Skip to main content

Role of the functional variant (−652T>G) in the XRCC4 promoter in prostate cancer

Abstract

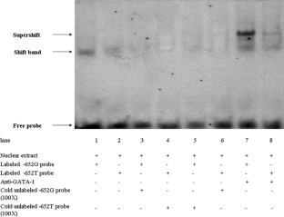
Several genes encoding DNA repair molecules have been proposed as cancer-susceptibility genes. Many studies have suggested that SNPs in XRCC4 could be implicated in altering the risk of prostate cancer (PCa). We examined the role of the functional variant (−652T>G) in the XRCC4 promoter in PCa. The transcriptional activity of XRCC4 gene was measured by luciferase assay. We performed real-time PCR/immunohistochemical assay to verify the association between expression level of XRCC4 mRNA/protein and XRCC4 −652T>G polymorphism. In addition, electrophoretic mobility shift assay (EMSA) was used to confirm whether this polymorphism has an effect on binding ability of the transcription factor. We found that the G variant significantly increased the transcription activity of the XRCC4 gene and the binding ability of transcriptional factor GATA-1 to the XRCC4 promoter. Furthermore, the results suggested that the XRCC4 protein and mRNA were overexpressed in individuals who carried the −652G allele compared to carriers of the −652T allele. In addition, the expression of XRCC4 in PCa tissues was lower than in adjacent normal tissues. Our data suggest that the XRCC4 promoter −652G>T polymorphism is functional and may influence genetic susceptibility to prostate cancer. Case–control studies are required to validate our findings in the future.

This is a preview of subscription content, access via your institution.

Fig. 1
Fig. 2
Fig. 3
Fig. 4
Fig. 5

References

  1. Siegel R, Naishadham D, Jemal A (2012) Cancer statistics, 2012. CA Cancer J Clin 62(1):10–29

    PubMed  Article  Google Scholar 

  2. Wang B, Wang D, Zhang D, Li A, Liu D, Liu H et al (2010) Pro variant of TP53 Arg72Pro contributes to esophageal squamous cell carcinoma risk: evidence from a meta-analysis. Eur J Cancer Prev 19(4):299–307

    PubMed  Article  CAS  Google Scholar 

  3. Shao N, Wang Y, Lu K, Jiang WY, Li Q, Wang N et al (2012) Role of the functional MKK4 promoter variant (−1304T>G) in a decreased risk of prostate cancer: case-control study and meta-analysis. J Cancer Res Clin Oncol 138(9):1531–1539

    PubMed  Article  CAS  Google Scholar 

  4. Hsieh YY, Bau DT, Chang CC, Tsai CH, Chen CP, Tsai FJ (2008) XRCC4 codon 247*A and XRCC4 promoter −1394*T related genotypes but not XRCC4 intron 3 gene polymorphism are associated with higher susceptibility for endometriosis. Mol Reprod Dev 75(5):946–951

    PubMed  Article  CAS  Google Scholar 

  5. Tomescu D, Kavanagh G, Ha T, Campbell H, Melton DW (2001) Nucleotide excision repair gene XPD polymorphisms and genetic predisposition to melanoma. Carcinogenesis 22(3):403–408

    PubMed  Article  CAS  Google Scholar 

  6. Bau DT, Wu HC, Chiu CF, Lin CC, Hsu CM, Wang CL et al (2007) Association of XPD polymorphisms with prostate cancer in Taiwanese patients. Anticancer Res 27(4C):2893–2896

    PubMed  CAS  Google Scholar 

  7. Chiu CF, Wang CH, Wang CL, Lin CC, Hsu NY, Weng JR et al (2008) A novel single nucleotide polymorphism in XRCC4 gene is associated with gastric cancer susceptibility in Taiwan. Ann Surg Oncol 15(2):514–518

