PK-Erns) for production of diagnostic antigen. The Lenti-Erns virus was purified from the supernatant of co-transfected 293LTV cells and used to transduce PK-15 cells. The homogenous PK-Erns cell line was produced by single cell cloning by monitoring eGFP expression. The Erns gene in the genomic DNA and RNA transcripts in total RNA isolated from PK-Erns cells were detected by PCR and RT-PCR, respectively. Expression of 45 kDa Erns glycoprotein was detected in western blot using CSFV-specific hyperimmune sera. The use of PK-Erns cell lysate as antigen in serial dilution and single dilution ELISAs with known positive and negative pig sera was investigated. The PK-Erns ELISA revealed sensitivity equivalent to commercial HerdChek ELISA kit. The sensitivity, specificity and accuracy of the PK-Erns ELISA was 95%, 100% and 96.66%, respectively compared to ELISA using purified CSFV as coating antigen. When field pig sera (n = 69) were tested in PK-Erns ELISA, a significant correlation between the titers from serial dilution and single dilution ELISA was observed. This indicated that PK-Erns cell line can serve as continuous source of ELISA diagnostic antigen for detection of CSFV-specific antibodies in pig sera.








Similar content being viewed by others
Explore related subjects
Discover the latest articles and news from researchers in related subjects, suggested using machine learning.References
Bouma A, de Smit AJ, De Jong MCM, De Kluijver EP, Moormann RJ (2000) Determination of the onset of the herd immunity induced by the E2 sub-unit vaccine against classical swine fever virus. Vaccine 18:1374–1381
Terpstra C, Wensvoort G (1988) The protective value of vaccine-induced neutralizing antibody titers in swine fever. Vet Microbiol 16:123–128
van Rijn PA, Bossers A, Wensvoort G, Moormann RJ (1996) Classical swine fever virus (CSFV) envelope glycoprotein E2 containing one structural antigenic unit protects pigs from lethal CSFV challenge. J Gen Virol 77:2737–2745
de Smit AJ, Bouma A, van Gennip EP, de Kluijver EP, Moormann RJ (2001) Chimeric (marker) C-strain viruses induce clinical protection against virulent classical swine fever virus (CSFV) and reduce transmission of CSFV between vaccinated pigs. Vaccine 19:1467–1476
Moormann RJ, Bouma A, Kramps JA, Terpstra C, de Smit HJ (2000) Development of a classical swine fever subunit marker vaccine and companion diagnostic test. Vet Microbiol 73:209–219
Floegel-Niesmann G (2001) Classical swine fever (CSF) marker vaccine. Trial III. Evaluation of discriminatory ELISAs. Vet Microbiol 83:121–136
Meyers G, Thiel HJ (1995) Cytopathogenicity of classical swine fever virus caused by defective interfering particles. J Virol 69:3683–3689
Rumenapf T, Unger G, Strauss JH, Thiel HJ (1993) Processing of the envelope glycoproteins of pestiviruses. J Virol 67:3288–3294
van Gennip HG, van Rijn PA, Widjojoatmodjo MN, de Smit AJ, Moormann RJ (2000) Chimeric classical swine fever viruses containing envelope protein E-RNS or E2 of bovine viral diarrhoea virus protect pigs against challenge with CSFV and induce a distinguishable antibody response. Vaccine 19:447–459
Hulst MM, Himes G, Newbigin E, Moormann RJ (1994) Glycoprotein E2 of classical swine fever virus: expression in insect cells and identification as a ribonuclease. Virology 200:558–565
Xu XG, Chiou MT, Zhang YM, Tong DW, Hu JH, Zhang MT et al (2008) Baculovirus surface display of Erns envelope glycoprotein of classical swine fever virus. J Virol Methods 2008(153):149–155
Konig M, Lengsfeld T, Pauly T, Stark R, Thiel HJ (1995) Classical swine fever virus: independent induction of protective immunity by two structural glycoproteins. J Virol 69:6479–6486
Kumar R, Kumar V, Kumar S (2018) Production of recombinant Erns protein of classical swine fever virus and assessment of its enzymatic activity: a recombinant Newcastle disease virus based approach. Process Biochem 66:113–119
Huang C, Chien MS, Hu CM, Chen CW, Hsieh PC (2006) Secreted expression of the classical swine fever virus glycoprotein Erns in yeast and application to a sandwich blocking ELISA. J Virol Methods 132:40–47
Schroeder S, von Rosen T, Blome S, Loeffen W, Haegeman A, Koenen F et al (2012) Evaluation of classical swine fever virus antibody detection assays with an emphasis on the differentiation of infected from vaccinated animals. Rev Sci Tech 31:997–1010