    PubMed  Article  Google Scholar 

  8. Yu H, Zhao H, Wang LE, Han Y, Chen WV, Amos CI et al (2011) An analysis of single nucleotide polymorphisms of 125 DNA repair genes in the Texas genome-wide association study of lung cancer with a replication for the XRCC4 SNPs. DNA Repair (Amst) 10(4):398–407

    Article  CAS  Google Scholar 

  9. Helleday T, Lo J, van Gent DC, Engelward BP (2007) DNA double-strand break repair: from mechanistic understanding to cancer treatment. DNA Repair (Amst) 6(7):923–935

    Article  CAS  Google Scholar 

  10. Mari PO, Florea BI, Persengiev SP, Verkaik NS, Bruggenwirth HT, Modesti M et al (2006) Dynamic assembly of end-joining complexes requires interaction between Ku70/80 and XRCC4. Proc Natl Acad Sci USA 103(49):18597–18602

    PubMed  Article  CAS  PubMed Central  Google Scholar 

  11. van Heemst D, Brugmans L, Verkaik NS, van Gent DC (2004) End-joining of blunt DNA double-strand breaks in mammalian fibroblasts is precise and requires DNA-PK and XRCC4. DNA Repair (Amst) 3(1):43–50

    Article  Google Scholar 

  12. Berwick M, Vineis P (2000) RESPONSE re: markers of DNA repair and susceptibility to cancer in humans: an epidemiologic review. J Natl Cancer Inst 92(18):1537

    PubMed  Article  Google Scholar 

  13. Yin M, Liao Z, Liu Z, Wang LE, O’Reilly M, Gomez D et al (2011) Genetic variants of the nonhomologous end joining gene LIG4 and severe radiation pneumonitis in nonsmall cell lung cancer patients treated with definitive radiotherapy. Cancer 18(2):528–535

    Google Scholar 

  14. Mittal RD, Gangwar R, Mandal RK, Srivastava P, Ahirwar DK (2012) Gene variants of XRCC4 and XRCC3 and their association with risk for urothelial bladder cancer. Mol Biol Rep 39(2):1667–1675

    PubMed  Article  CAS  Google Scholar 

  15. Chang CH, Chiu CF, Wu HC, Tseng HC, Wang CH, Lin CC et al (2008) Significant association of XRCC4 single nucleotide polymorphisms with prostate cancer susceptibility in Taiwanese males. Mol Med Rep 1(4):525–530

    PubMed  CAS  Google Scholar 

  16. Mandal RK, Kapoor R, Mittal RD (2010) Polymorphic variants of DNA repair gene XRCC3 and XRCC7 and risk of prostate cancer: a study from North Indian population. DNA Cell Biol 29(11):669–674

    PubMed  Article  CAS  Google Scholar 

  17. Bau DT, Yang MD, Tsou YA, Lin SS, Wu CN, Hsieh HH et al (2010) Colorectal cancer and genetic polymorphism of DNA double-strand break repair gene XRCC4 in Taiwan. Anticancer Res 30(7):2727–2730

    PubMed  CAS  Google Scholar 

  18. Shim HJ, Yun JY, Hwang JE, Bae WK, Cho SH, Lee JH et al (2010) BRCA1 and XRCC1 polymorphisms associated with survival in advanced gastric cancer treated with taxane and cisplatin. Cancer Sci 101(5):1247–1254

    PubMed  Article  CAS  Google Scholar 

  19. Gomes BC, Silva SN, Azevedo AP, Manita I, Gil OM, Ferreira TC et al (2010) The role of common variants of non-homologous end-joining repair genes XRCC4, LIG4 and Ku80 in thyroid cancer risk. Oncol Rep 24(4):1079–1085

    PubMed  CAS  Google Scholar 

  20. Gleason DF, Mellinger GT (1974) Prediction of prognosis for prostatic adenocarcinoma by combined histological grading and clinical staging. J Urol 111(1):58–64

    PubMed  CAS  Google Scholar 

  21. Remmele W, Stegner HE (1987) Recommendation for uniform definition of an immunoreactive score (IRS) for immunohistochemical estrogen receptor detection (ER-ICA) in breast cancer tissue. Pathologe. 8(3):138–140