Aebischer A, Muller M, Hofmann MA (2013) Two newly developed Erns-based ELISAs allow the differentiation of classical swine fever virus infected from marker-vaccinated animals and the discrimination of Pestivirus antibodies. Vet Microbiol 161:274–285
Pannhorst K, Frohlich A, Staubach C, Meyer D, Blome S, Becher P (2015) Evaluation of an Erns-based enzyme-linked immunosorbent assay to distinguish classical swine fever virus-infected pigs from pigs vaccinated with CP7_E2alf. J Vet Diagn Invest 27:449–460
van Oers MM, Pijlman GP, Vlak JM (2015) Thirty years of baculovirus-insect cell protein expression: from dark horse to mainstream technology. J Gen Virol 96:6–23
Grinstead JS, Koganty RR, Krantz MJ, Longenecker BM, Campbell AP (2002) Effect of glycosylation on MUC1 humoral immune recognition: NMR studies of MUC1 glycopeptide–antibody interactions. Biochemistry 41:9946–9961
Gavrilov BK, Rogers K, Fernandez-Sainz IJ, Holinka LG, Borca MV, Risatti GR (2011) Effects of glycosylation on antigenicity and immunogenicity of classical swine fever virus envelope proteins. Virology 420:135–145
Konishi E, Fujii A, Mason PW (2001) Generation and characterization of a mammalian cell line continuously expressing Japanese encephalitis virus subviral particles. J Virol 75:2204–2212
Kojima A, Yasuda A, Asanuma H, Ishikawa T, Takamizawa A, Yasui K et al (2003) Stable high-producer cell clone expressing virus-like particles of the Japanese encephalitis virus e protein for a second-generation subunit vaccine. J Virol 77:8745–8755
Cheng TC, Pan CH, Chen CS, Chuang KH, Chuang CH, Huang CC et al (2015) Direct coating of culture medium from cells secreting classical swine fever virus E2 antigen on ELISA plates for detection of E2-specific antibodies. Vet J 205:107–109
Kamboj A, Patel CL, Chaturvedi VK, Saini M, Gupta PK (2014) Complete genome sequence of an Indian field isolate of classical swine fever virus belonging to subgenotype 1.1. Genome Announc 2:e00886–e00914
Kamboj A, Saini M, Rajan LS, Patel CL, Chaturvedi VK, Gupta PK (2015) Construction of infectious cDNA clone derived from a classical swine fever virus field isolate in BAC vector using in vitro overlap extension PCR and recombination. J Virol Methods 226:60–66
Singh NK, Meshram CD, Sonwane AA, Dahiya SS, Pawar SS, Chaturvedi VK et al (2014) Protection of mice against lethal rabies virus challenge using short interfering RNAs (siRNAs) delivered through lentiviral vector. Mol Biotechnol 56:91–101
Sonwane AA, Dahiya SS, Saini M, Chaturvedi VK, Singh RP, Gupta PK (2012) Inhibition of rabies virus multiplication by sirna delivered through adenoviral vector in vitro in BHK-21 cells and in vivo in mice. Res Vet Sci 93:498–503
Branza-Nichita N, Lazar C, Dwek RA, Zitzmann N (2004) Role of N-glycan trimming in the folding and secretion of the pestivirus protein Erns. Biochem Biophys Res Commun 319:655–662
Sarma PC, Sarma DK (1996) Use of ELISA for detecting HCV antibodies in vaccinated piglets. Ind J Anim Sci 66:1128–1129
Robinson A, Bartlett RC, Mazens MF (1985) Antimicrobial synergy testing based on antibiotic levels, minimal bactericidal concentration, and serumbactericidal activity. Am J Clin Pathol 84:328–333
Snyder DB, Marquardt WW, Mallinson ET, Russek E (1983) Rapid serologic profiling by enzyme-linked immunosorbent assay. I. Measurement of antibody activity titre against Newcastle disease virus in a single serum dilution. Avian Dis 27:161–170
Kumar R, Barman NN, Khatoon E, Kumar S (2016) Development of single dilution immunoassay to detect E2 protein specific classical swine fever virus antibody. Vet Immunol Immunopathol 172:50–54
Weiland E, Ahl R, Stark R, Weiland F, Thiel HJ (1992) A second envelope glycoprotein mediates neutralization of a pestivirus, hog cholera virus. J Virol 66:3677–3682
Beer M, Riemann I, Hoffmann B, Depner K (2007) Novel marker vaccines against classical swine fever. Vaccine 25:5665–5670
Ahuja A, Sen A, Yogisharadhya R, Rajak KK, Shivachandra SB (2012) Prokaryotic expression and purification of highly soluble partial region of glycoprotein Erns of Indian strain of classical swine fever virus. Ind J Virol 23:397–401
Windisch JM, Schneider R, Stark R, Weiland E, Meyers G, Thiel HJ (1996) RNase of classical swine fever virus: biochemical characterization and inhibition by virus-neutralizing monoclonal antibodies. J Virol 70:352–358
Luo Y, Li L, Austermann-Busch S, Dong M, Xu J, Shao L et al (2015) Enhanced expression of the Erns protein of classical swine fever virus in yeast and its application in an indirect enzyme-linked immunosorbent assay for antibody differentiation of infected from vaccinated animals. J Virol Methods 222:22–27
Munoz-Gonzalez S, Sordo Y, Perez-Simo M, Suarez M, Canturri A, Rodriguez MP et al (2017) Efficacy of E2 glycoprotein fused to porcine CD154 as a novel chimeric subunit vaccine to prevent classical swine fever virus vertical transmission in pregnant sows. Vet Microbiol 205:110–116
Suarez M, Sordo Y, Prieto Y, Rodriguez MP, Mendez L, Rodriguez-Mallon A et al (2017) A single dose of the novel chimeric subunit vaccine E2-CD154 confers early full protection against classical swine fever virus. Vaccine 35:4437–4443
Meyer D, Aebischer A, Muller M, Grummer B, Greiser-Wilke I, Moennig V et al (2012) New insights into the antigenic structure of the glycoprotein Erns of classical swine fever virus by epitope mapping. Virology 433:45–54
Chen L, Xia Y, Pan Z, Zhang C (2007) Expression and functional characterization of classical swine fever virus Erns protein. Protein Expr Purif 55:379–387
Eymann-Hani R, Leifer I, McCullough KC, Summerfield A, Ruggli N (2011) Propagation of classical swine fever virus in vitro circumventing heparan sulfate-adaptation. J Virol Methods 176:85–95
Lin M, Trottier E, Pasick J, Sabara M (2004) Identification of antigenic regions of the Erns protein for pig antibodies elicited during classical swine fever virus infection. J Biochem 136:795–804
Briggs DJ, Skeeles JK (1984) An enzyme-linked immunosorbant assay for detecting antibodies to Pasteurella multocida in chickens. Avian Dis 28:208–215
Manuja A, Nichani AK, Kumar R, Sharma RD, Kumar B (2001) Single dilution ELISAs using piroplasm, cellular schizont and soluble schizont antigens for the detection of antibodies against Theileria annulata. Vet Res 32:165–173
Rajasekhar R, Roy P (2014) Recombinant hexon antigen based single serum dilution ELISA for rapid serological profiling against fowl adenovirus-4 causing hydropericardium syndrome in chickens. J Virol Methods 207:121–127
Patil SS, Hemadri D, Shankar BP, Raghavendra AG, Veeresh H, Sindhoora B et al (2010) Genetic typing of recent classical swine fever isolates from India. Vet Microbiol 141:367–373
Acknowledgements
This work was supported by grant BT/PR16025/NER/95/52/2015 from the Department of Biotechnology, Government of India.
Author information
Authors and Affiliations
Corresponding author
Ethics declarations
Conflict of interest
The authors declare that there is no conflict of interest.
Additional information
Publisher's Note
Springer Nature remains neutral with regard to jurisdictional claims in published maps and institutional affiliations.
Electronic supplementary material
Below is the link to the electronic supplementary material.

11033_2019_4829_MOESM1_ESM.jpg
Supplementary Fig. 1. Optimization of concentration of PK-Erns cell lysate as ELISA coating antigen. The absorbance values of 1:200 (A) and 1:1000 (B) diluted known positive and negative sera samples were plotted against different concentrations of PK-Erns whole cell lysate as coating antigen. The concentration of coating antigen showing maximum absorbance and positive-to-negative ratio was selected (JPEG 55 kb)

11033_2019_4829_MOESM2_ESM.jpg
Supplementary Fig. 2. Determination of correlation coefficient between absorbance and observed ELISA titer of known positive sera using the serial dilution method. The absorbance values of different dilutions of known positive sera samples (n = 9) were plotted against log10 reciprocal of serum dilutions. The correlation coefficient (r2) at each serum dilution was analysed and presented as straight line. The serum dilution demonstrating highest correlation coefficient was selected for calculation of constants like, slope and intercept for the regression equation and calculation of predicted ELISA titer (JPEG 59 kb)
Rights and permissions
About this article
Cite this article
Bhattacharya, S., Saini, M., Bisht, D. et al. Lentiviral-mediated delivery of classical swine fever virus Erns gene into porcine kidney-15 cells for production of recombinant ELISA diagnostic antigen. Mol Biol Rep 46, 3865–3876 (2019). https://doi.org/10.1007/s11033-019-04829-0
Received:
Accepted:
Published:
Issue Date:
DOI: https://doi.org/10.1007/s11033-019-04829-0