    PubMed  CAS  Google Scholar 

  22. Lewontin RC (1988) On measures of gametic disequilibrium. Genetics 120(3):849–852

    PubMed  CAS  PubMed Central  Google Scholar 

  23. Gabriel SB, Schaffner SF, Nguyen H, Moore JM, Roy J, Blumenstiel B et al (2002) The structure of haplotype blocks in the human genome. Science 296(5576):2225–2229

    PubMed  Article  CAS  Google Scholar 

  24. Hsu NY, Wang HC, Wang CH, Chang CL, Chiu CF, Lee HZ et al (2009) Lung cancer susceptibility and genetic polymorphism of DNA repair gene XRCC4 in Taiwan. Cancer Biomark 5(4):159–165

    PubMed  CAS  Google Scholar 

  25. Tseng RC, Hsieh FJ, Shih CM, Hsu HS, Chen CY, Wang YC (2009) Lung cancer susceptibility and prognosis associated with polymorphisms in the nonhomologous end-joining pathway genes: a multiple genotype-phenotype study. Cancer 115(13):2939–2948

    PubMed  Article  CAS  Google Scholar 

  26. Figueroa JD, Malats N, Rothman N, Real FX, Silverman D, Kogevinas M et al (2007) Evaluation of genetic variation in the double-strand break repair pathway and bladder cancer risk. Carcinogenesis 28(8):1788–1793

    PubMed  Article  CAS  Google Scholar 

  27. Chang CH, Chang CL, Tsai CW, Wu HC, Chiu CF, Wang RF et al (2009) Significant association of an XRCC4 single nucleotide polymorphism with bladder cancer susceptibility in Taiwan. Anticancer Res 29(5):1777–1782

    PubMed  CAS  Google Scholar 

  28. Weterings E, van Gent DC (2004) The mechanism of non-homologous end-joining: a synopsis of synapsis. DNA Repair (Amst) 3(11):1425–1435

    Article  CAS  Google Scholar 

  29. Lees-Miller SP, Meek K (2003) Repair of DNA double strand breaks by non-homologous end joining. Biochimie 85(11):1161–1173

    PubMed  Article  CAS  Google Scholar 

  30. Ahnesorg P, Smith P, Jackson SP (2006) XLF interacts with the XRCC4-DNA ligase IV complex to promote DNA nonhomologous end-joining. Cell 124(2):301–313

    PubMed  Article  CAS  Google Scholar 

Download references

Acknowledgments

This study was supported by National Natural Science Foundation of China (Grant No. 81272831, 81202034), Jiangsu Province’s Outstanding Medical Academic Leader program (RC201178), Six-Kinds-of-Top-Talent Program of Jiangsu Province (2011) and Science Foundation of Benq Medical Center (SRD20100004).

Conflict of interest

The authors declare no conflict of interest.

Author information

Affiliations

Authors

Corresponding authors

Correspondence to XiaoJie Lu or NingHan Feng.

Additional information

Ning Shao and JiuMing Li authors have contributed equally to the present work and each is considered first author.

Electronic supplementary material

Below is the link to the electronic supplementary material.

Supplementary material 1 (JPEG 78 kb)

Supplementary material 2 (JPEG 2 kb)

Rights and permissions

Reprints and Permissions

About this article

Verify currency and authenticity via CrossMark

Cite this article

Shao, N., Li, J., Xu, B. et al. Role of the functional variant (−652T>G) in the XRCC4 promoter in prostate cancer. Mol Biol Rep 41, 7463–7470 (2014). https://doi.org/10.1007/s11033-014-3636-1

Download citation

  • Received:

  • Accepted:

  • Published:

  • Issue Date:

  • DOI: https://doi.org/10.1007/s11033-014-3636-1

Keywords

  • XRCC4
  • EMSA
  • Prostate cancer